HUIXTLA
ESCUINTLA
AKISHINO
AKISHINO2 USG
ESPECIALIDADES
Home
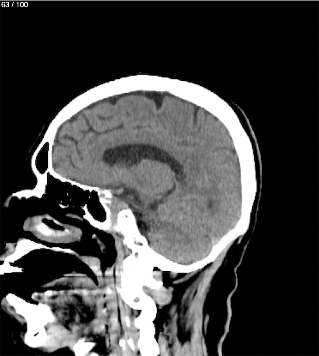
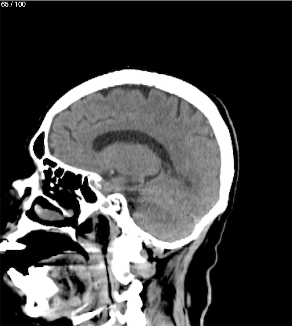
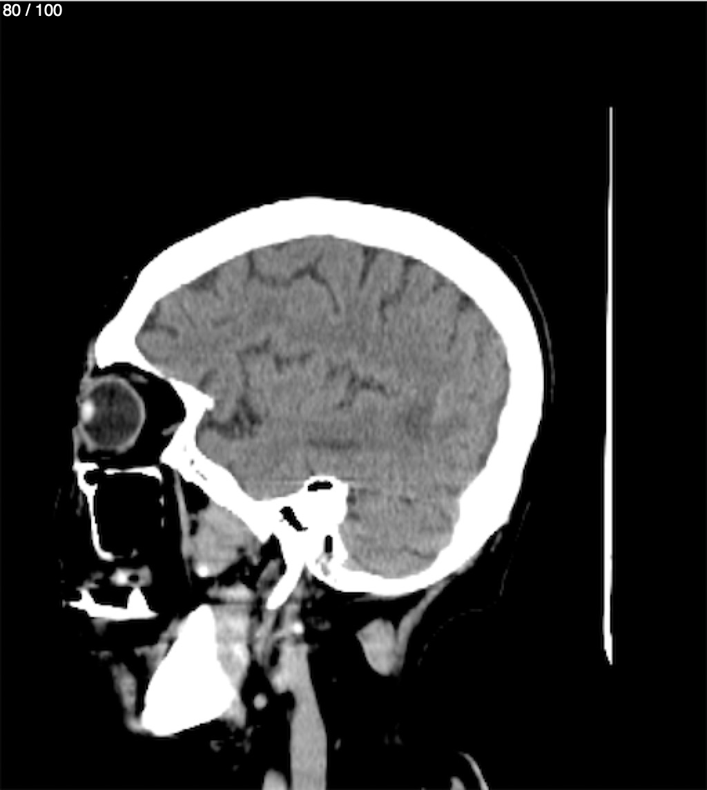
Adulfo Moreno Perez 67A - Tc. Craneo Syc
Previous Series
Next Series
Show as Sequence