HUIXTLA
ESCUINTLA
AKISHINO
AKISHINO2 USG
ESPECIALIDADES
Home
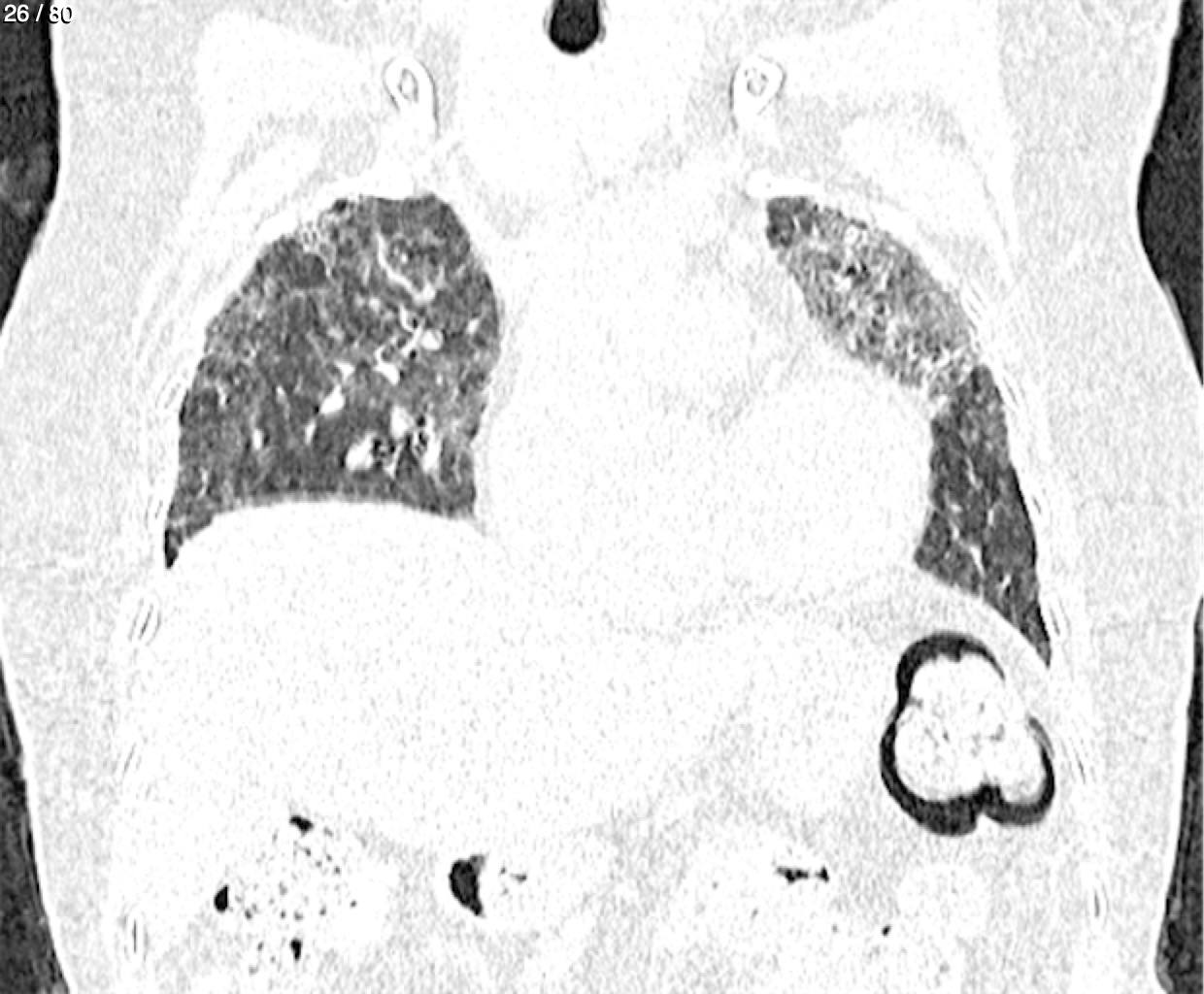
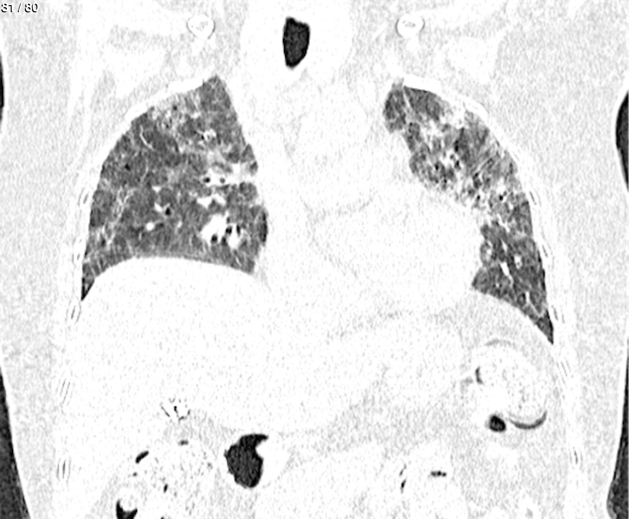
