HUIXTLA
ESCUINTLA
AKISHINO
AKISHINO2 USG
ESPECIALIDADES
Home
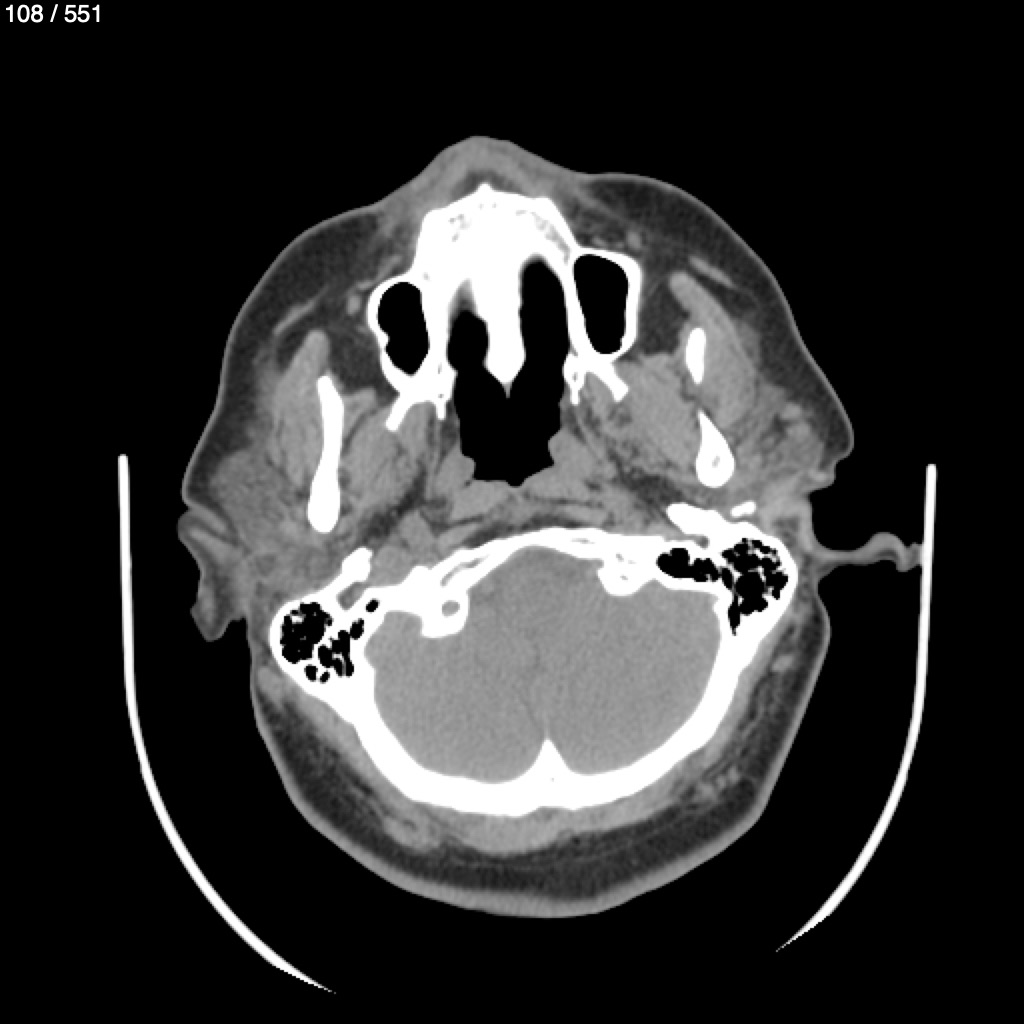
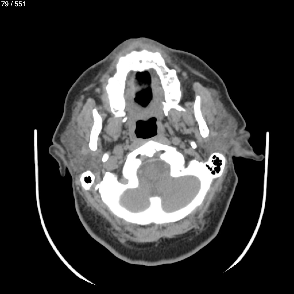
