HUIXTLA
ESCUINTLA
AKISHINO
AKISHINO2 USG
ESPECIALIDADES
Home
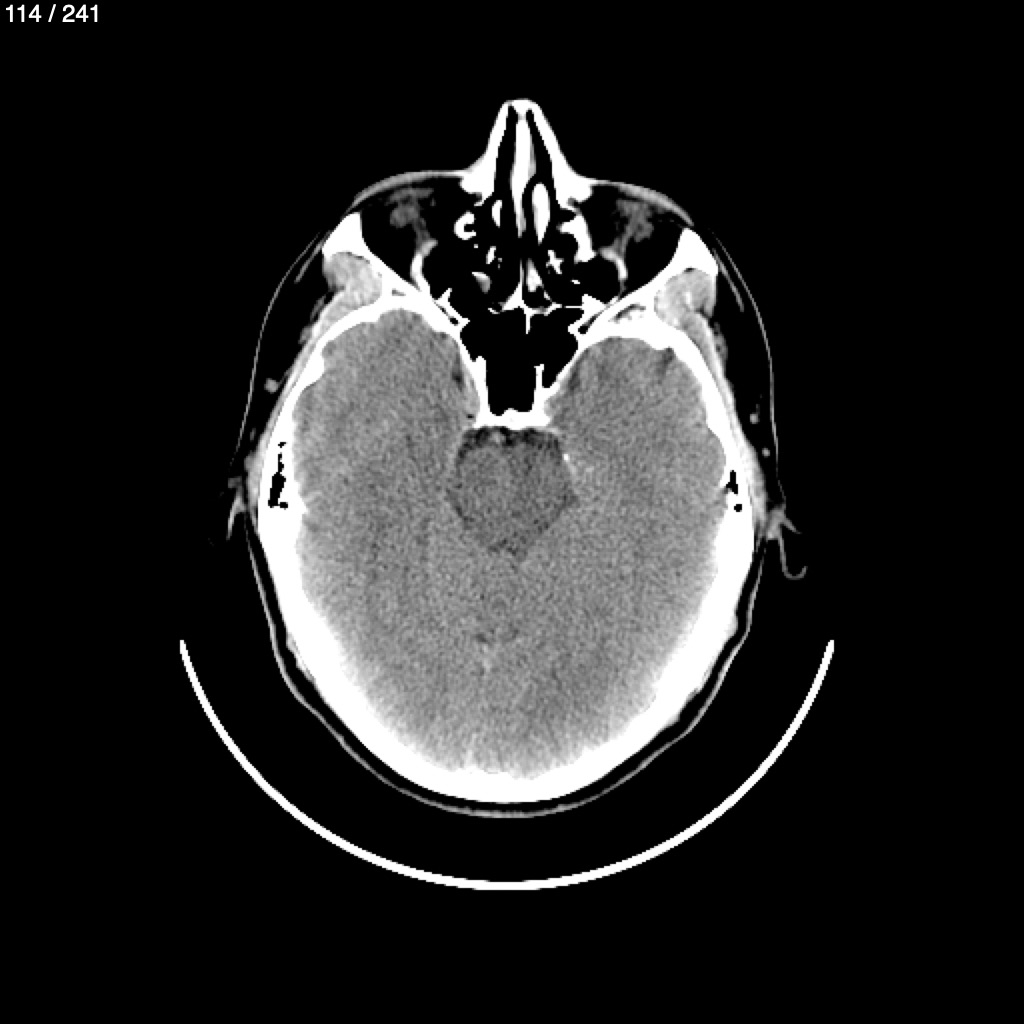
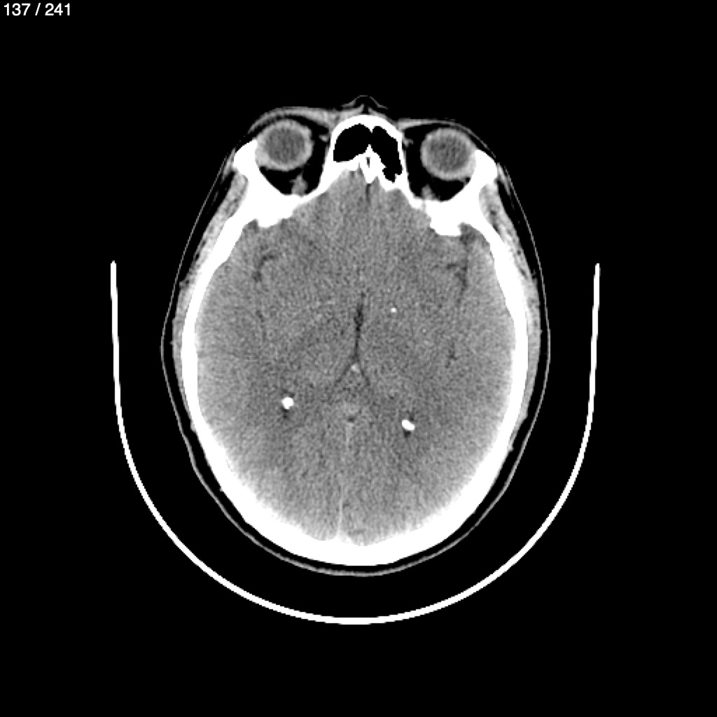
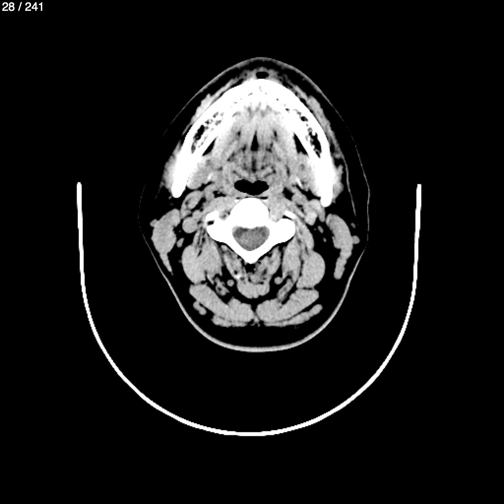
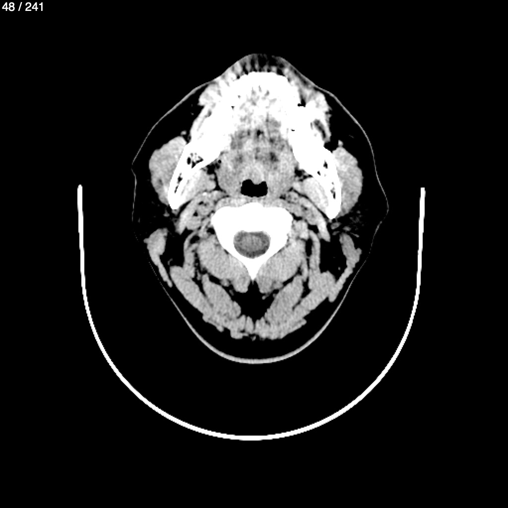
Sergio Adrian Garcia Chum 45 - T.C Craneo
Previous Series
Next Series
Show as Sequence