HUIXTLA
ESCUINTLA
AKISHINO
AKISHINO2 USG
ESPECIALIDADES
Home
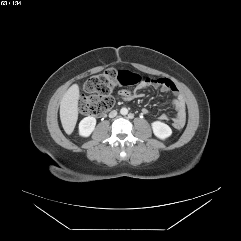
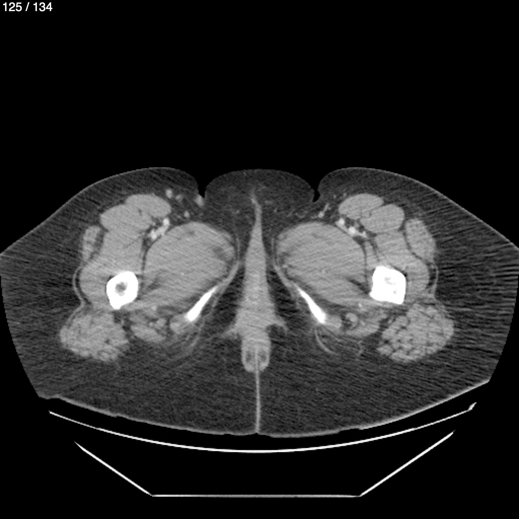
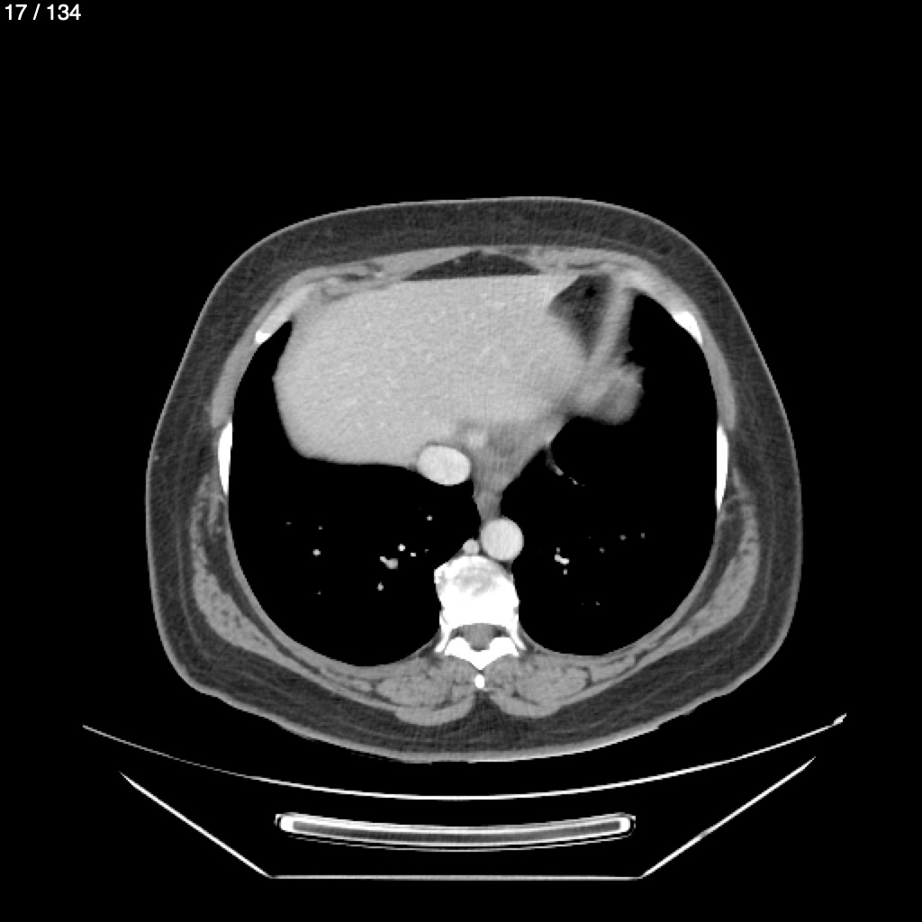
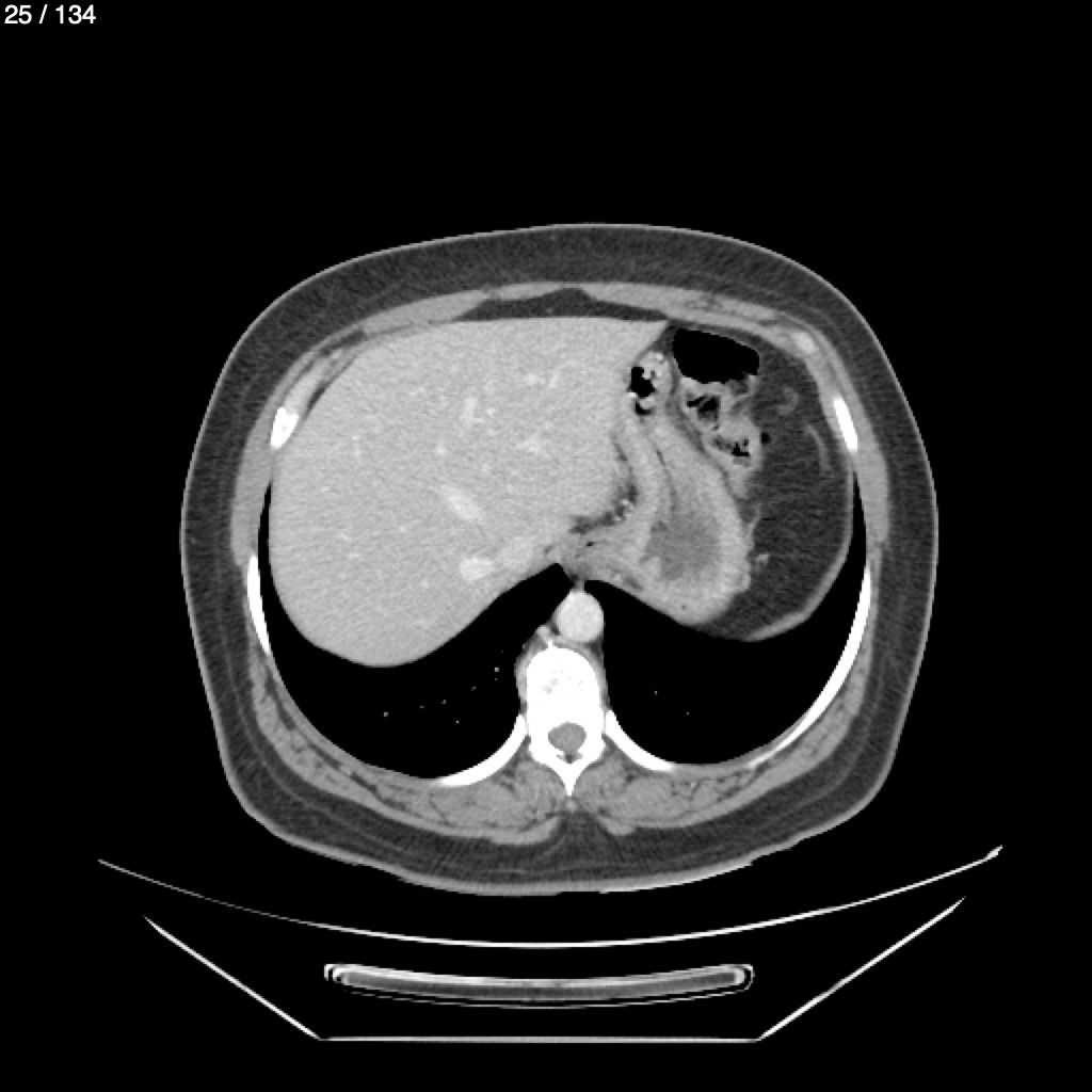
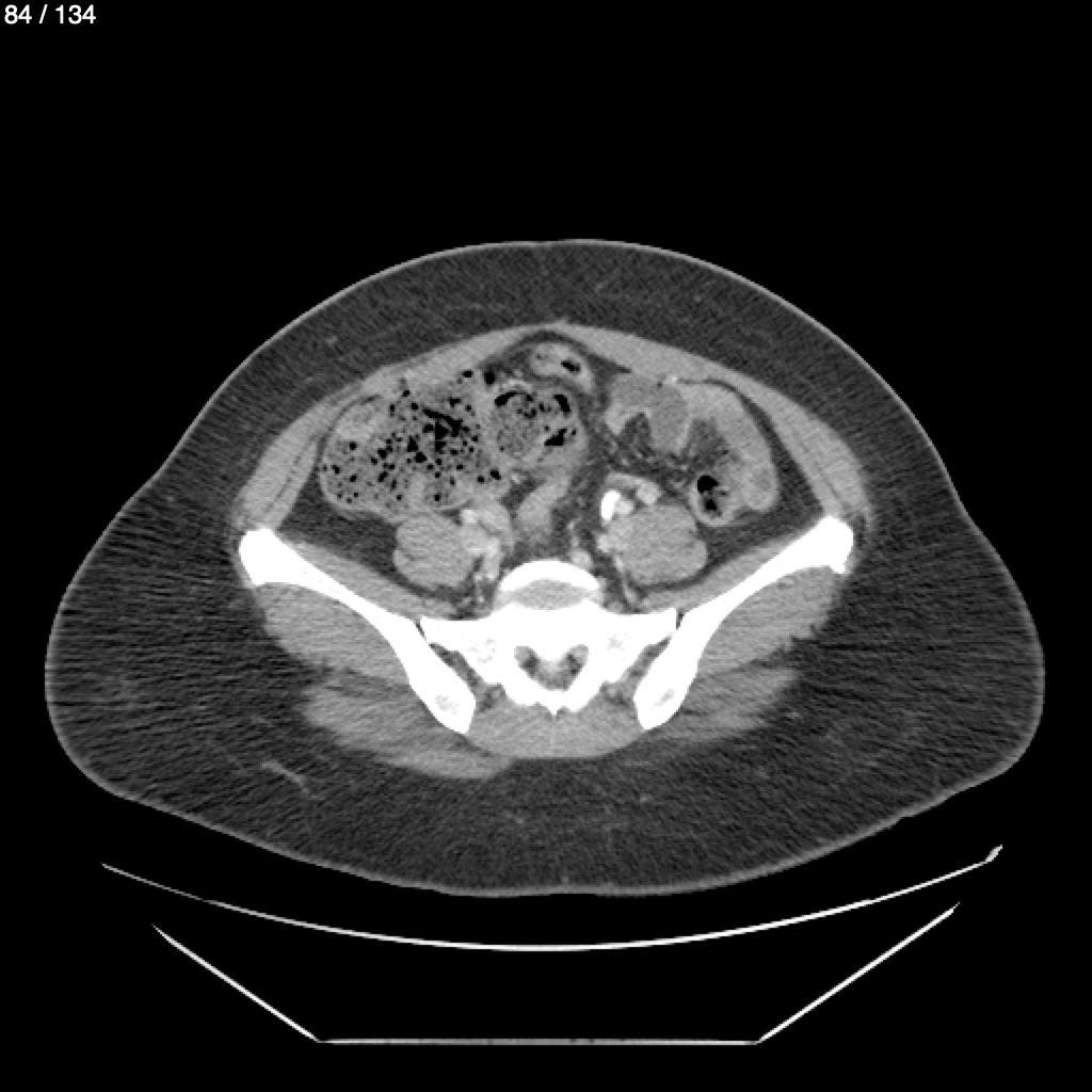