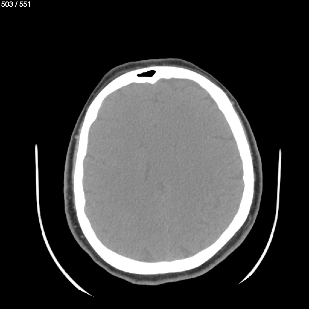
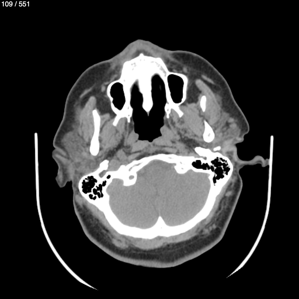
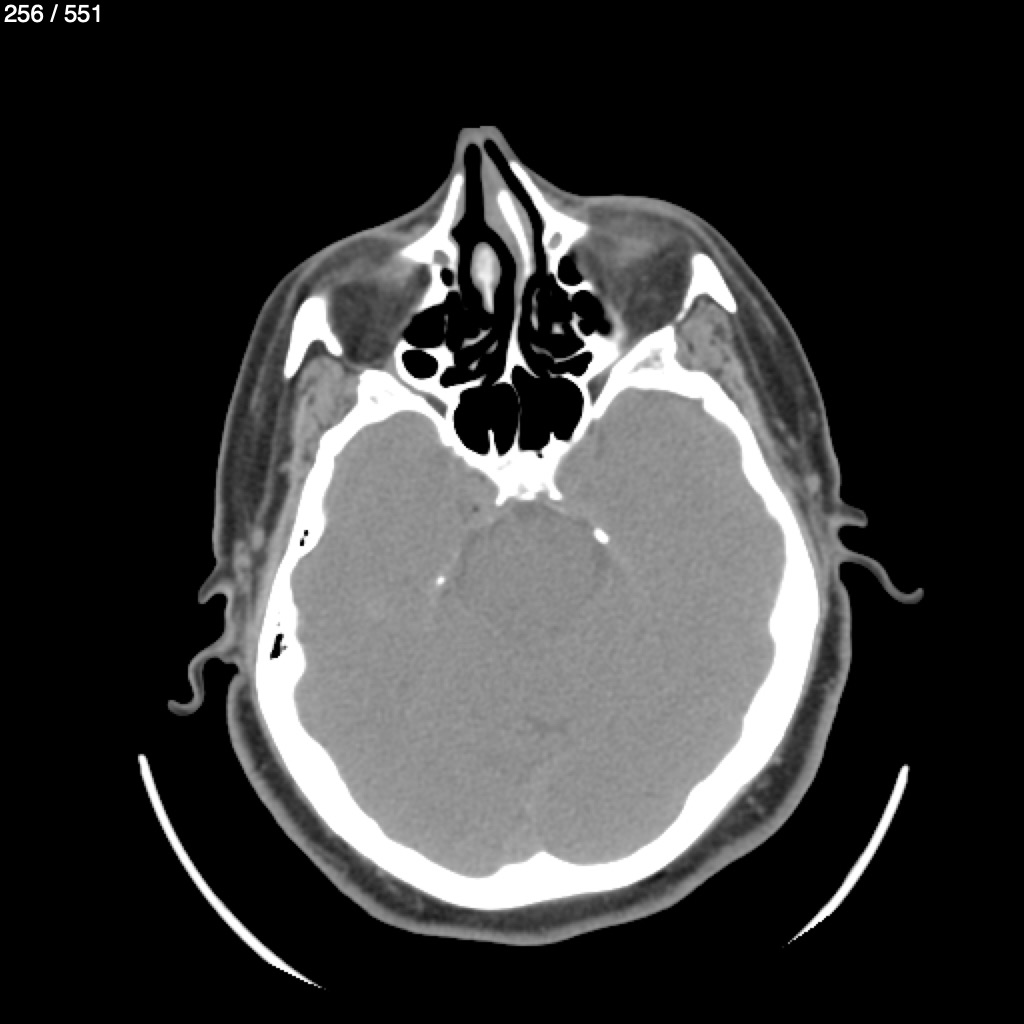
