HUIXTLA
ESCUINTLA
AKISHINO
AKISHINO2 USG
ESPECIALIDADES
Home
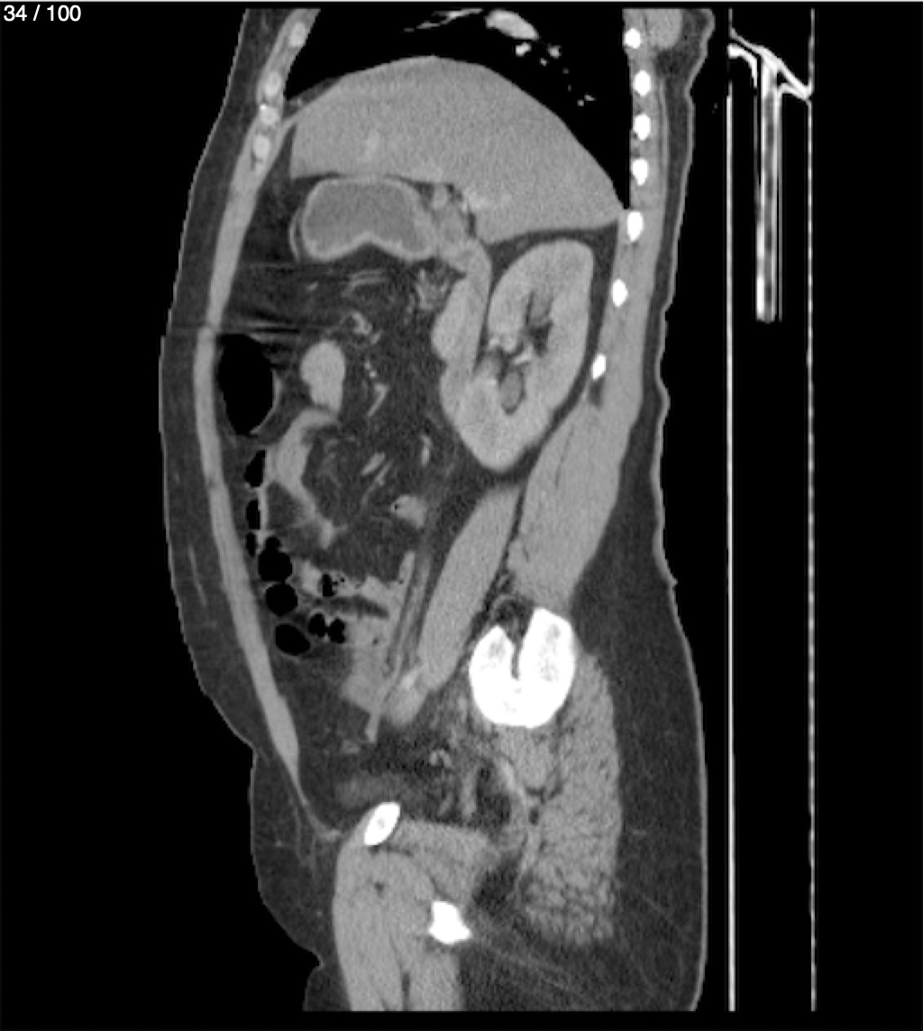
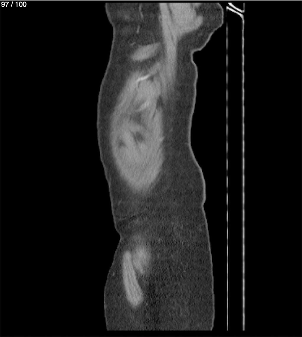
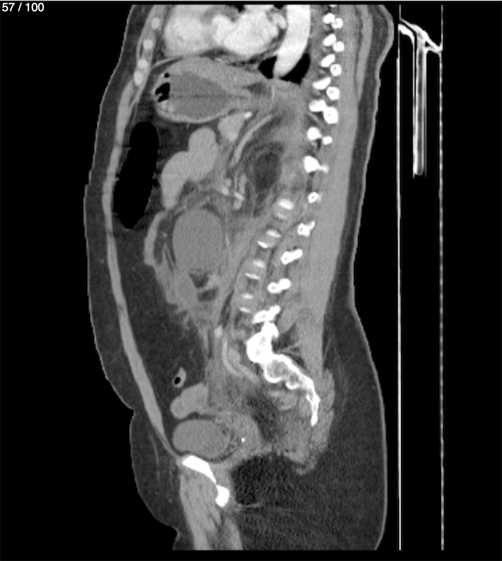
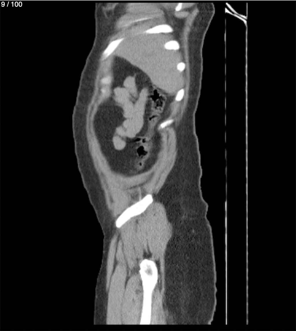
