HUIXTLA
ESCUINTLA
AKISHINO
AKISHINO2 USG
ESPECIALIDADES
Home
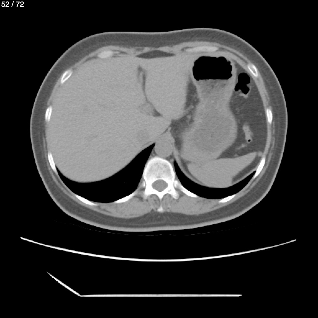
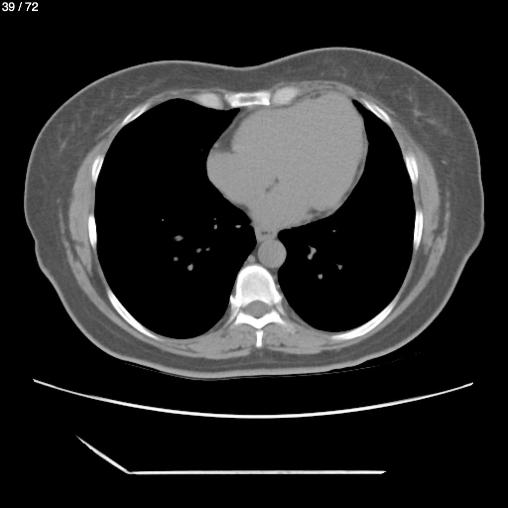
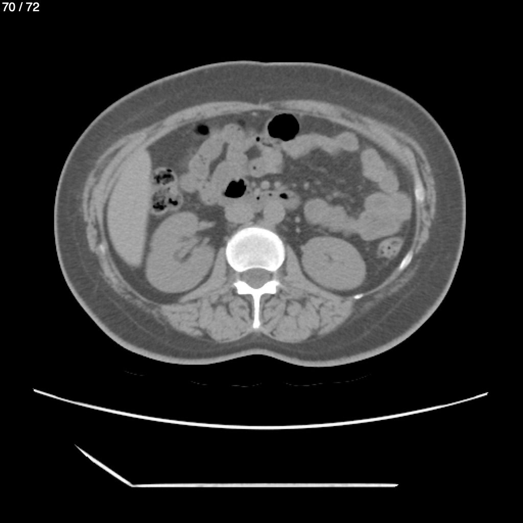
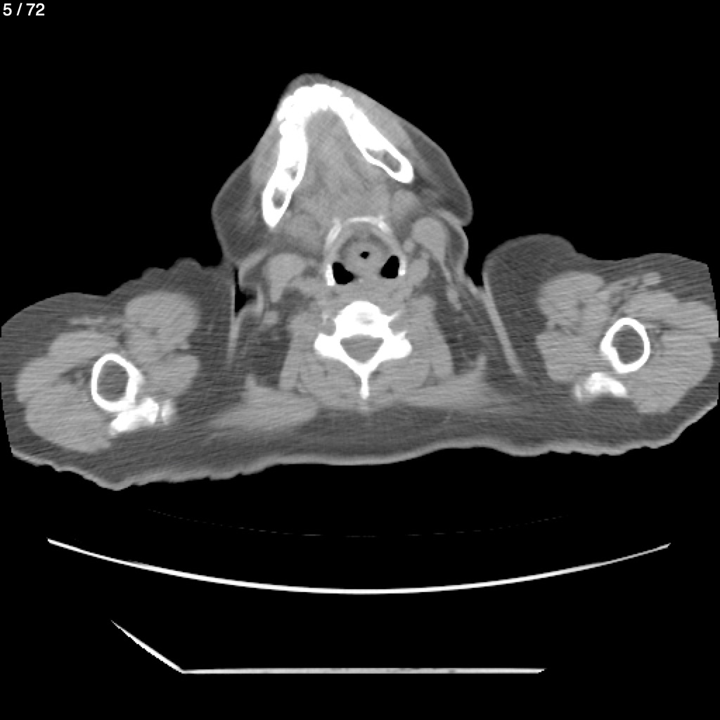
Claudia Escobar Lopez 55A - Unnamed
Next Series
Show as Sequence