HUIXTLA
ESCUINTLA
AKISHINO
AKISHINO2 USG
ESPECIALIDADES
Home
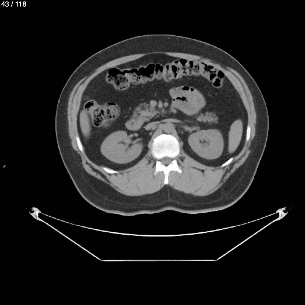
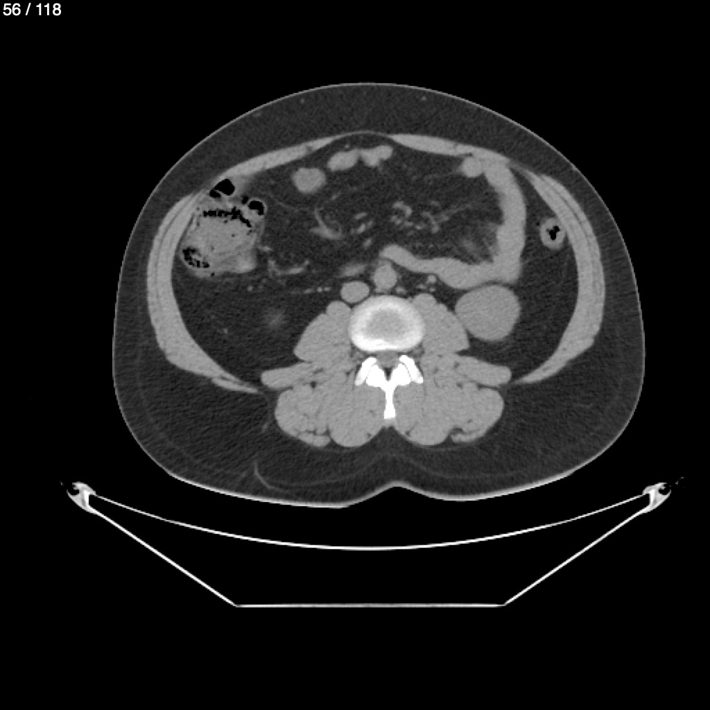