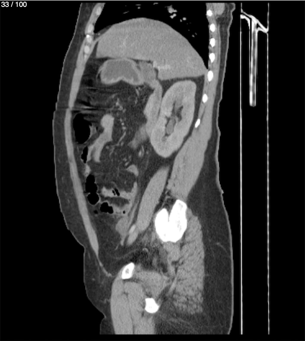
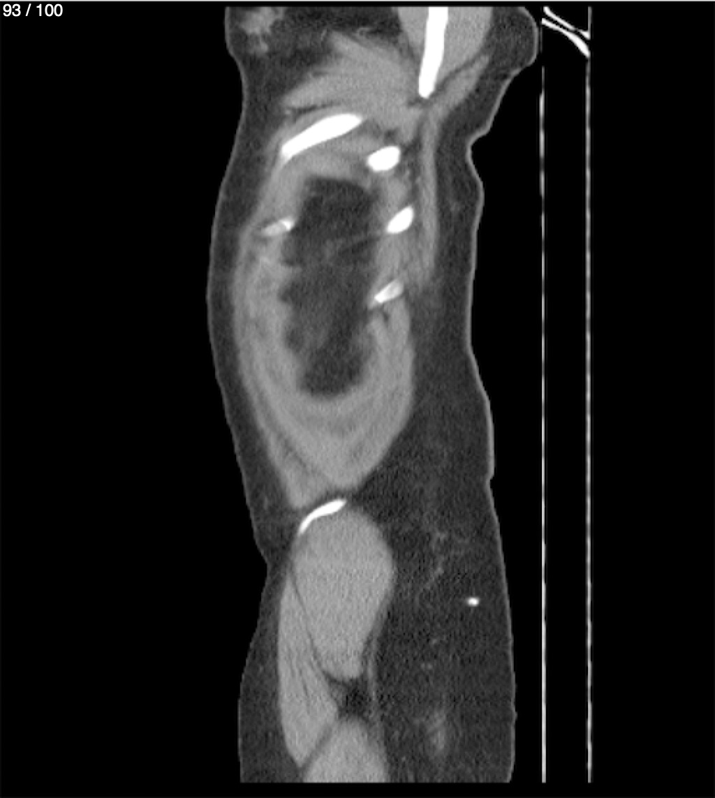
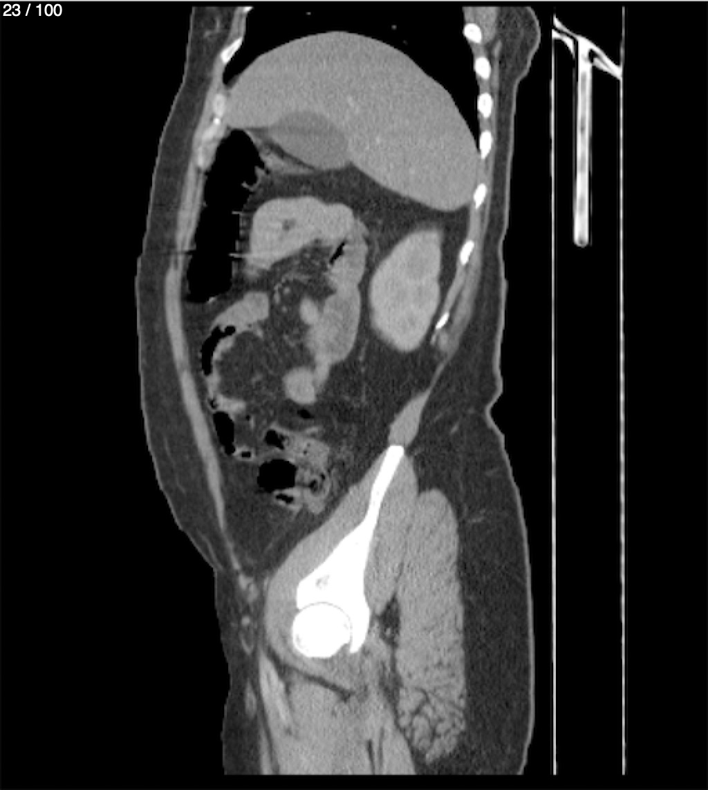
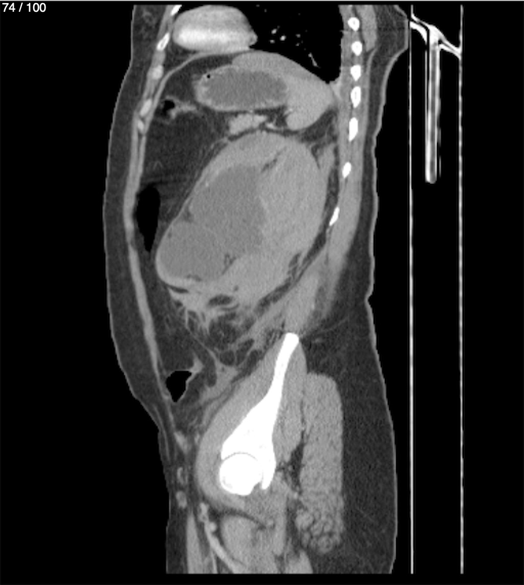
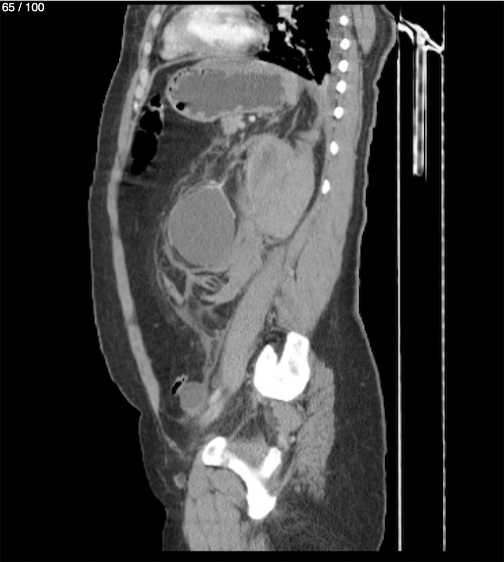
