HUIXTLA
ESCUINTLA
AKISHINO
AKISHINO2 USG
ESPECIALIDADES
Home
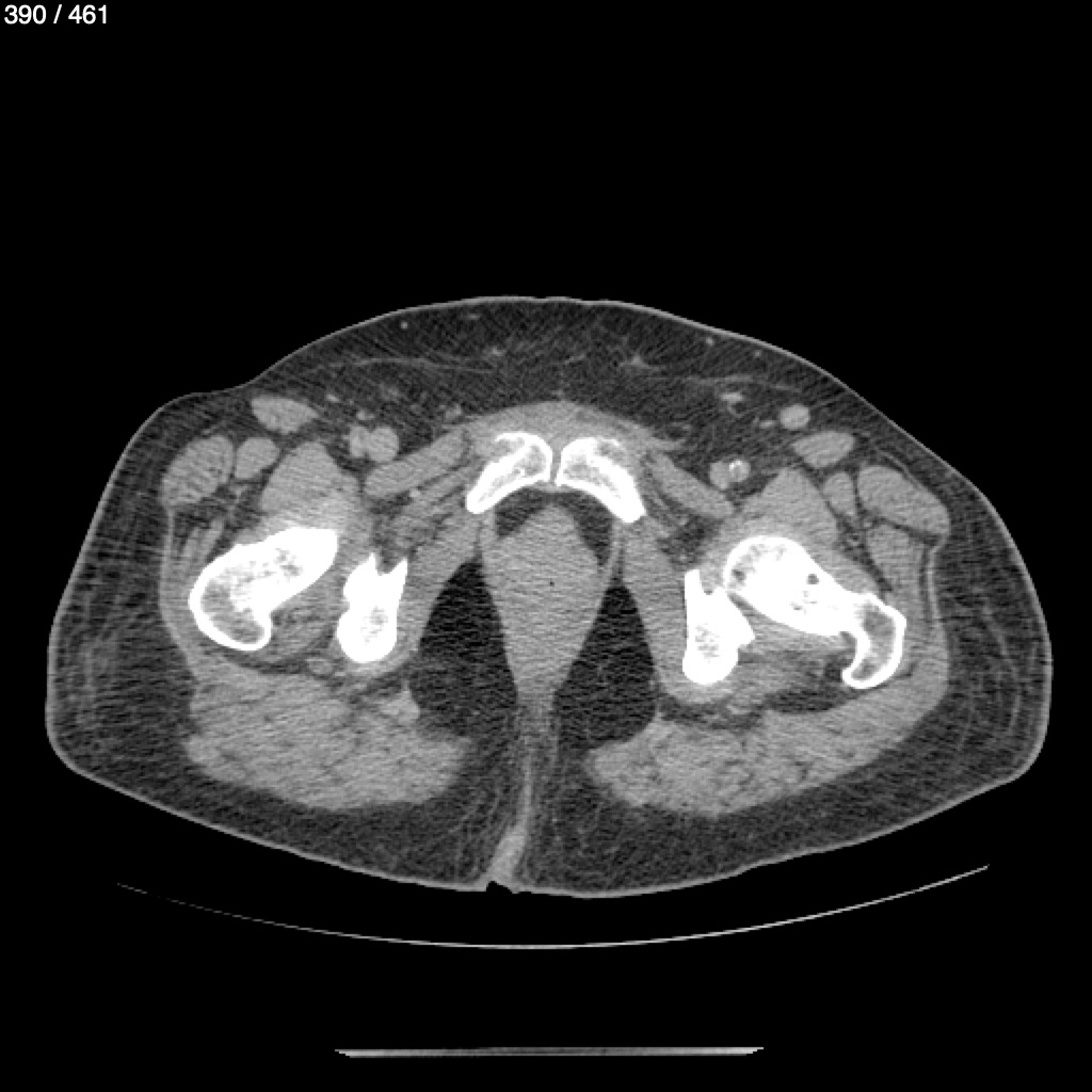