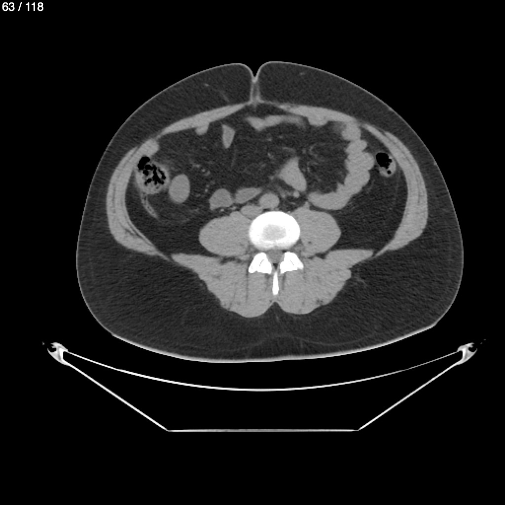
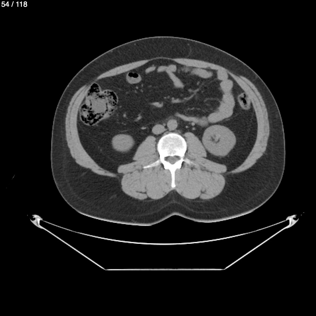
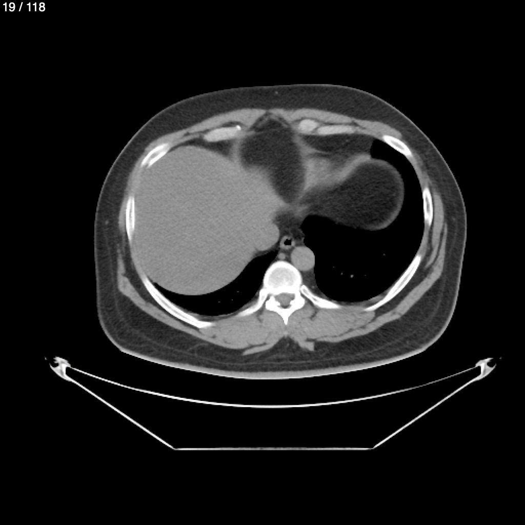
