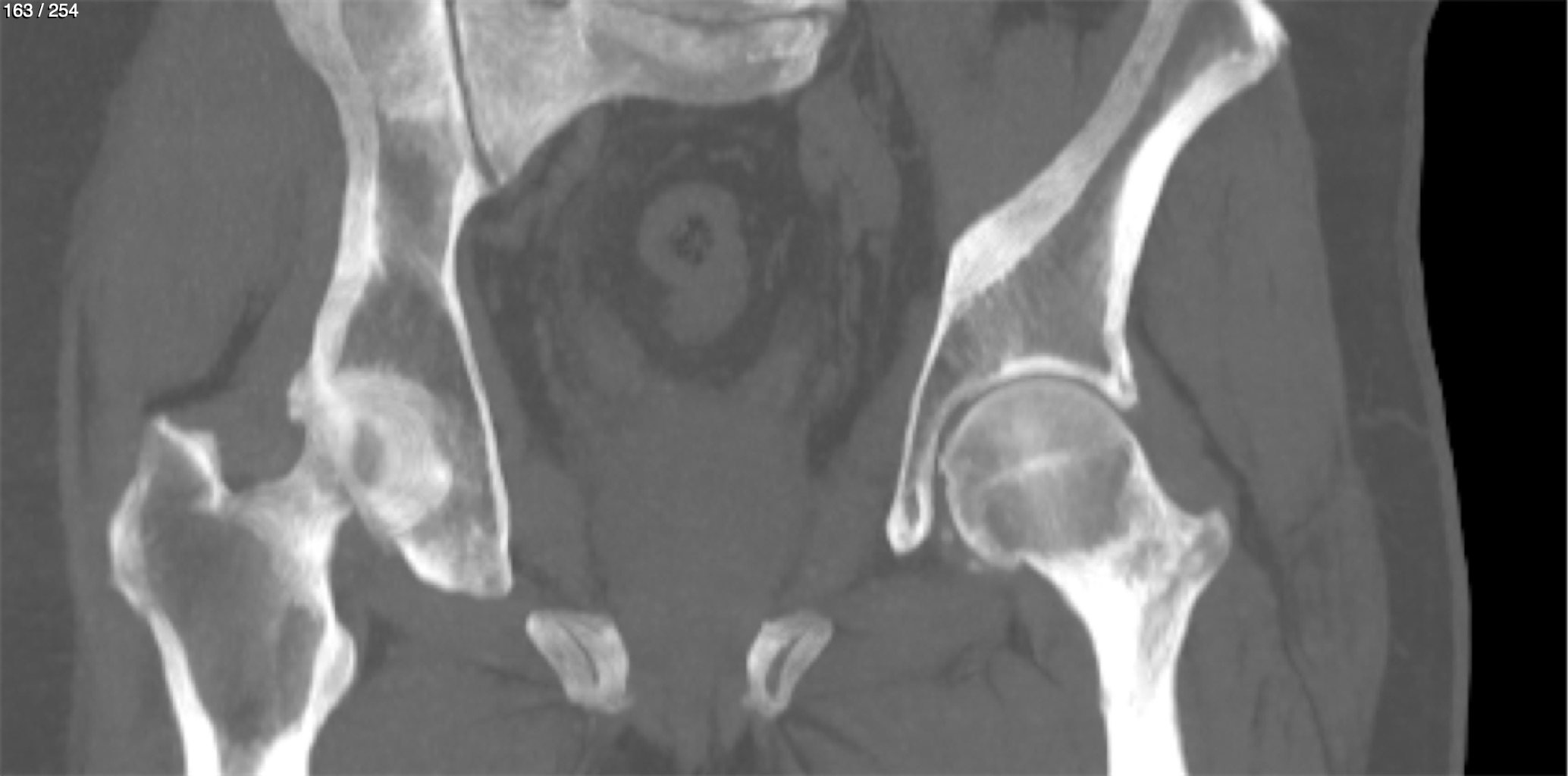
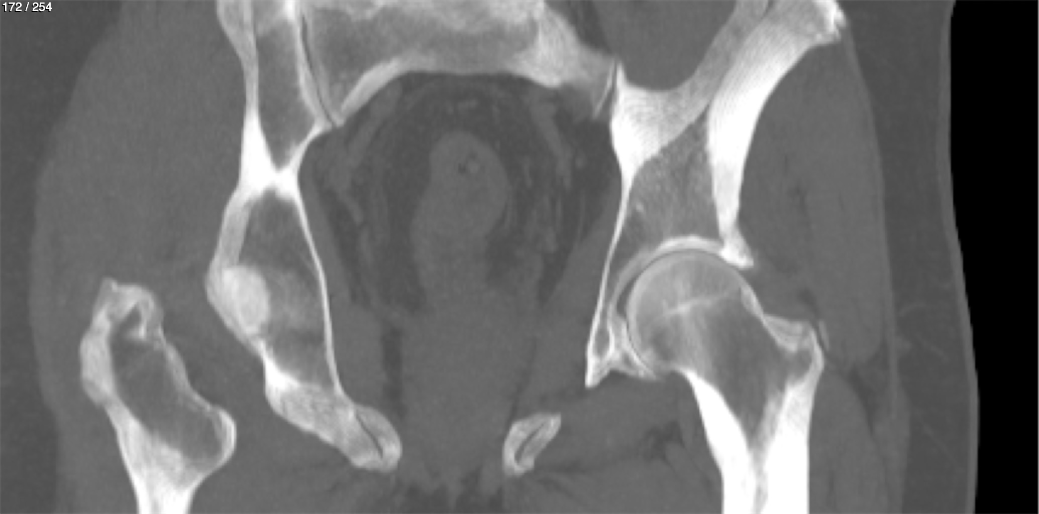
