HUIXTLA
ESCUINTLA
AKISHINO
AKISHINO2 USG
ESPECIALIDADES
Home
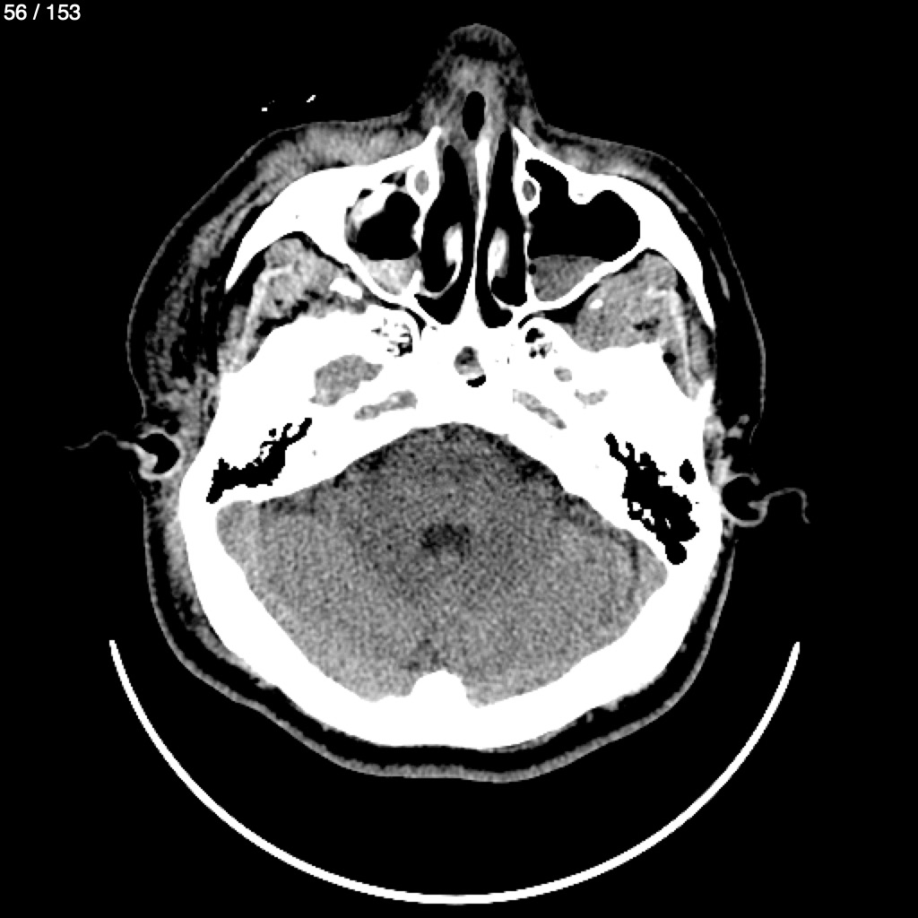
