HUIXTLA
ESCUINTLA
AKISHINO
AKISHINO2 USG
ESPECIALIDADES
Home
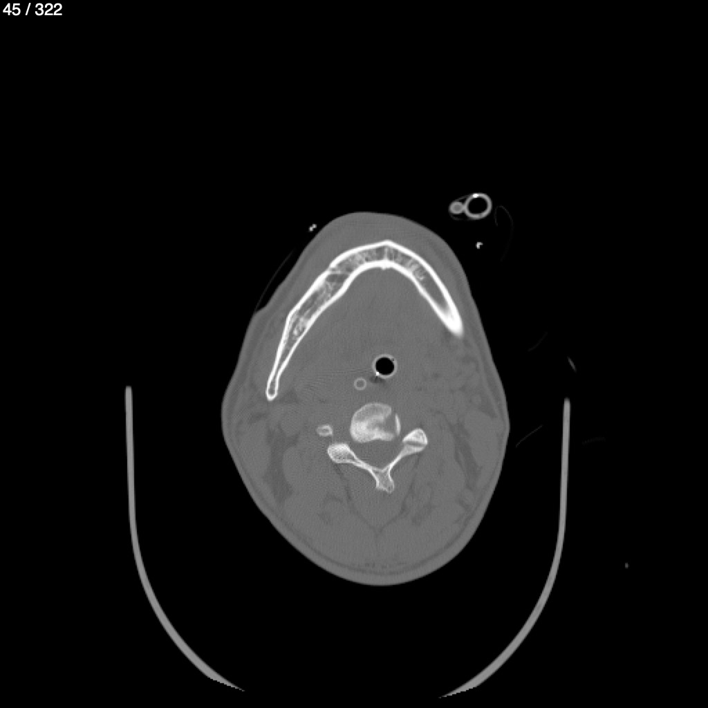
