HUIXTLA
ESCUINTLA
AKISHINO
AKISHINO2 USG
ESPECIALIDADES
Home
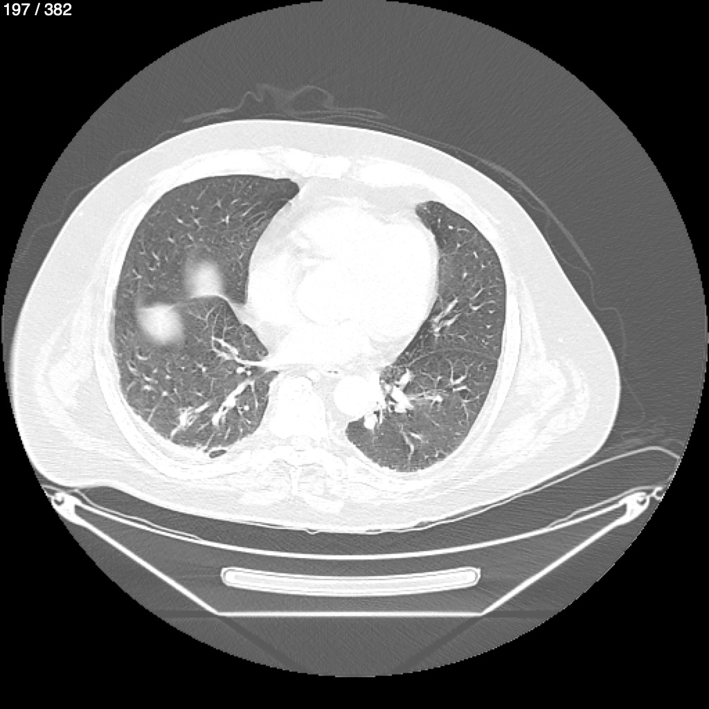