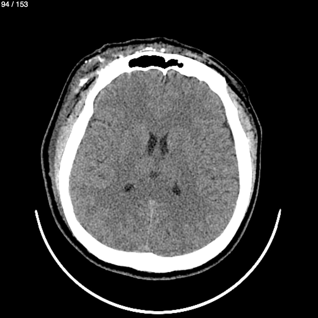
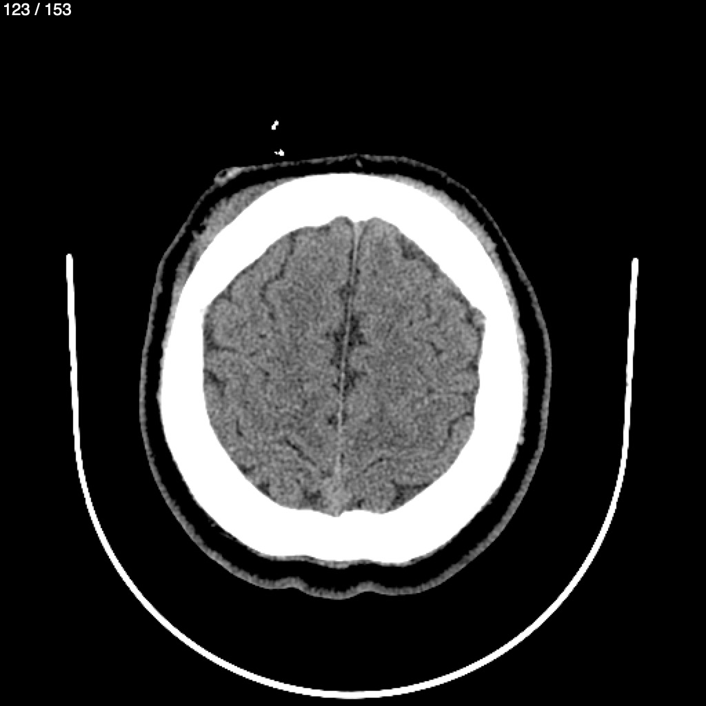
