HUIXTLA
ESCUINTLA
AKISHINO
AKISHINO2 USG
ESPECIALIDADES
Home
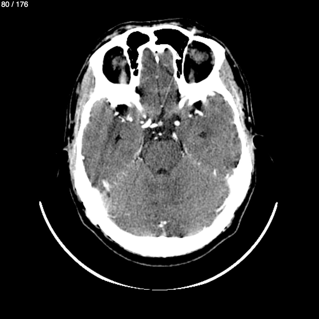
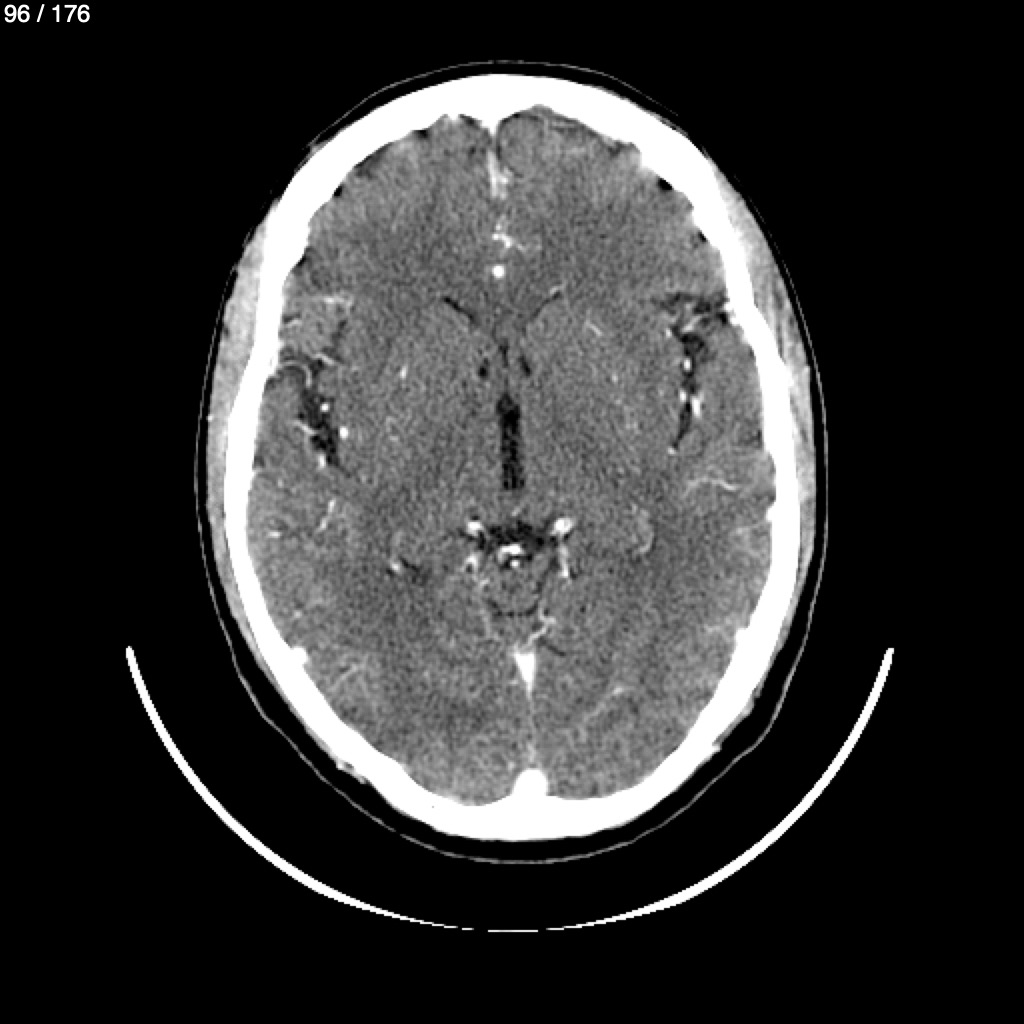