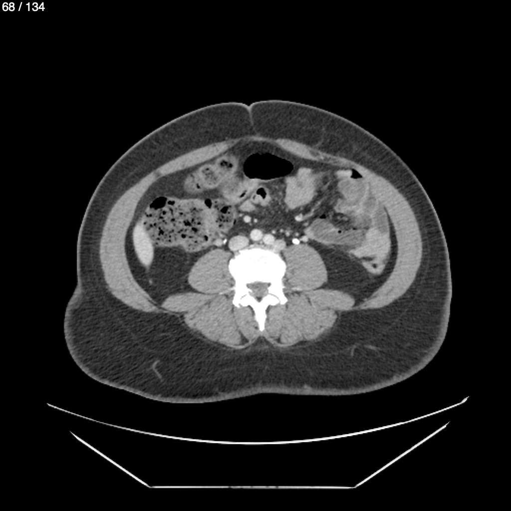
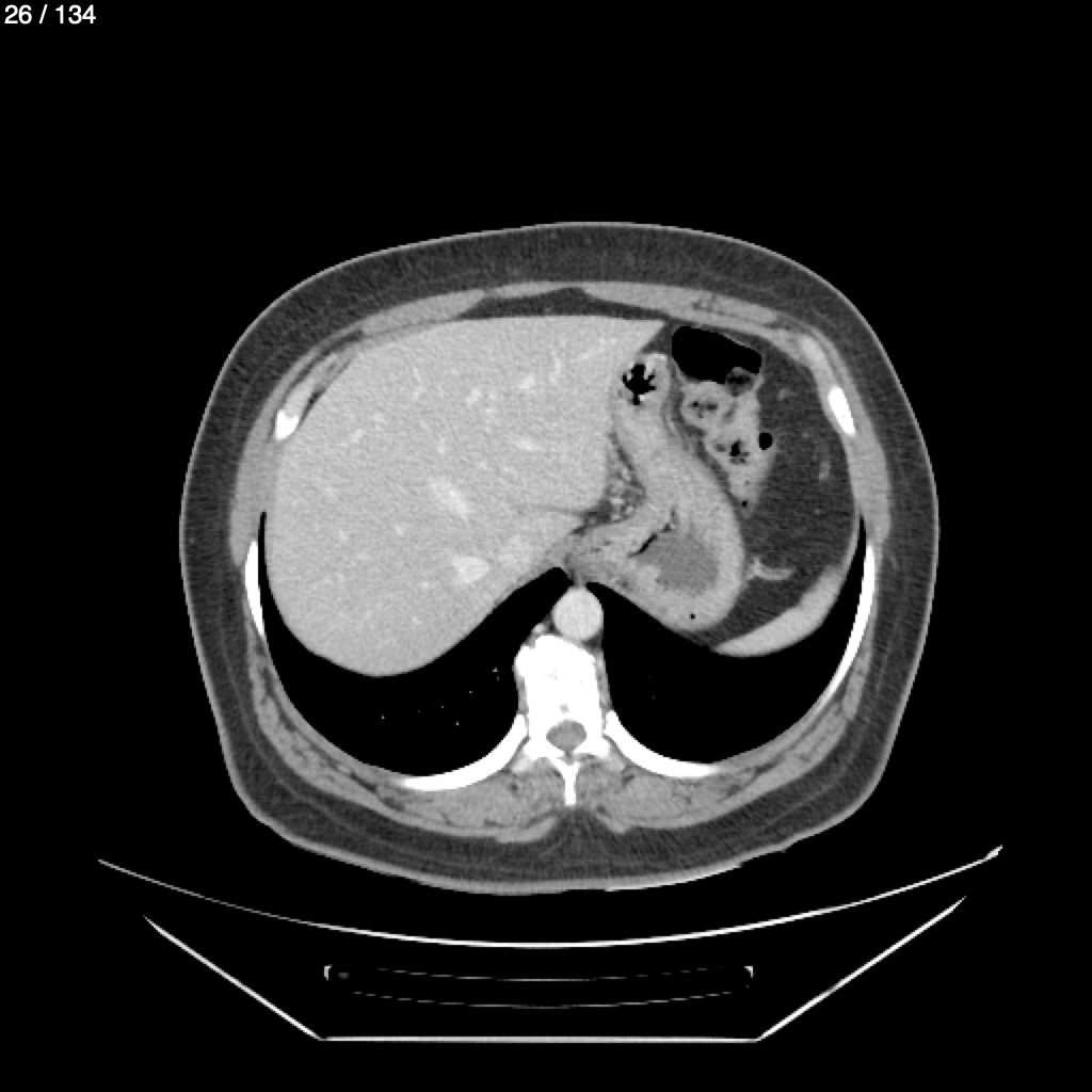
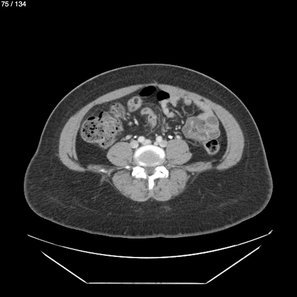
