HUIXTLA
ESCUINTLA
AKISHINO
AKISHINO2 USG
ESPECIALIDADES
Home
Walter Herndez Tovilla 16A - Unnamed
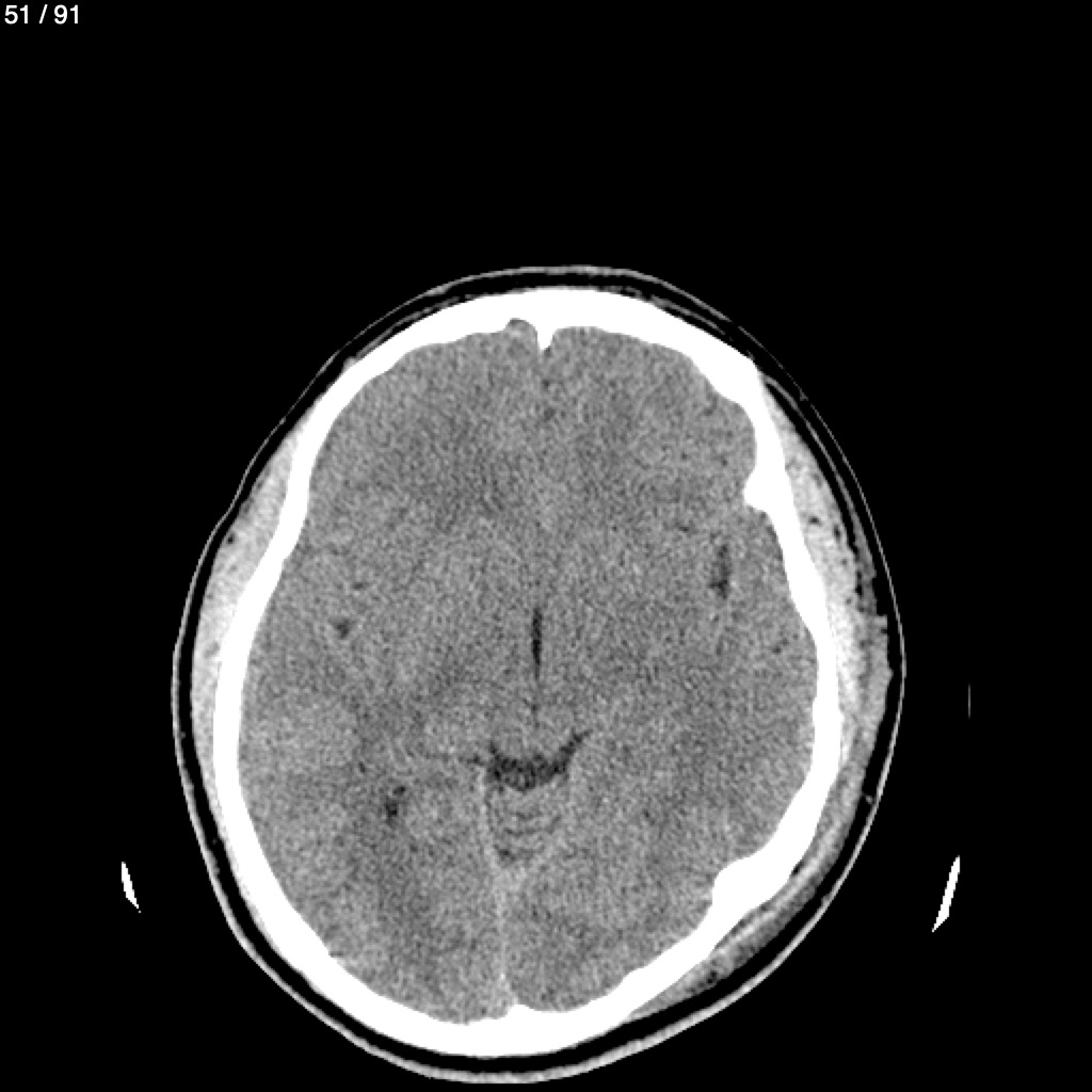
