HUIXTLA
ESCUINTLA
AKISHINO
AKISHINO2 USG
ESPECIALIDADES
Home
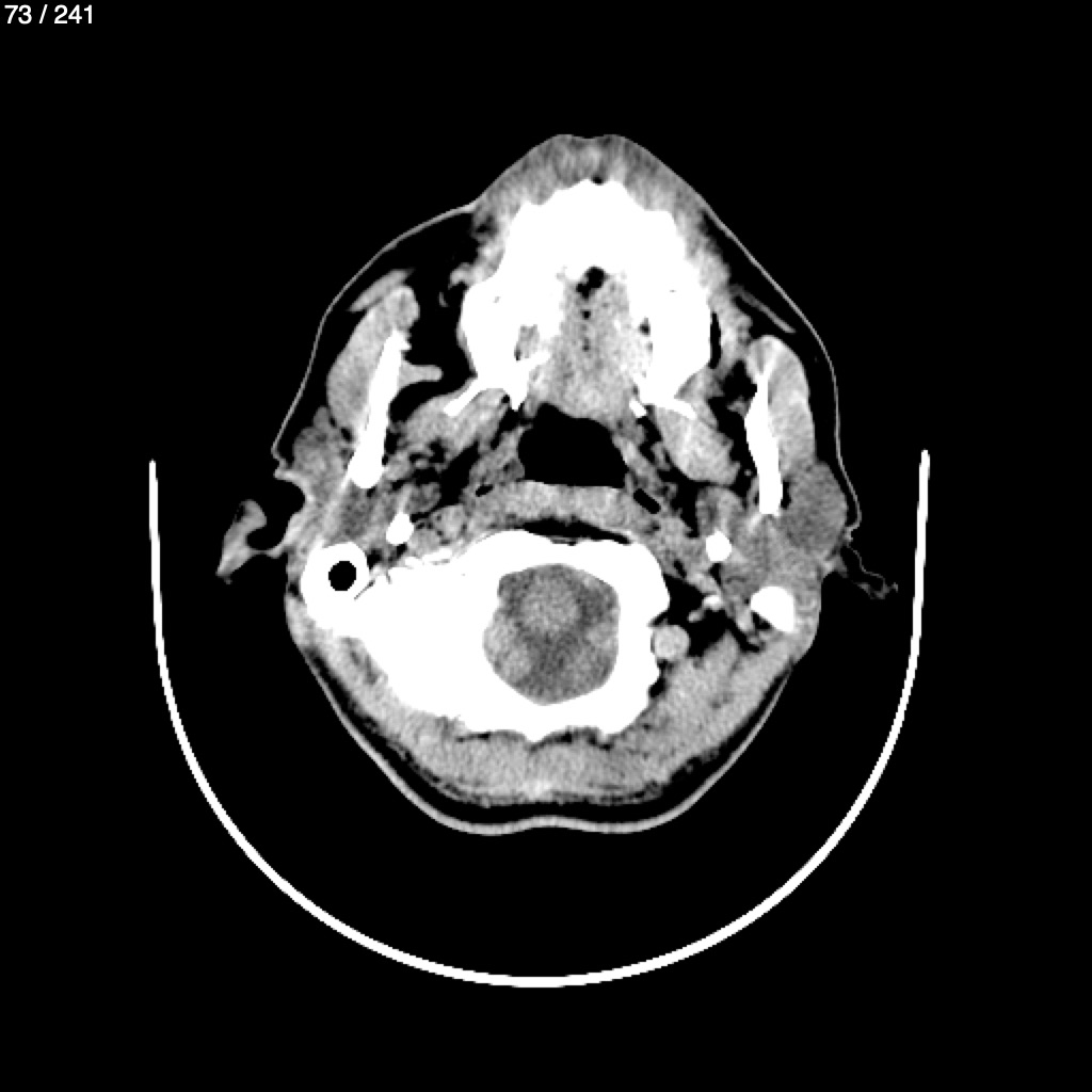