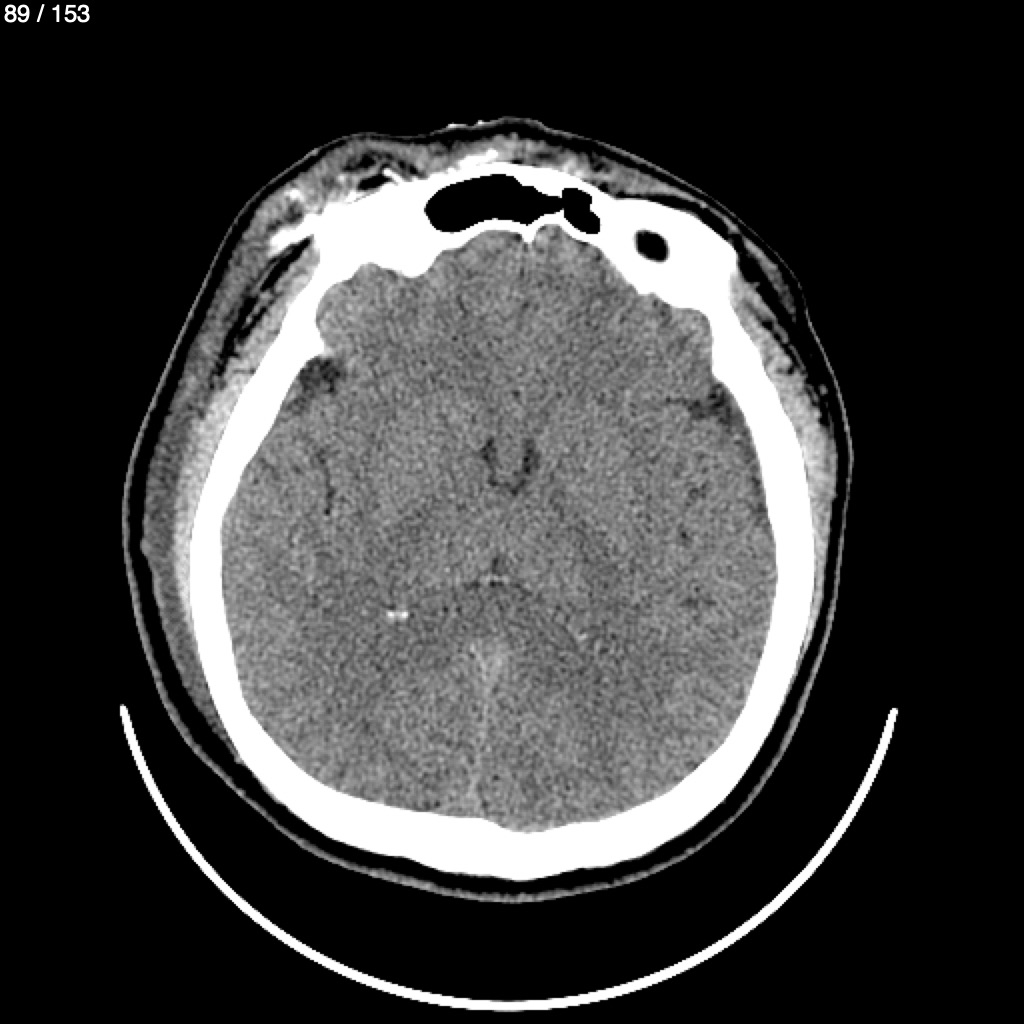
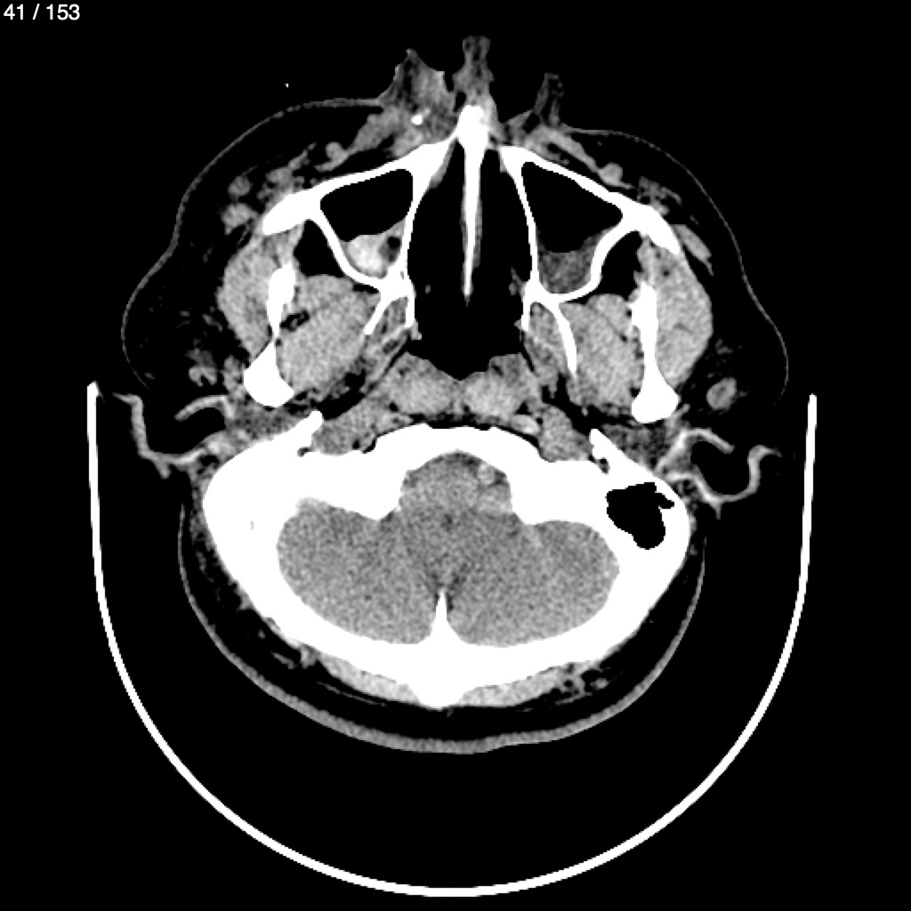