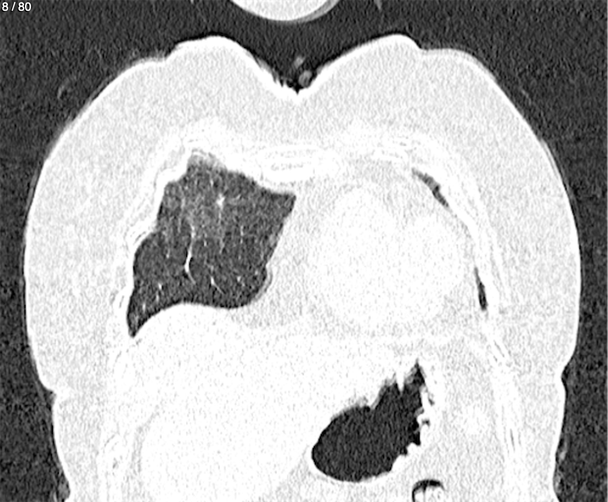
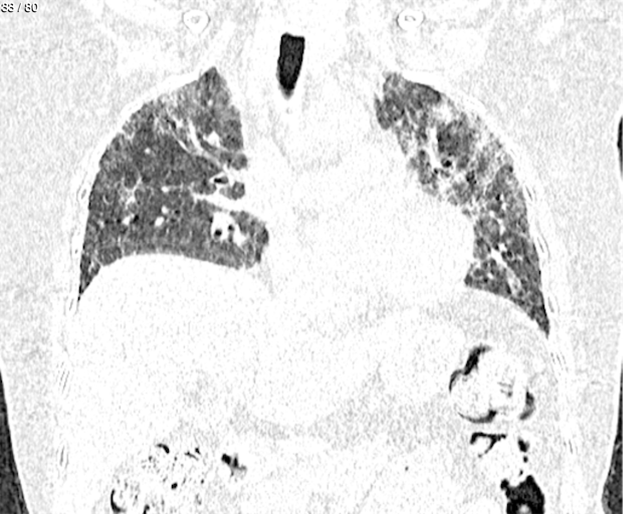
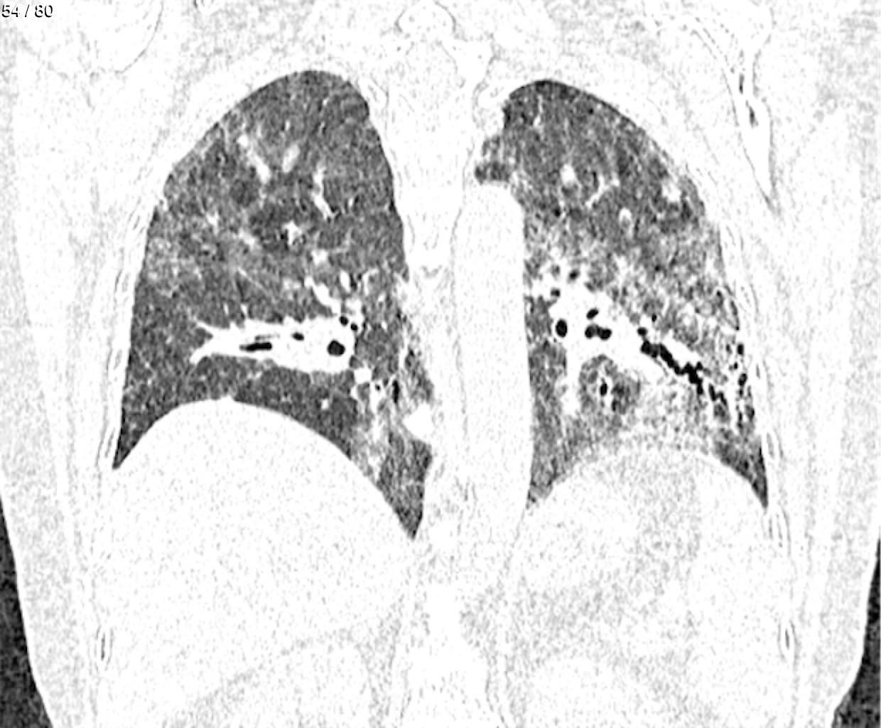
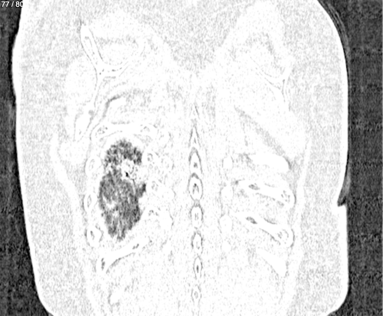
