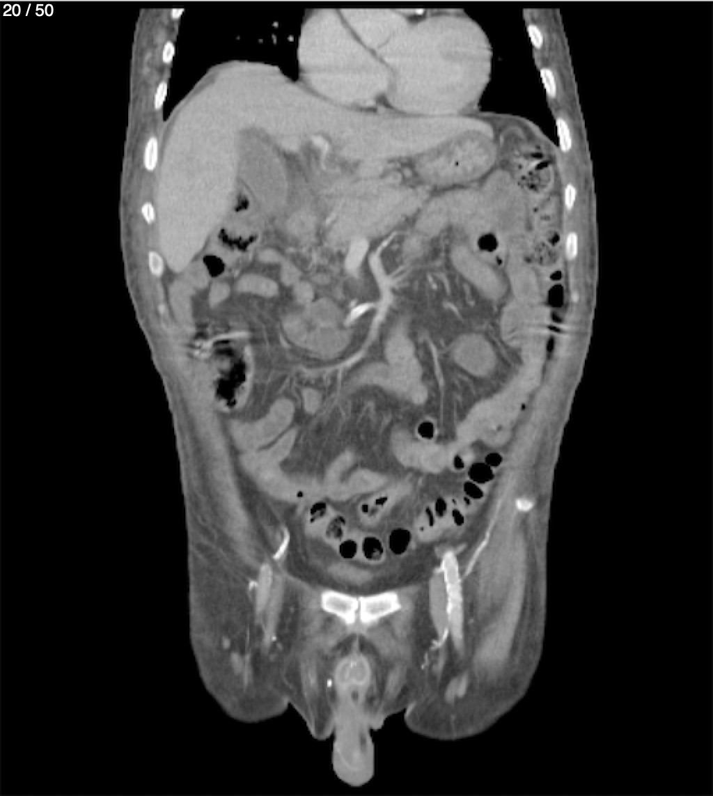
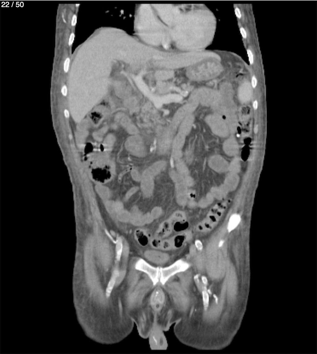
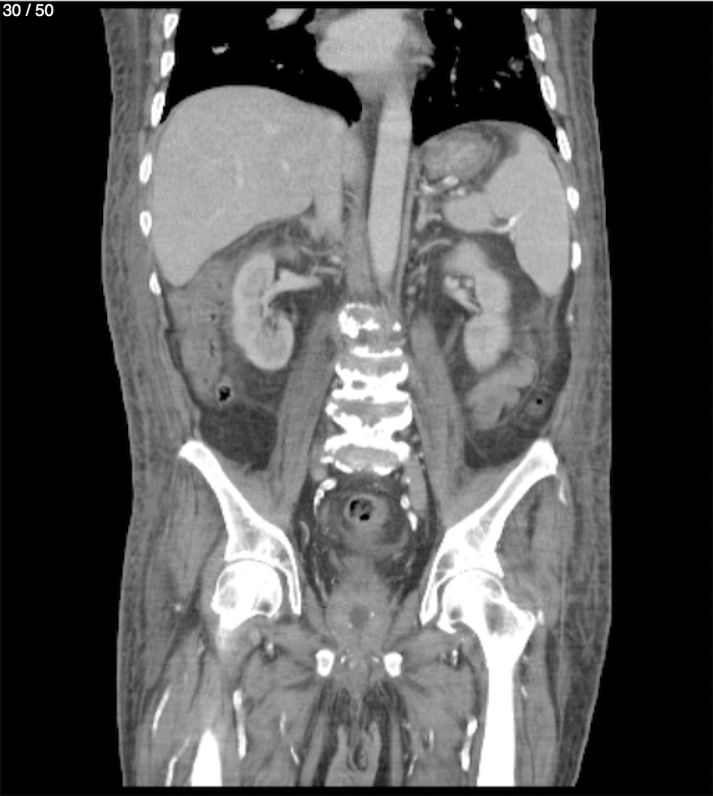
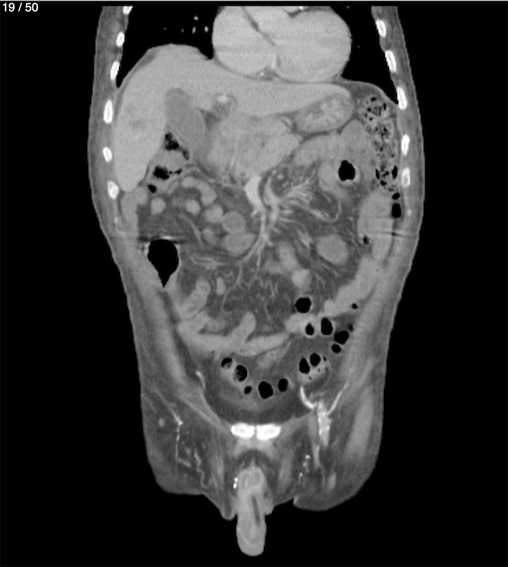
Home M​a​n​u​e​l​ ​N​o​l​a​s​c​o​ ​M​o​r​a​l​e​s​ ​7​2​A​ ​-​ ​T​.​C​ ​A​b​d​o​m​e​n​ ​S​y​c