HUIXTLA
ESCUINTLA
AKISHINO
AKISHINO2 USG
ESPECIALIDADES
Home
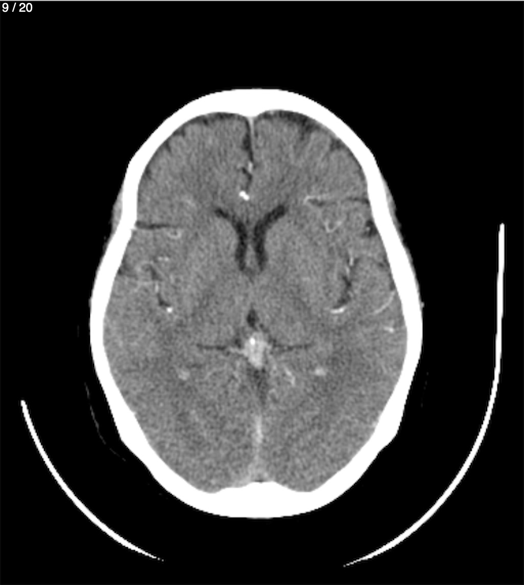
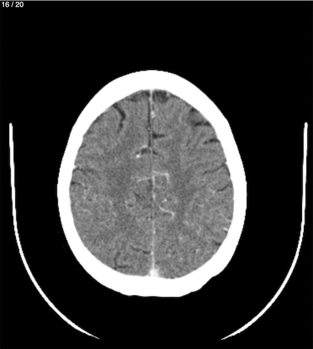
Angelina Verdugo Vasques 76A - Tc. Craneo Syc
Previous Series
Show as Sequence