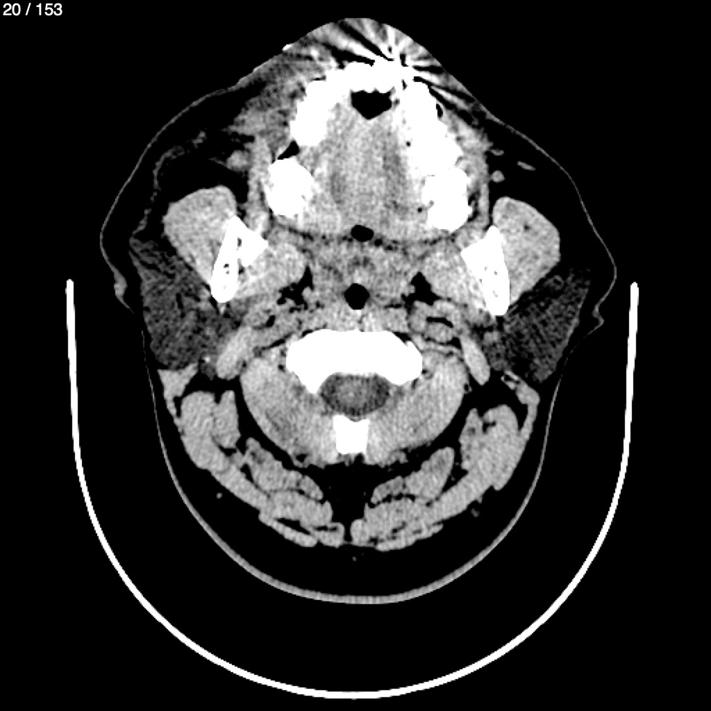
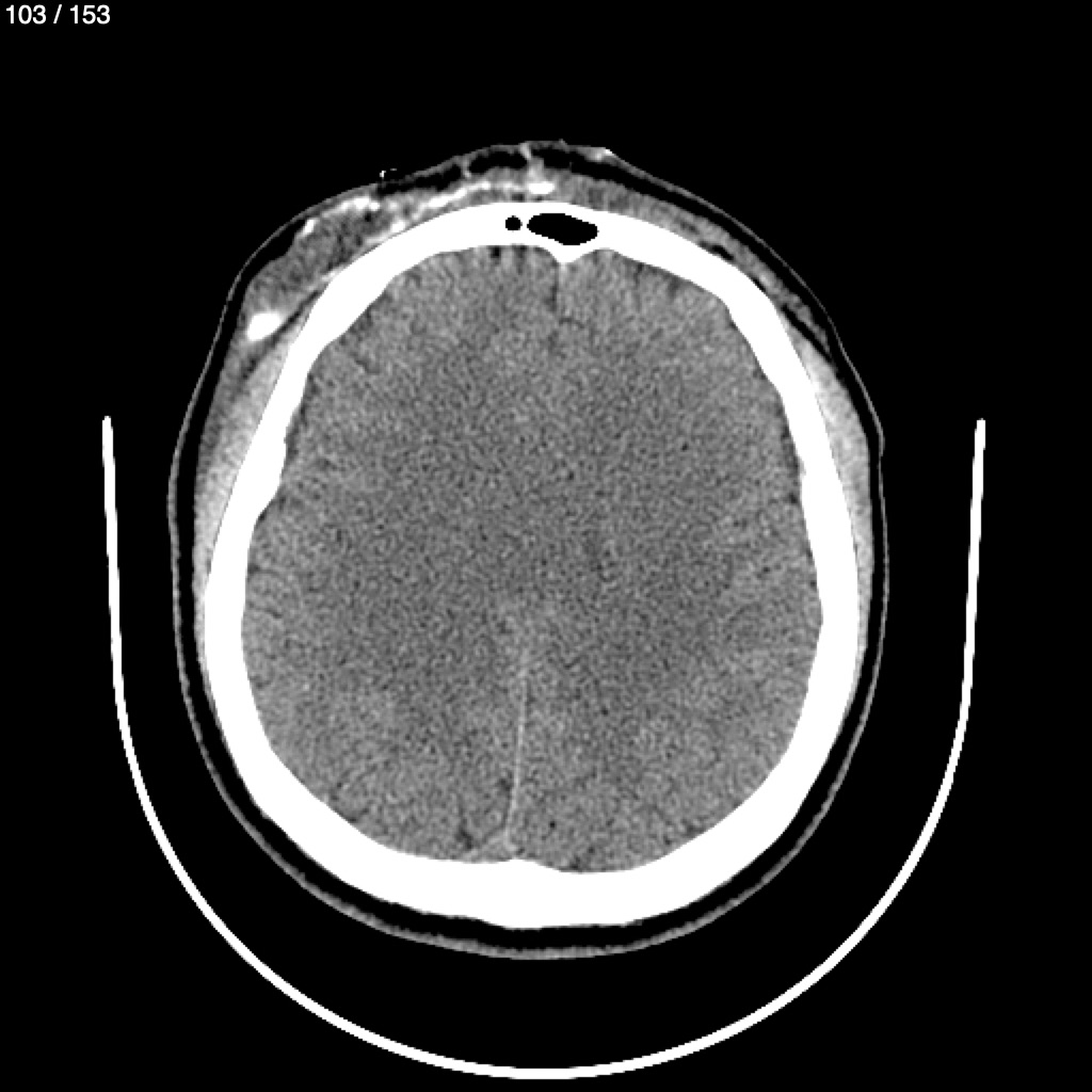
