HUIXTLA
ESCUINTLA
AKISHINO
AKISHINO2 USG
ESPECIALIDADES
Home
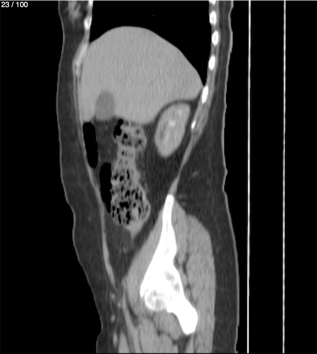
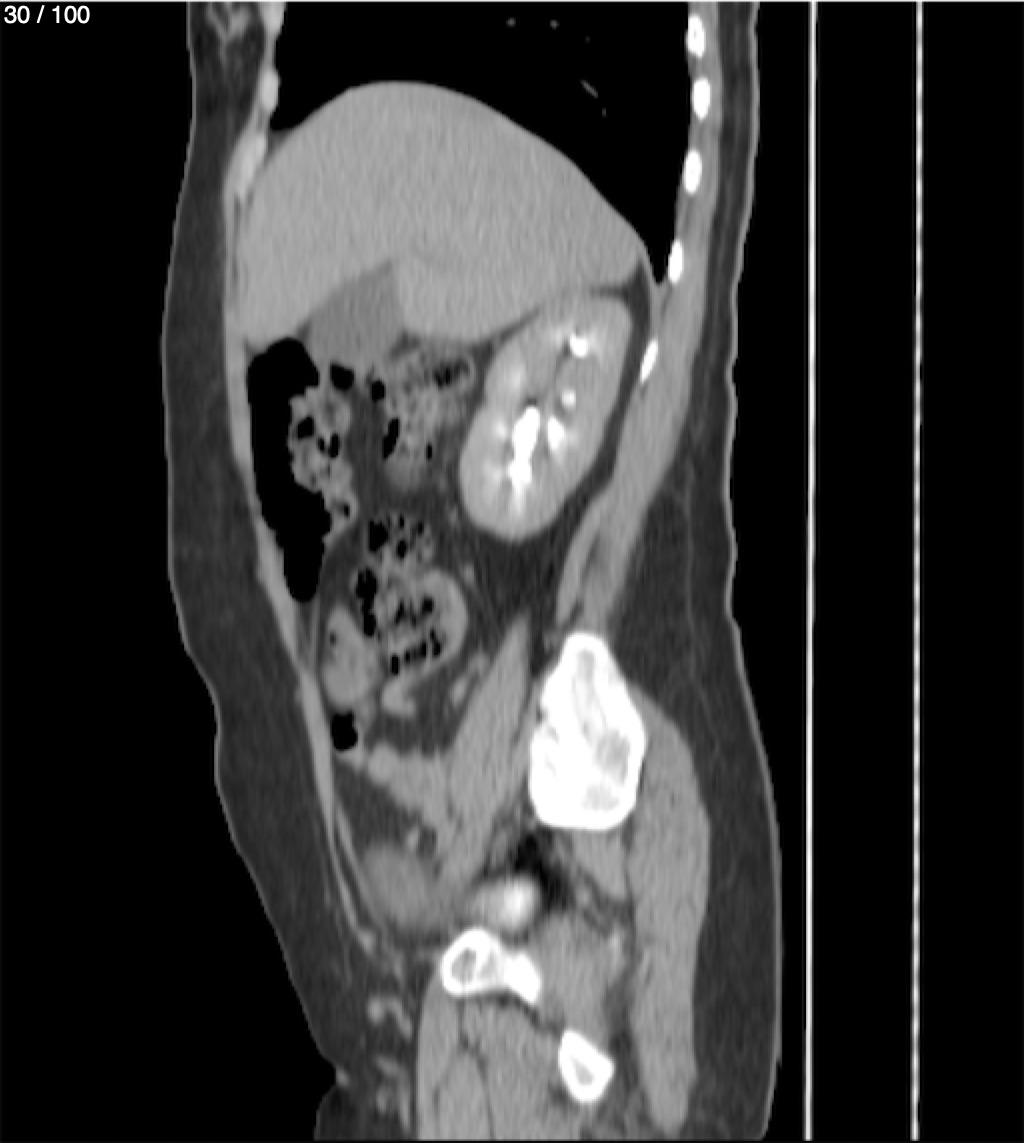
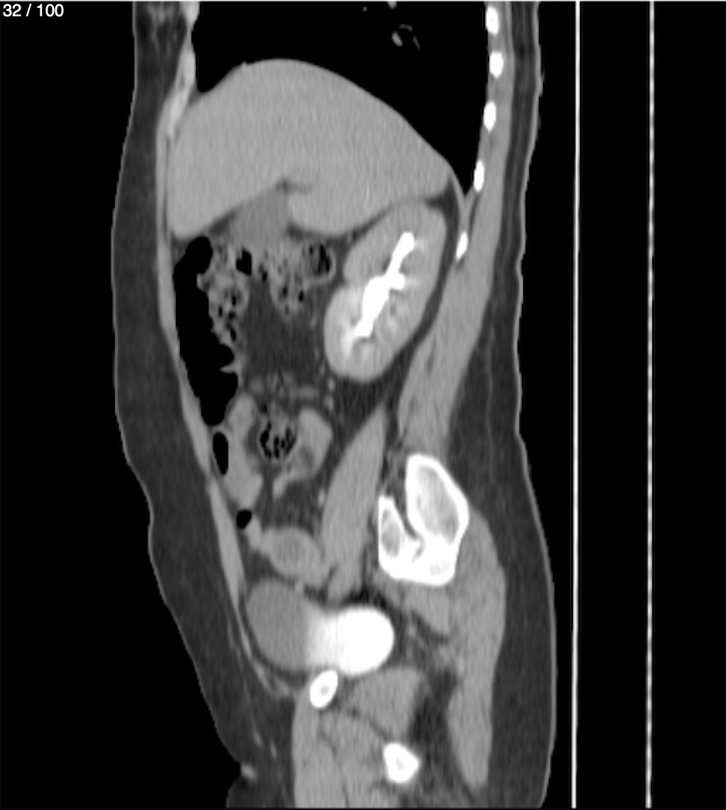
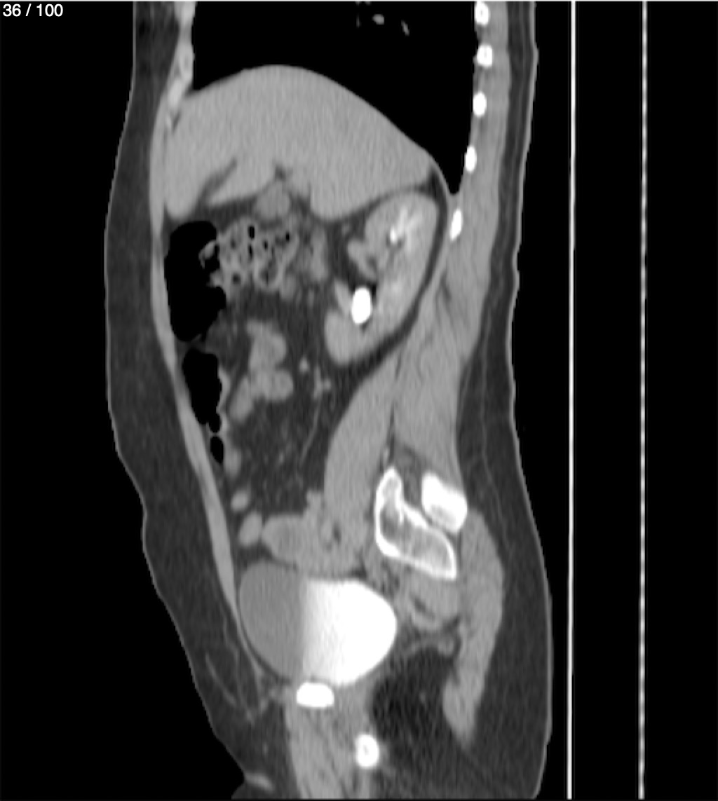
