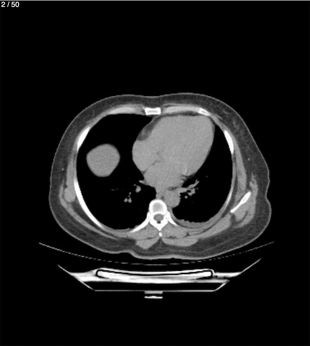
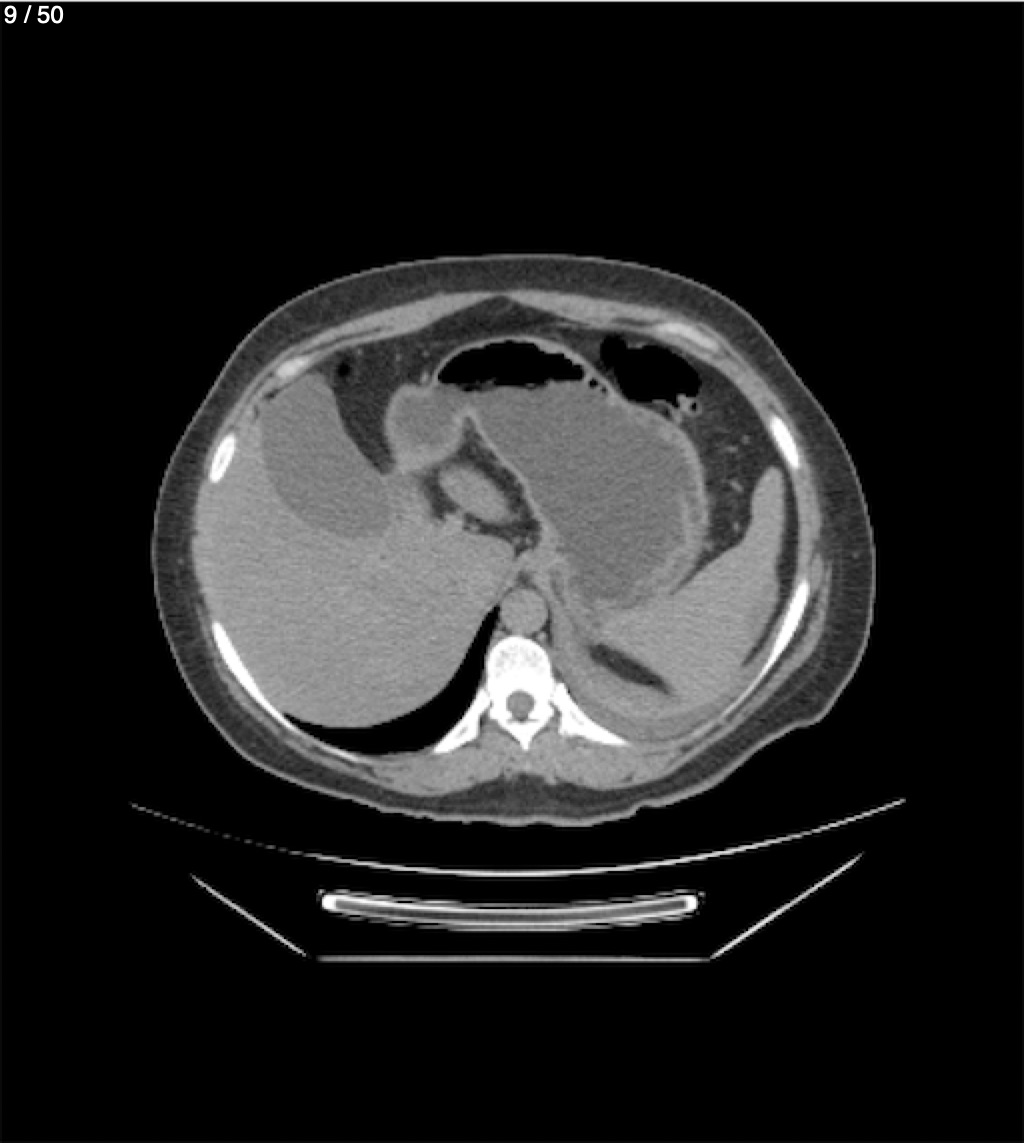
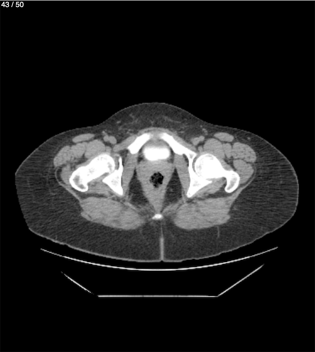