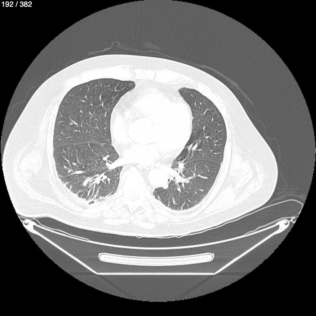
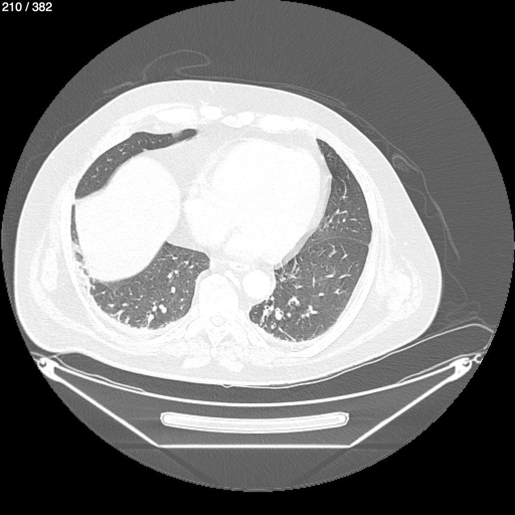
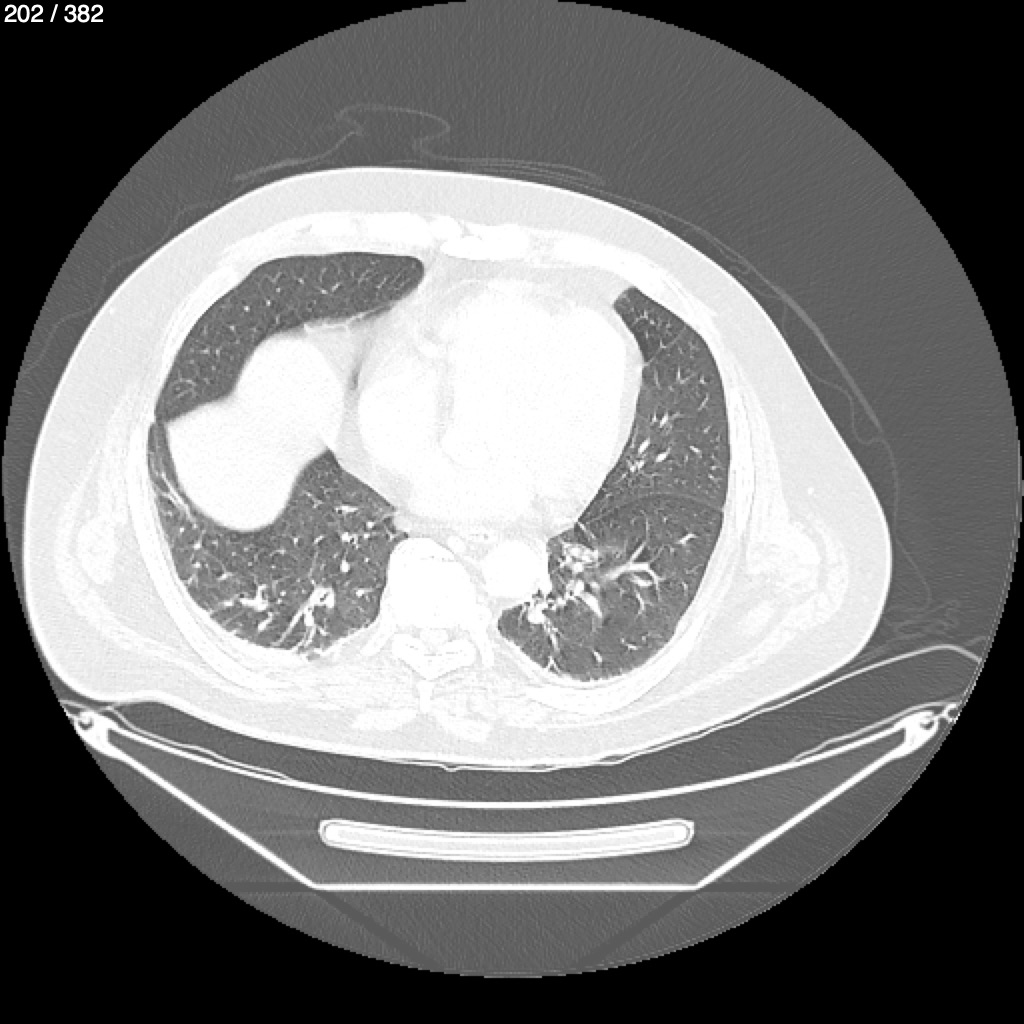
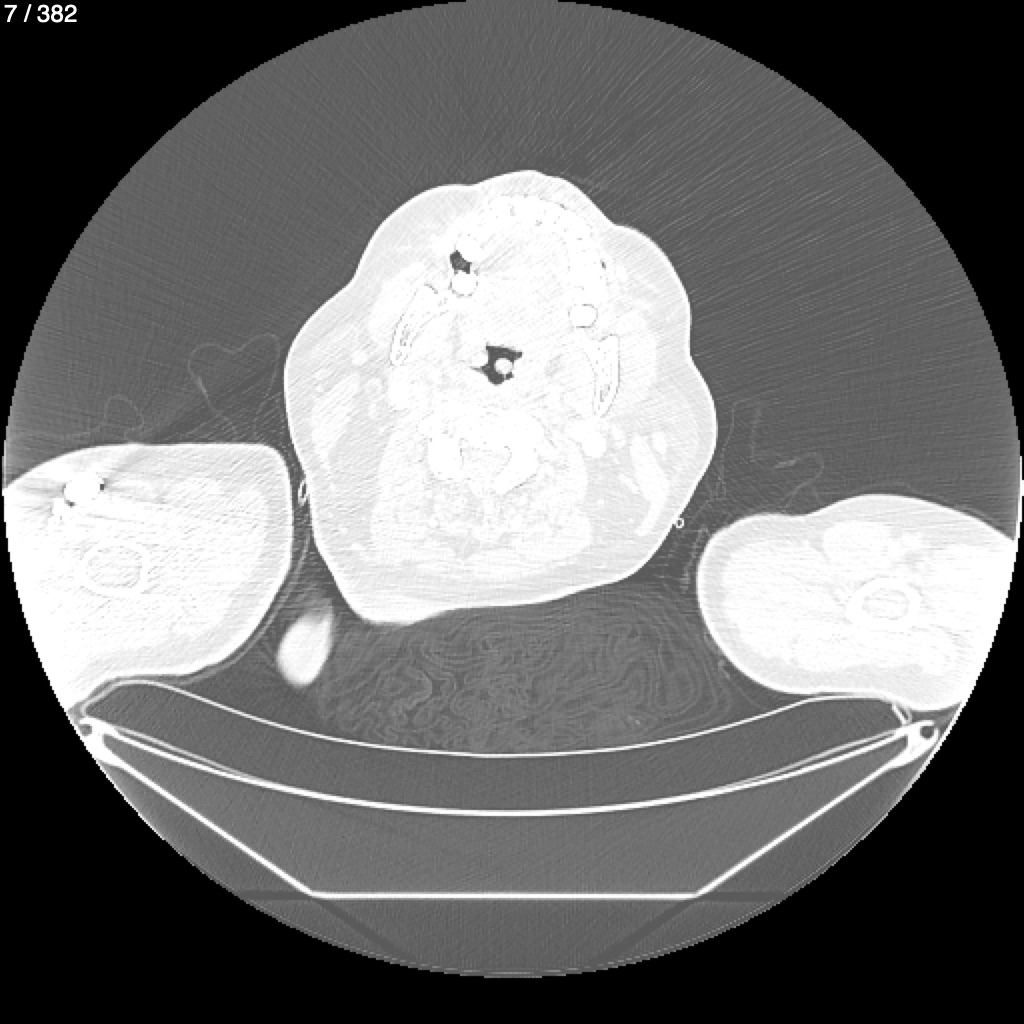
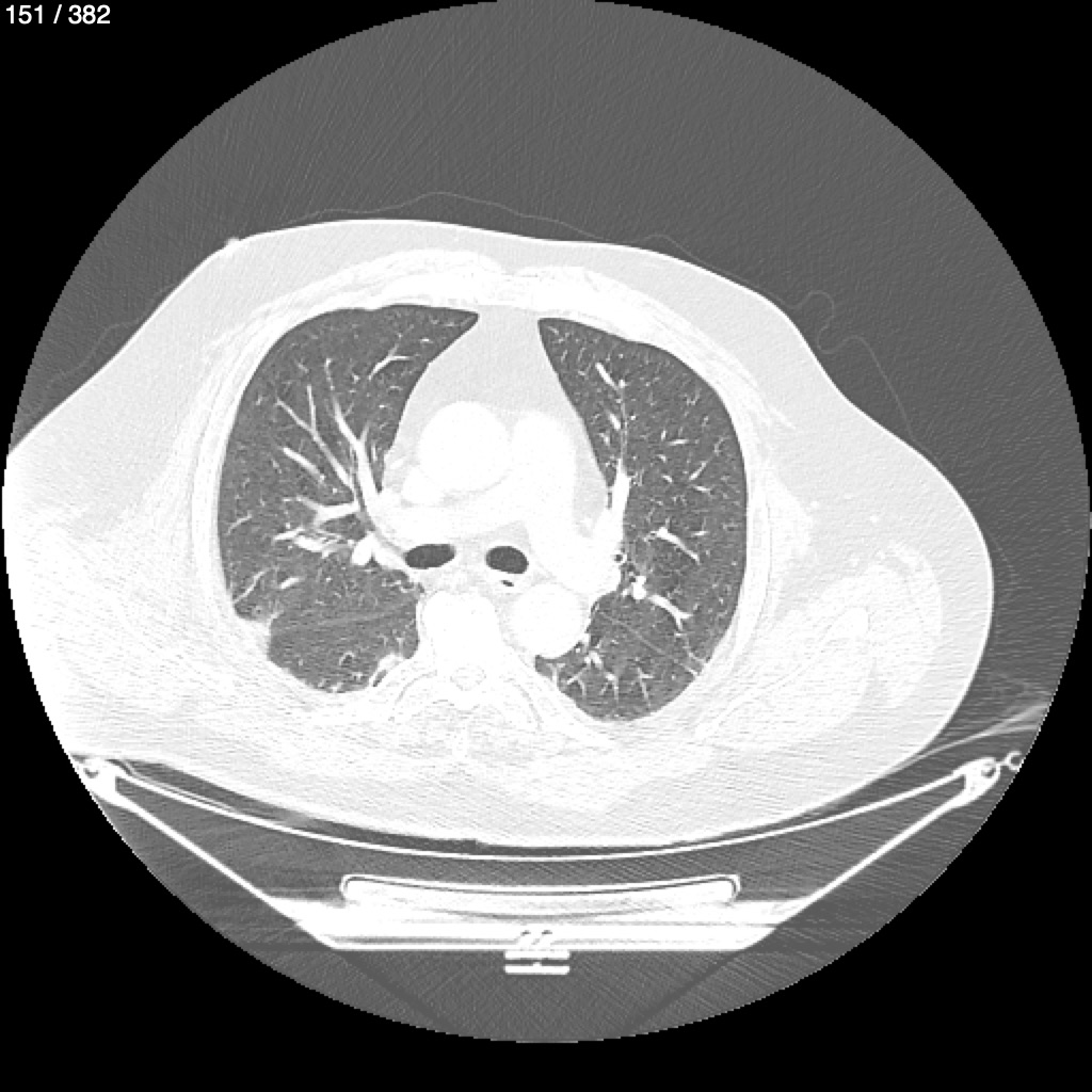
