HUIXTLA
ESCUINTLA
AKISHINO
AKISHINO2 USG
ESPECIALIDADES
Home
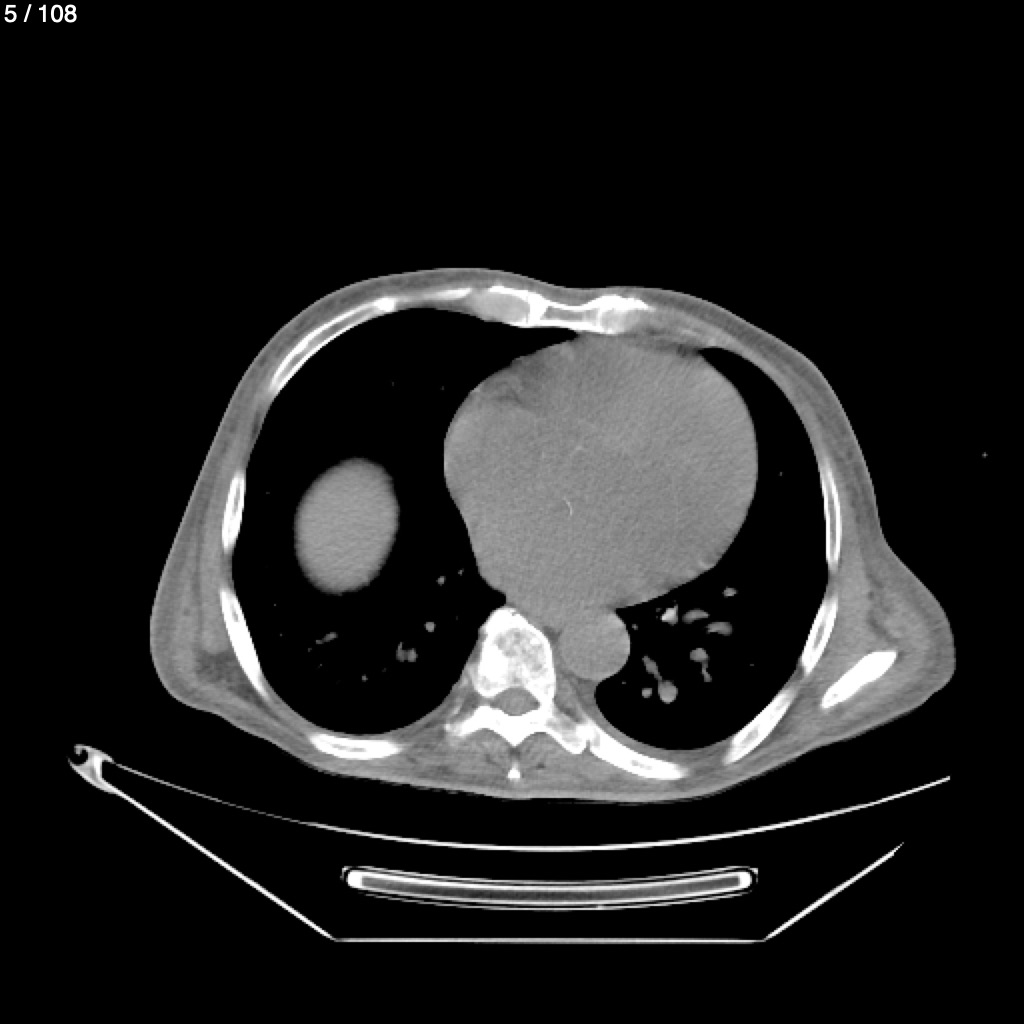
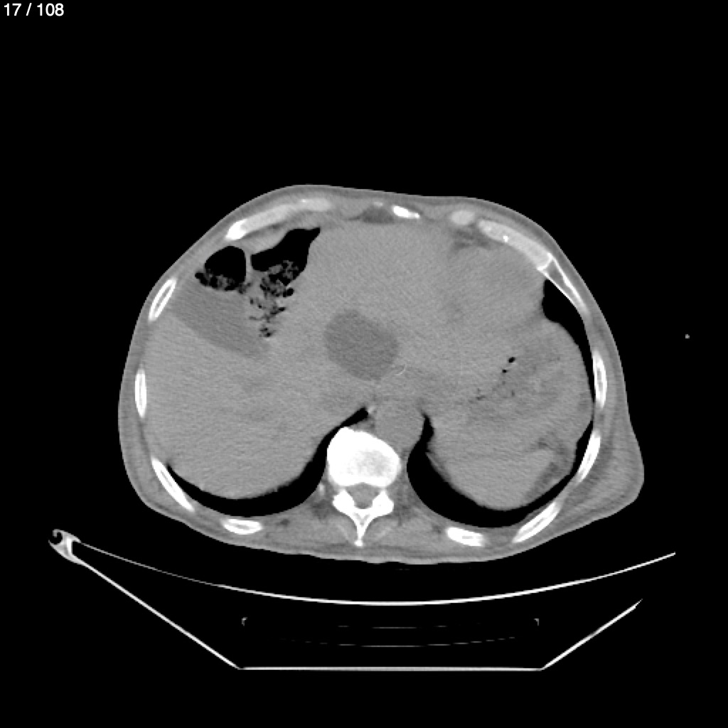
