HUIXTLA
ESCUINTLA
AKISHINO
AKISHINO2 USG
ESPECIALIDADES
Home
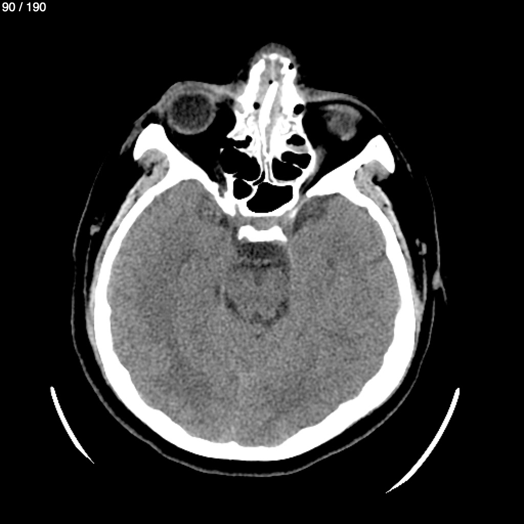
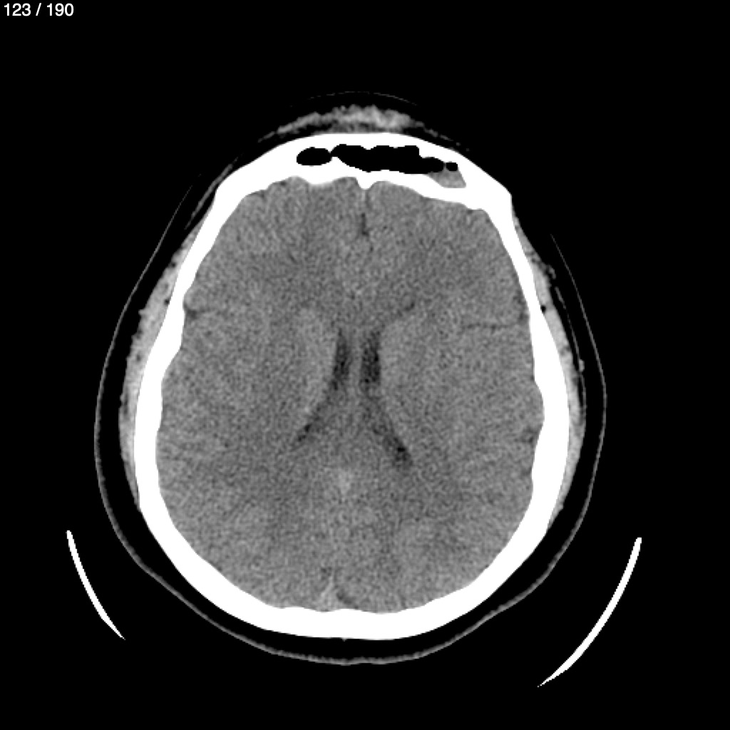
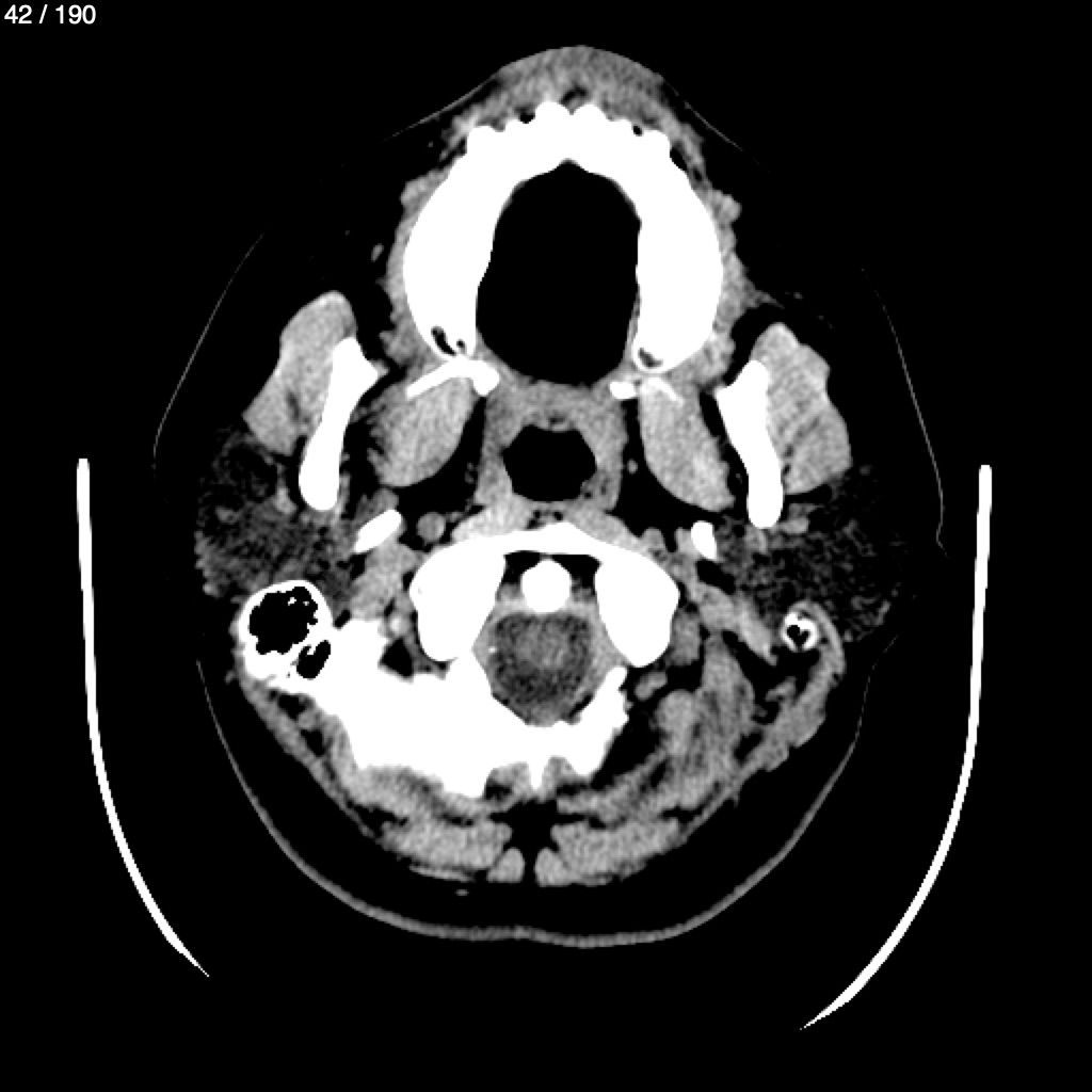
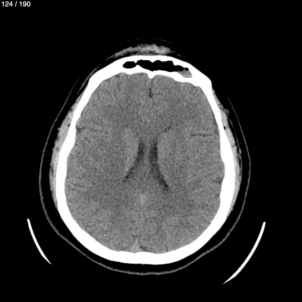
Angel De Jesus Torres Lara 16 - T.C Craneo
Next Series
Show as Sequence