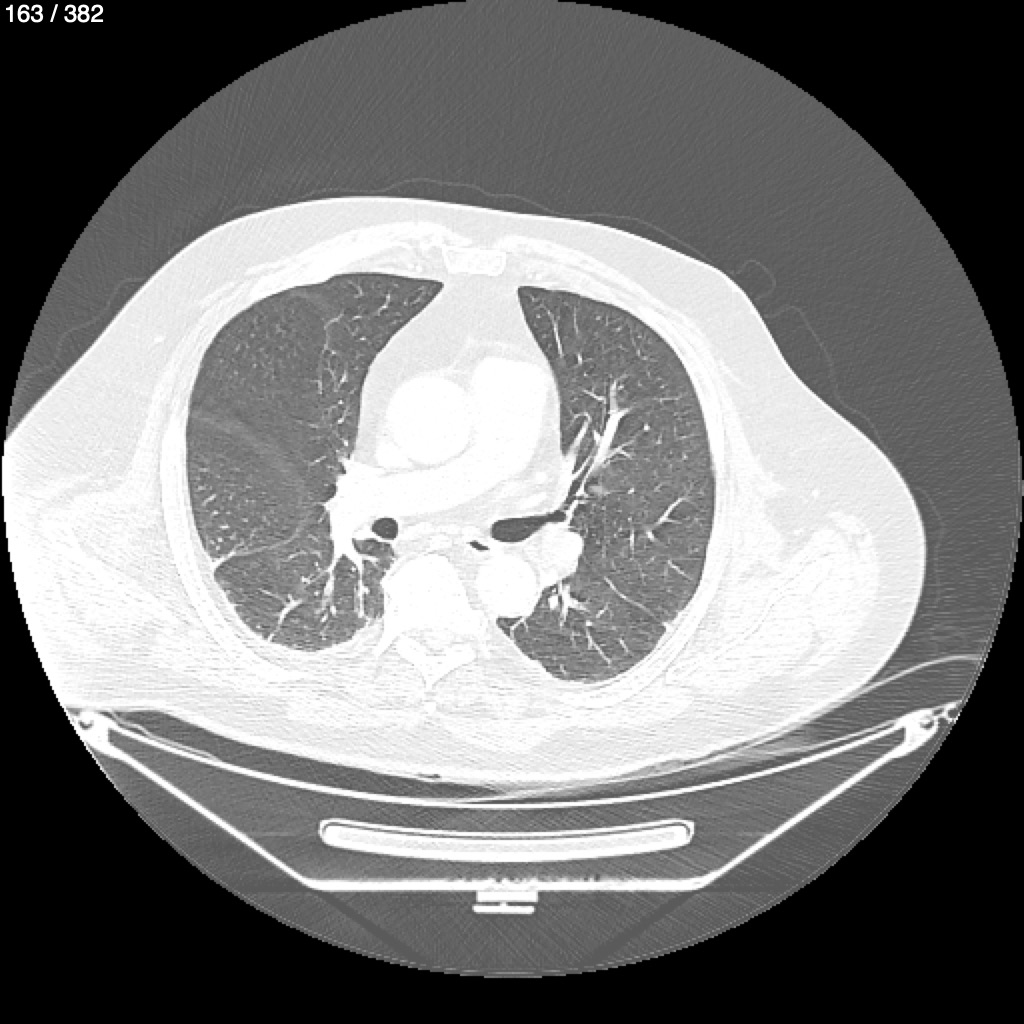
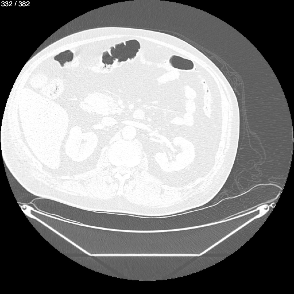