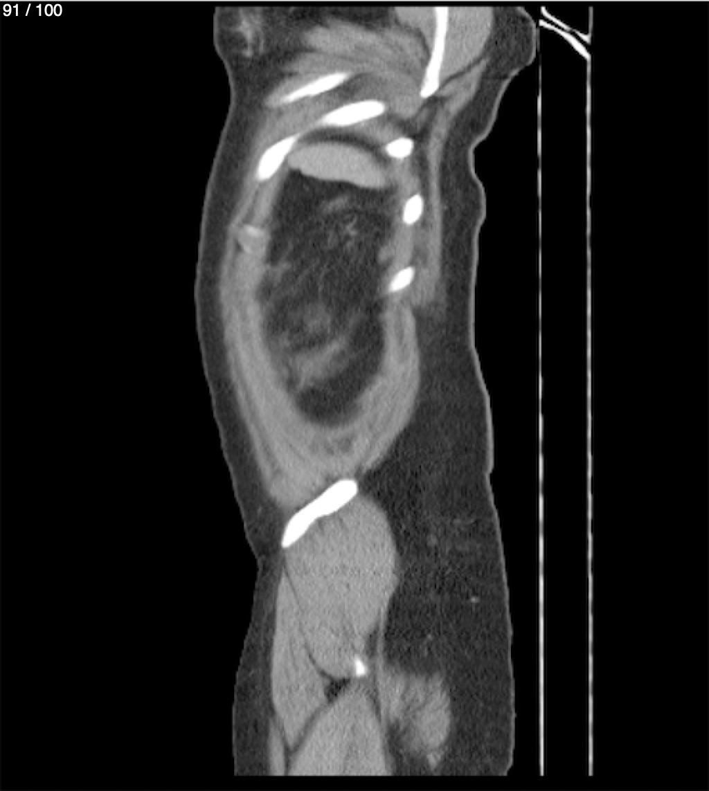
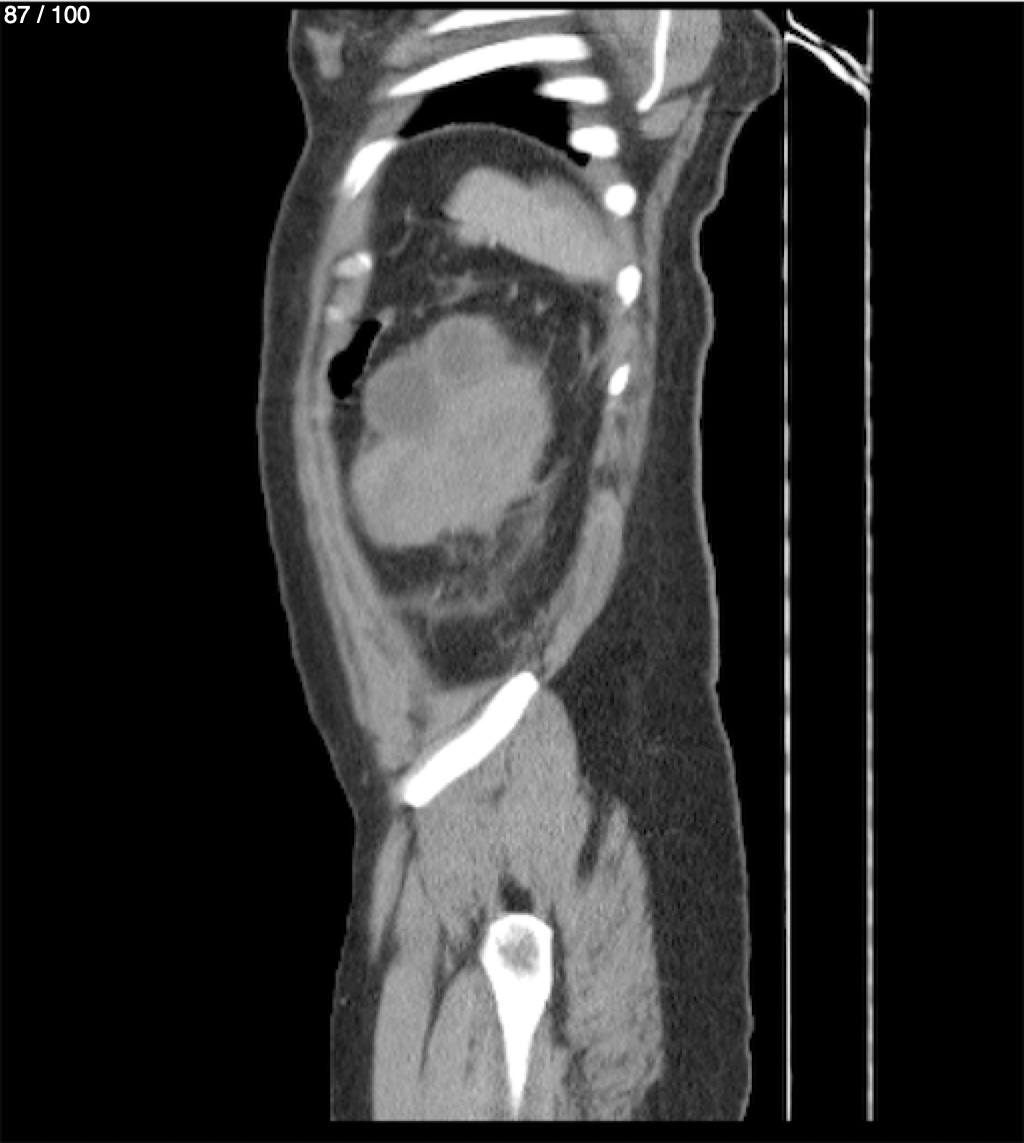
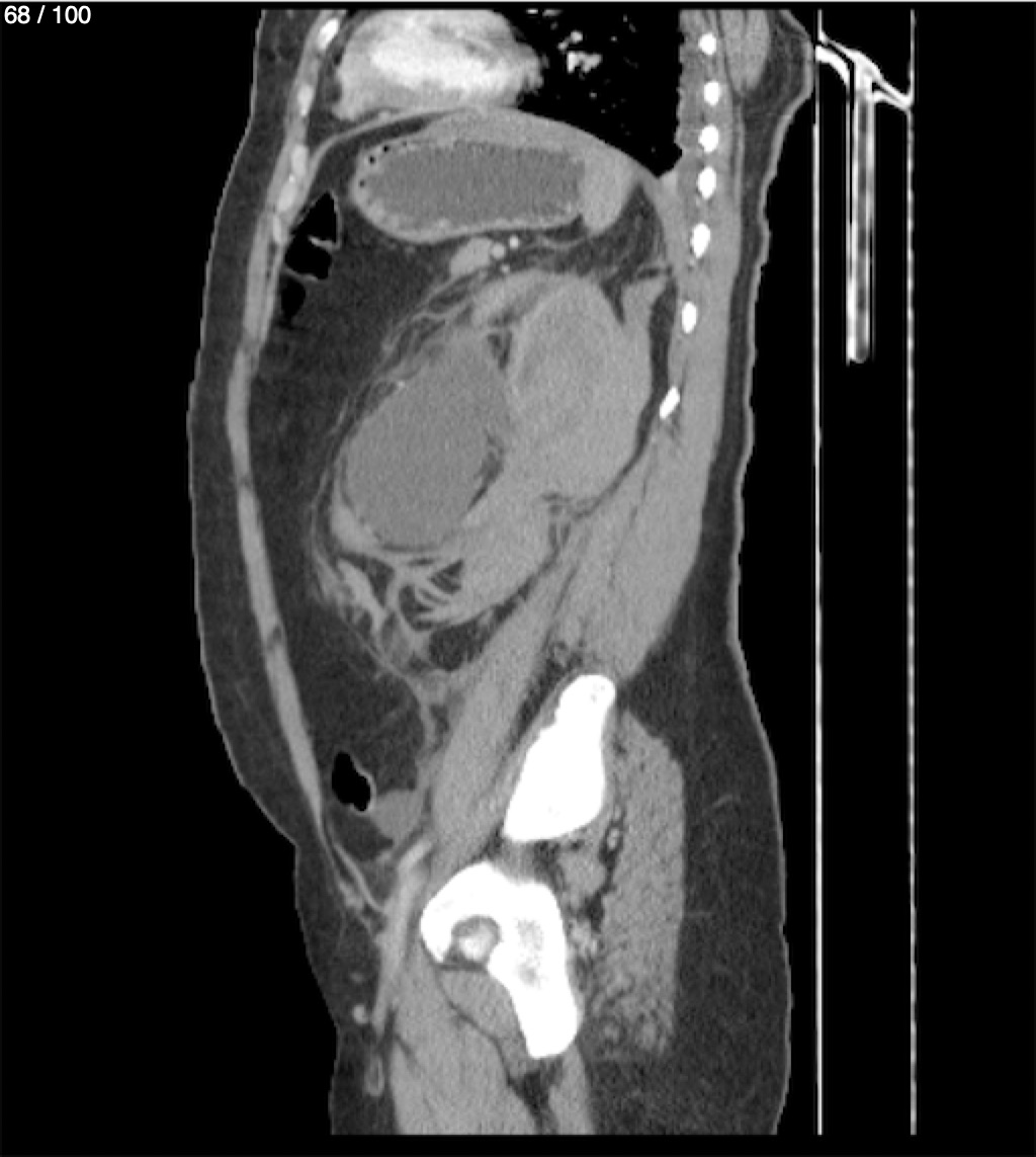
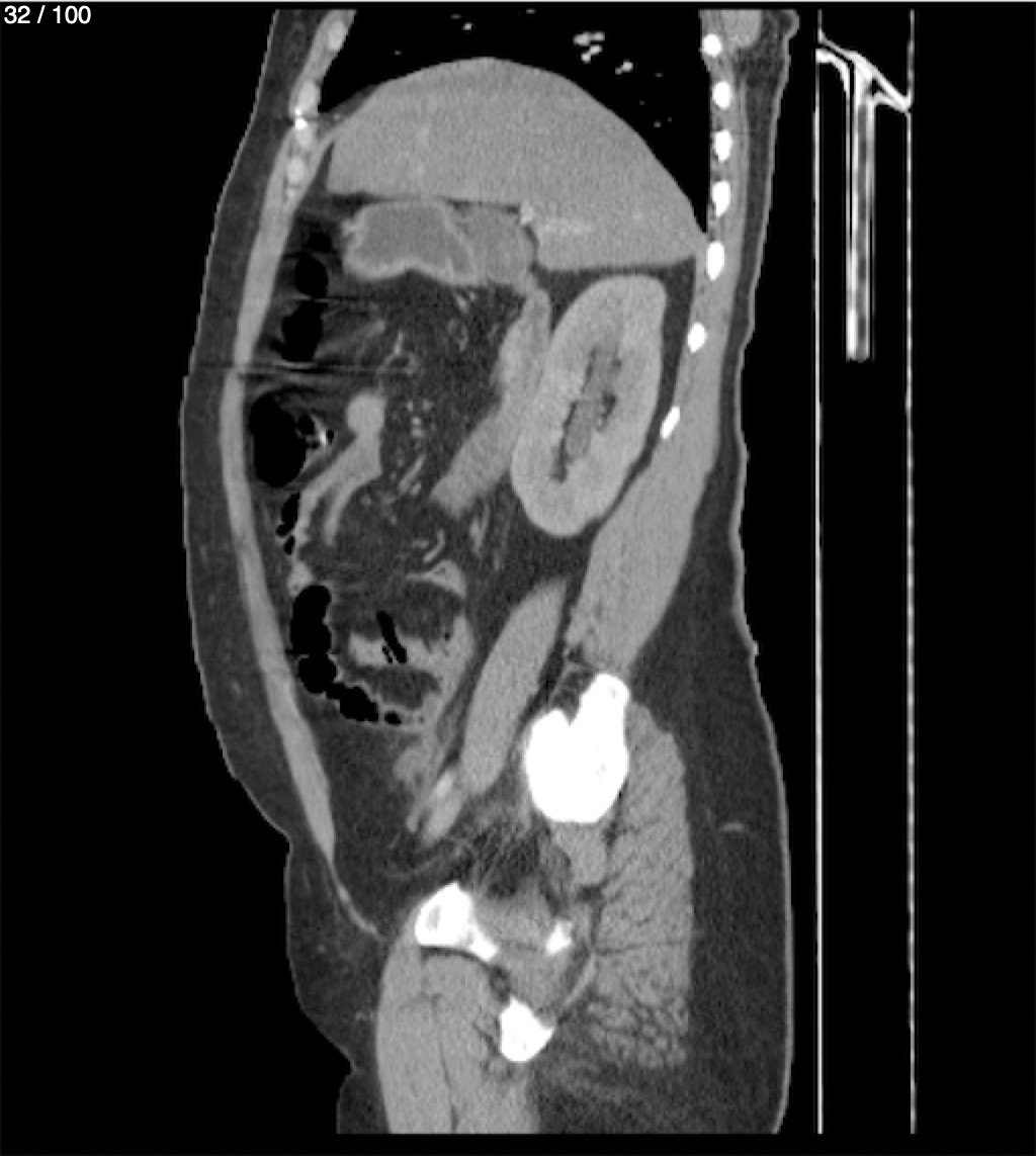
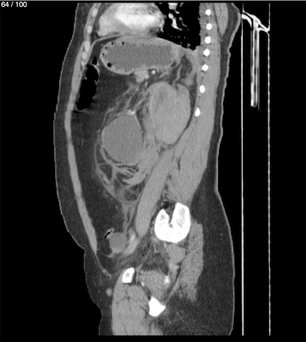
