HUIXTLA
ESCUINTLA
AKISHINO
AKISHINO2 USG
ESPECIALIDADES
Home
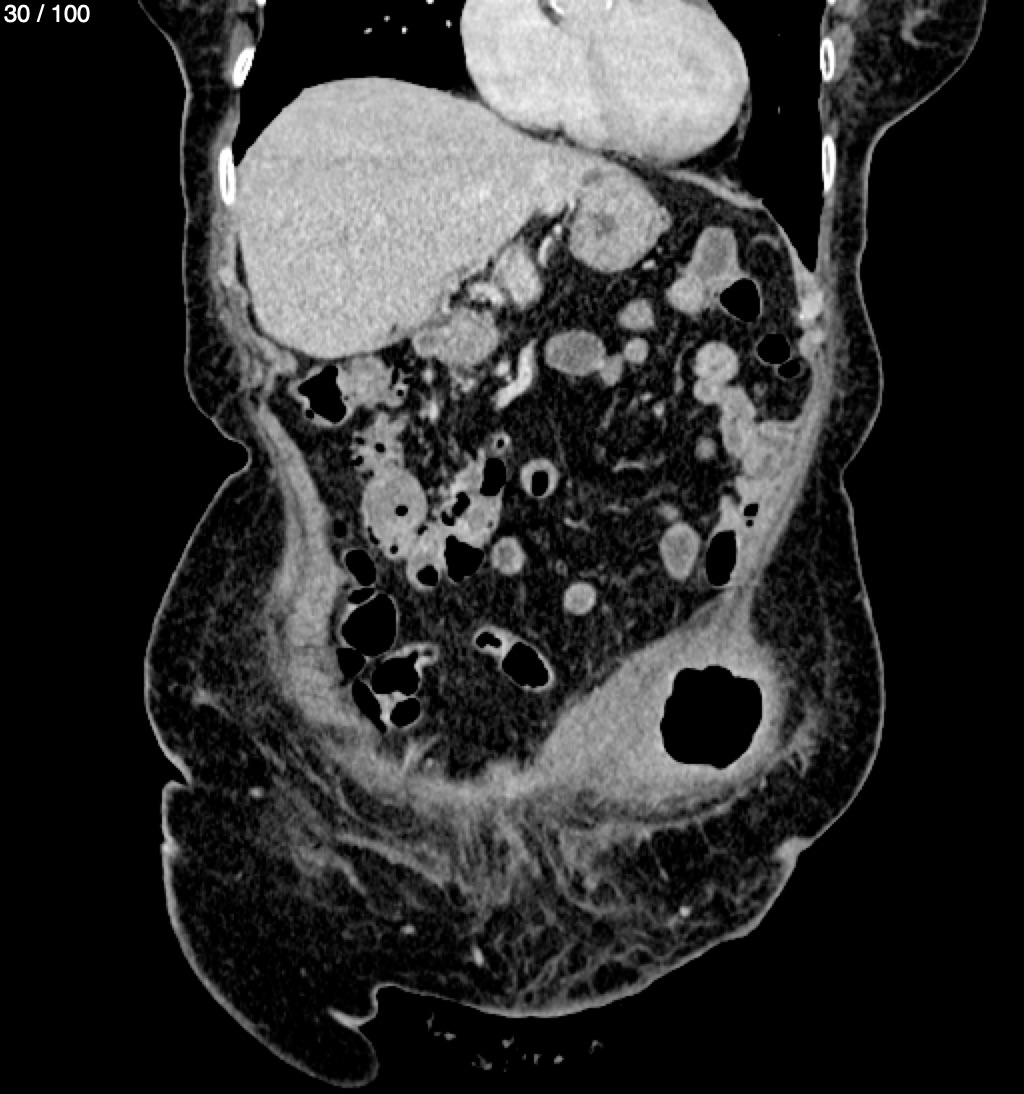
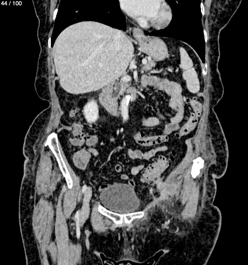
