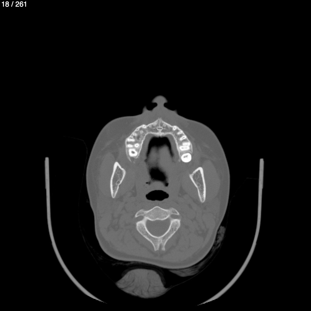
Home B​i​l​i​a​m​ ​C​a​m​i​l​a​ ​R​a​m​i​r​e​z​ ​F​u​e​n​t​e​s​ ​1​4​ ​-​ ​T​.​C​ ​C​r​a​n​e​o