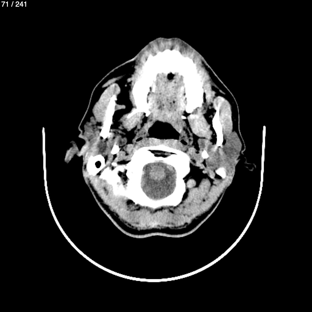
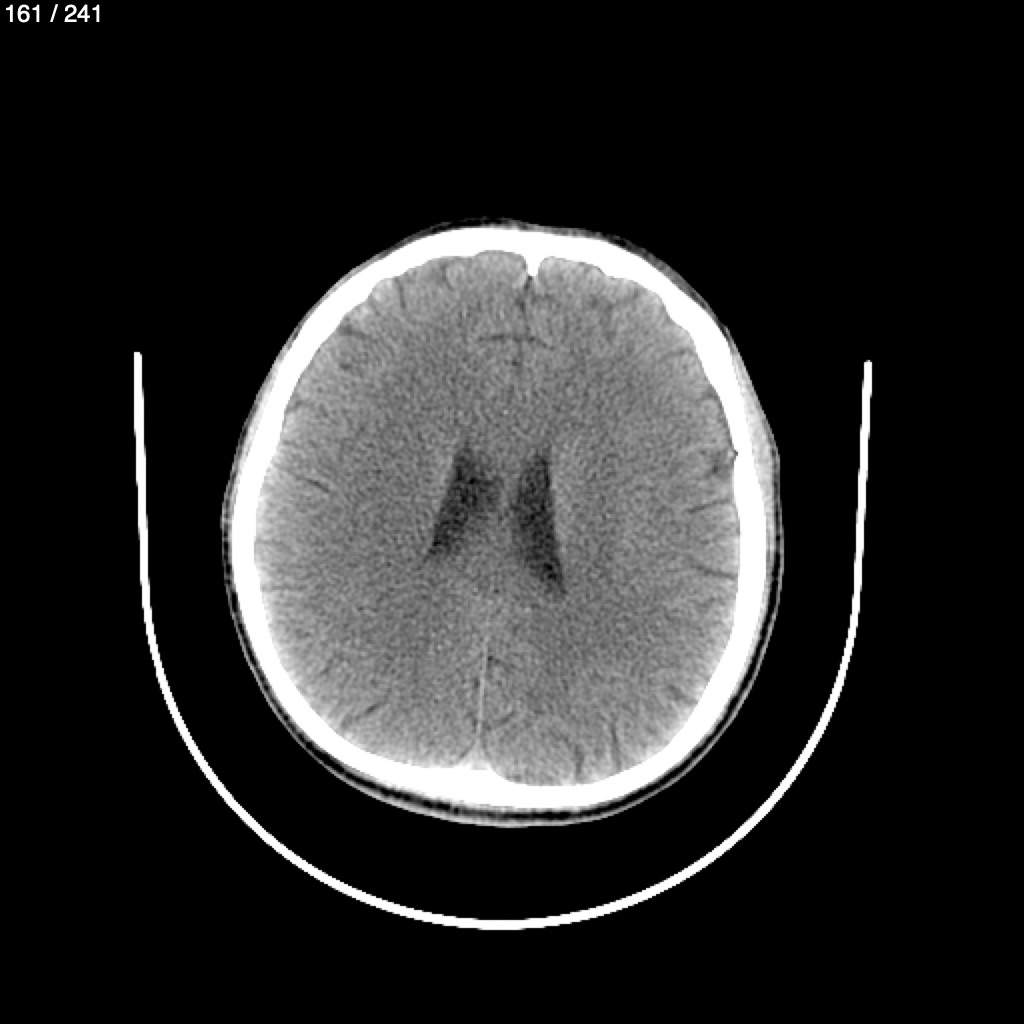
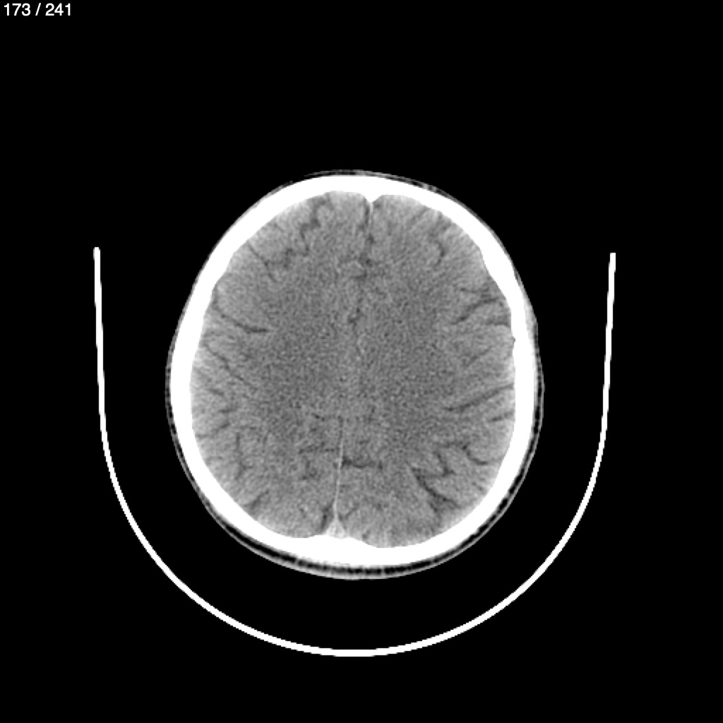