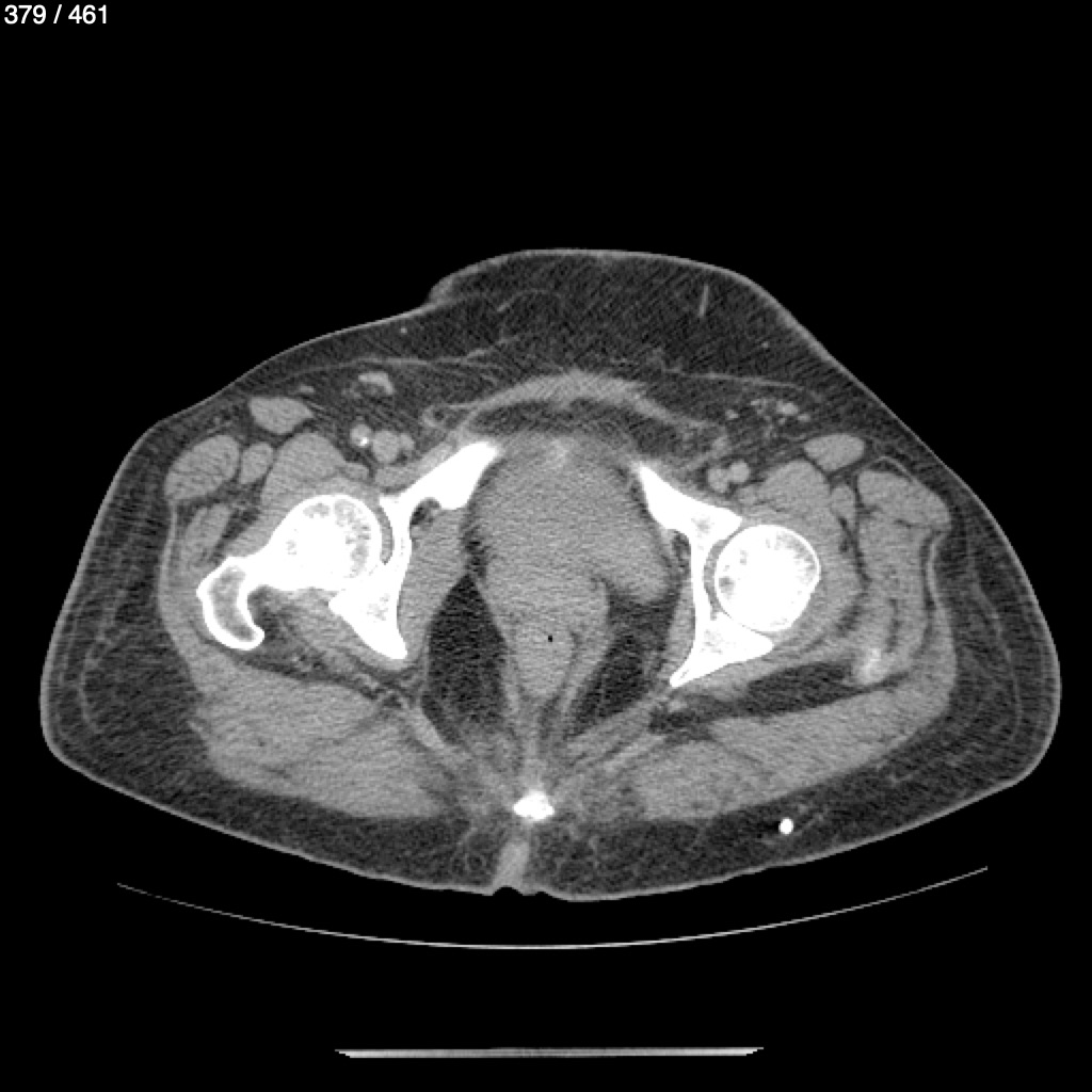
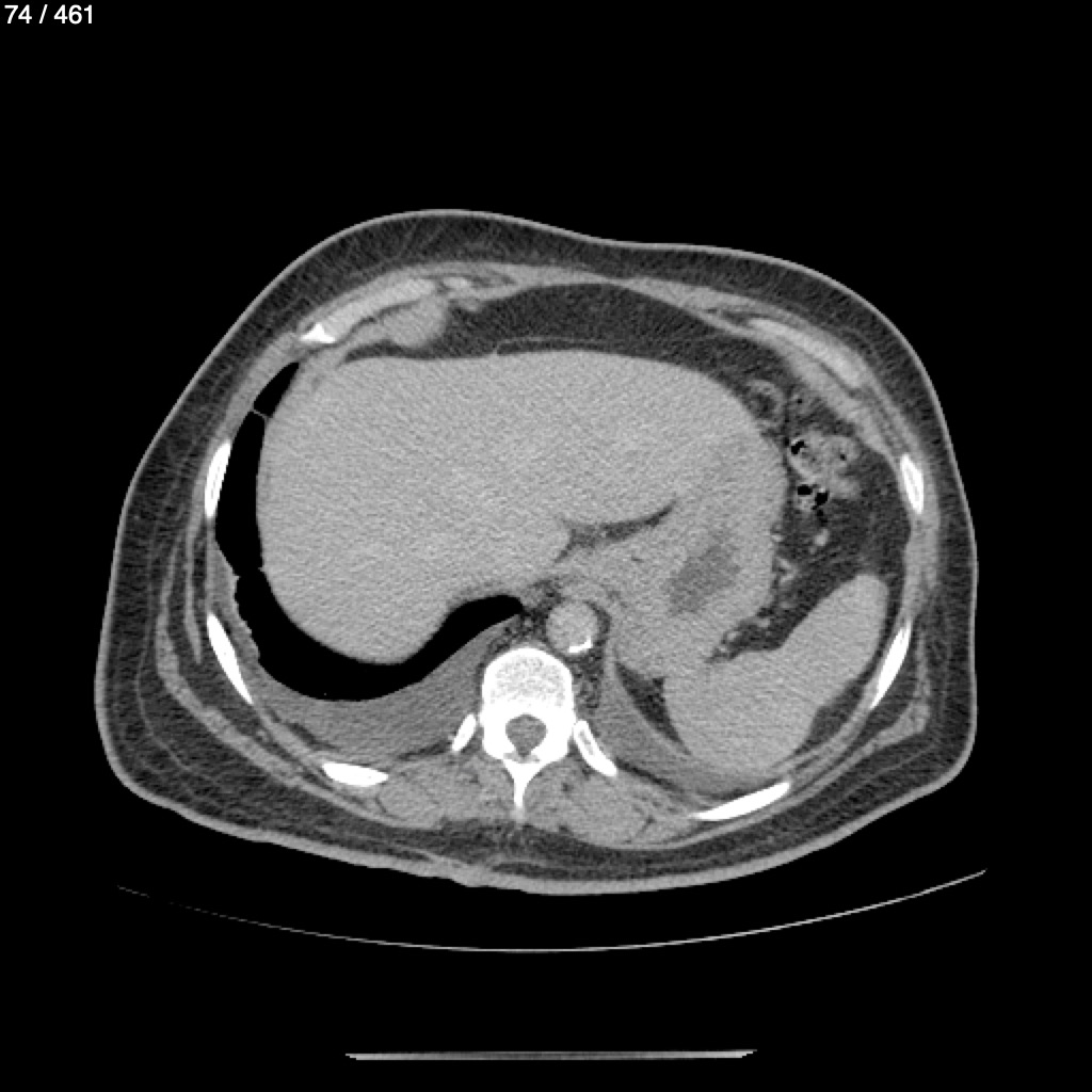
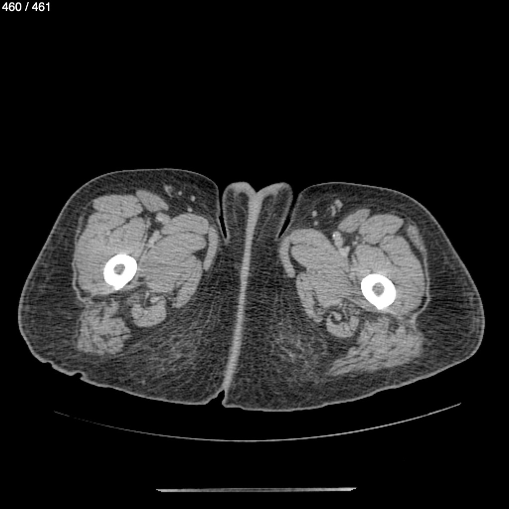
Demetria Magnolia Barrios Figuer - Unnamed
Previous Series
Next Series
Show as Sequence