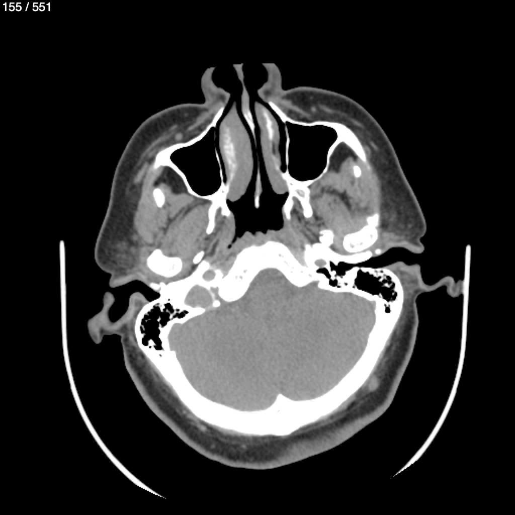
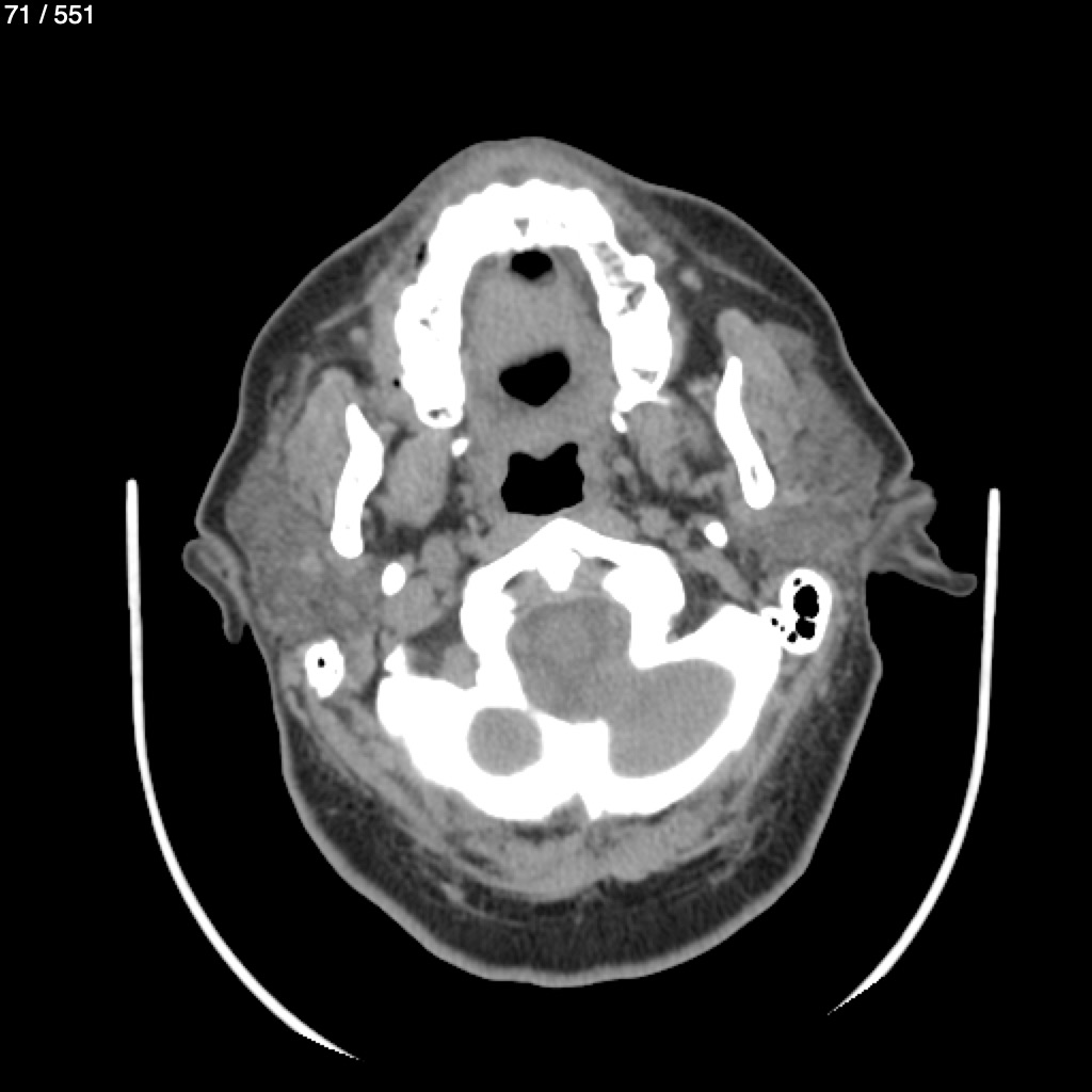
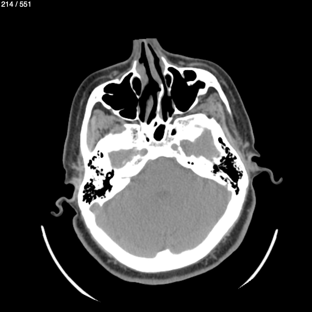
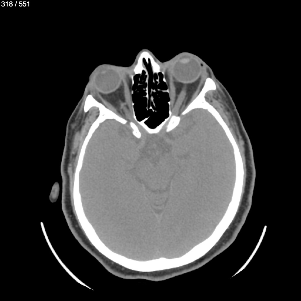