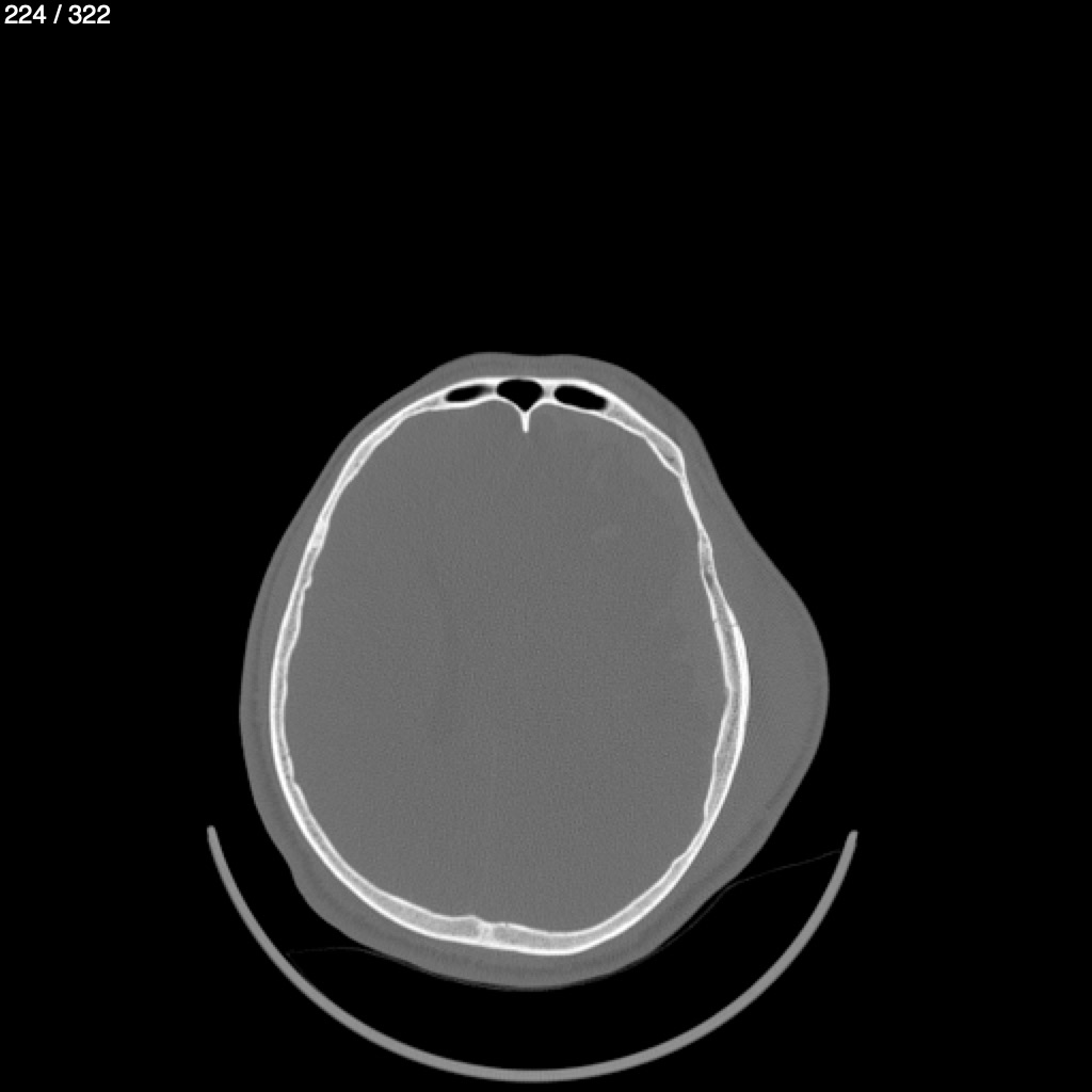
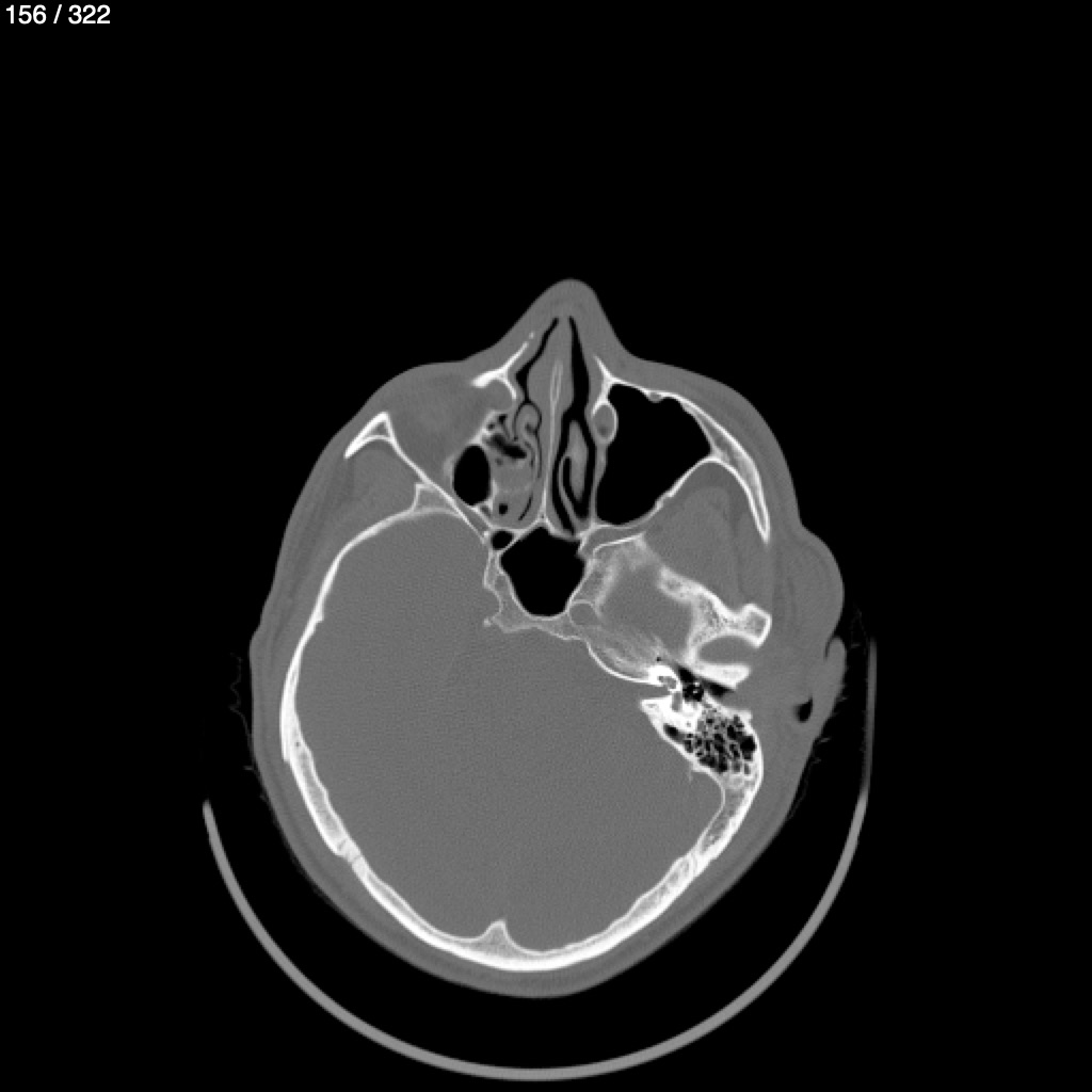