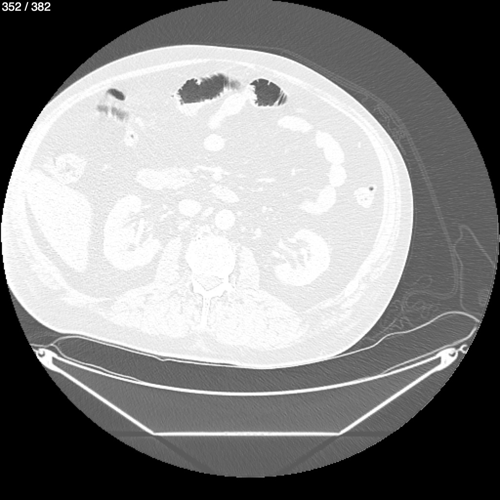
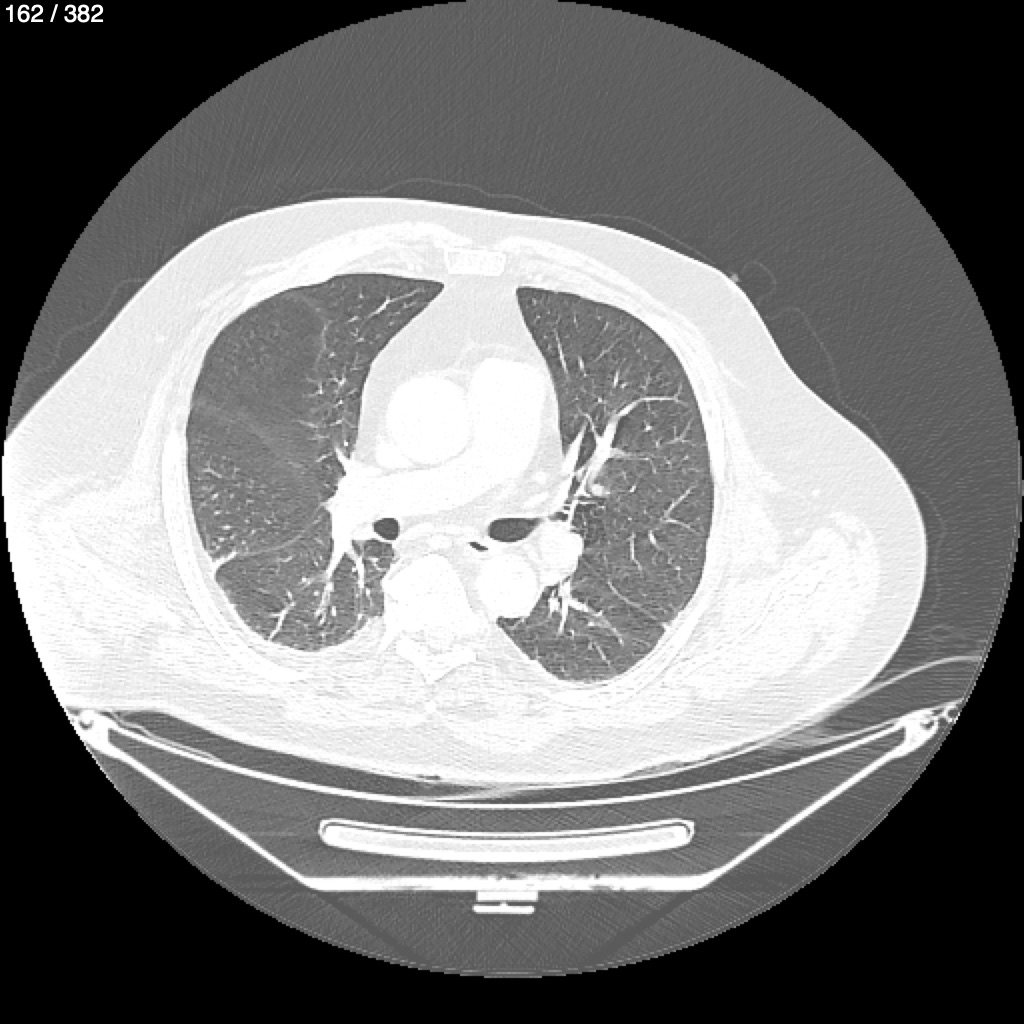
