HUIXTLA
ESCUINTLA
AKISHINO
AKISHINO2 USG
ESPECIALIDADES
Home
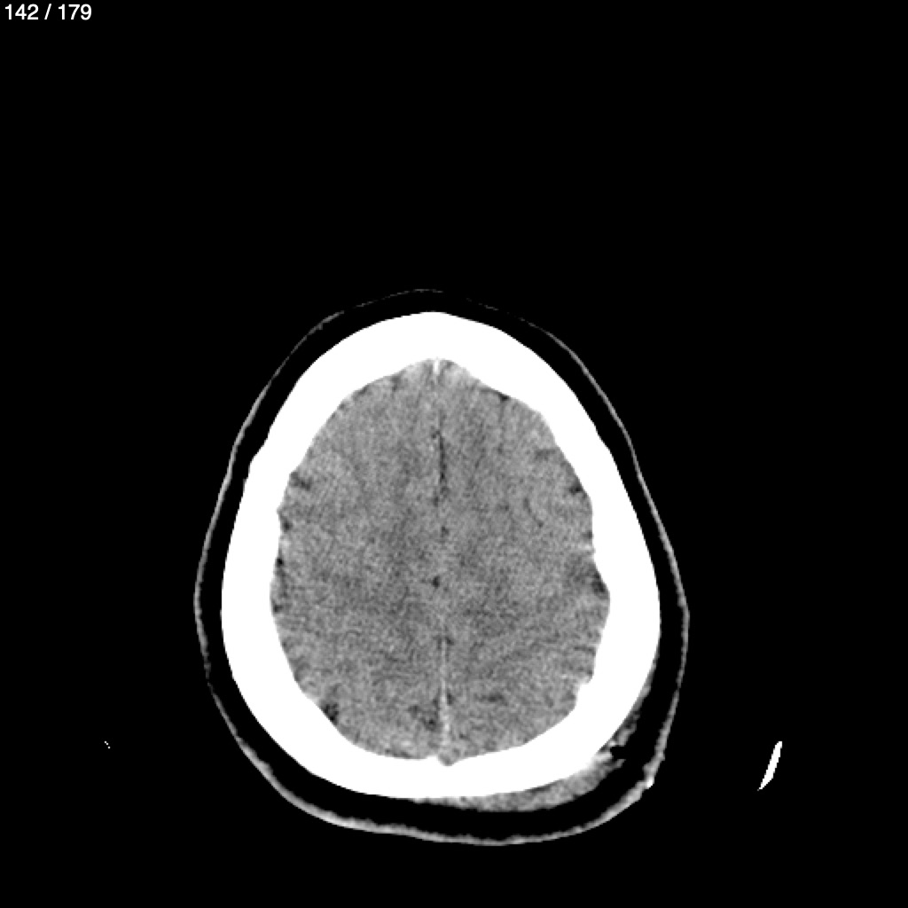
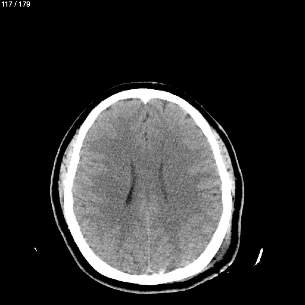
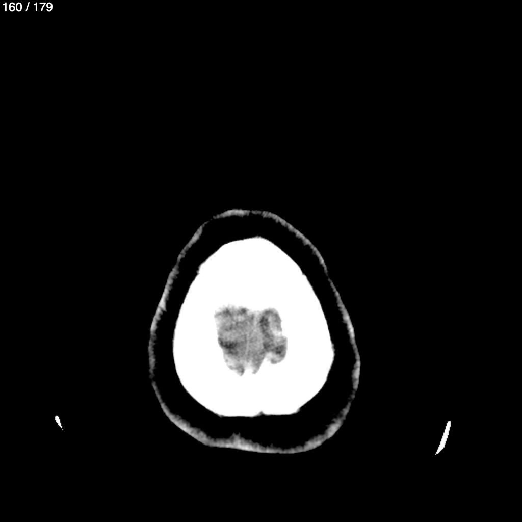
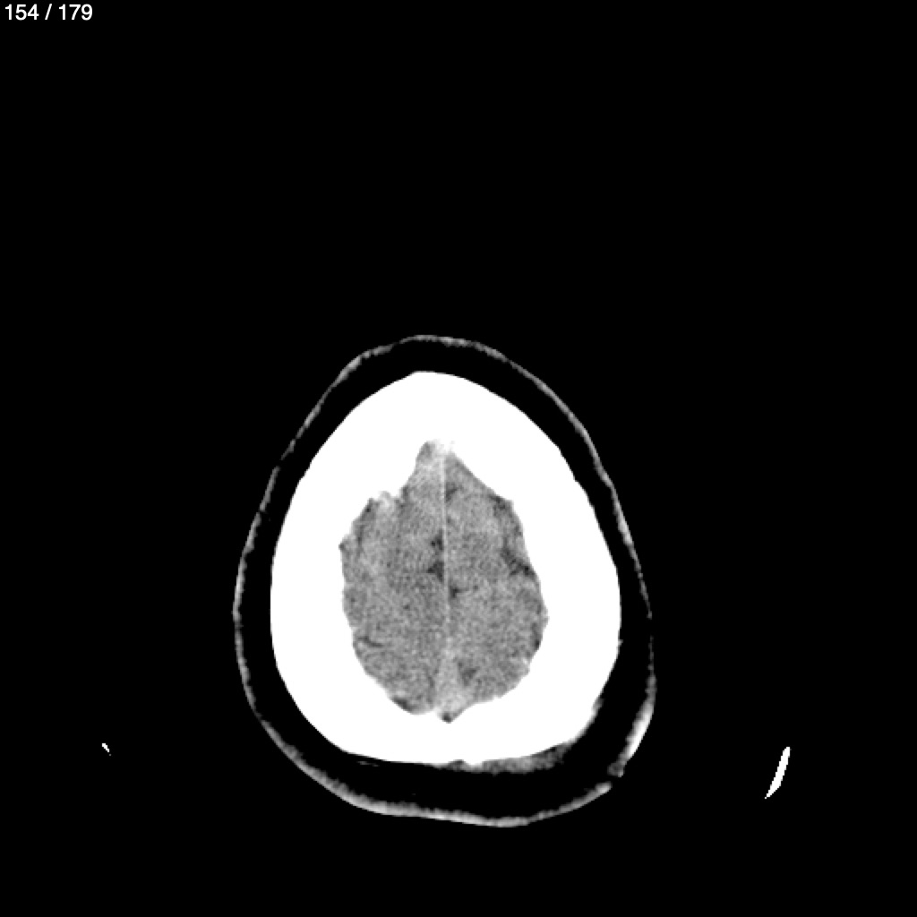
Darina Michelle Hernandez 14A - Unnamed
Next Series
Show as Sequence