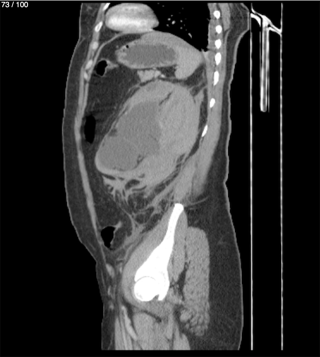
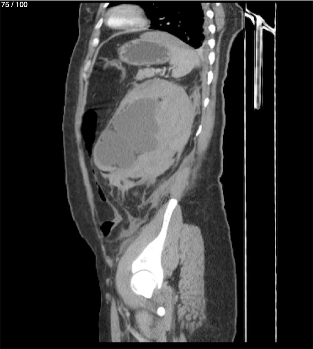
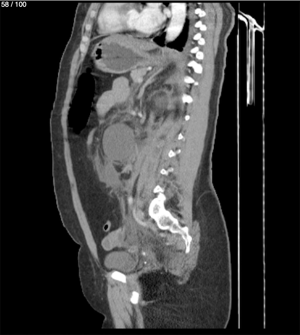
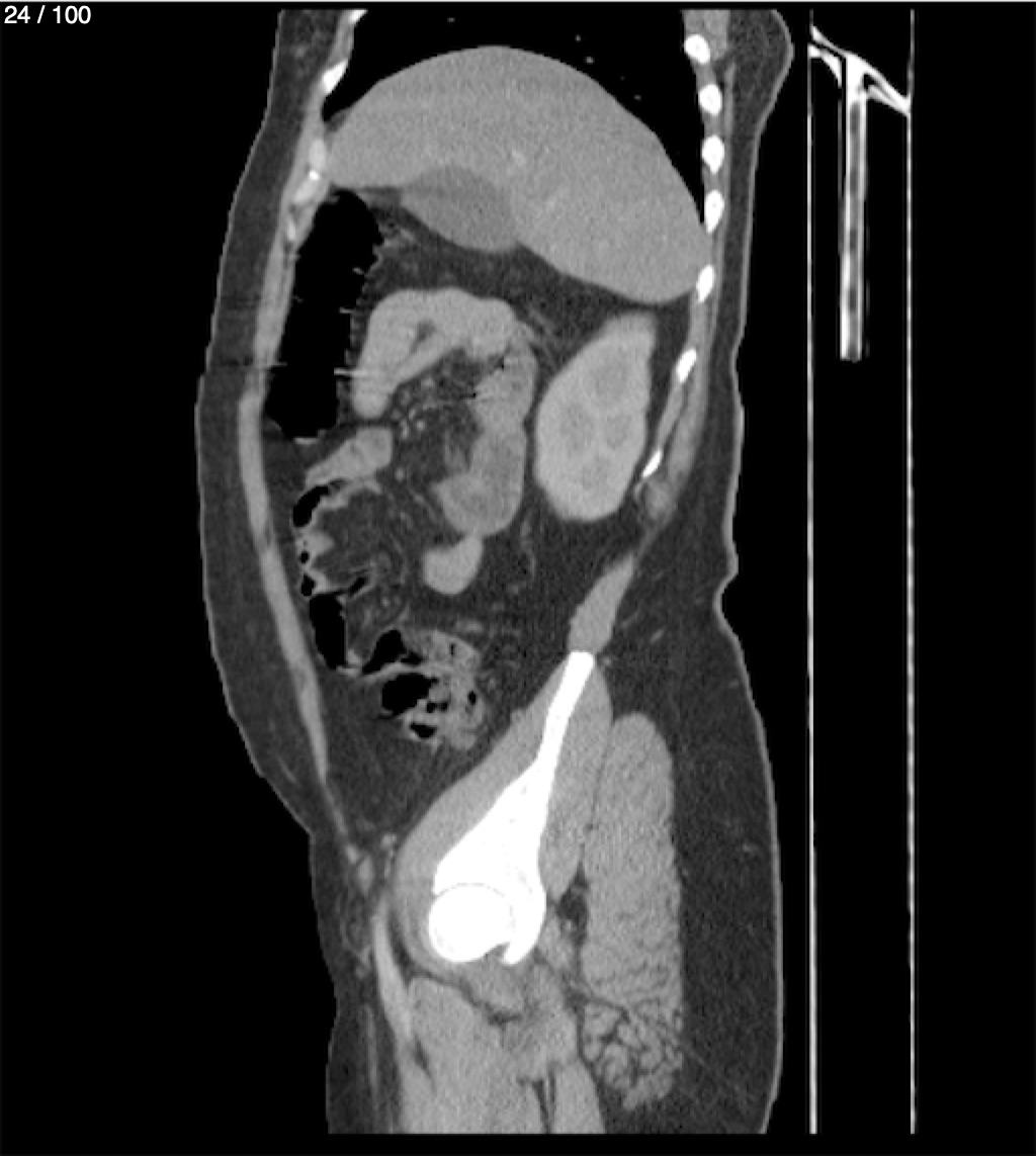
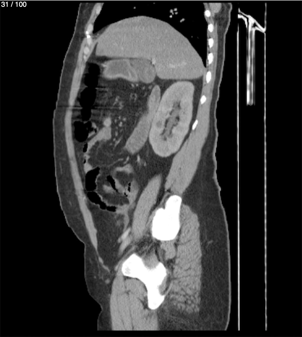