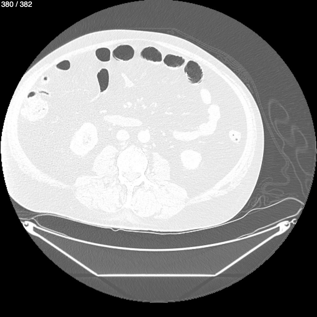
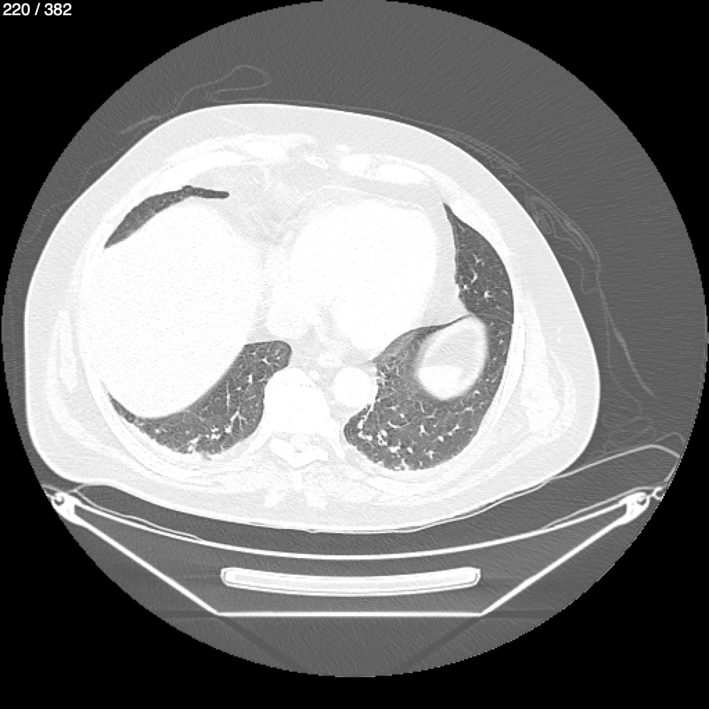
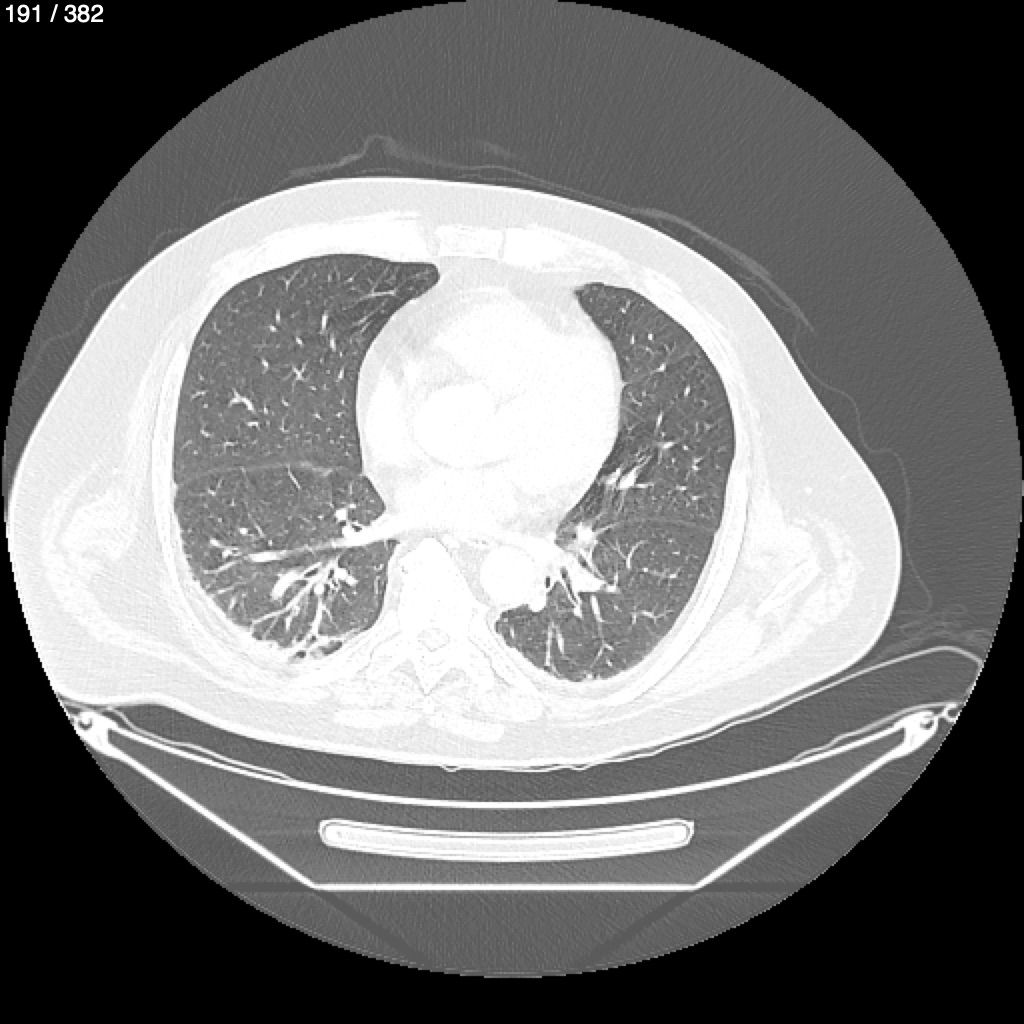