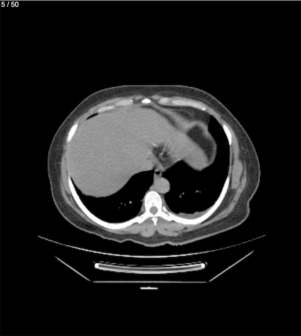
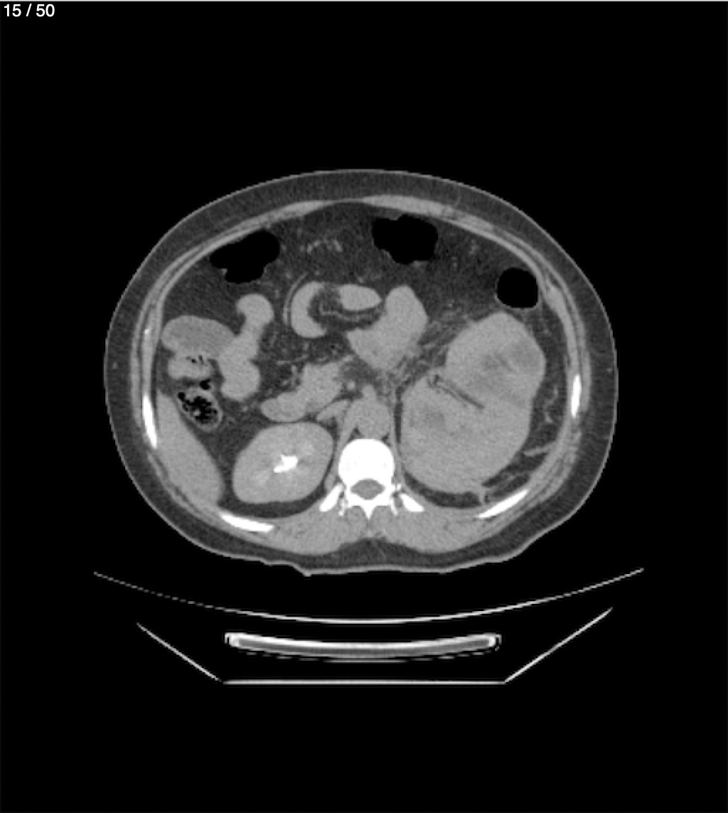
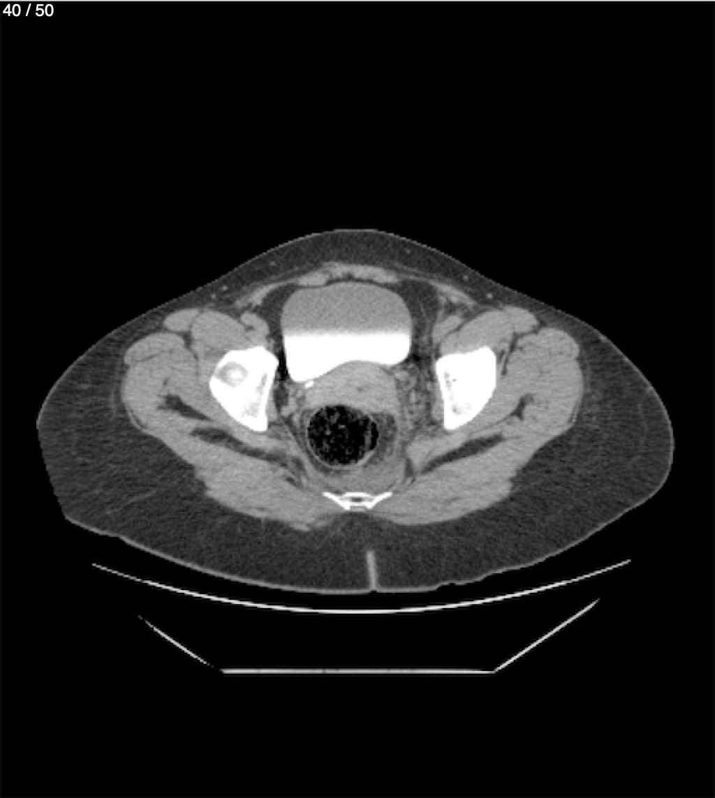