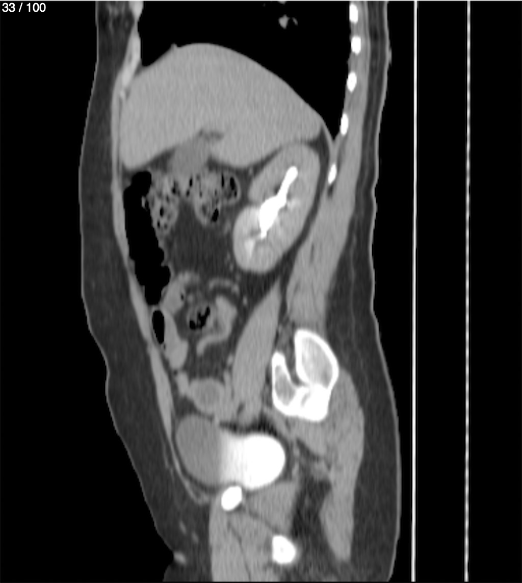
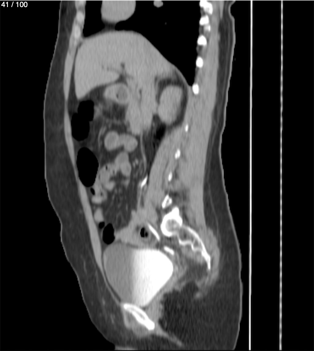
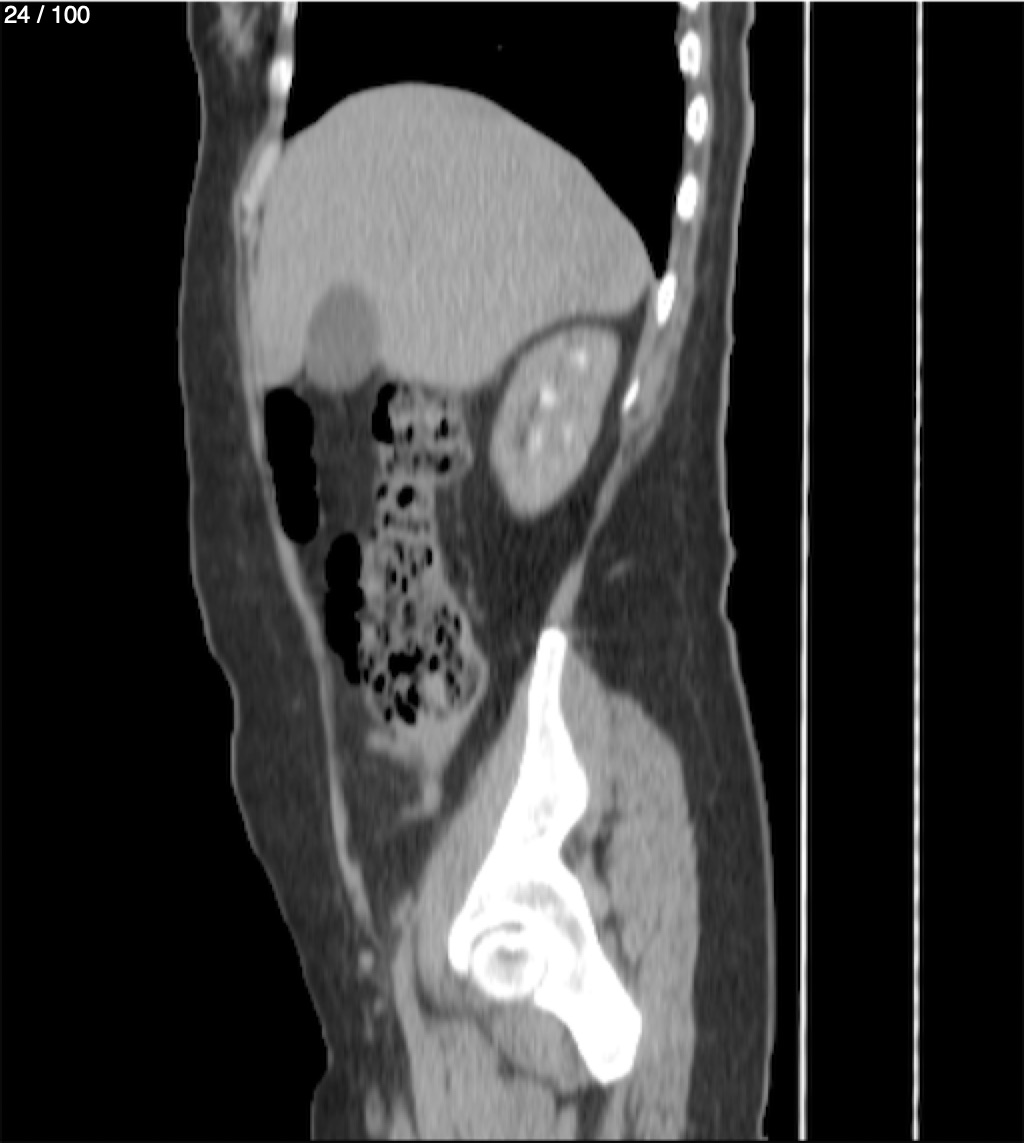