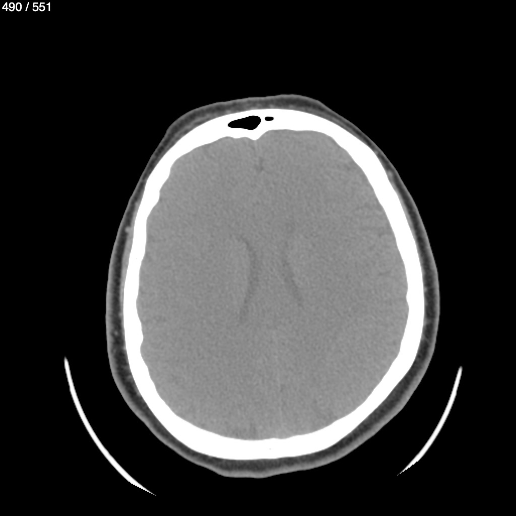
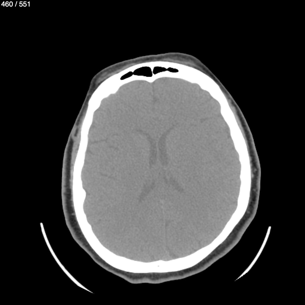
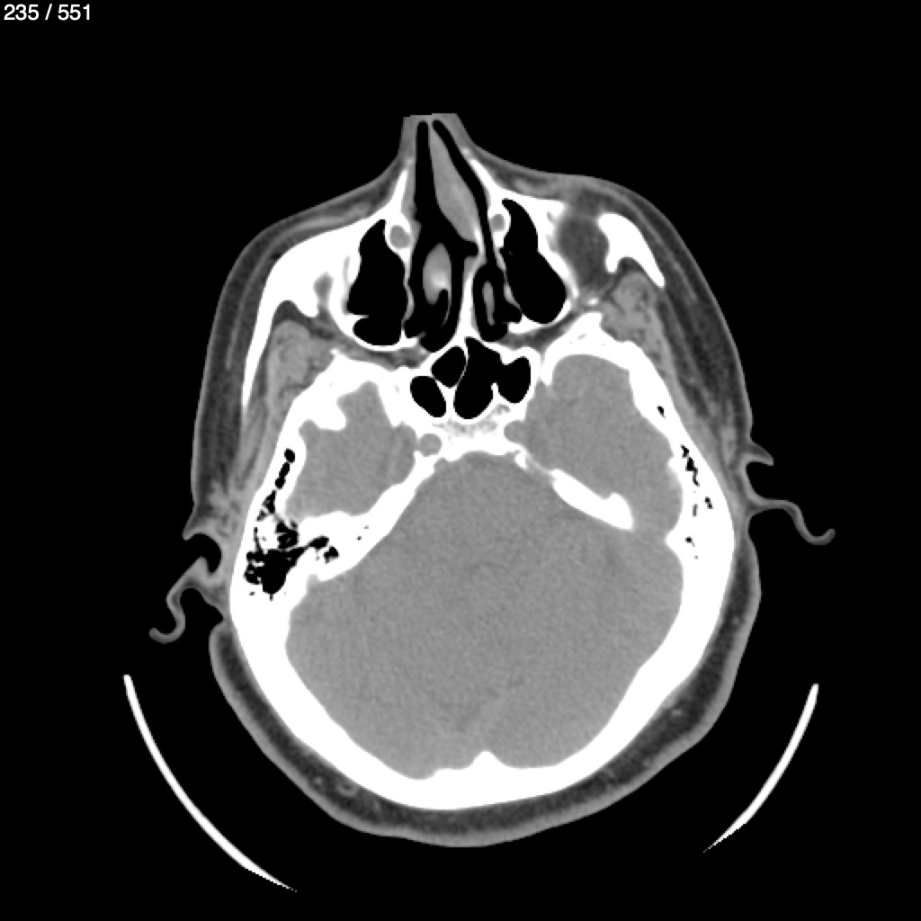