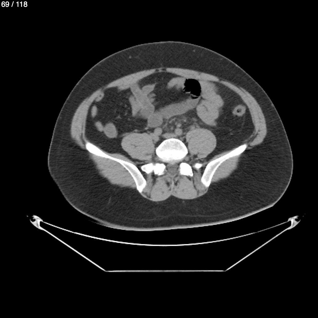
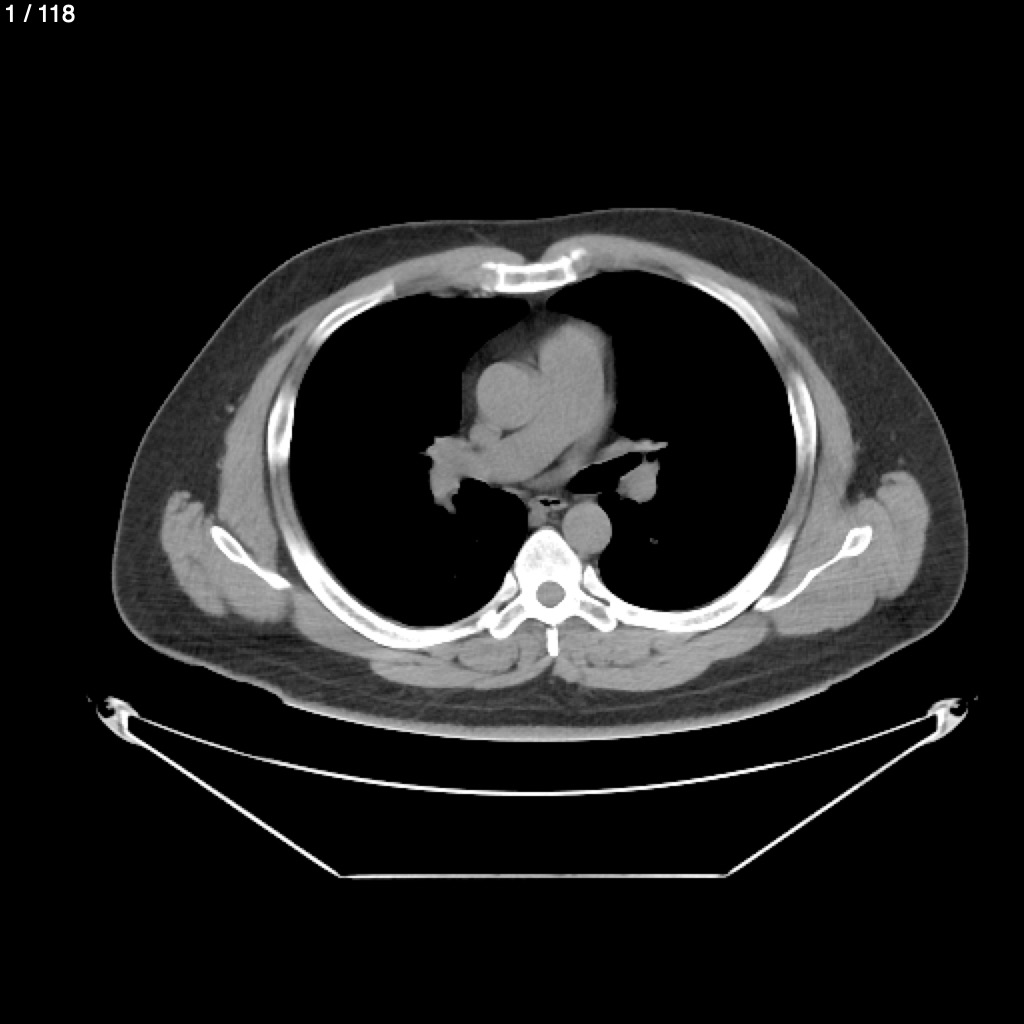
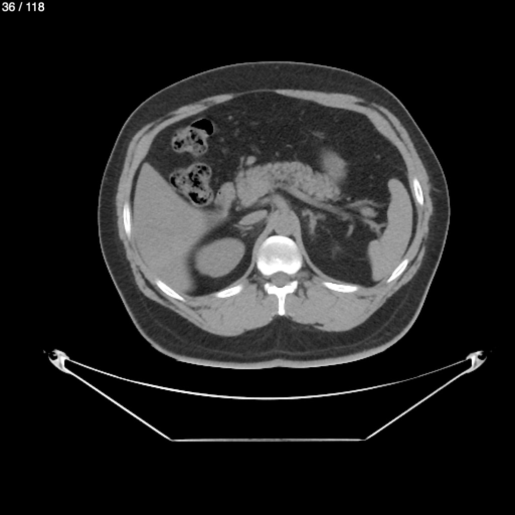