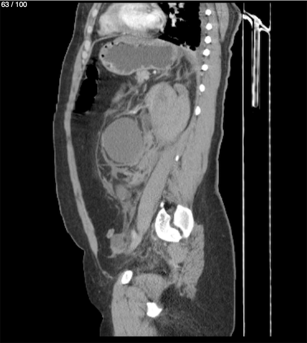
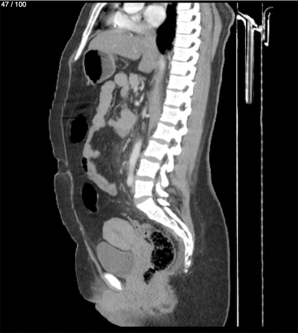
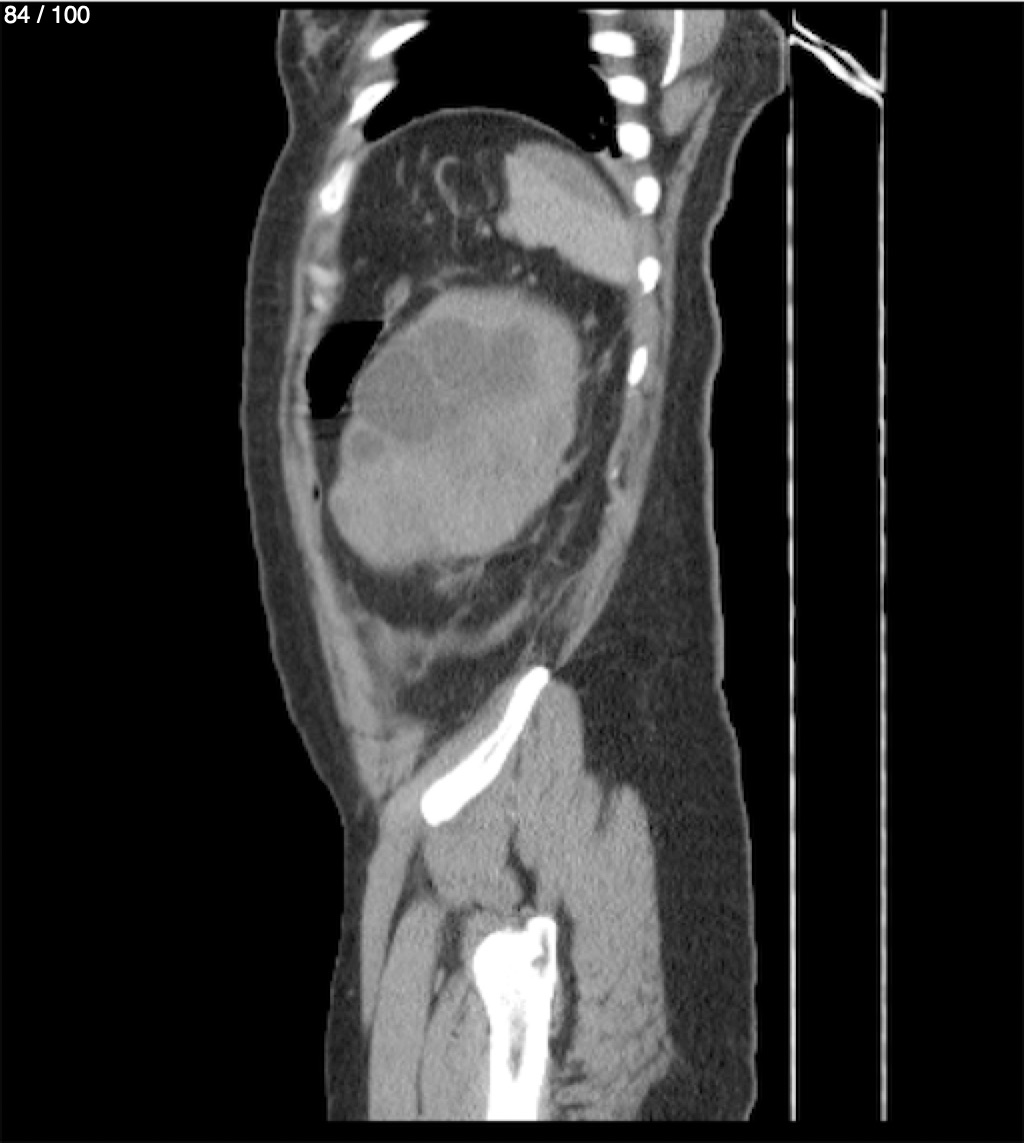
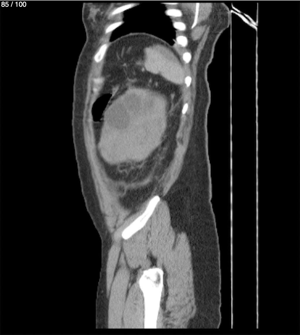
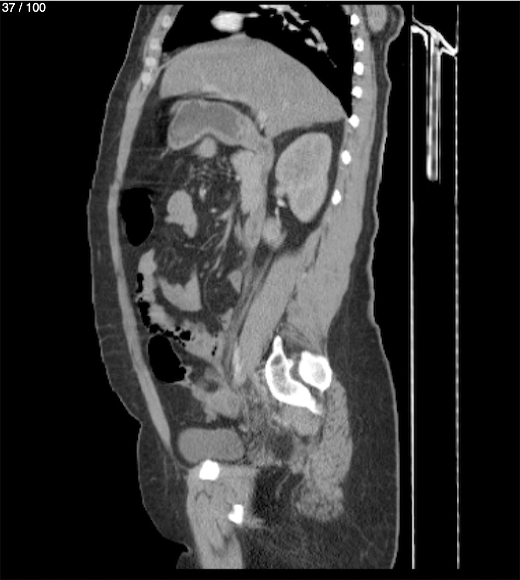