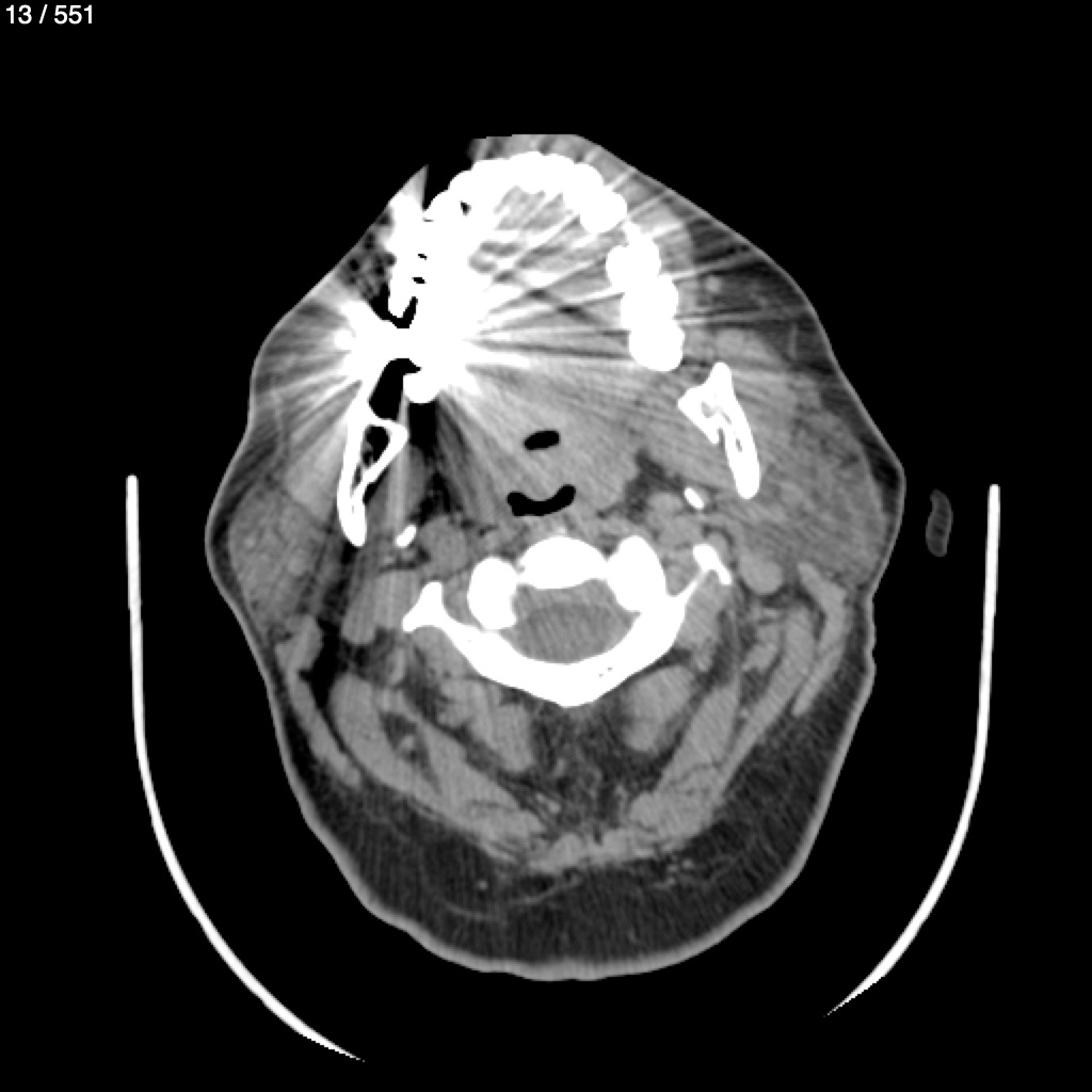
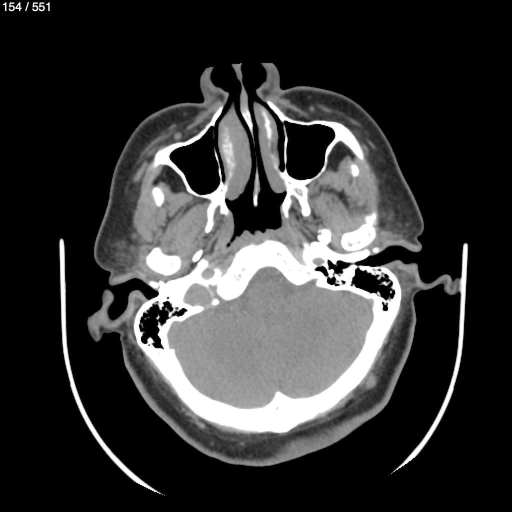
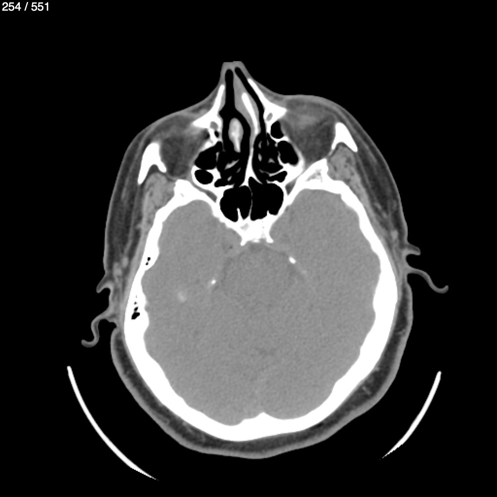
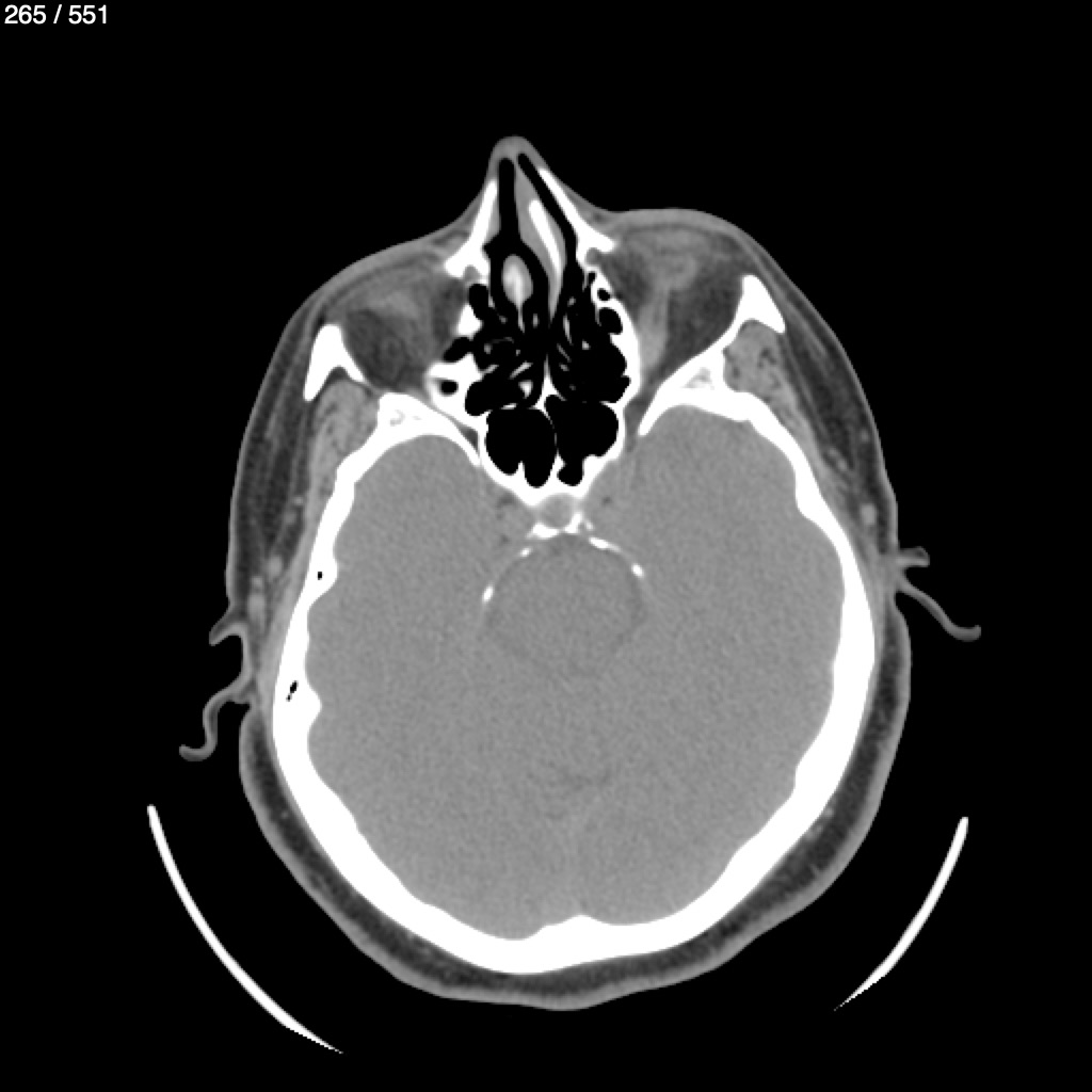