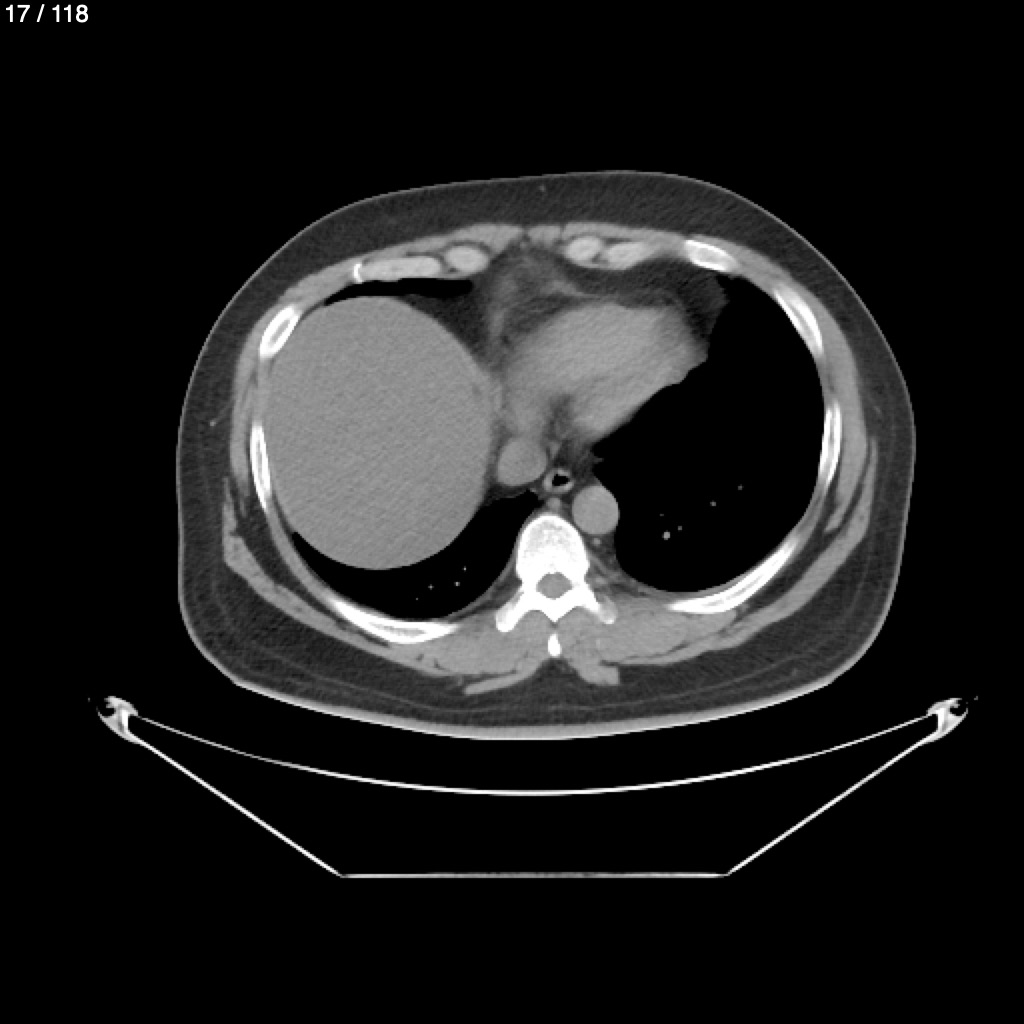
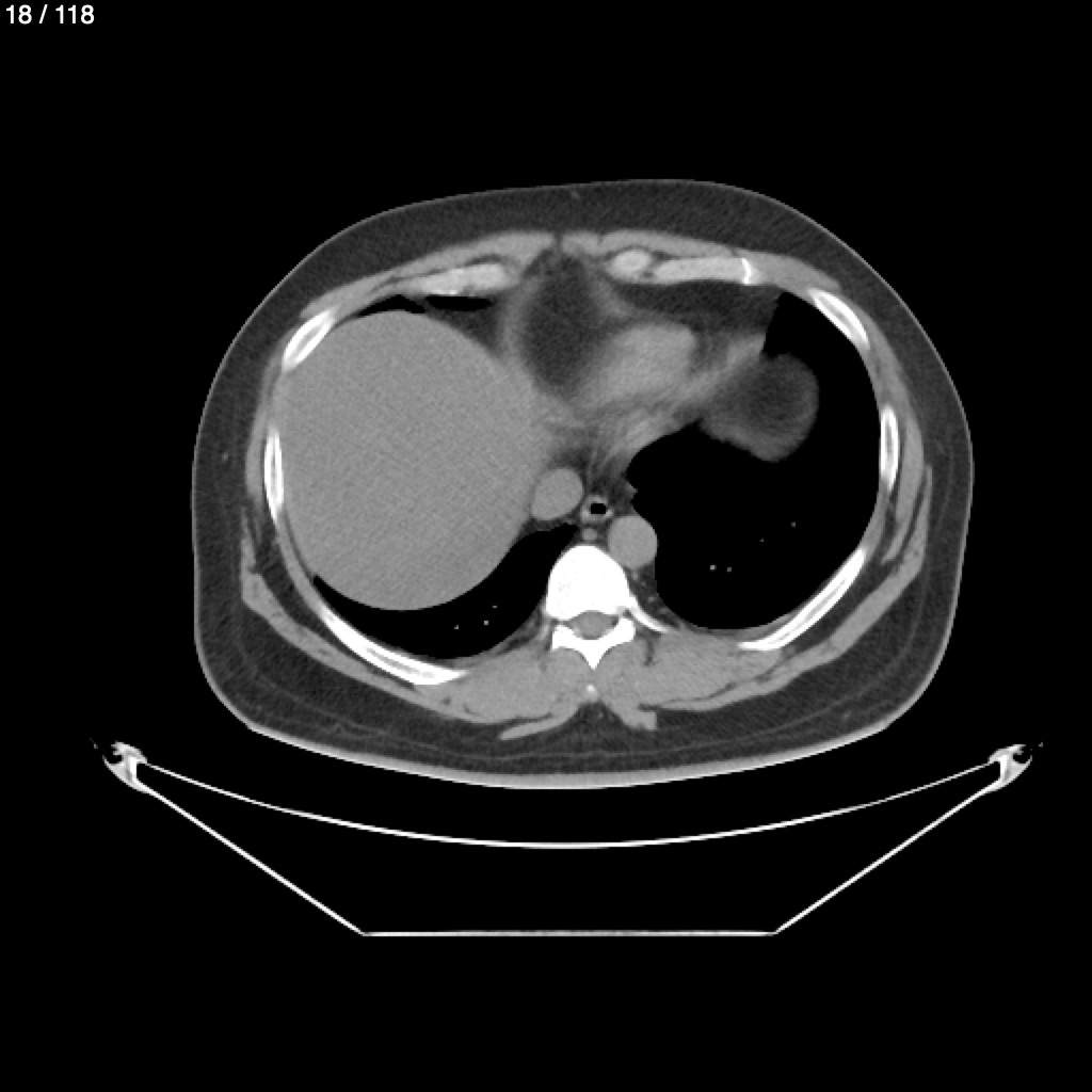
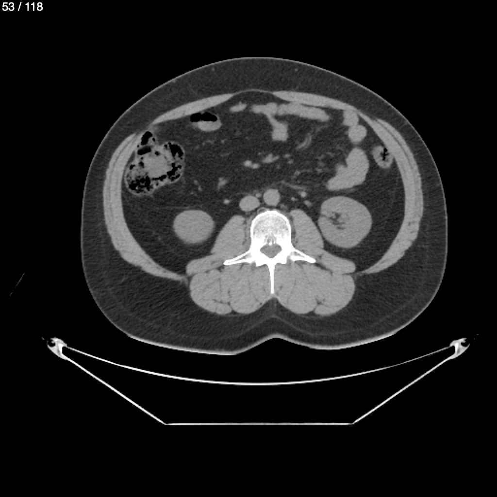