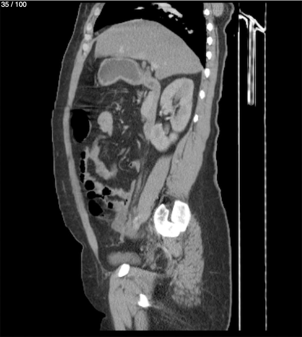
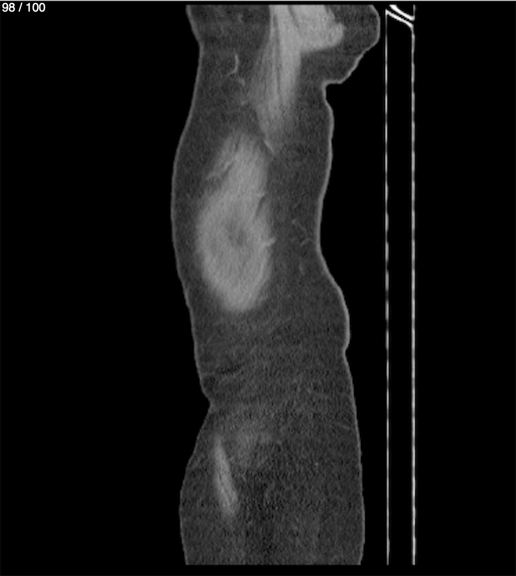
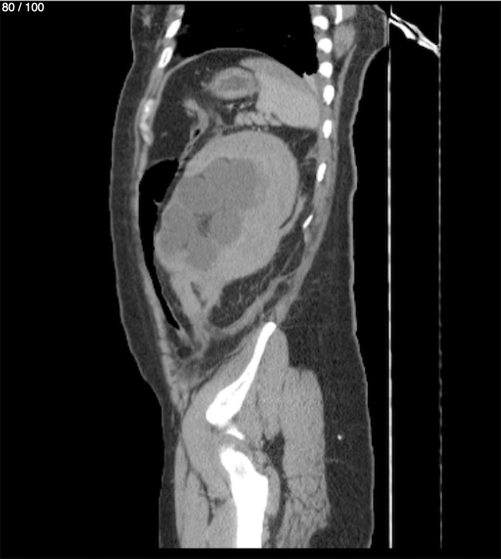
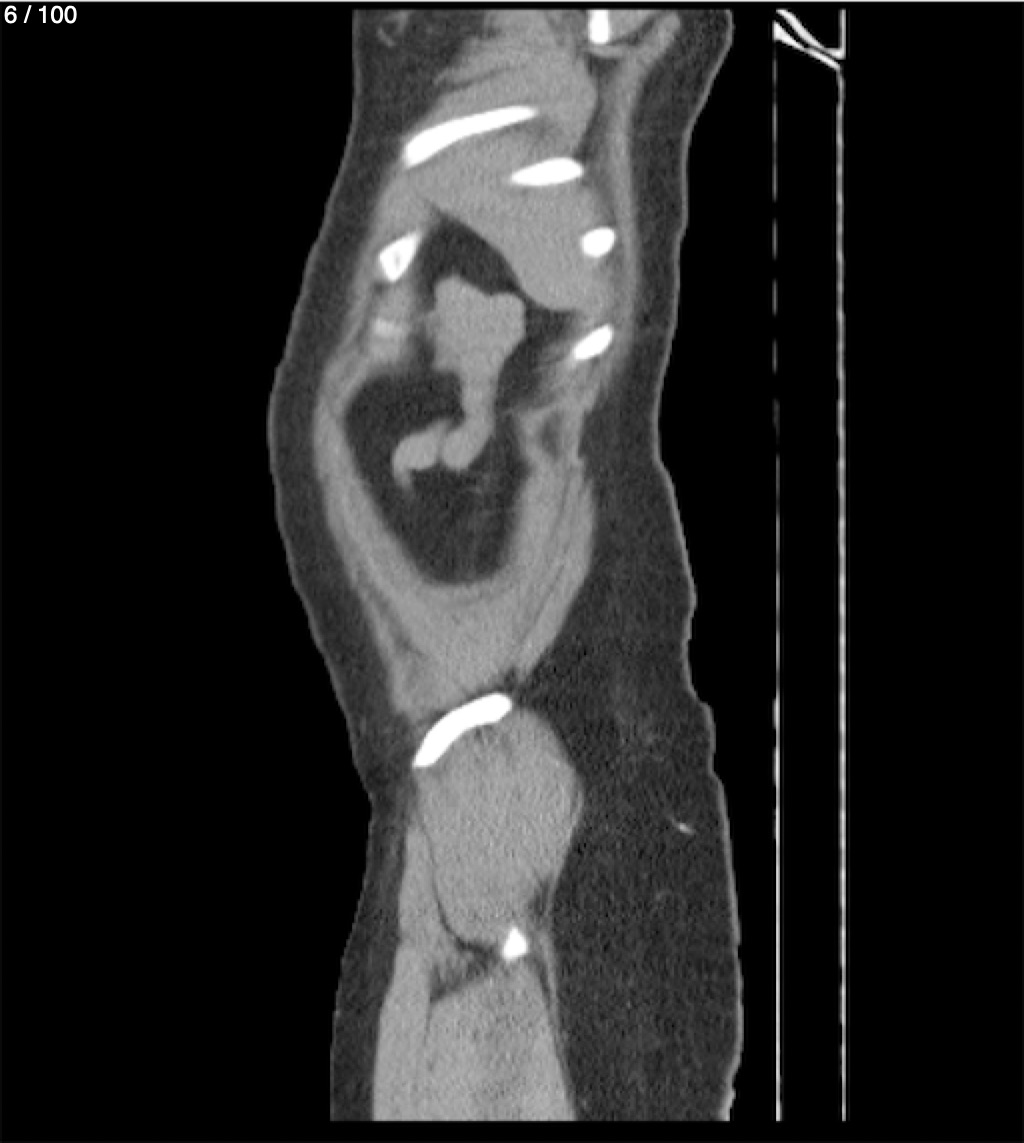
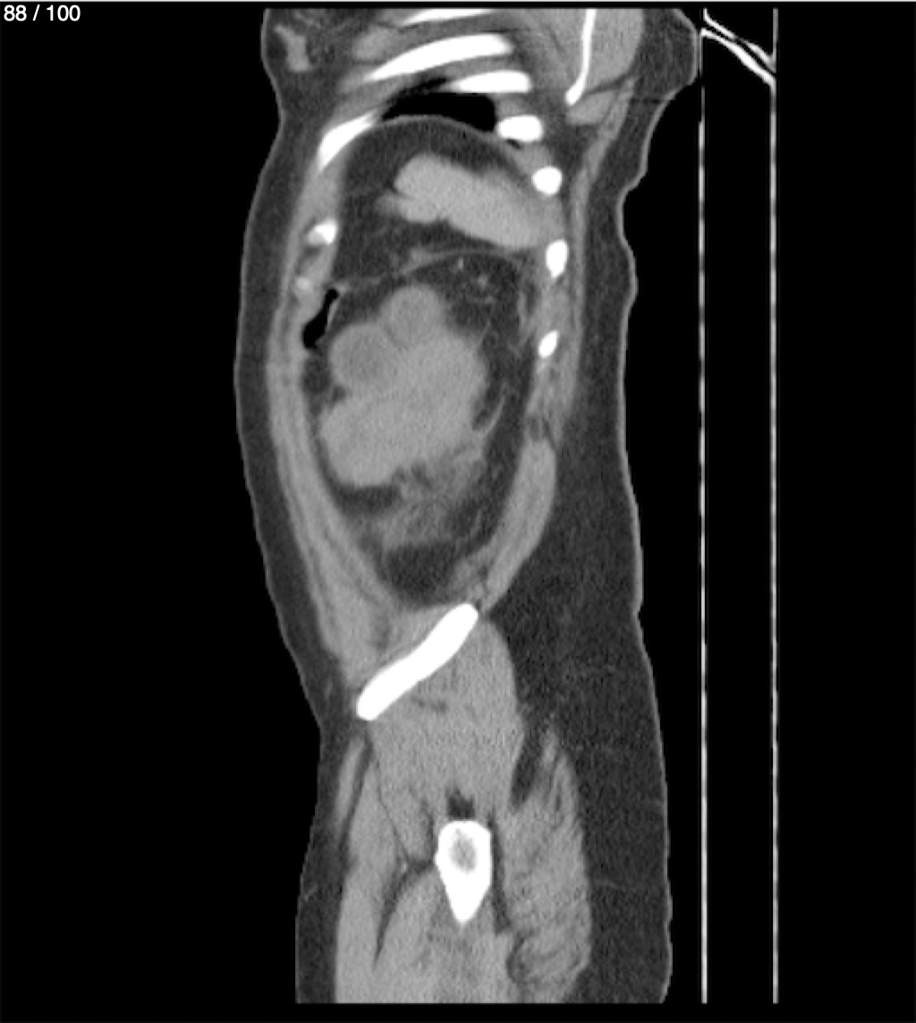
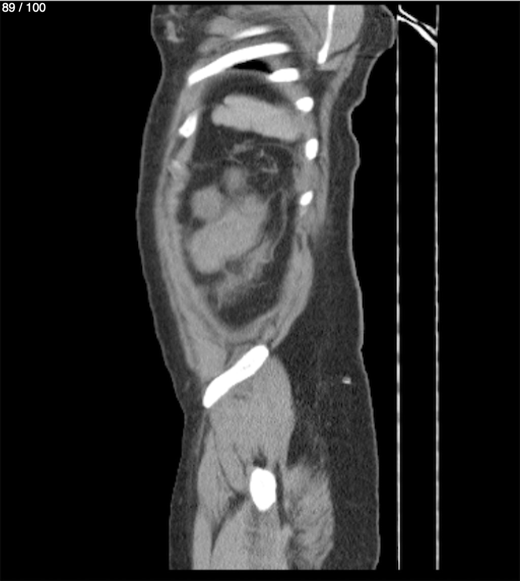