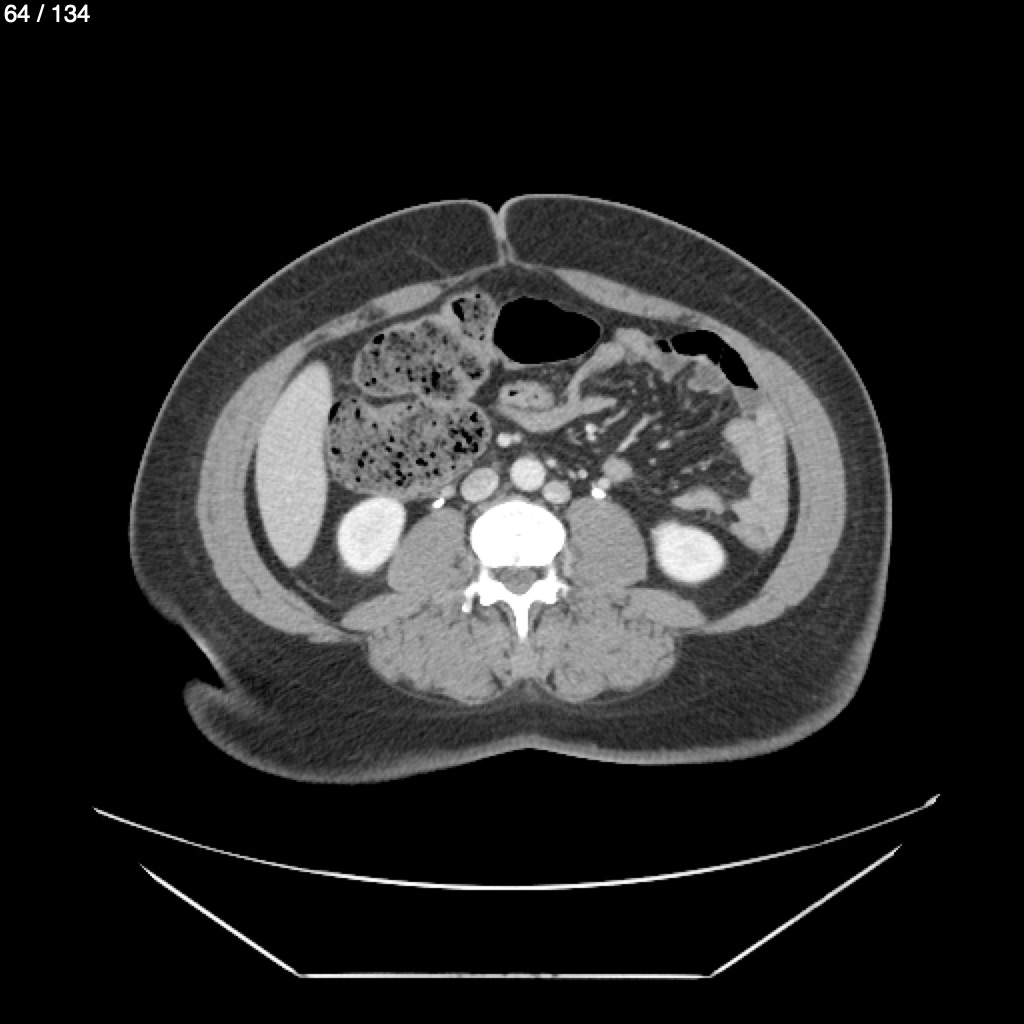
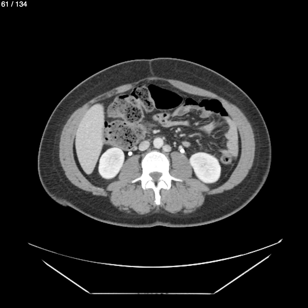
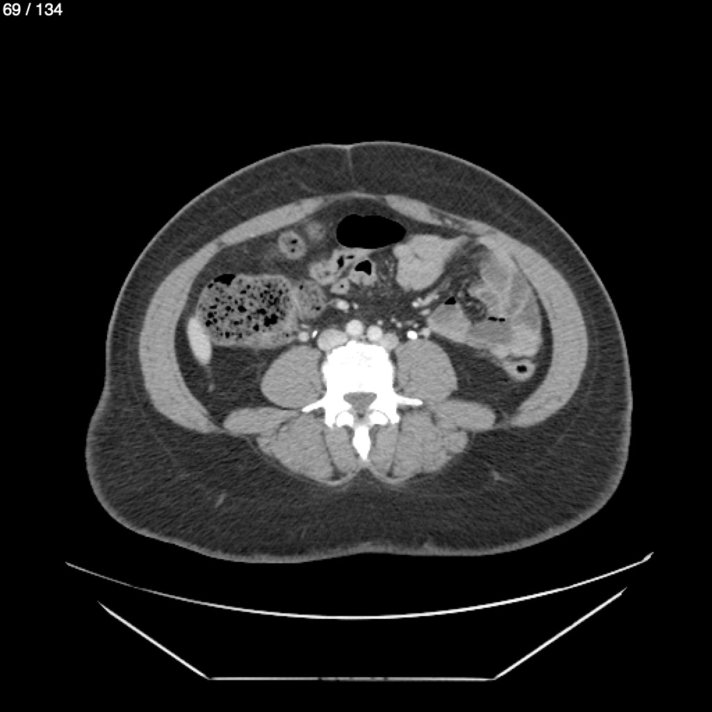
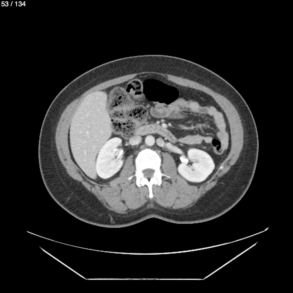
Heydi Zarate Corzo 47A - T.C Abdomen Syc
Previous Series
Next Series
Show as Sequence