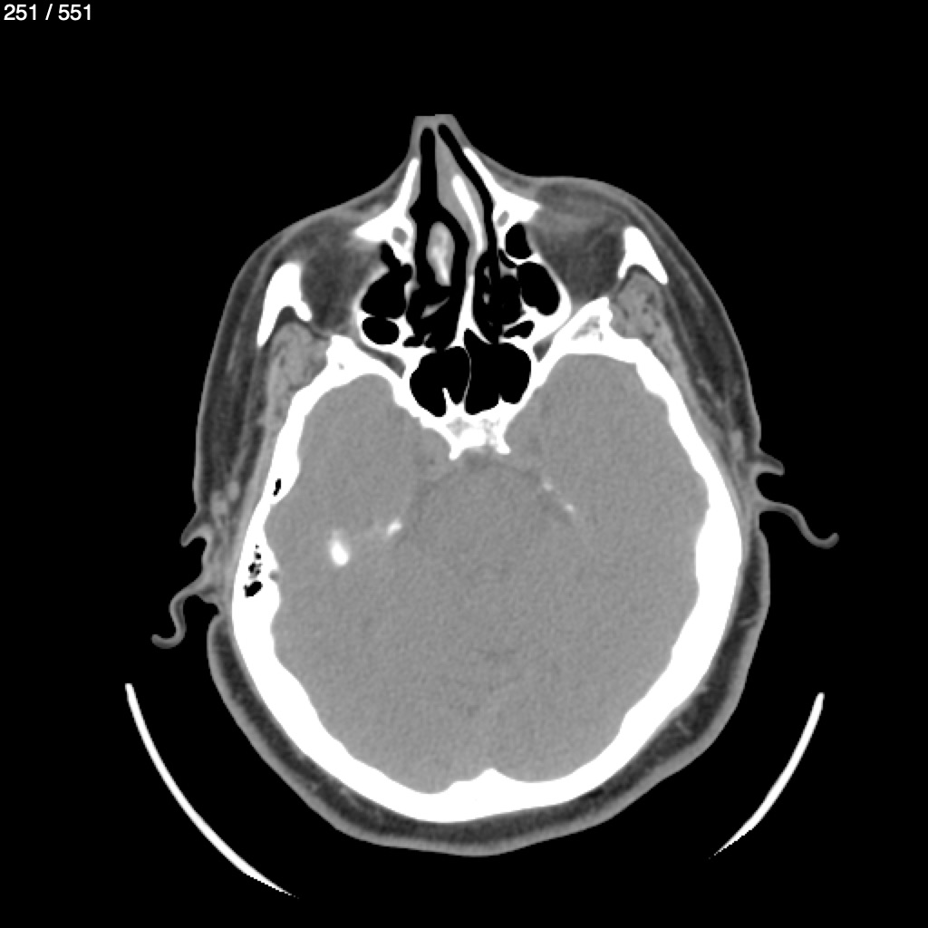
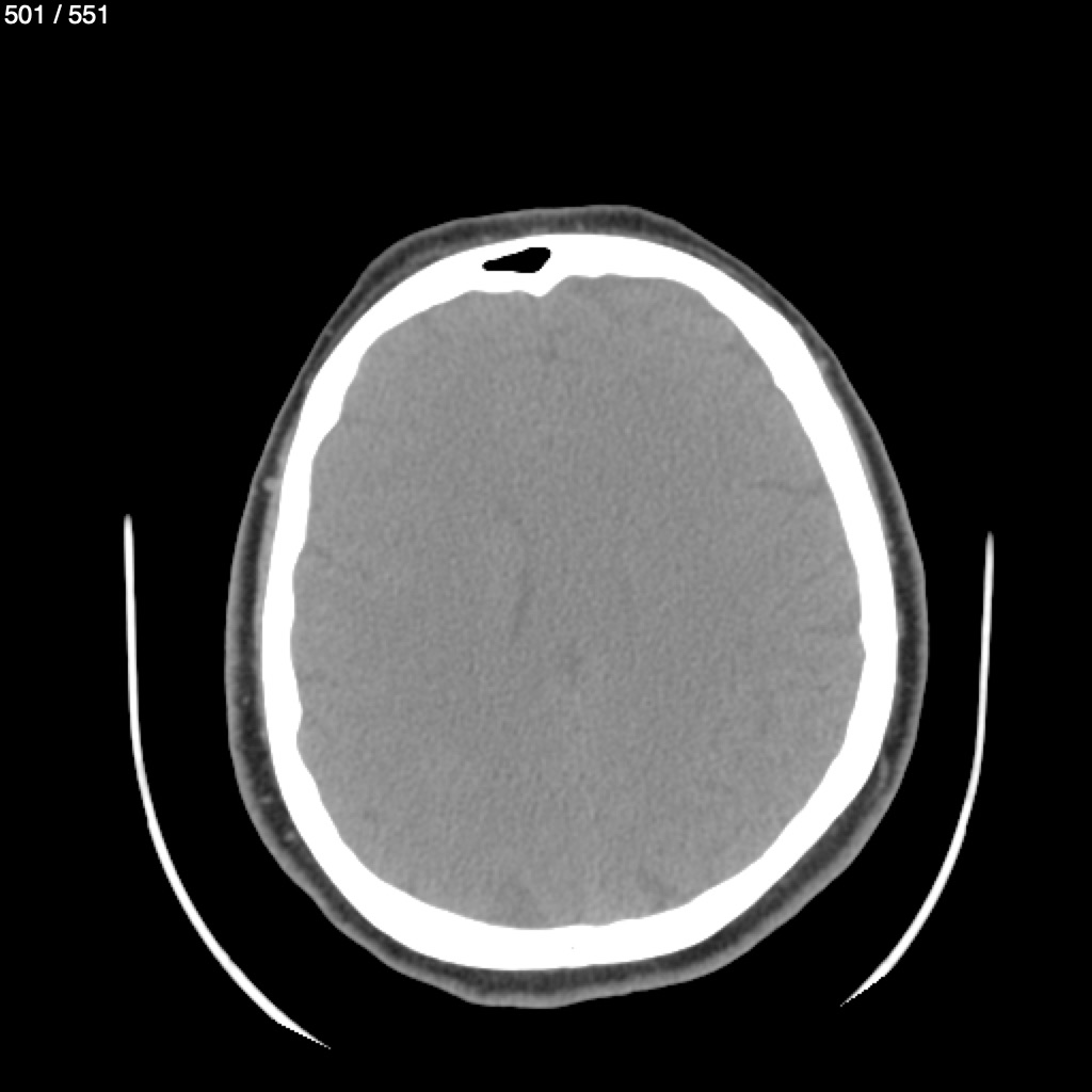
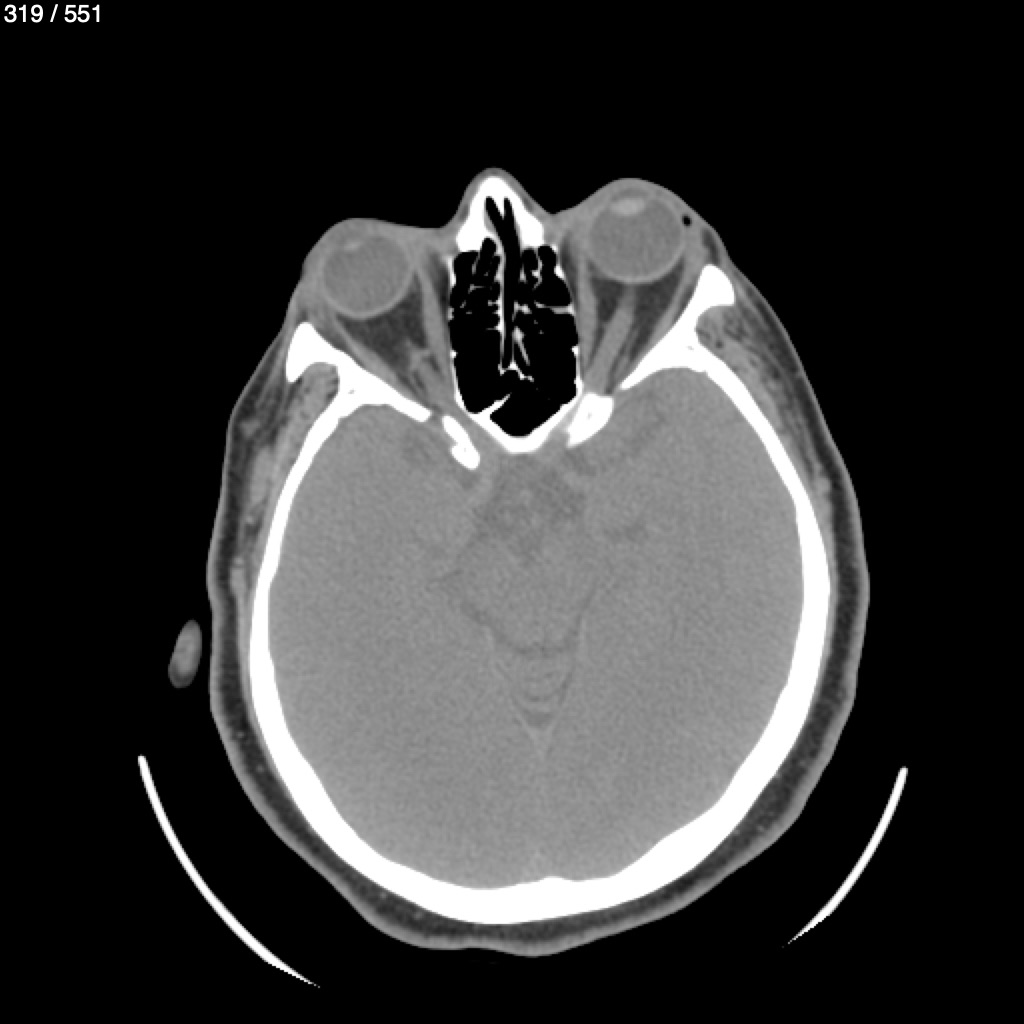