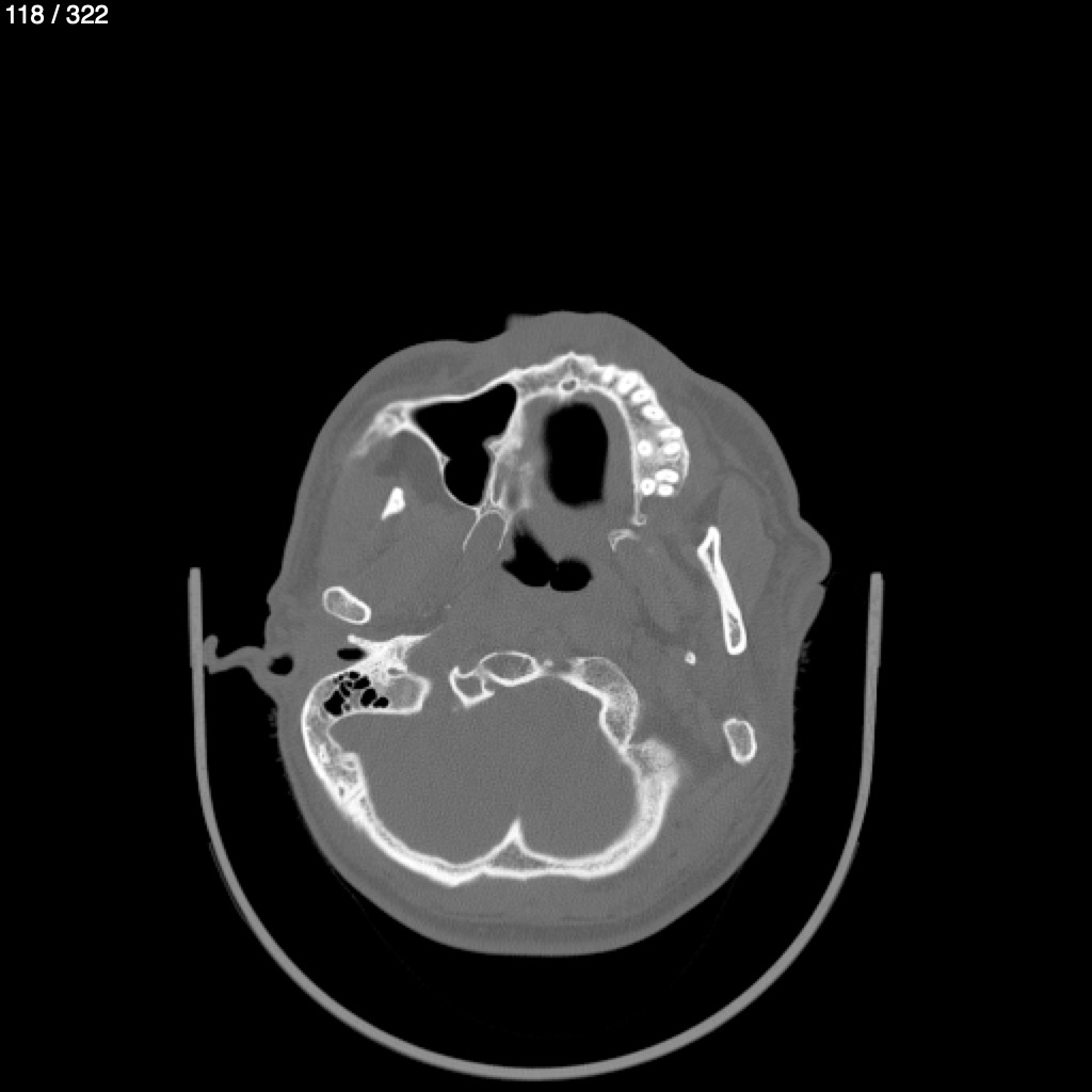
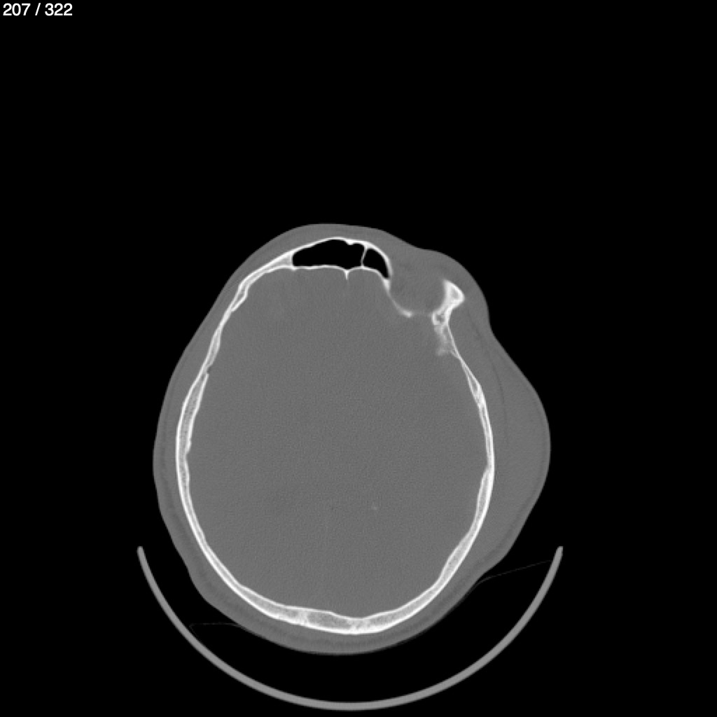
