HUIXTLA
ESCUINTLA
AKISHINO
AKISHINO2 USG
ESPECIALIDADES
Home
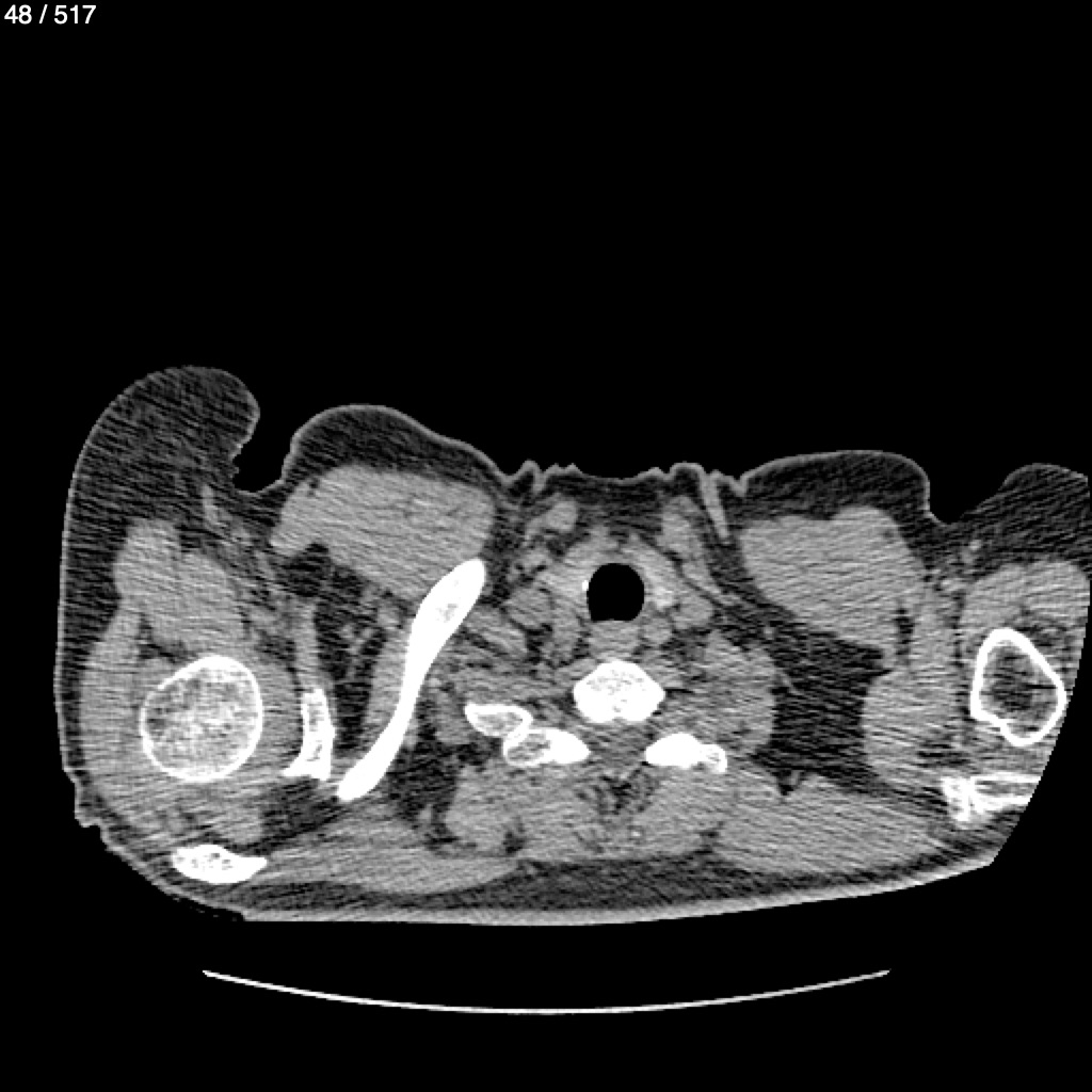
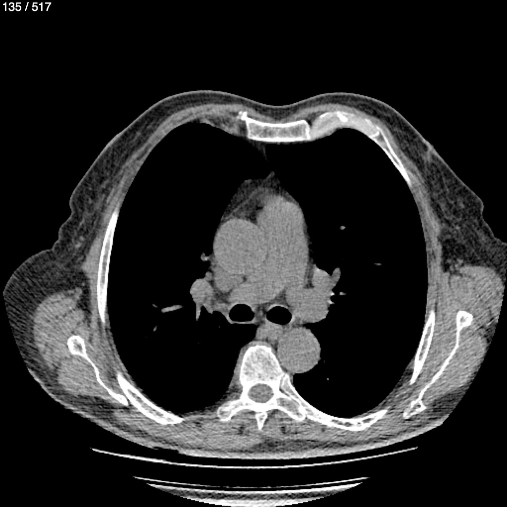