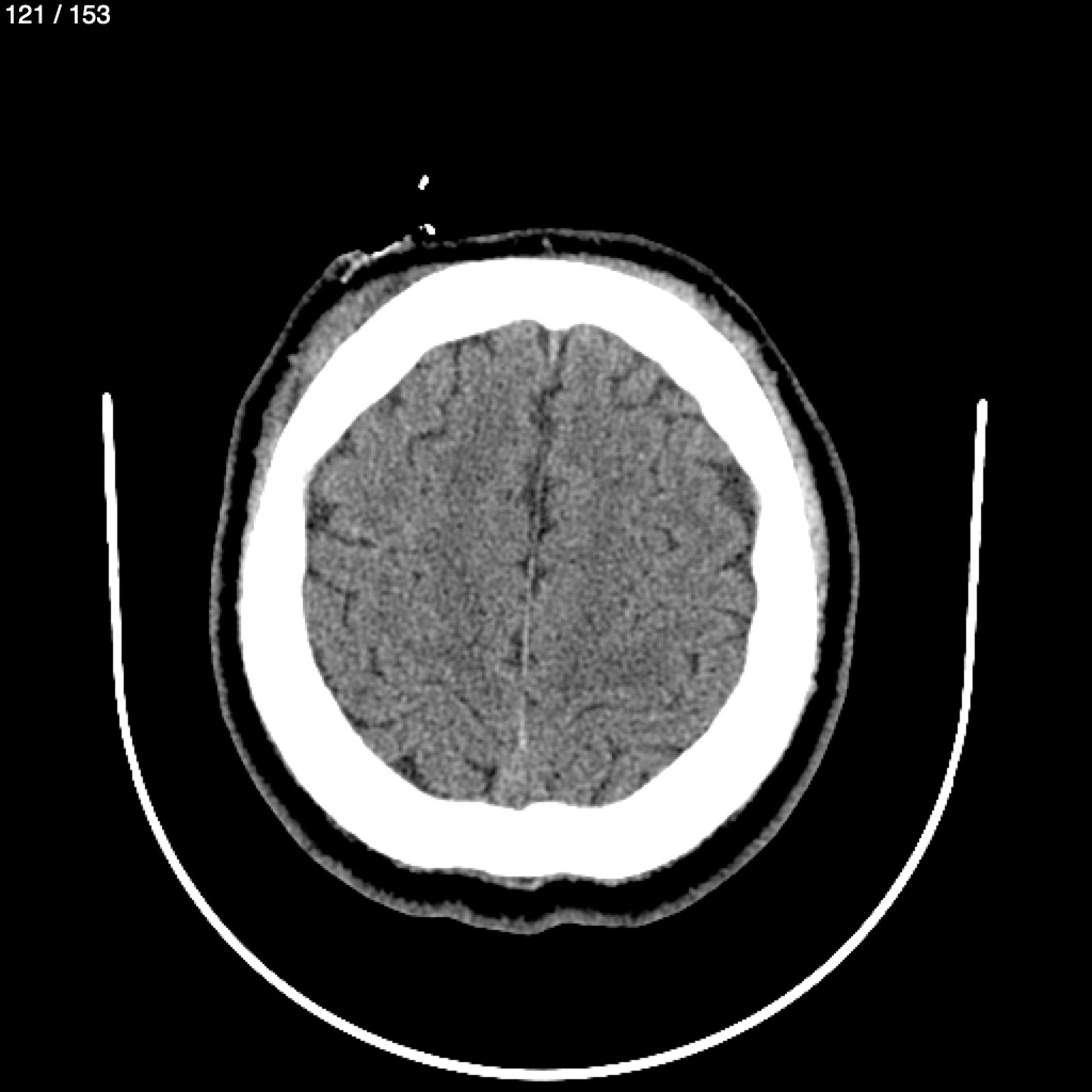
Angel Isamel Lopez 47 - S Craneo
Next Series
Show as Sequence