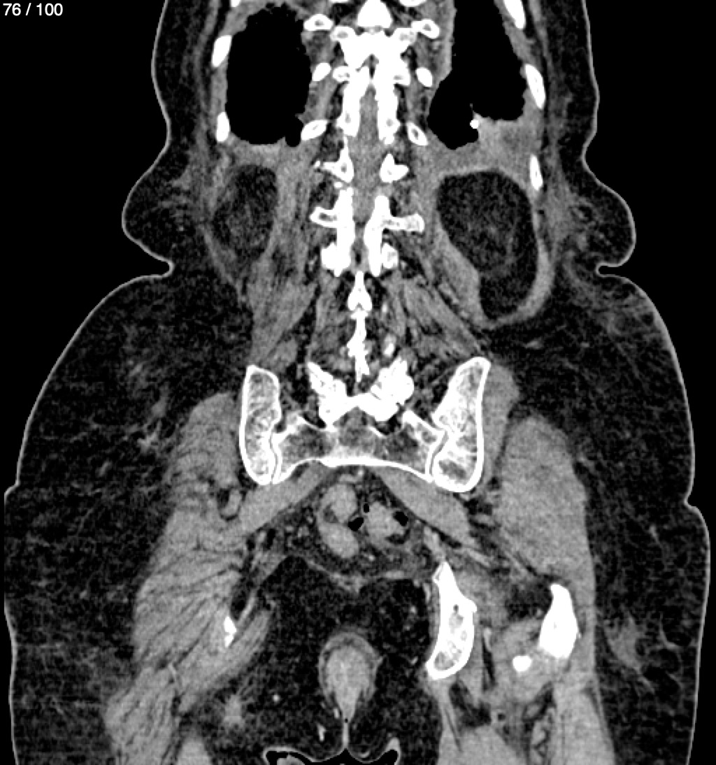
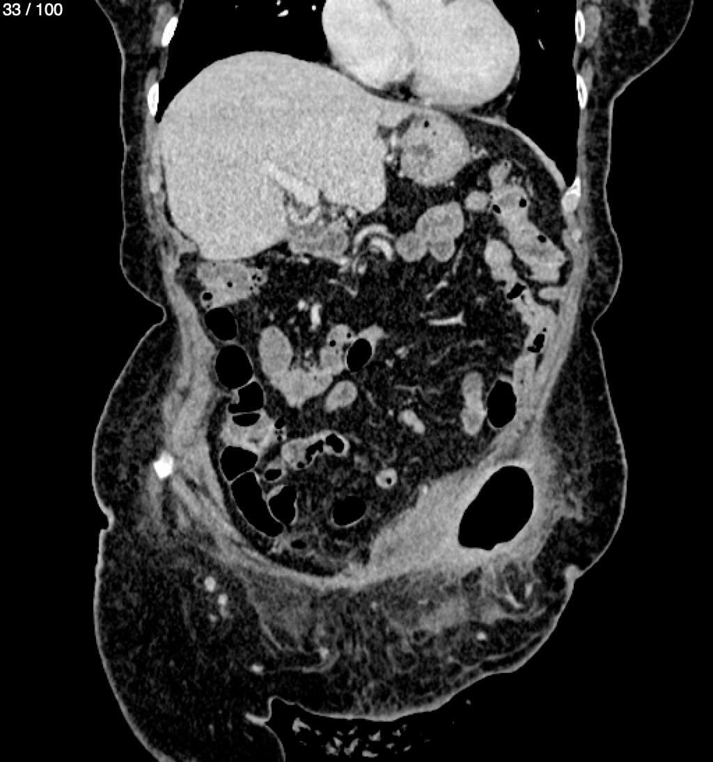
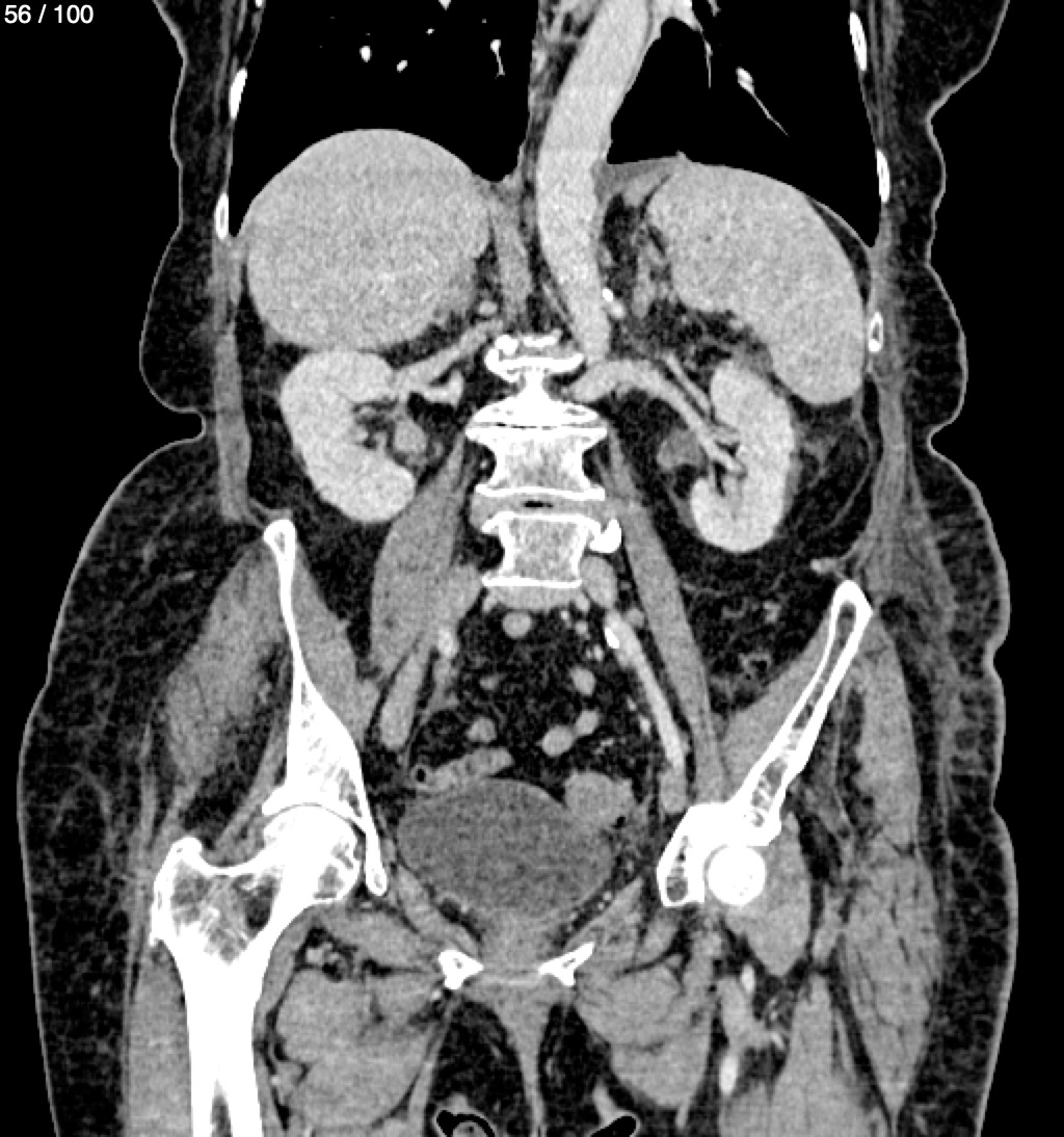