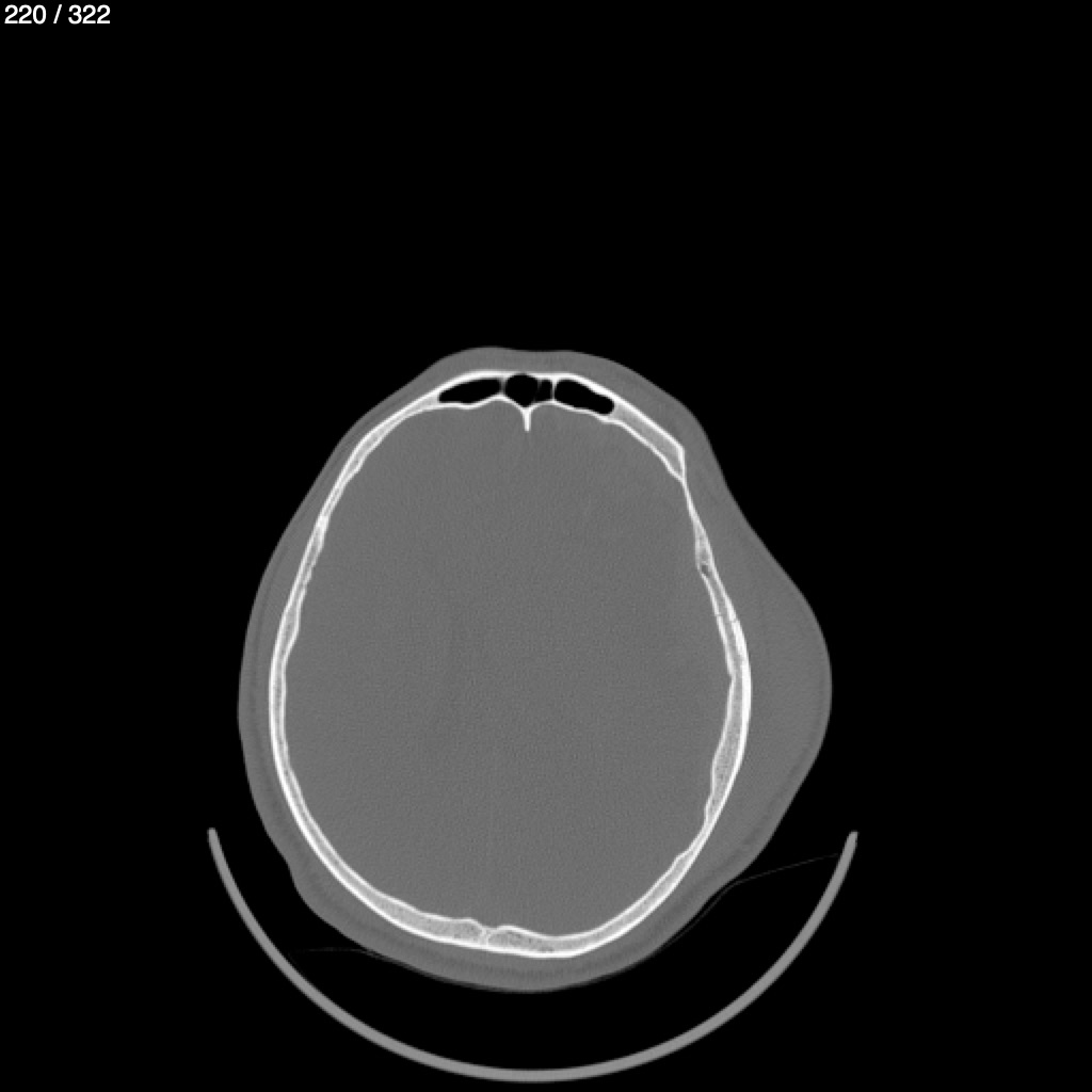
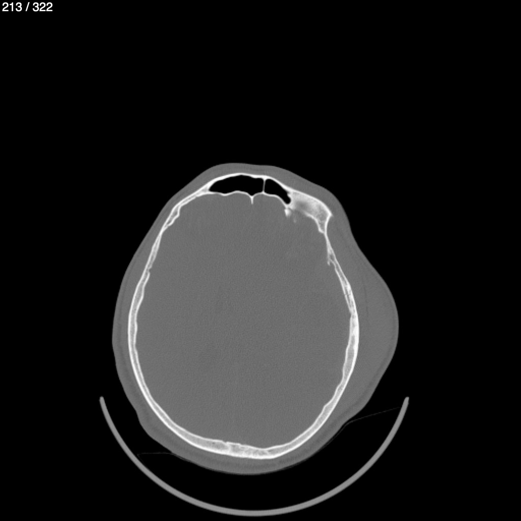