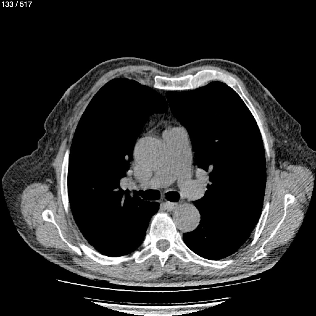
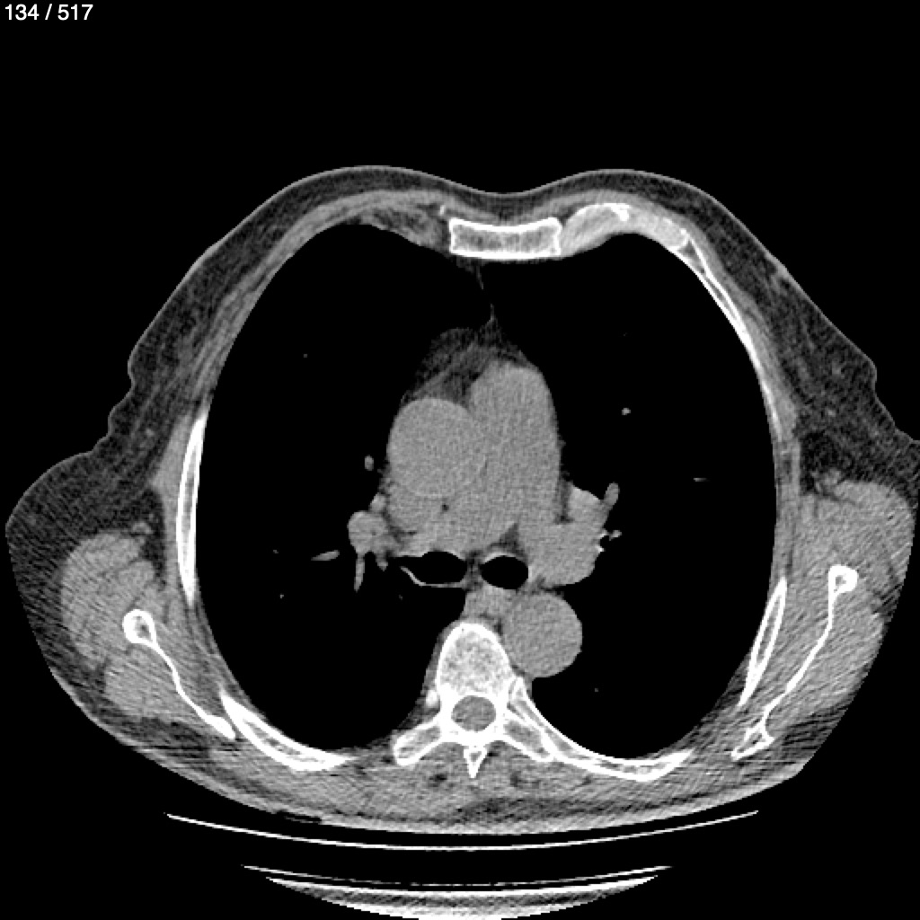
Francisco Efrain Vazquez De Leon - T.C Toracoabdoen Syc
Previous Series
Next Series
Show as Sequence