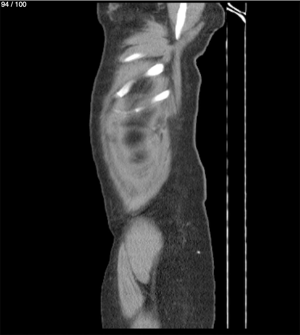
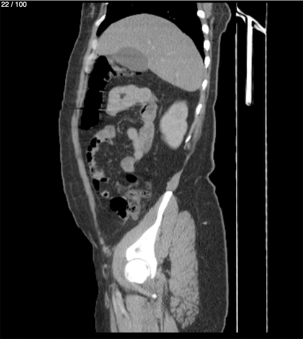
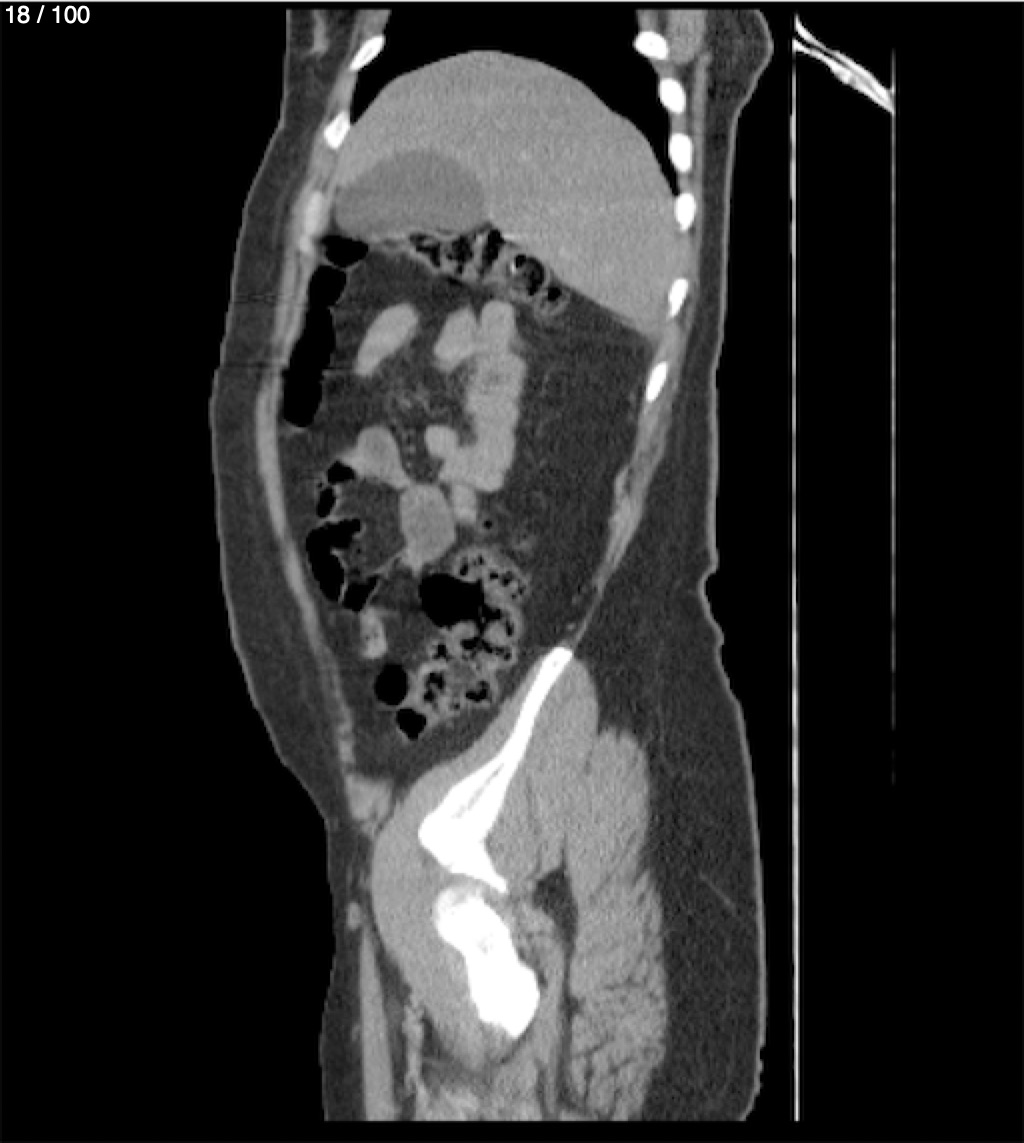
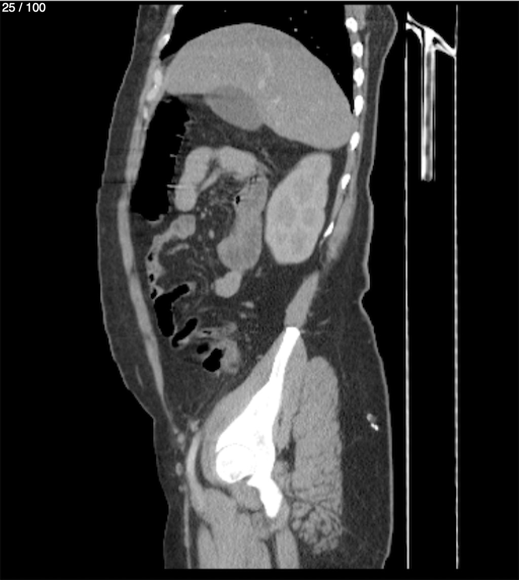
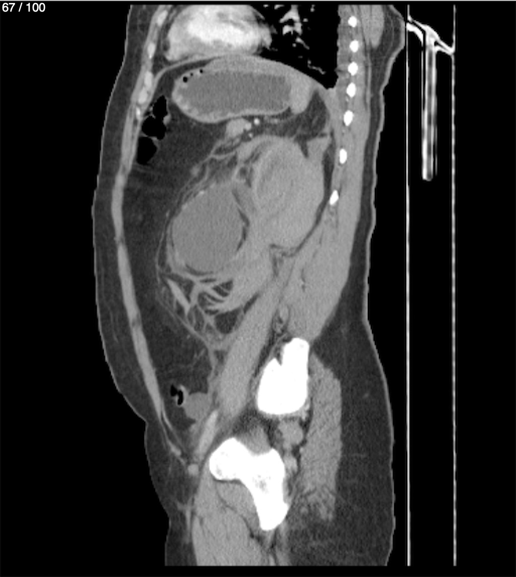
