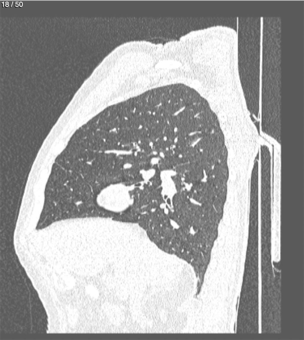
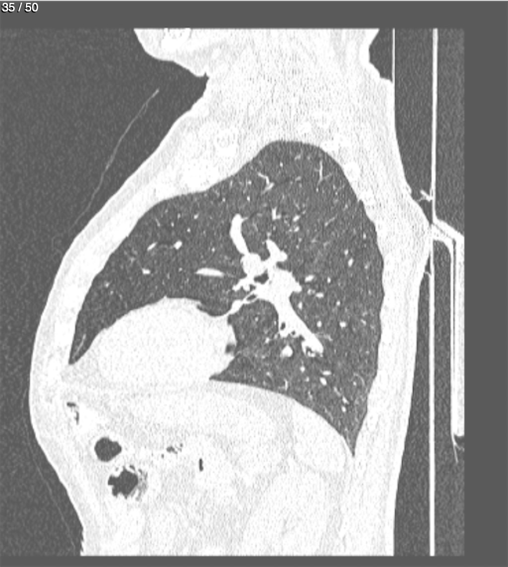
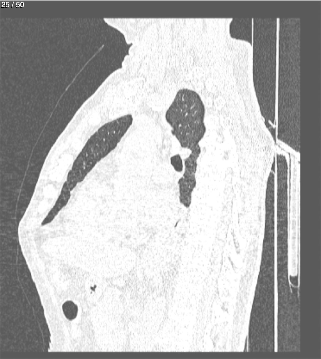
Home F​r​a​n​c​i​s​c​o​ ​E​f​r​a​i​n​ ​V​a​z​q​u​e​z​ ​D​e​ ​L​e​o​n​ ​-​ ​T​.​C​ ​T​o​r​a​c​o​a​b​d​o​e​n​ ​S​y​c