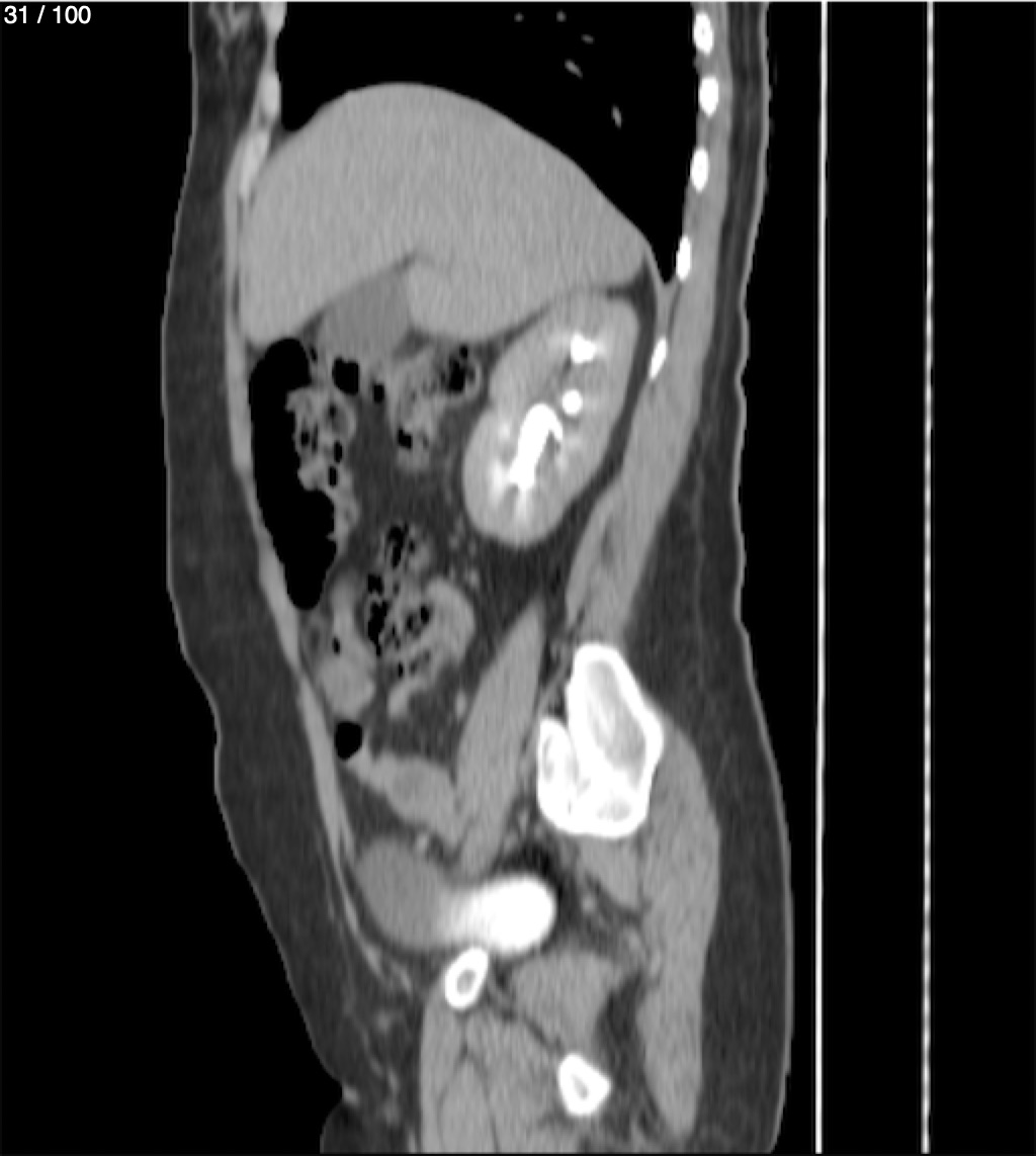
Arely Garcia Garcia 34A - Urotac
Previous Series
Next Series
Show as Sequence