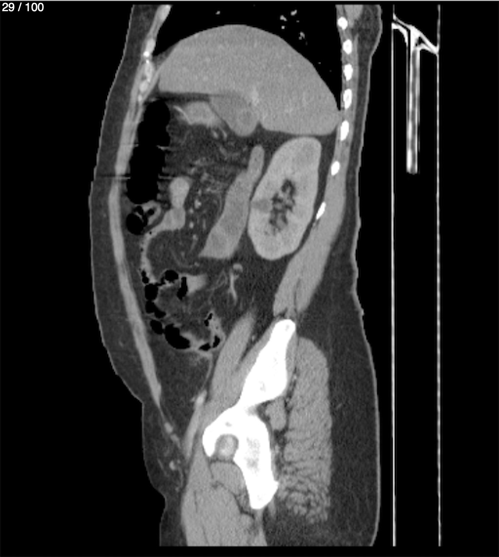
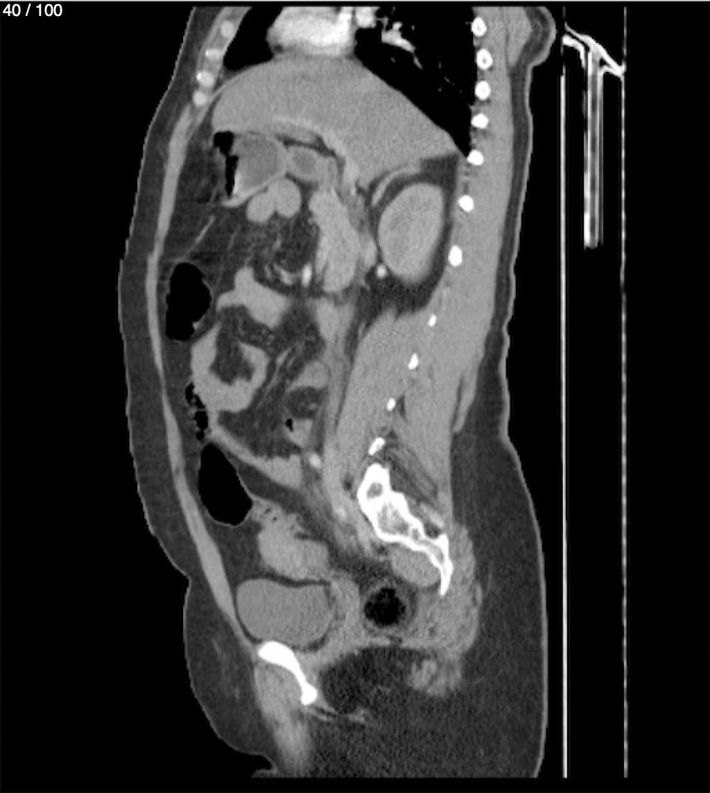
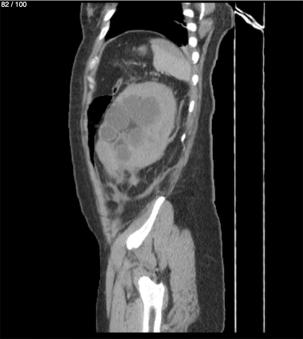
Marcela Lopez Perez 44A - Urotac
Previous Series
Next Series
Show as Sequence