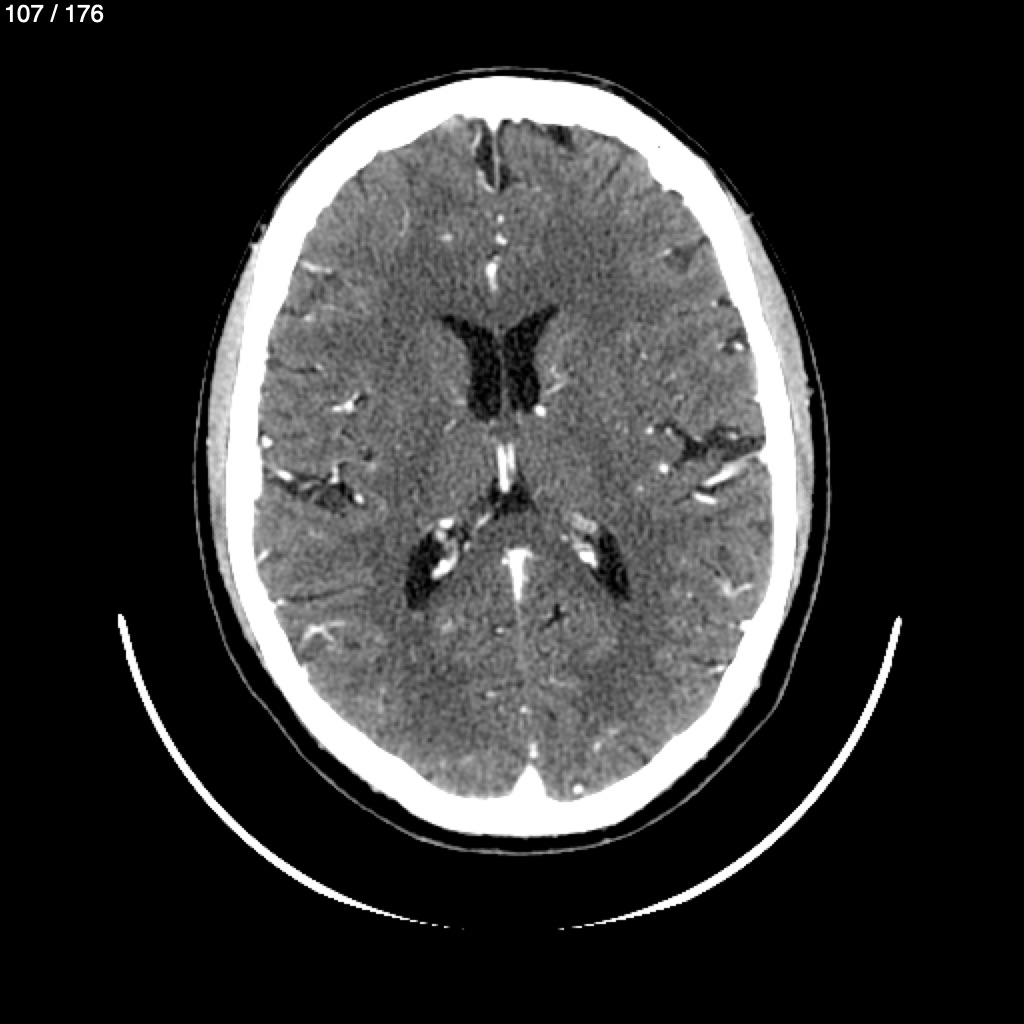
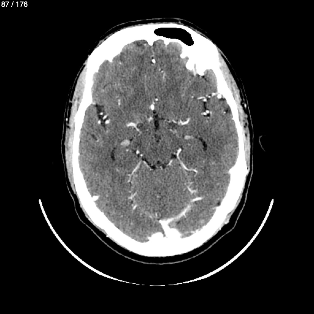
Alexander Munoz Carillo 24 - Unnamed
Previous Series
Next Series
Show as Sequence