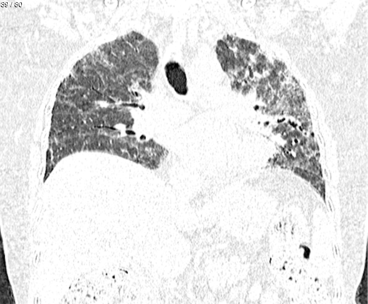
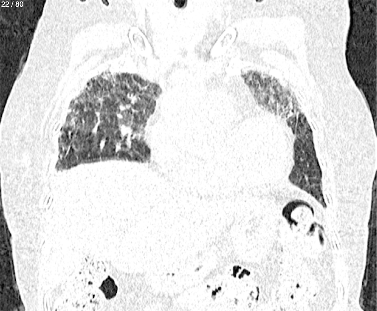
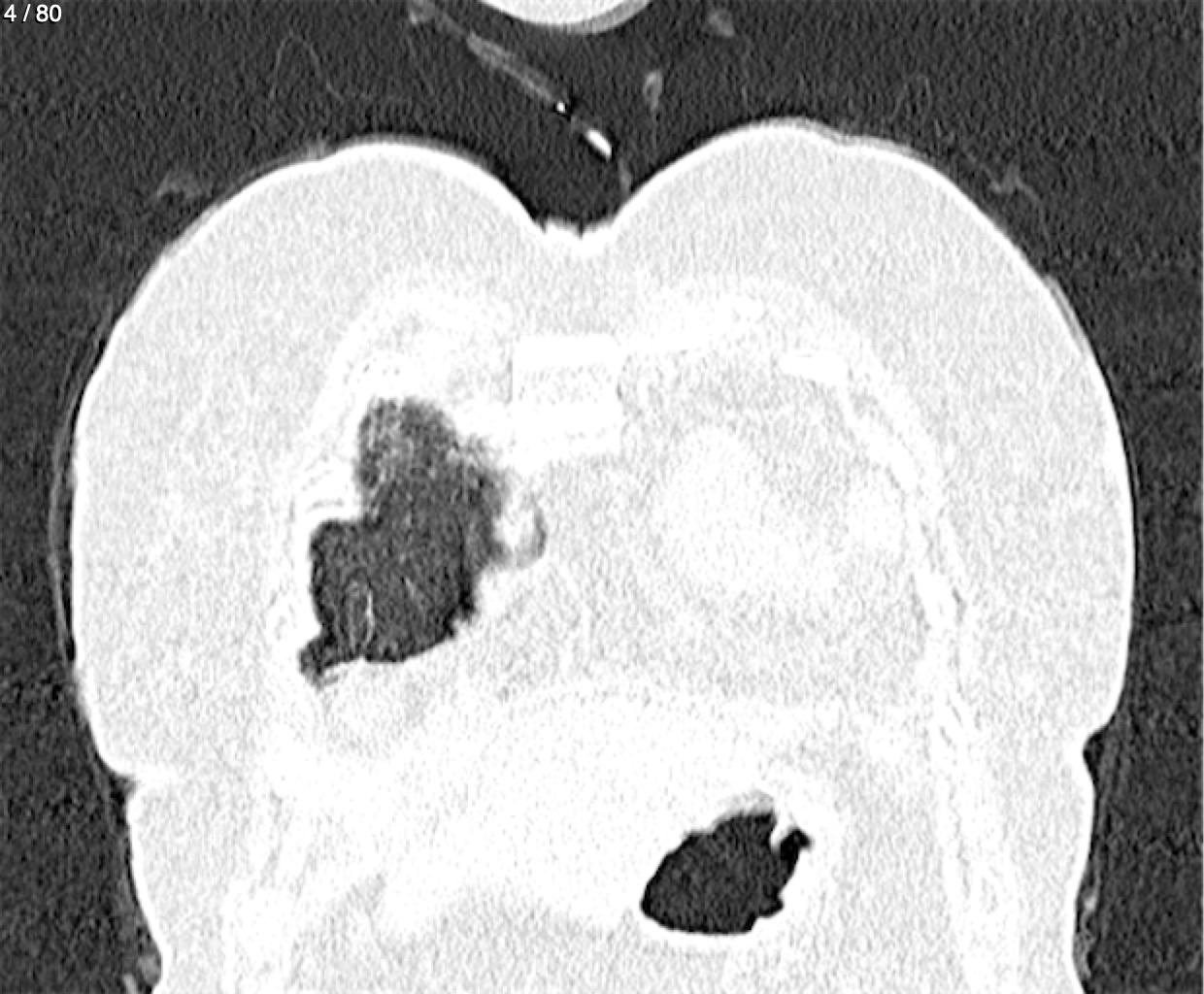