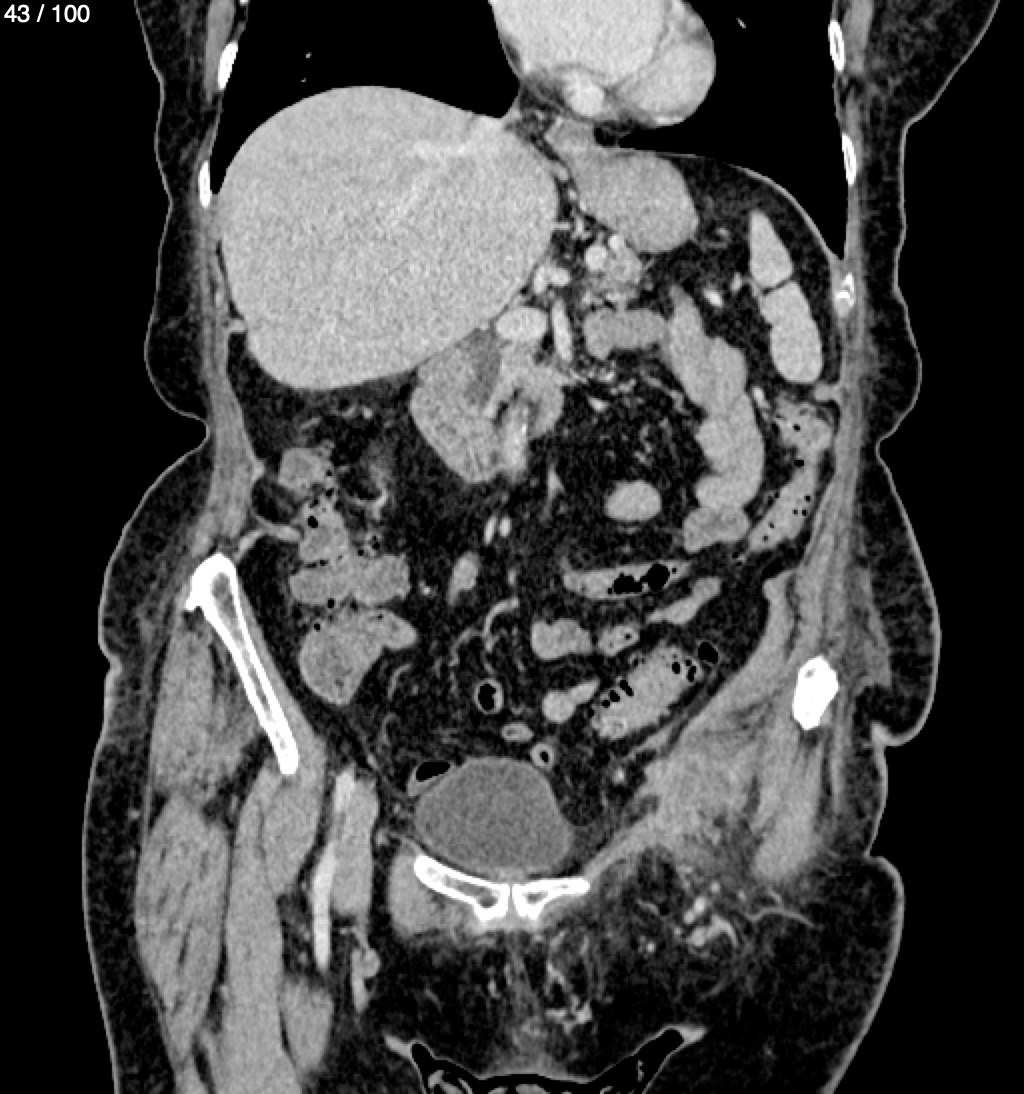
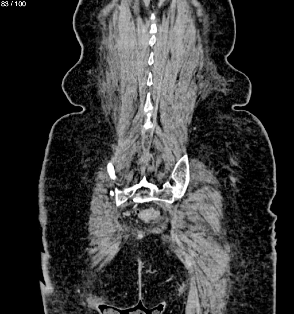
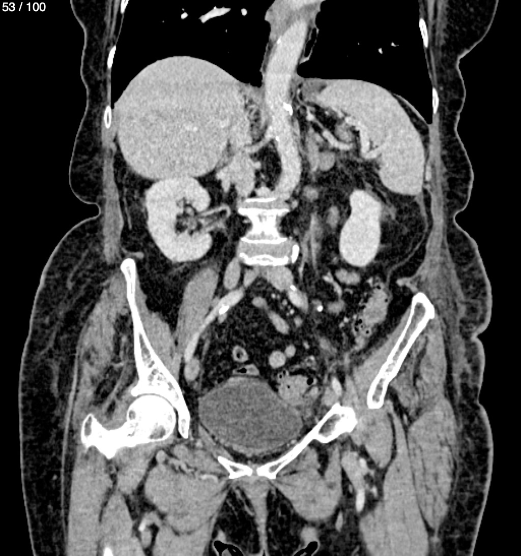