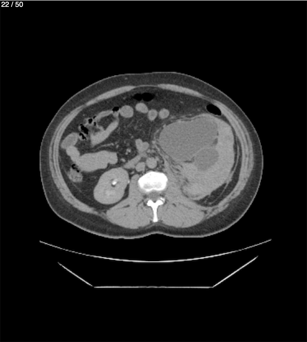
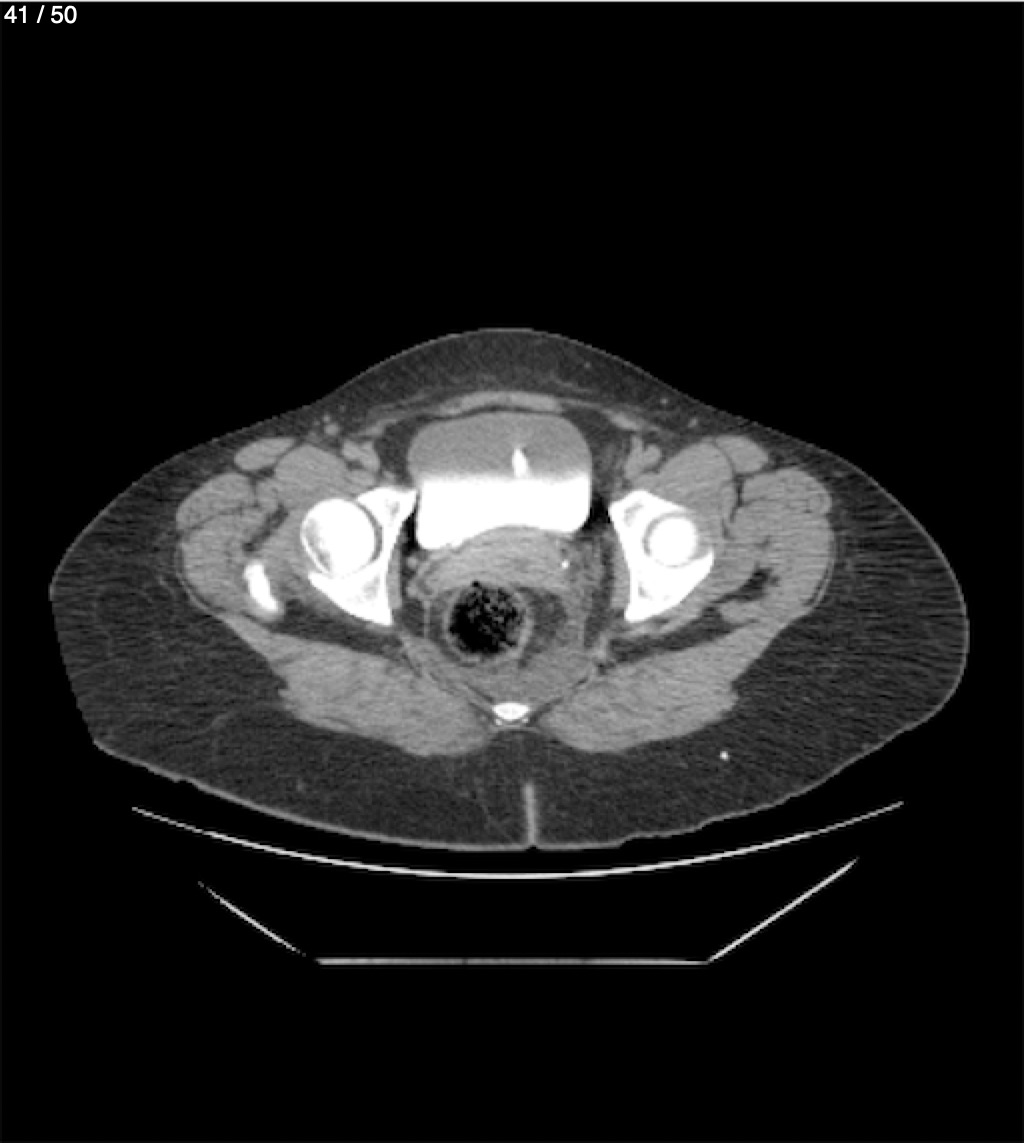
Home M​a​r​c​e​l​a​ ​L​o​p​e​z​ ​P​e​r​e​z​ ​4​4​A​ ​-​ ​U​r​o​t​a​c