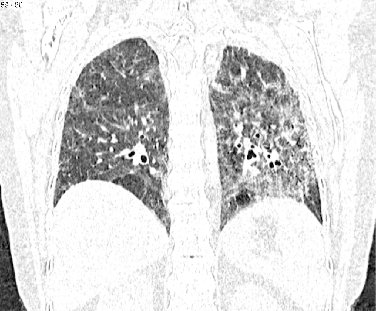
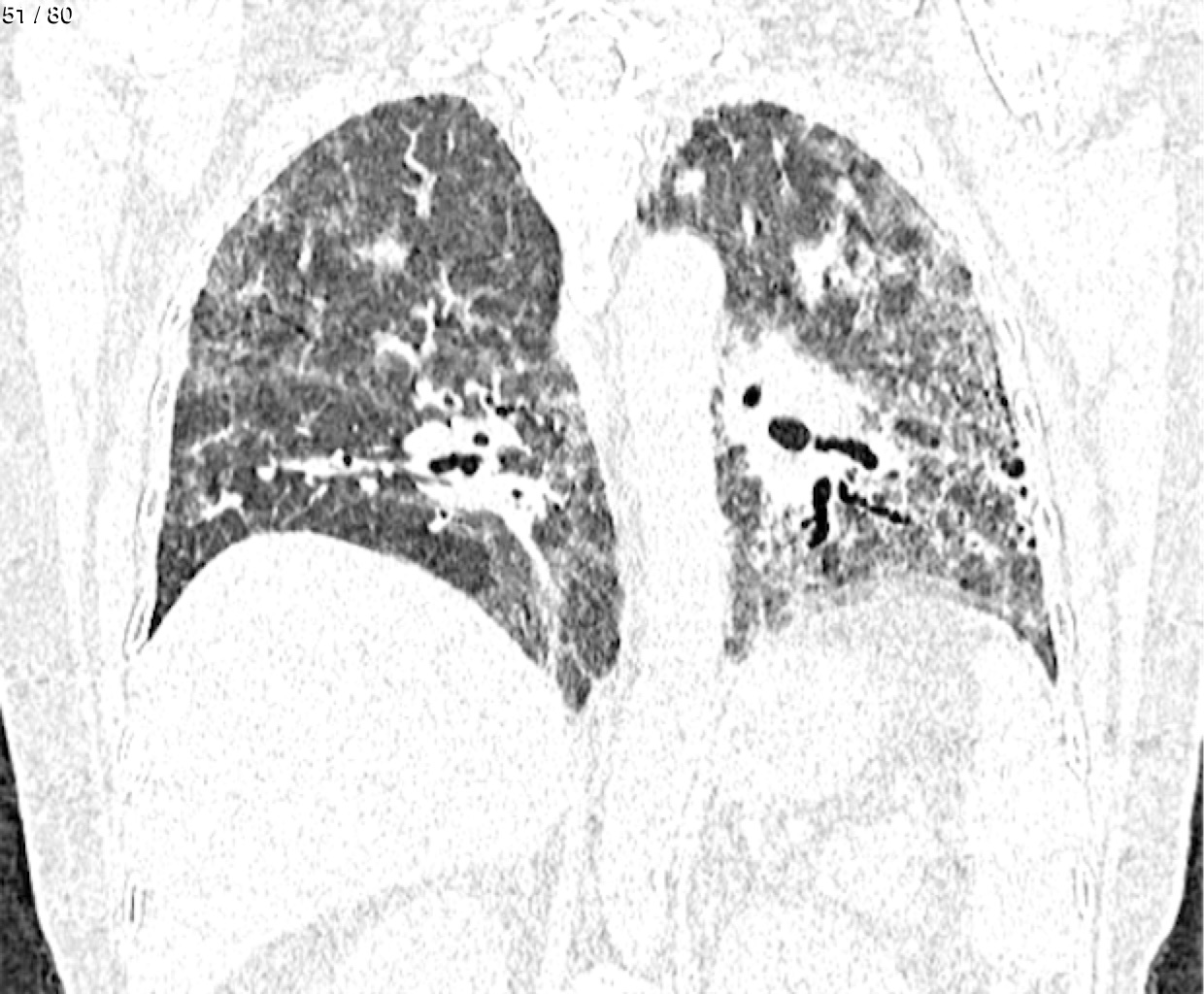
Cruz Rico Ma Raquel - Torax(Adulto)
Previous Series
Next Series
Show as Sequence