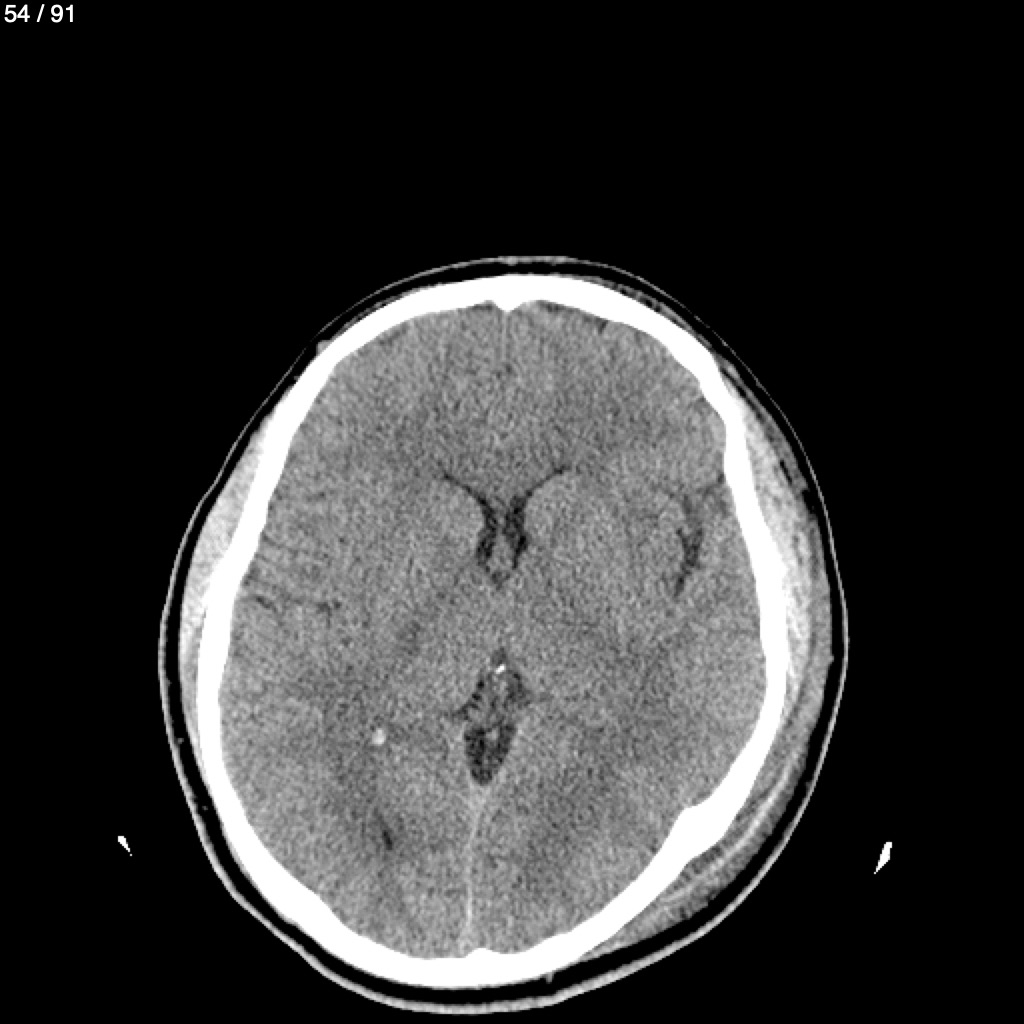
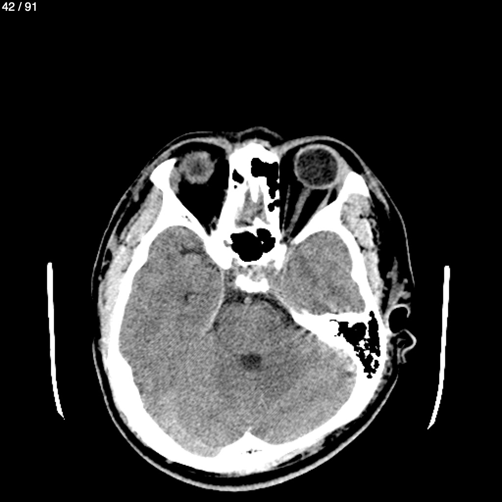
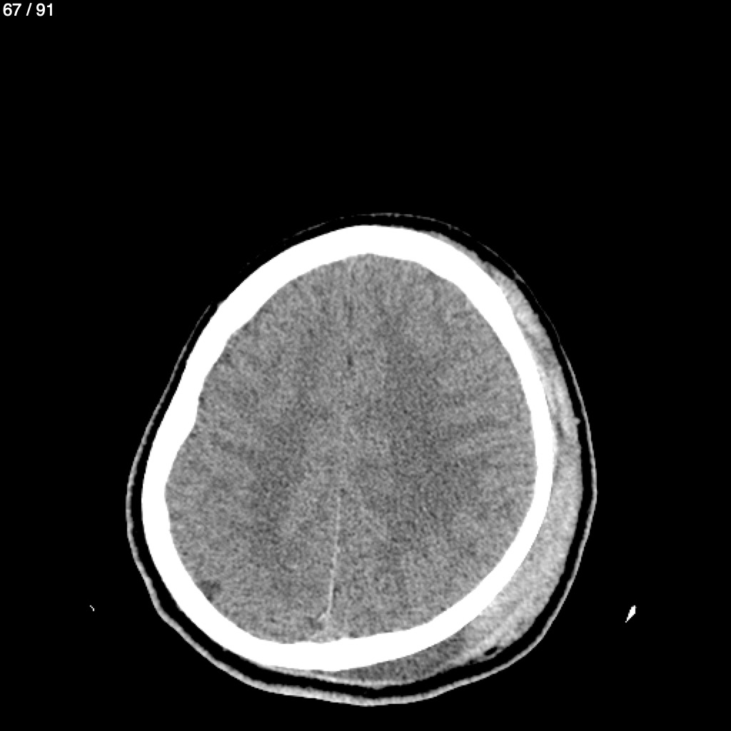
Next Series
Show as Sequence