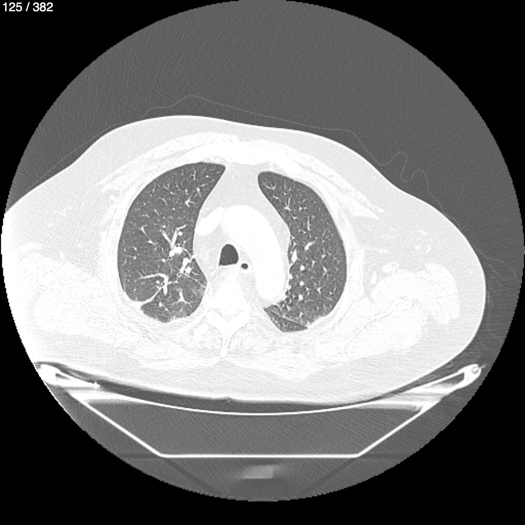
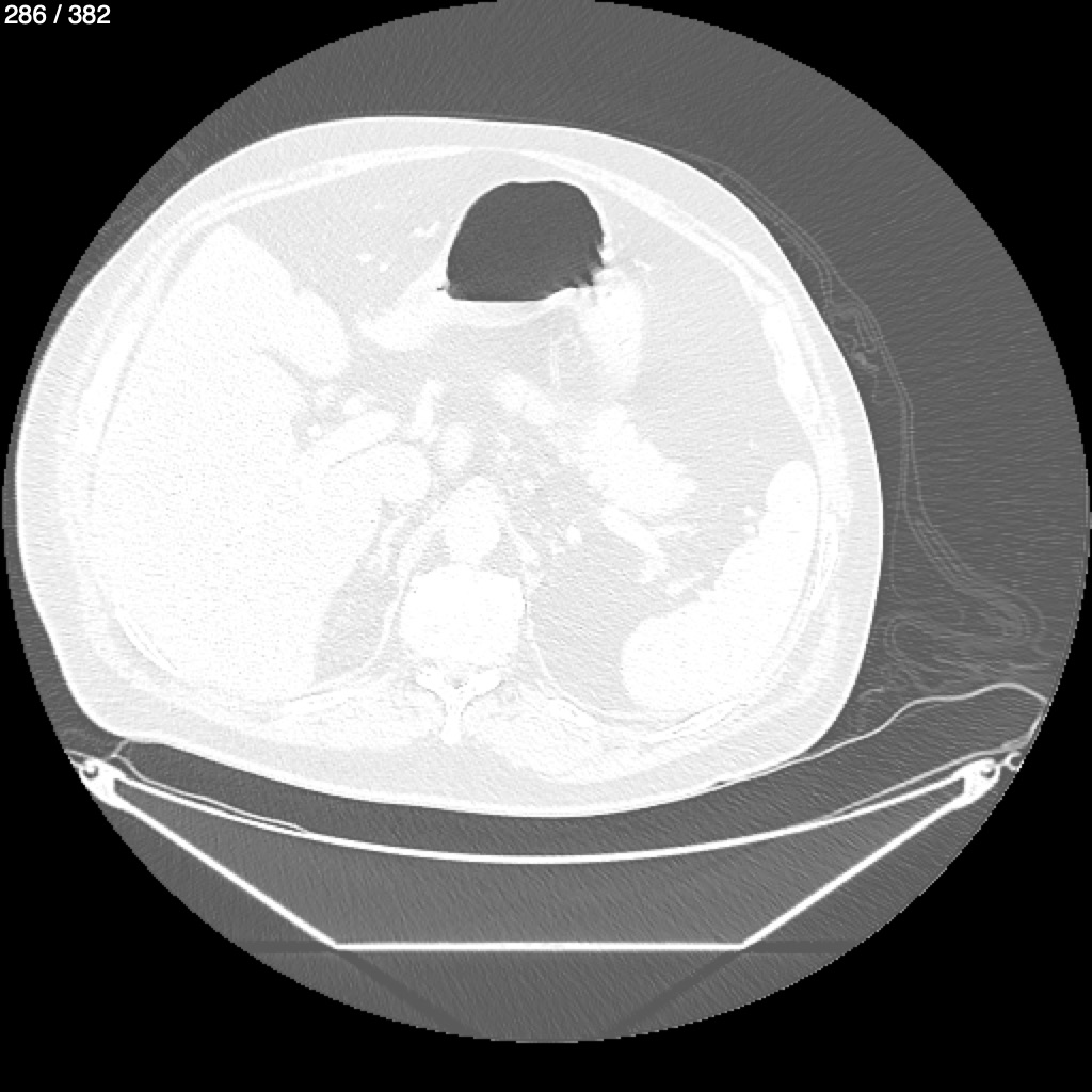
Jorge Alberto Soto Rivera 52A - Tc Toracoabdominal Syc
Previous Series
Next Series
Show as Sequence