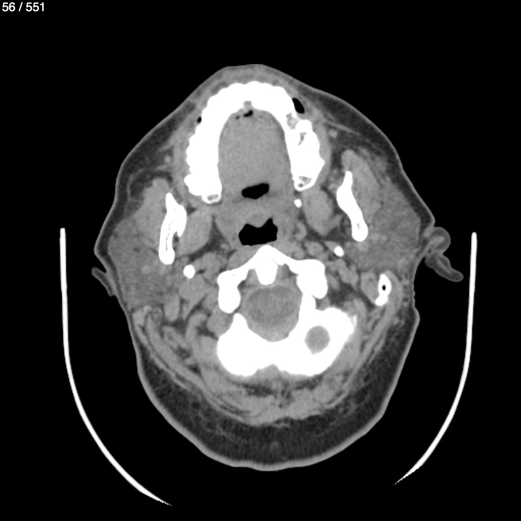
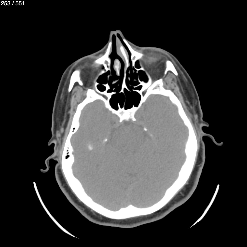
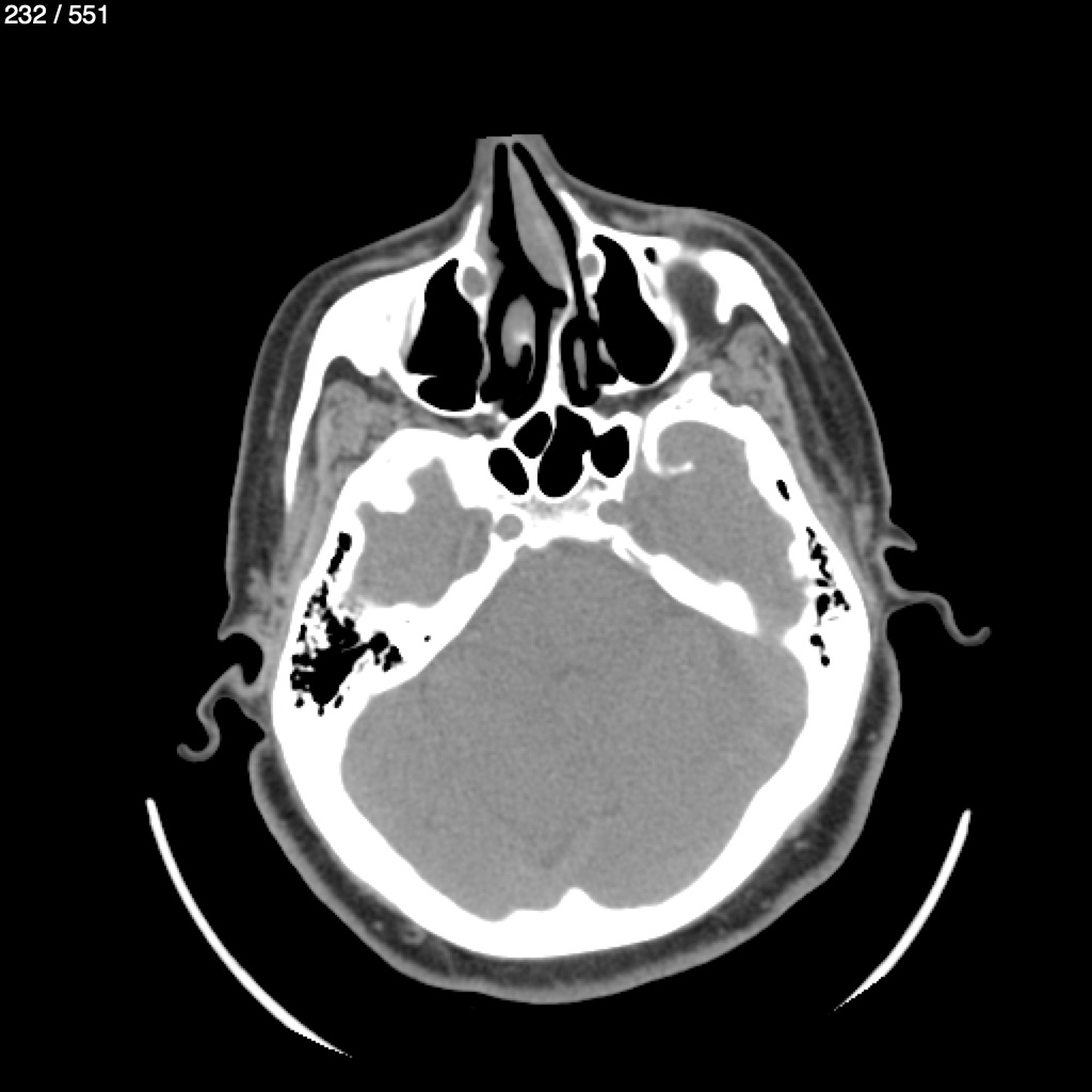