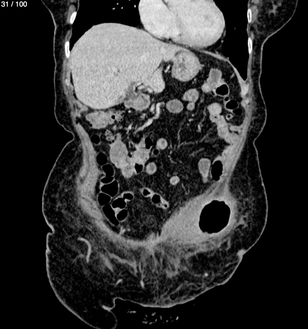
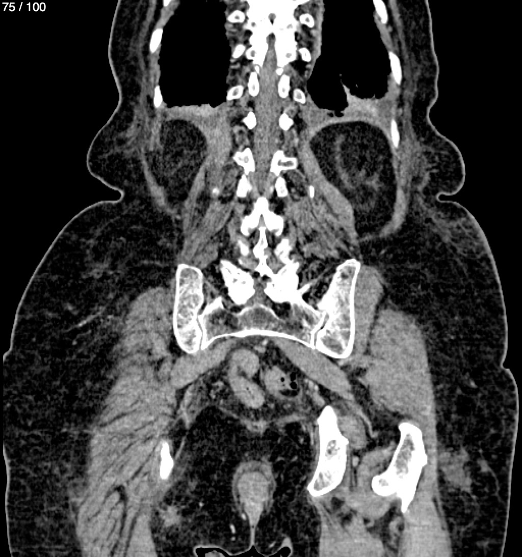
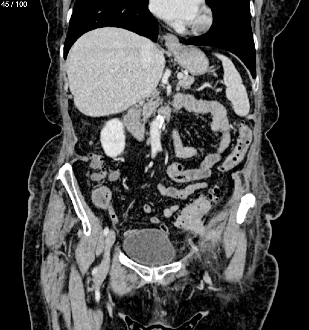
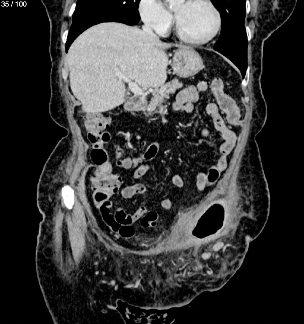