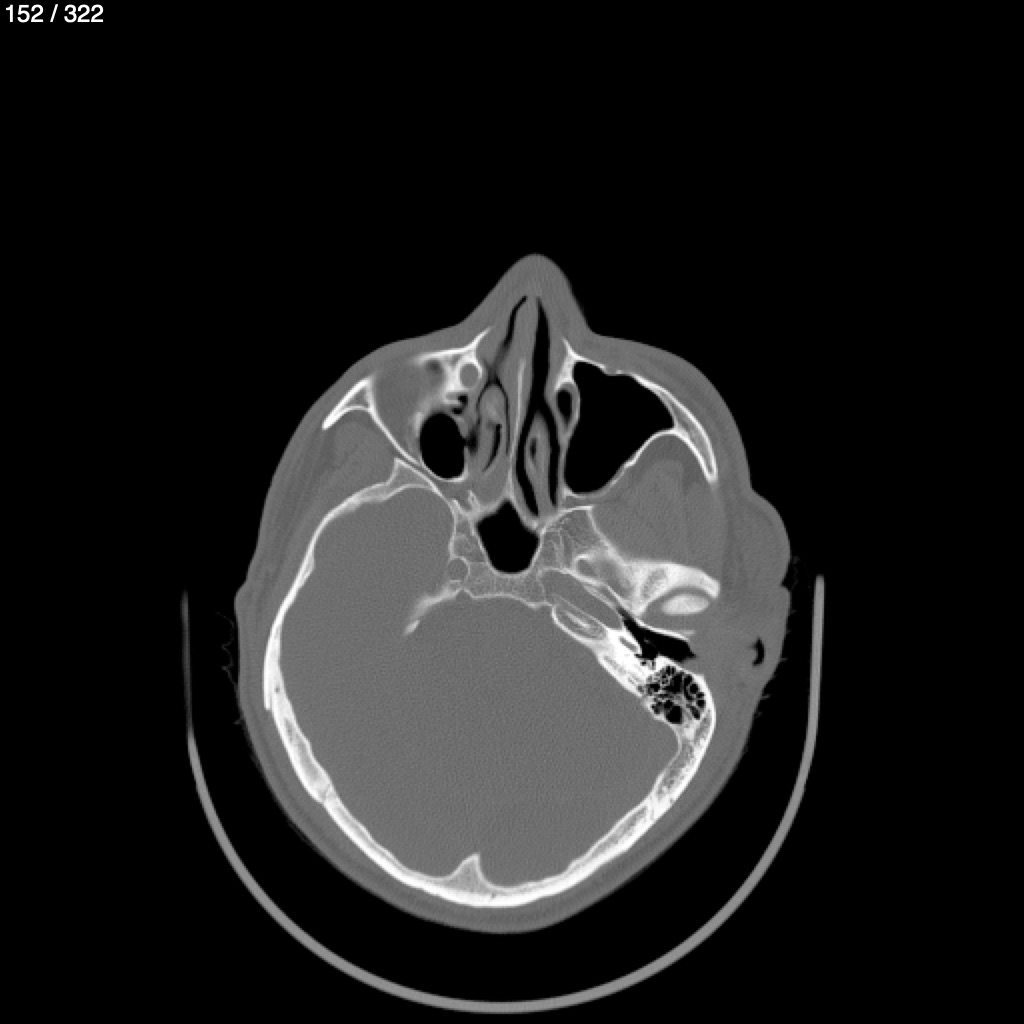
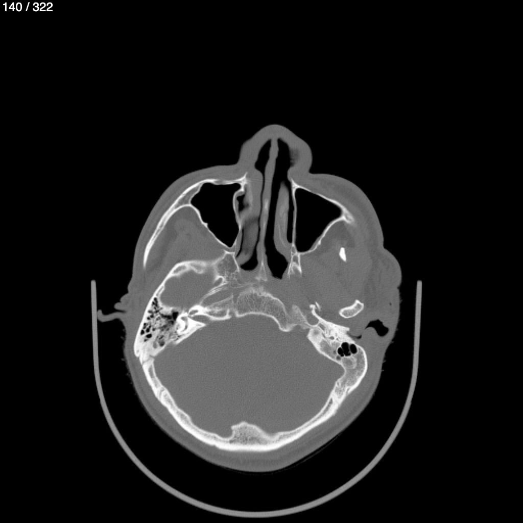
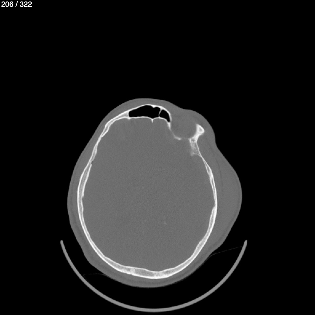