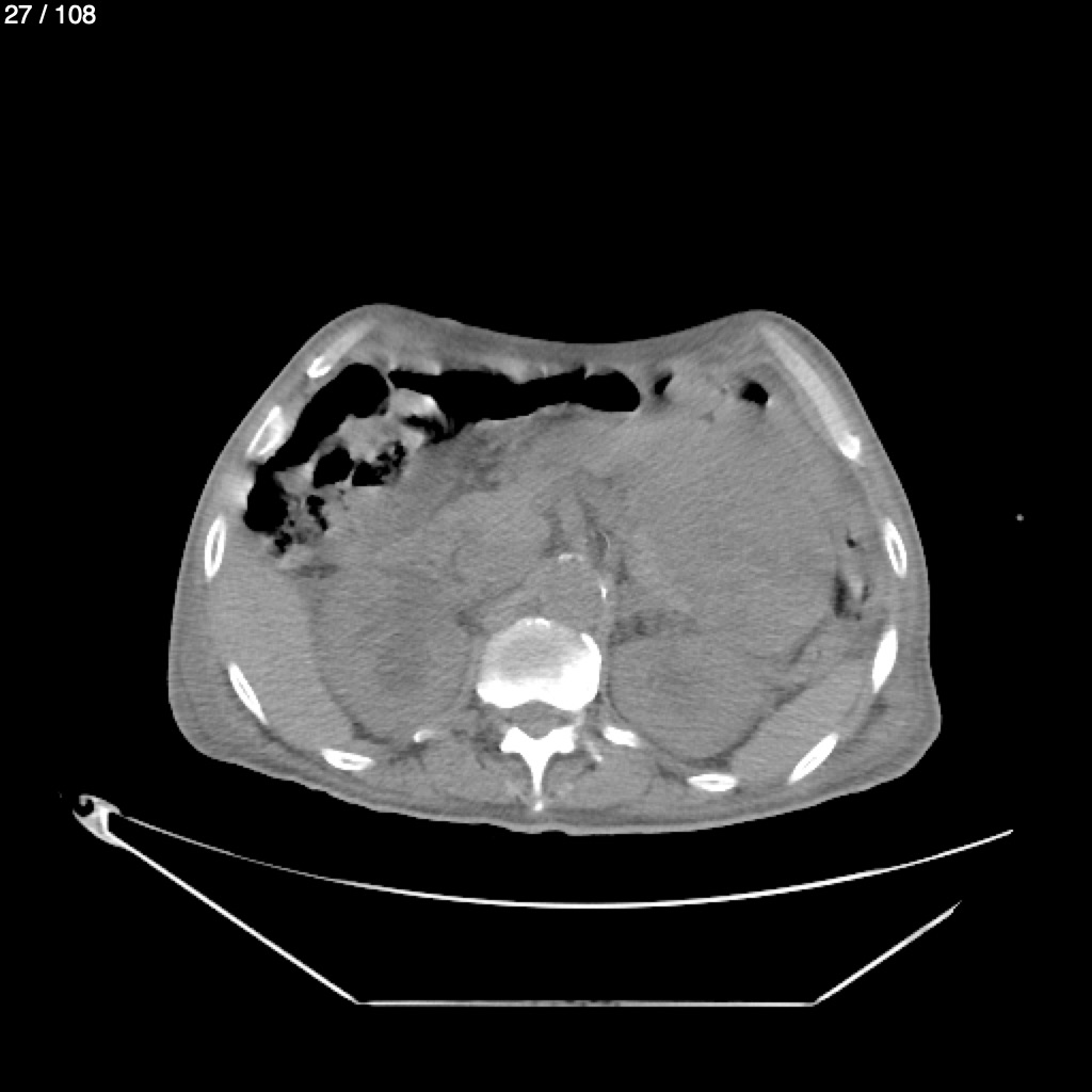
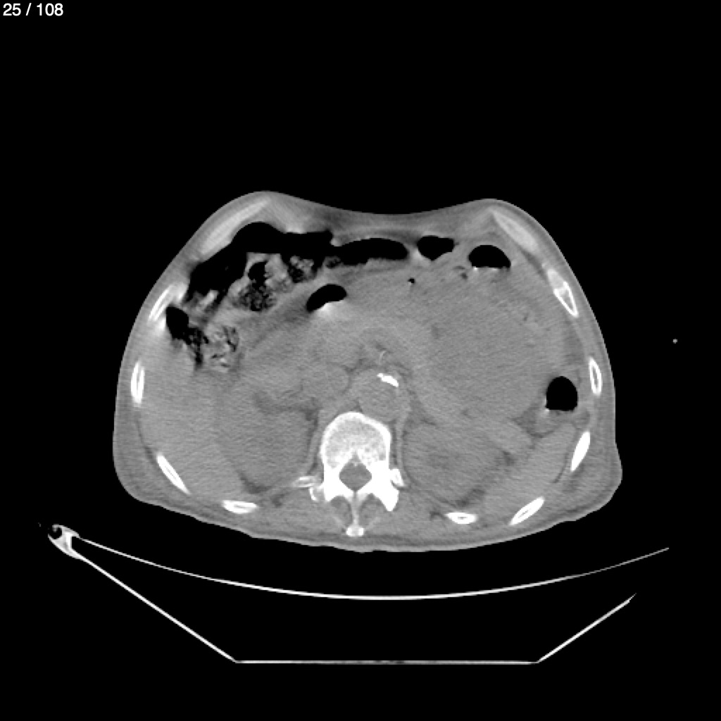
Angel Villalobos Palomeque 73 A - T.C Abdomen Simple
Next Series
Show as Sequence