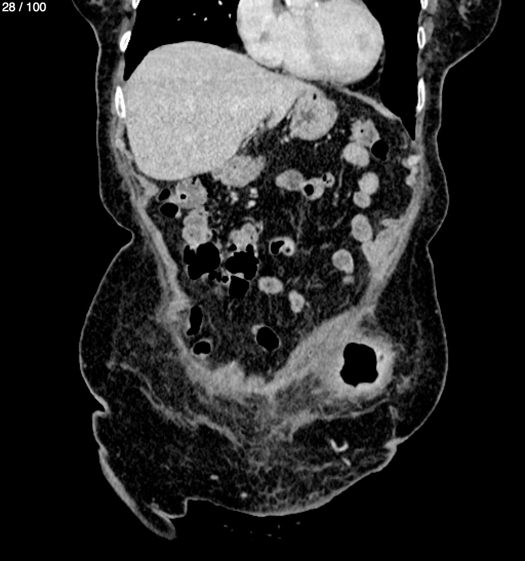
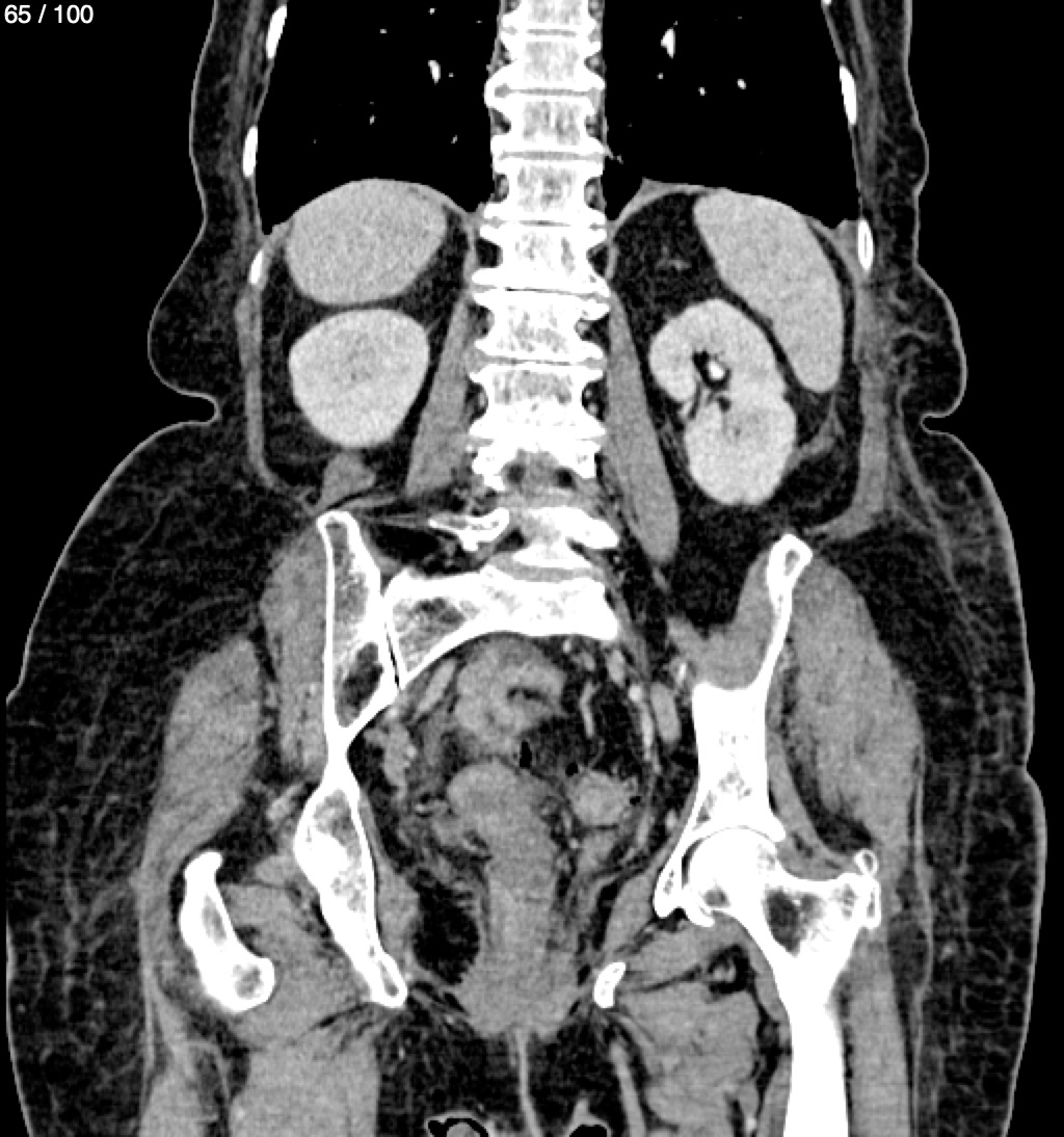
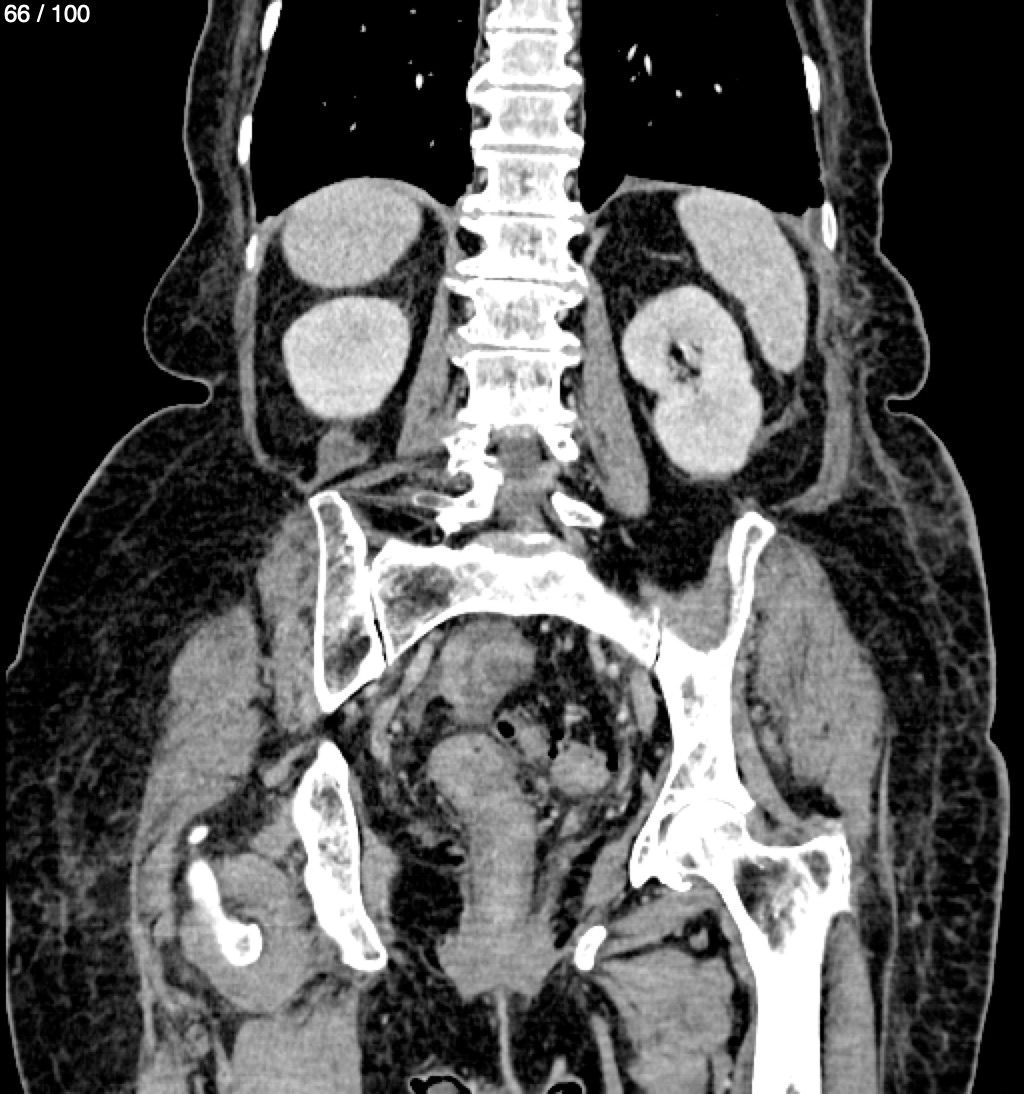