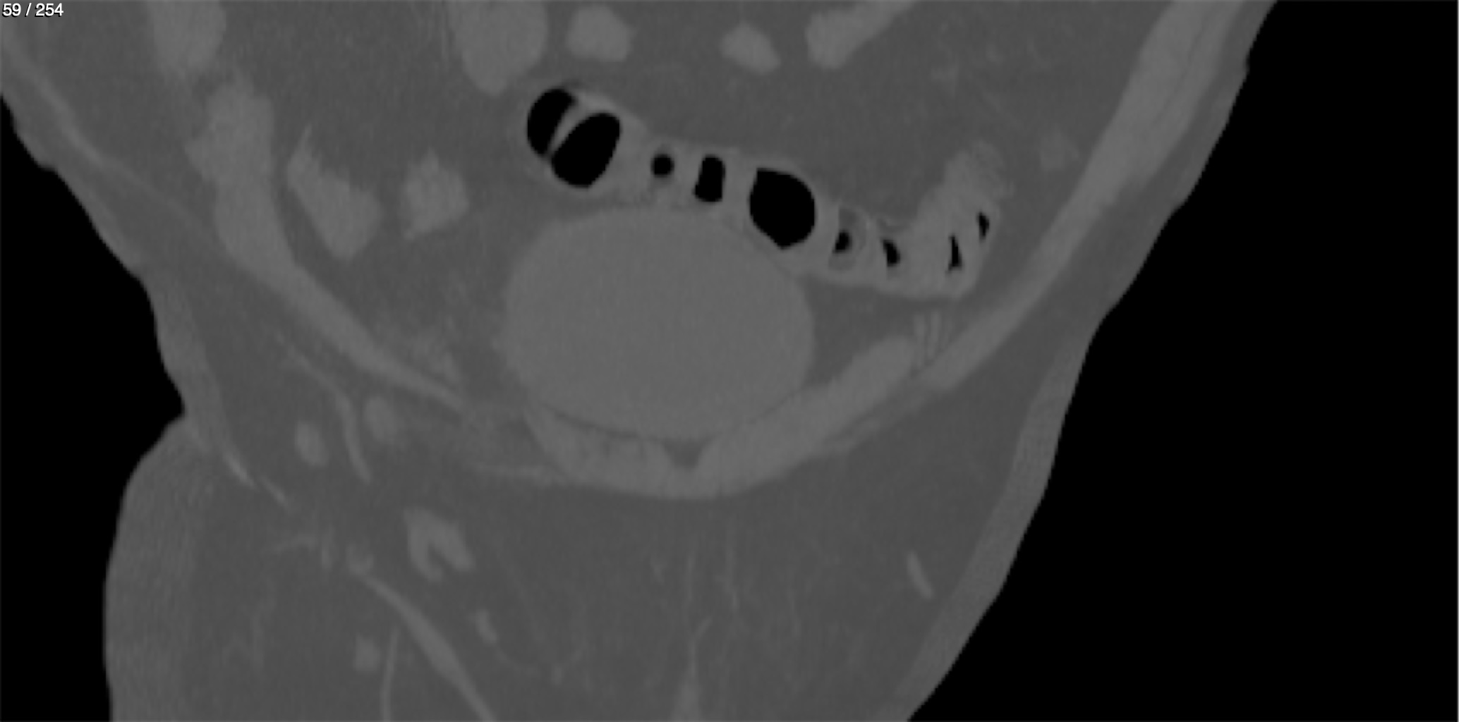
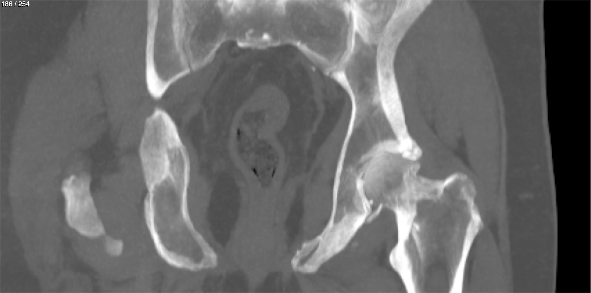
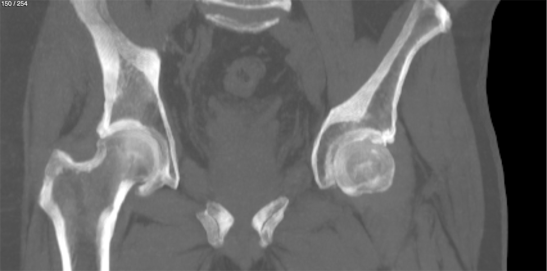