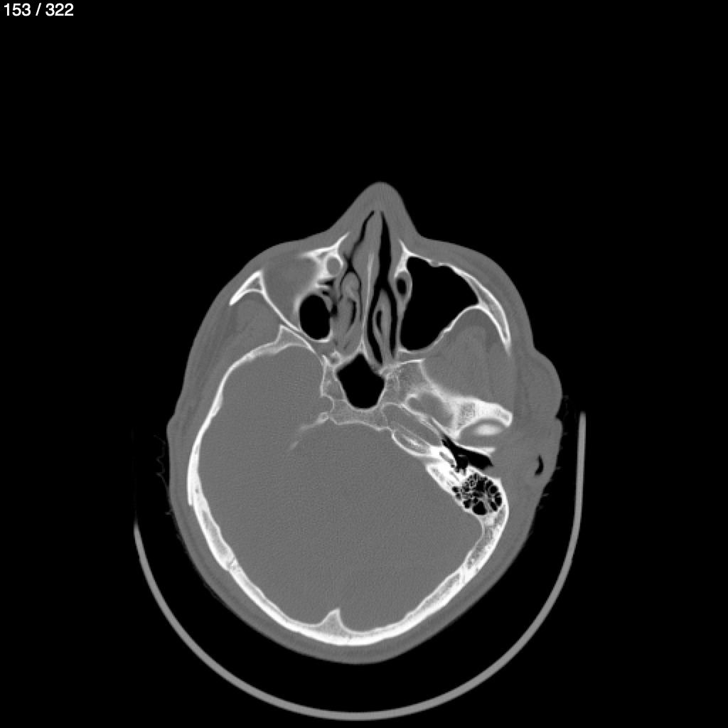
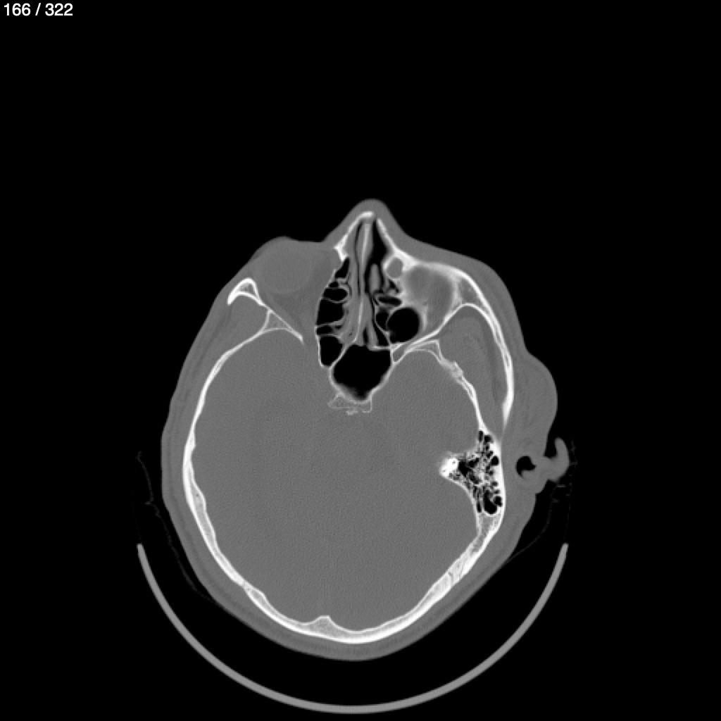
Kender Alexander Carreto Jimenez - Unnamed
Previous Series
Next Series
Show as Sequence