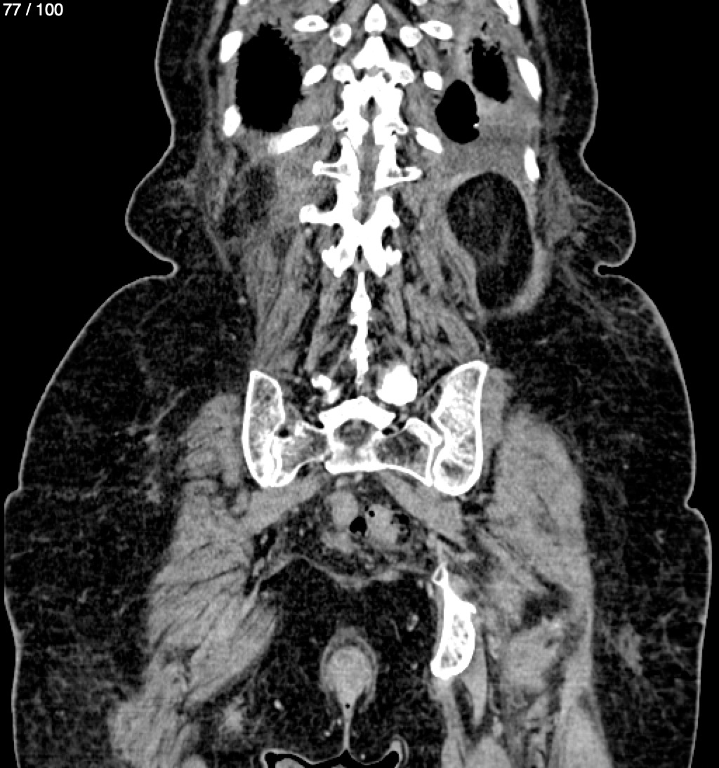
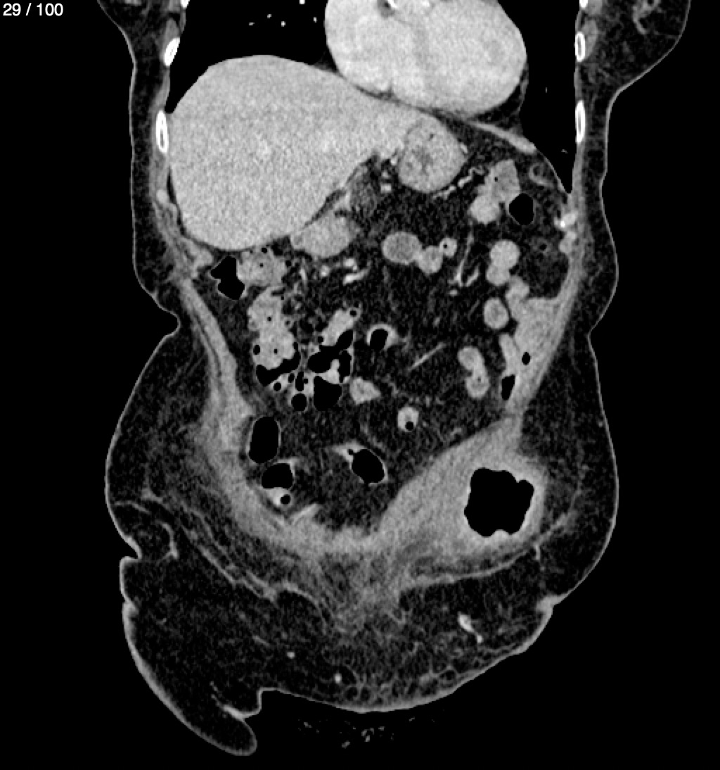
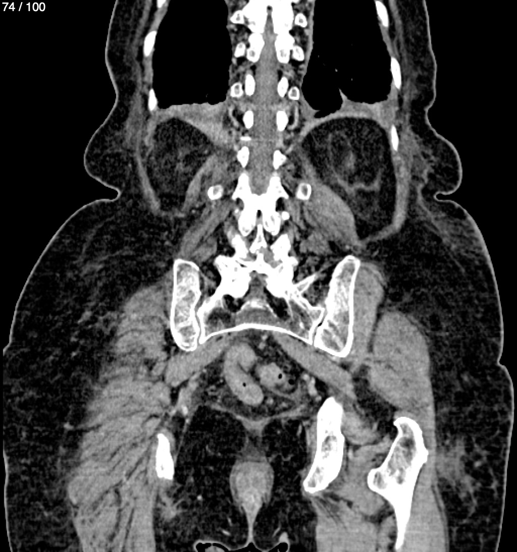
