HUIXTLA
ESCUINTLA
AKISHINO
AKISHINO2 USG
ESPECIALIDADES
Home
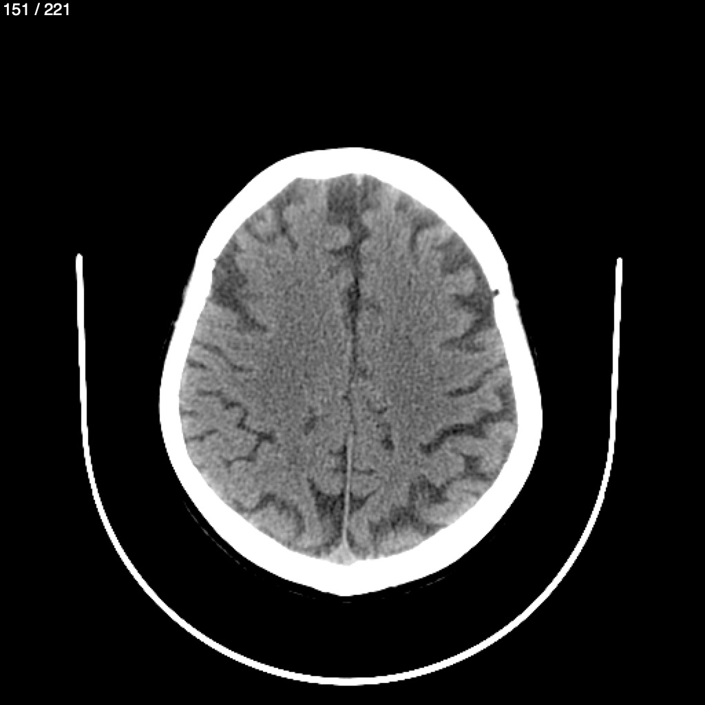
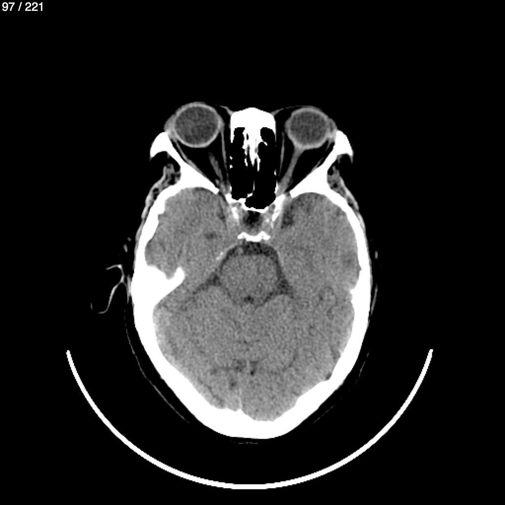
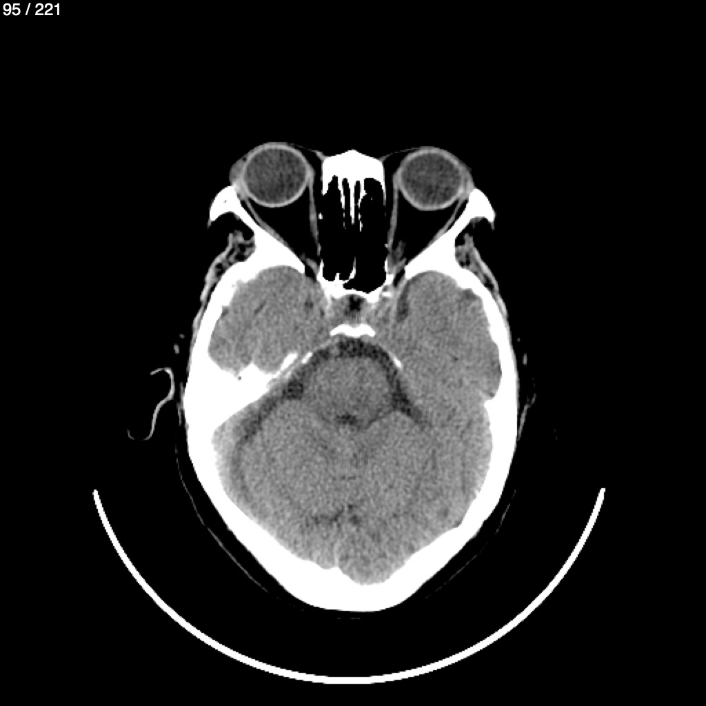
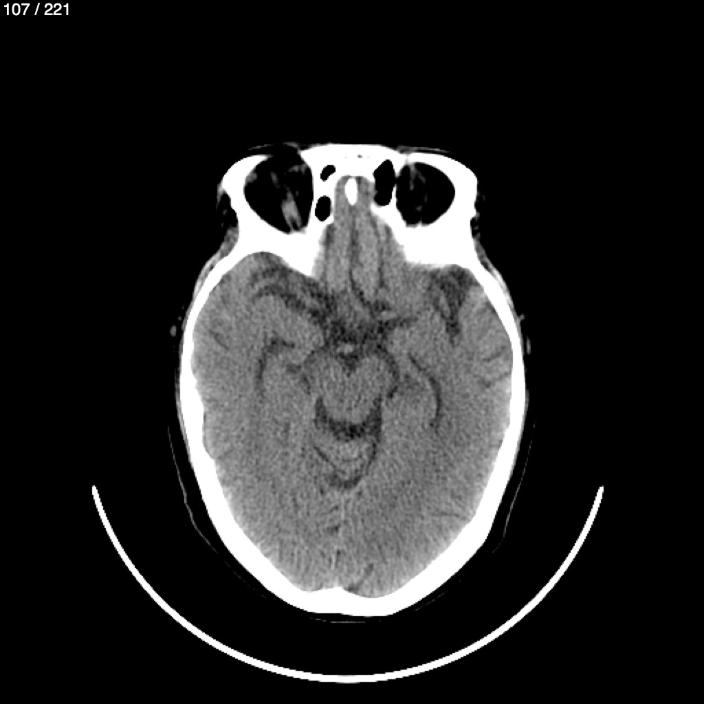
Victoria Perez Perez 76 - T.C Craneo
Previous Series
Next Series
Show as Sequence