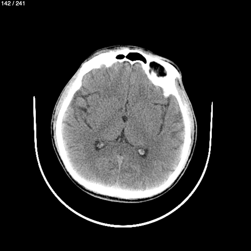
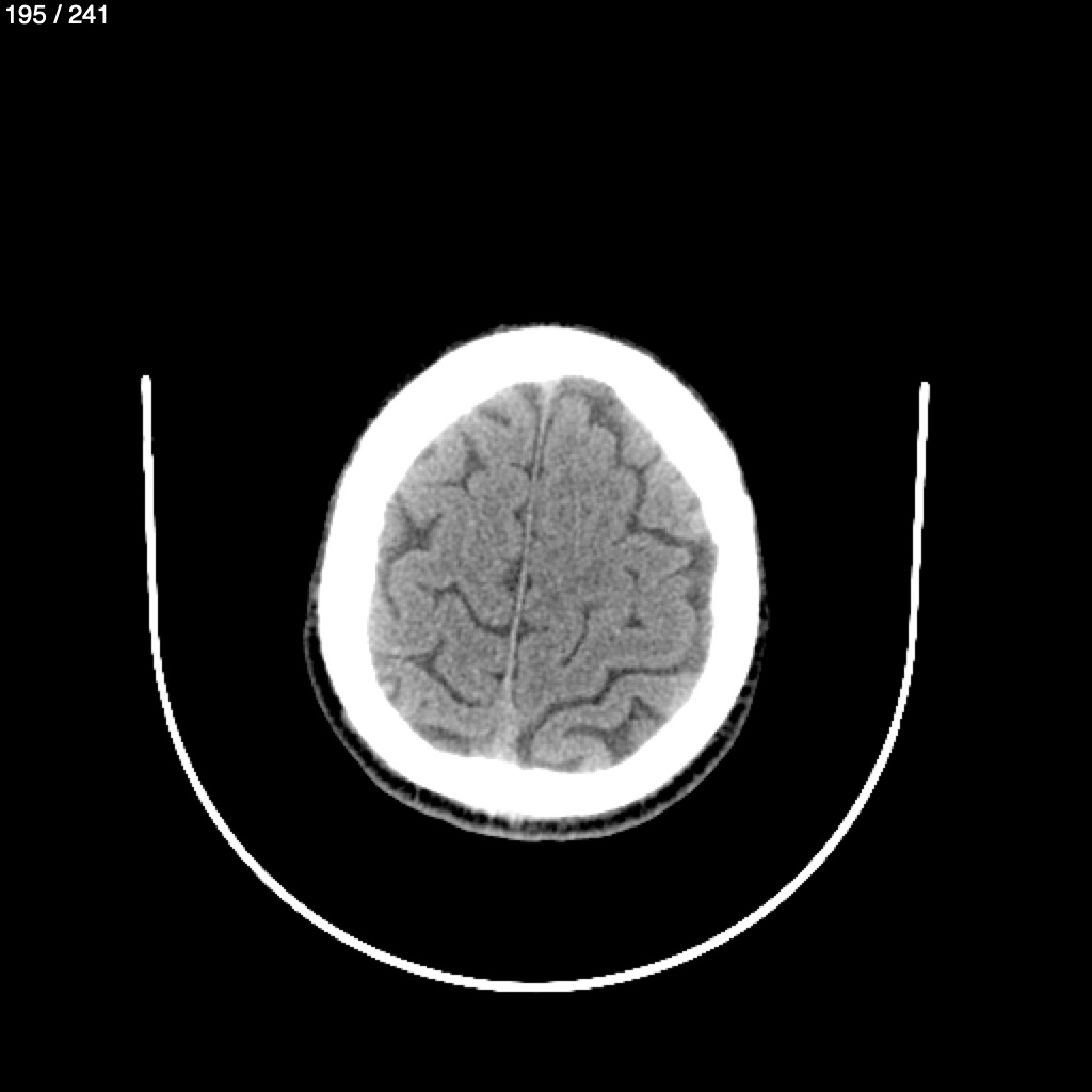