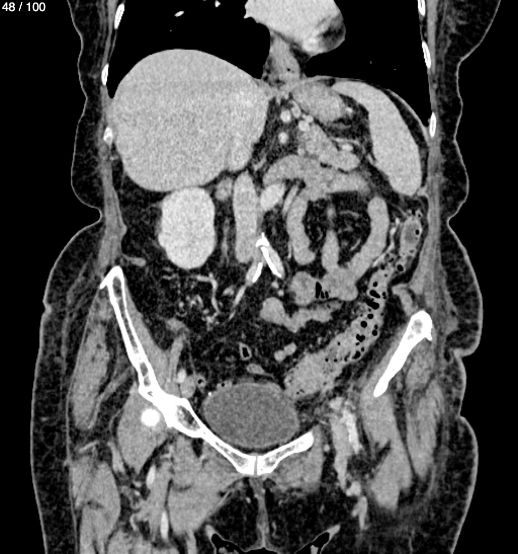
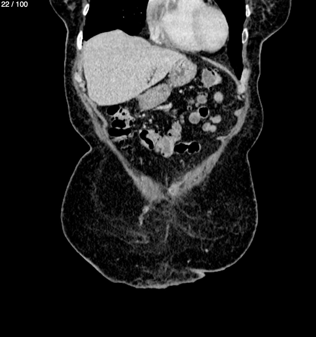
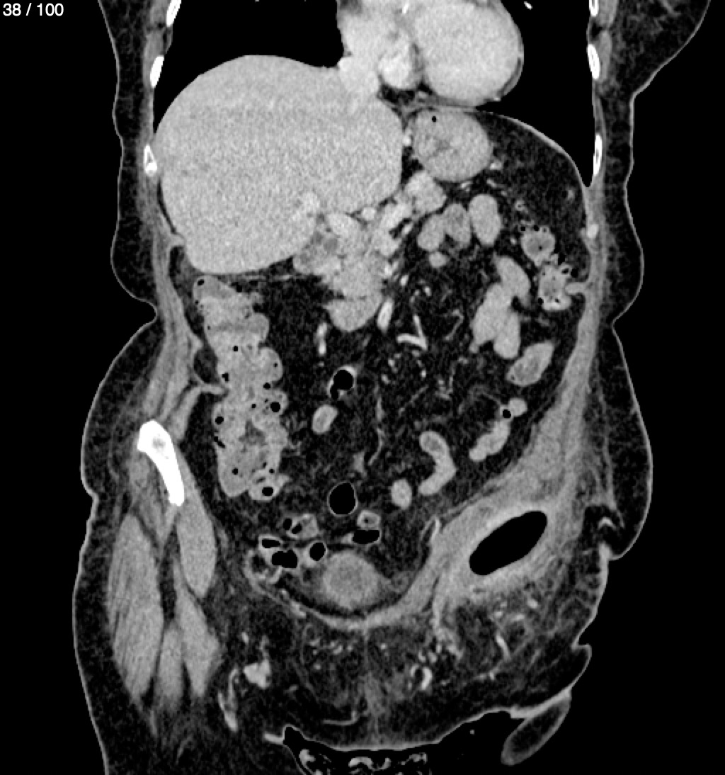
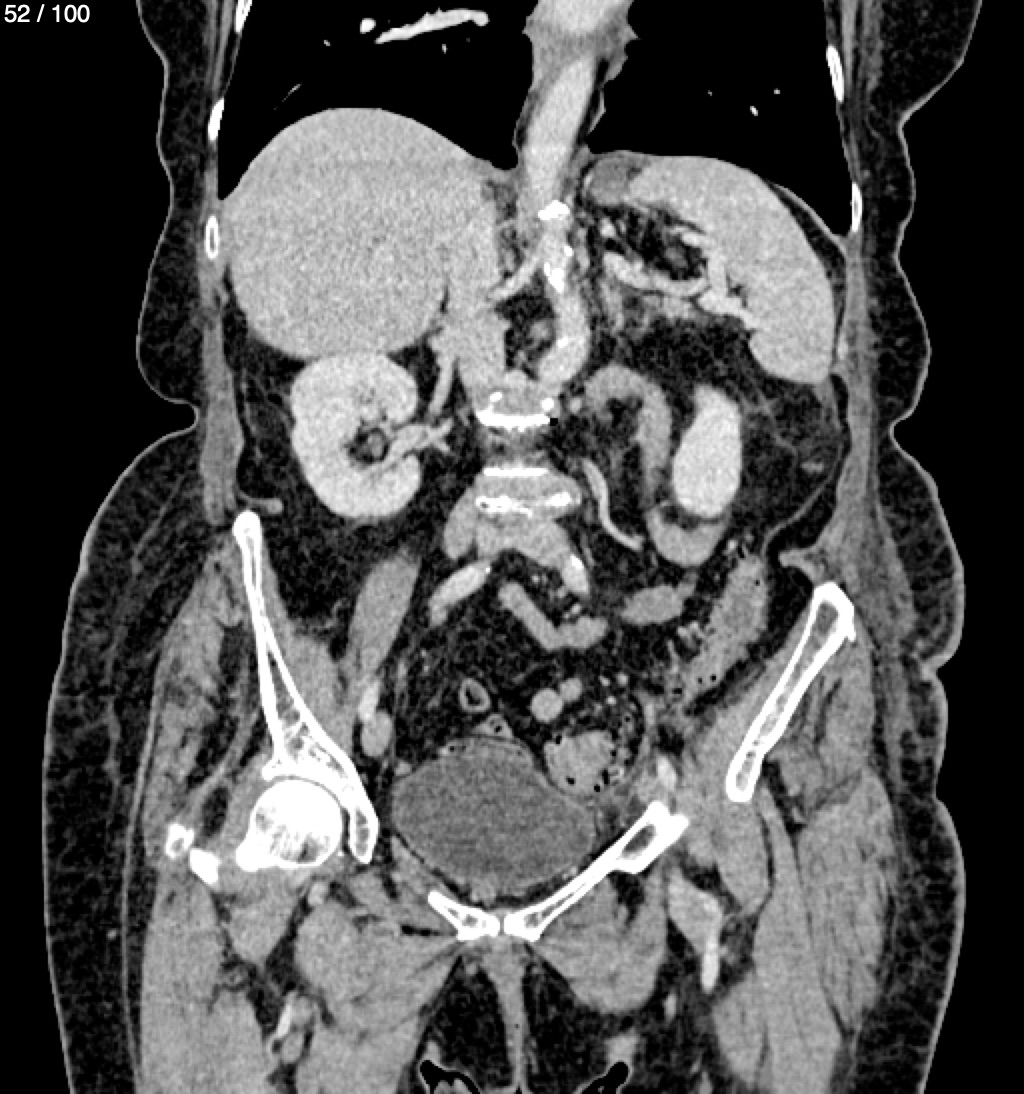