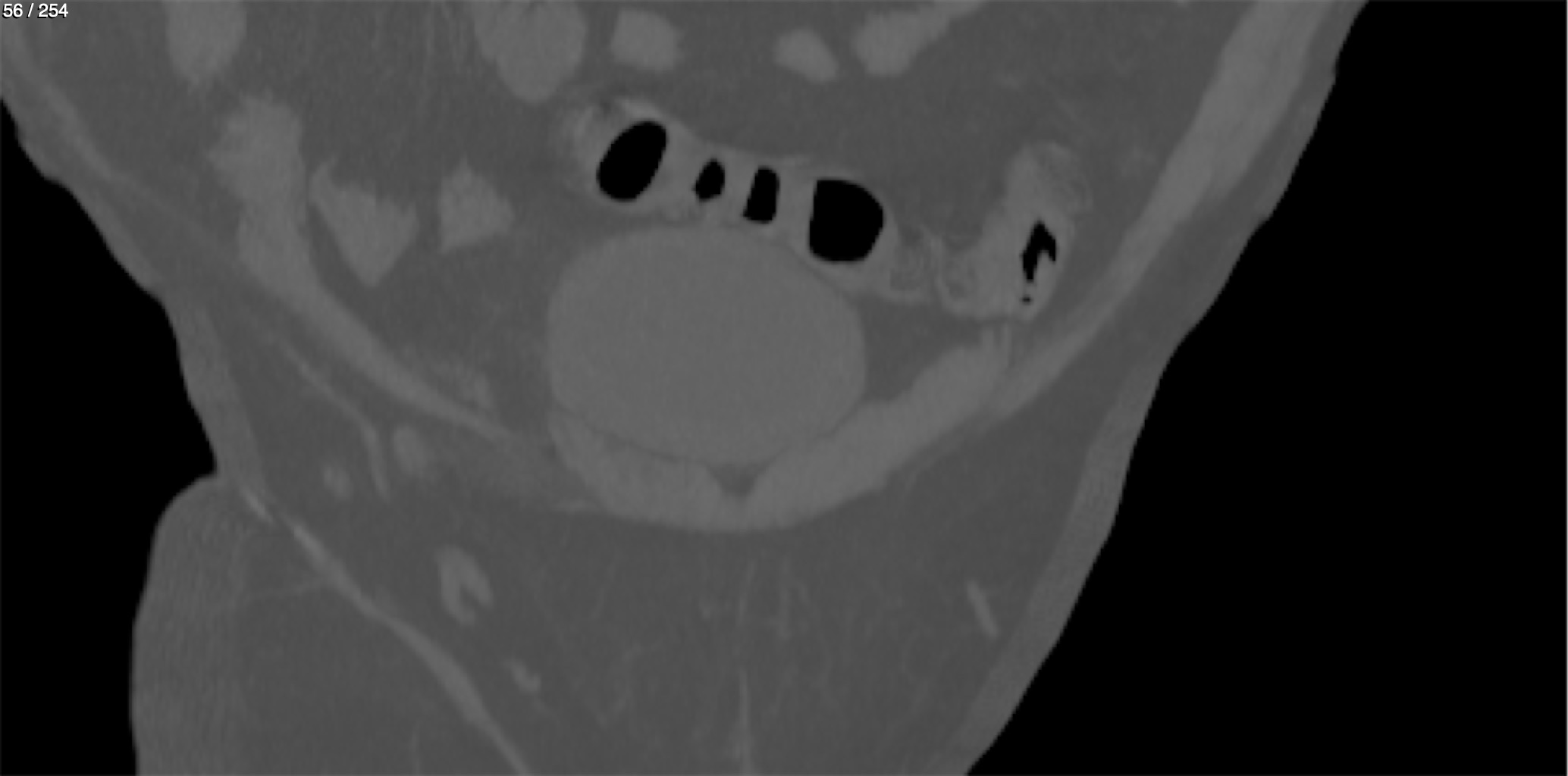
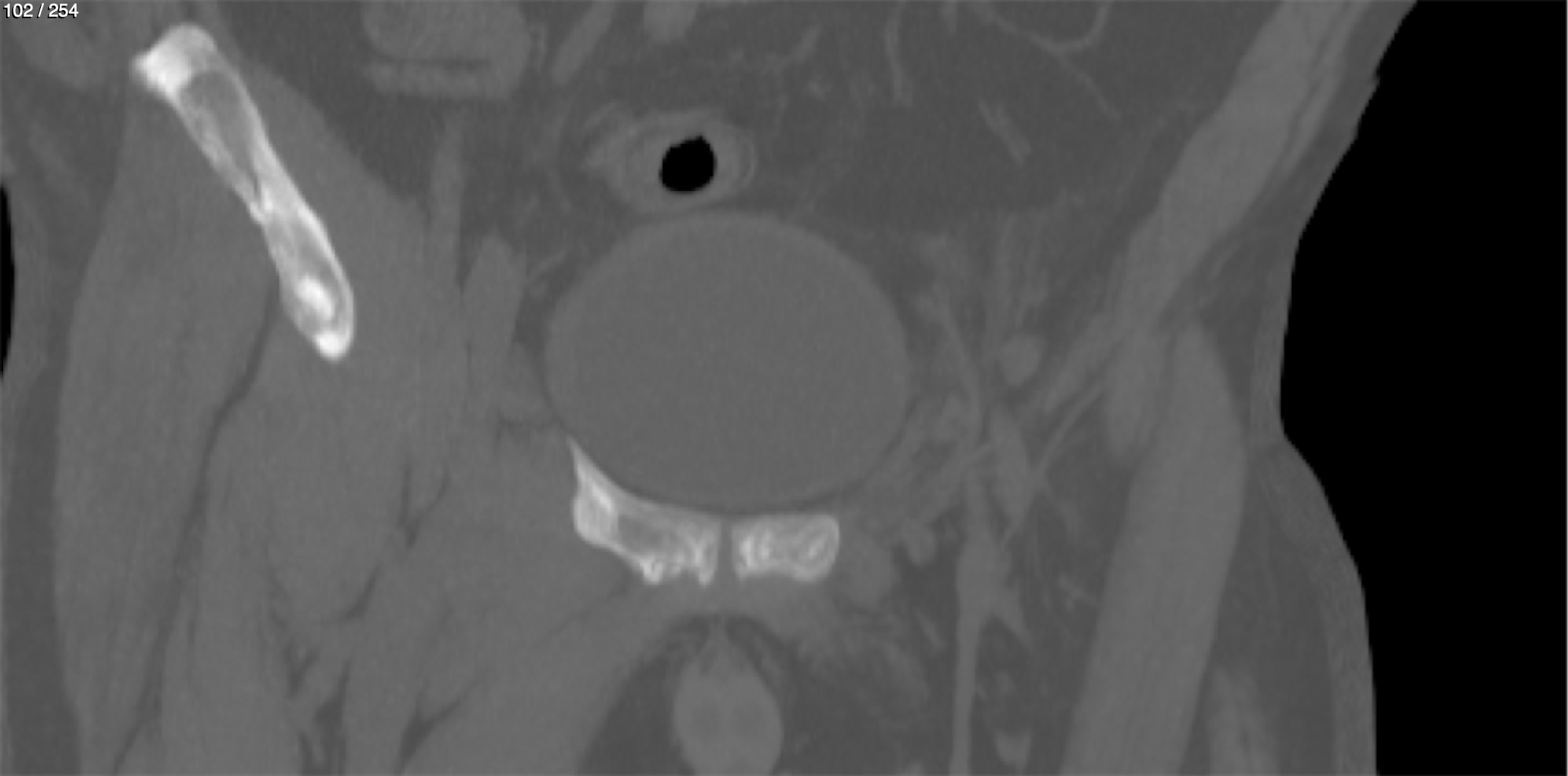
Home J​o​r​g​e​ ​A​l​b​e​r​t​o​ ​S​o​t​o​ ​R​i​v​e​r​a​ ​5​2​A​ ​-​ ​T​c​ ​T​o​r​a​c​o​a​b​d​o​m​i​n​a​l​ ​S​y​c