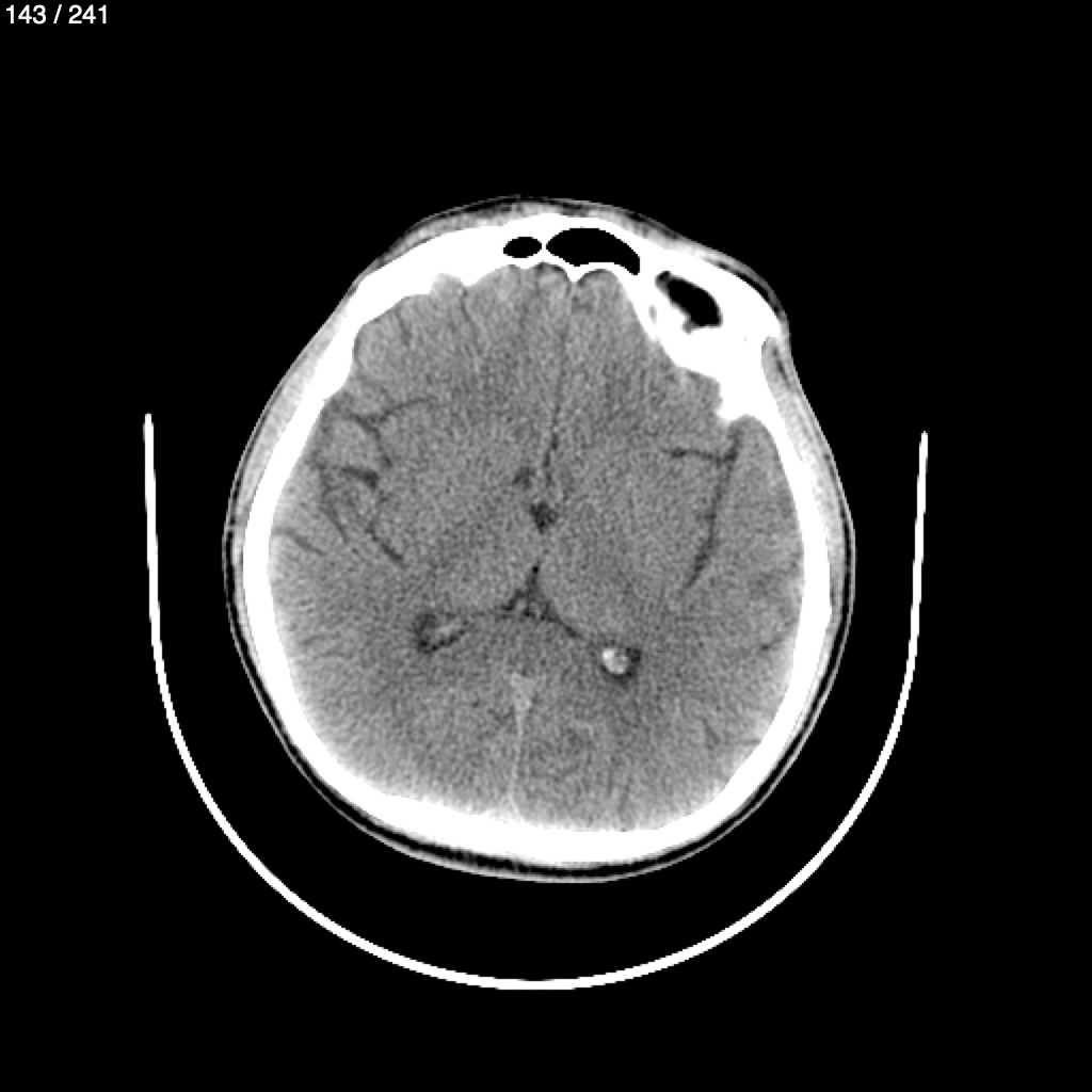
Mauricio Gutierrez Orellana - T.C Craneo
Next Series
Show as Sequence