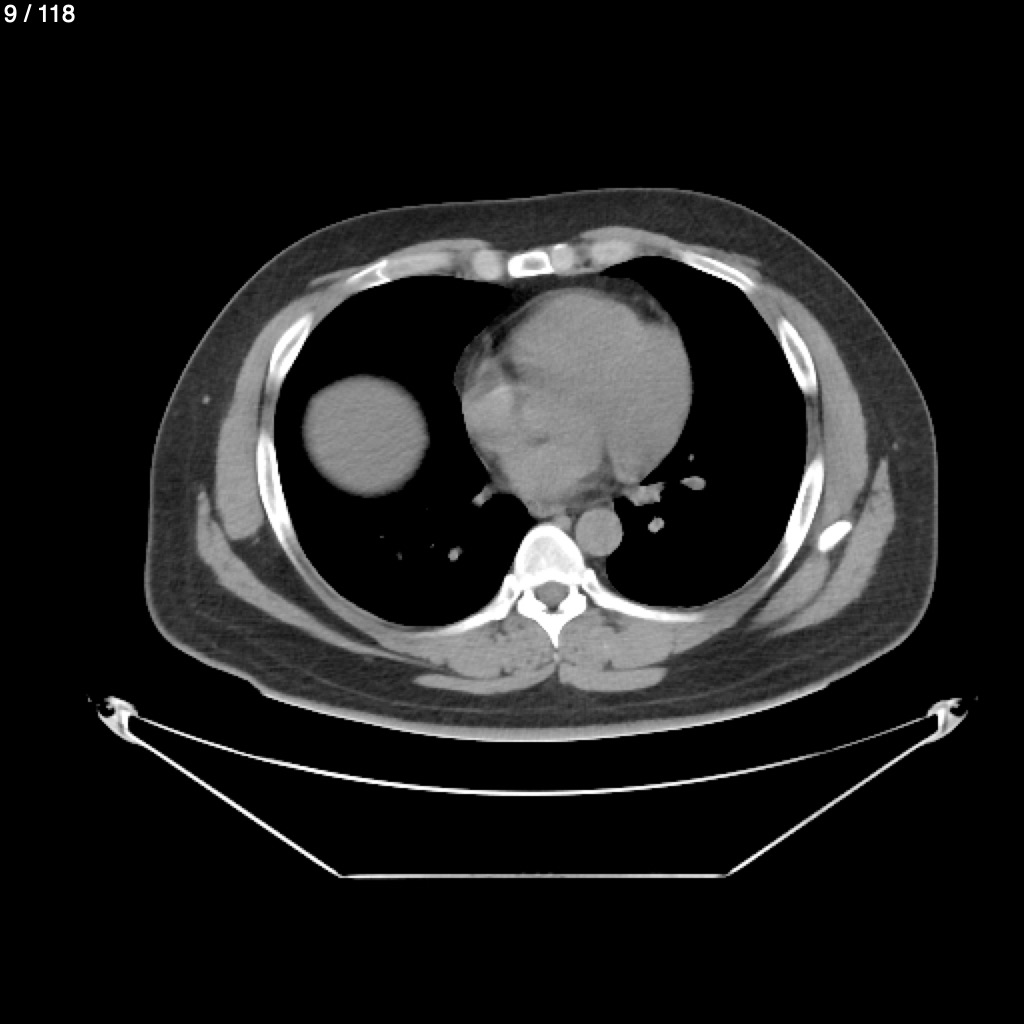
Alberto Meneses Ochoa 38A - T.C Abdomen Syc
Next Series
Show as Sequence