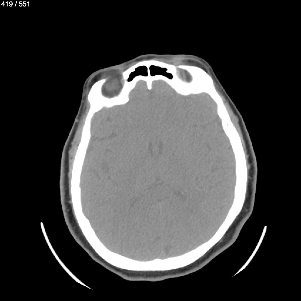
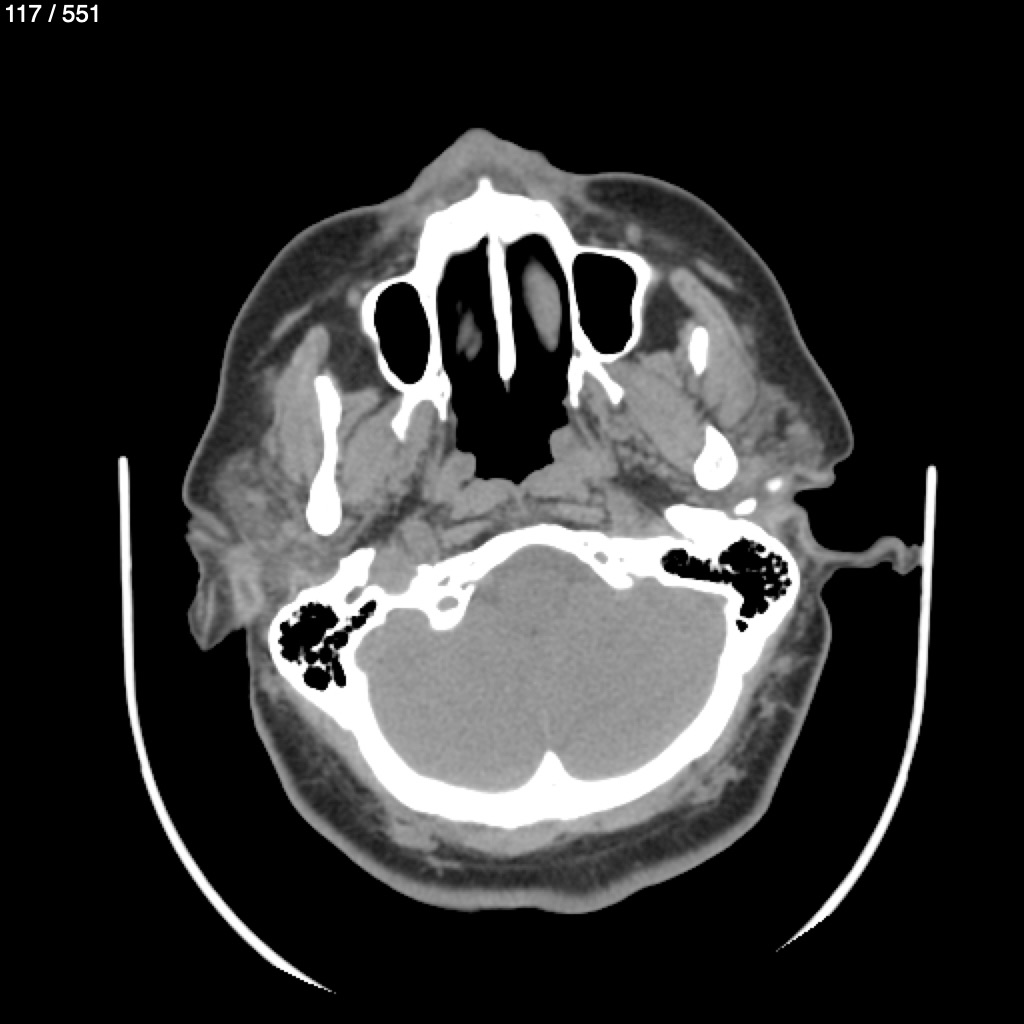
Bethy Julieta Ortiz Guizar 58A - Unnamed
Previous Series
Show as Sequence