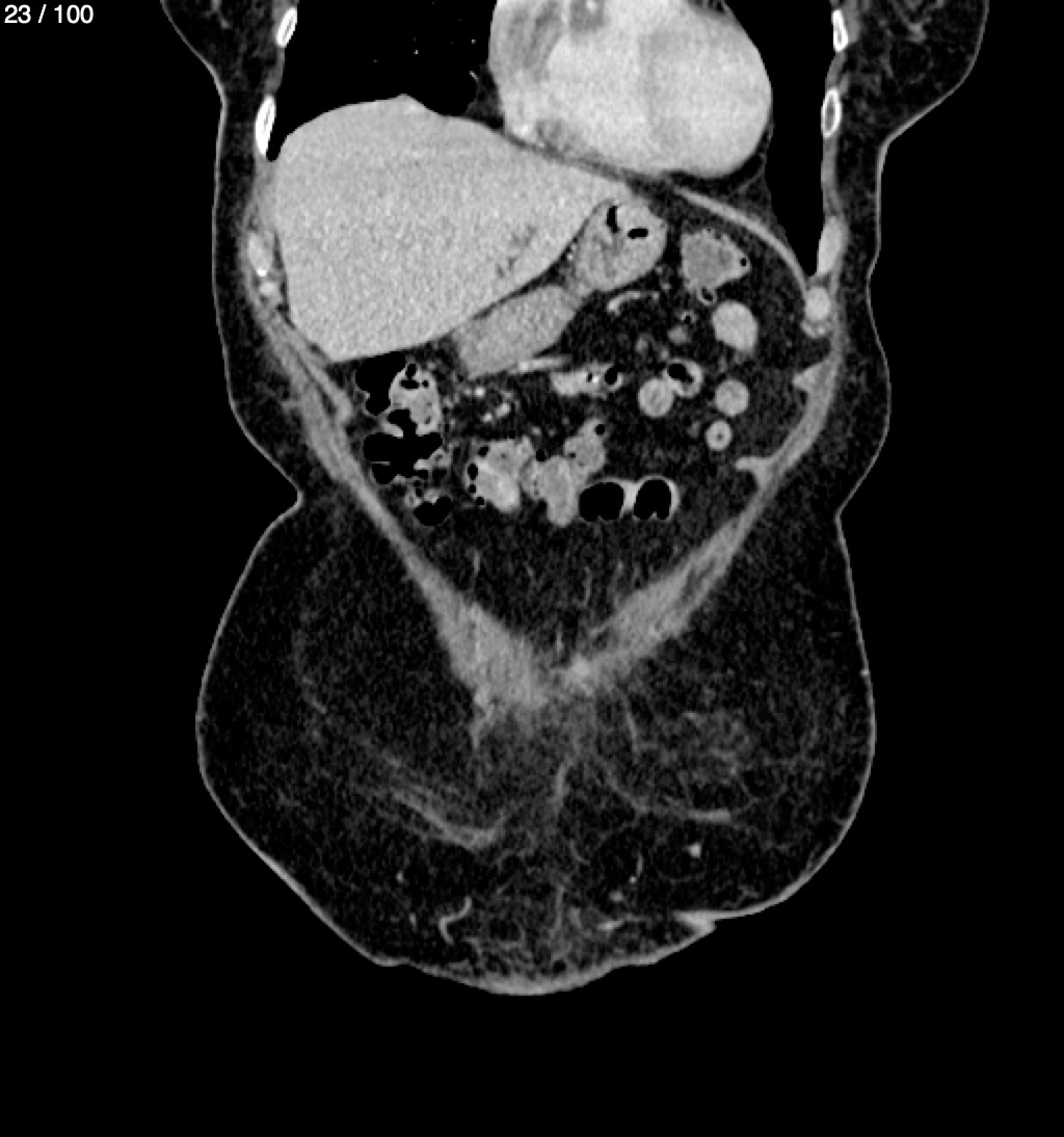
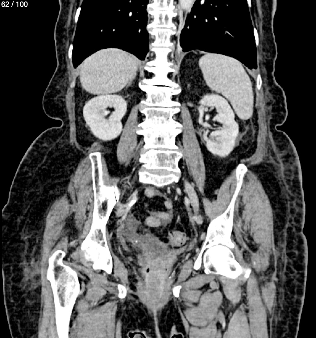
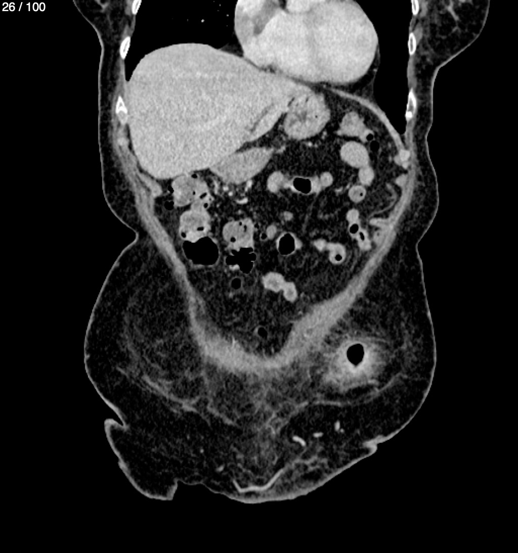
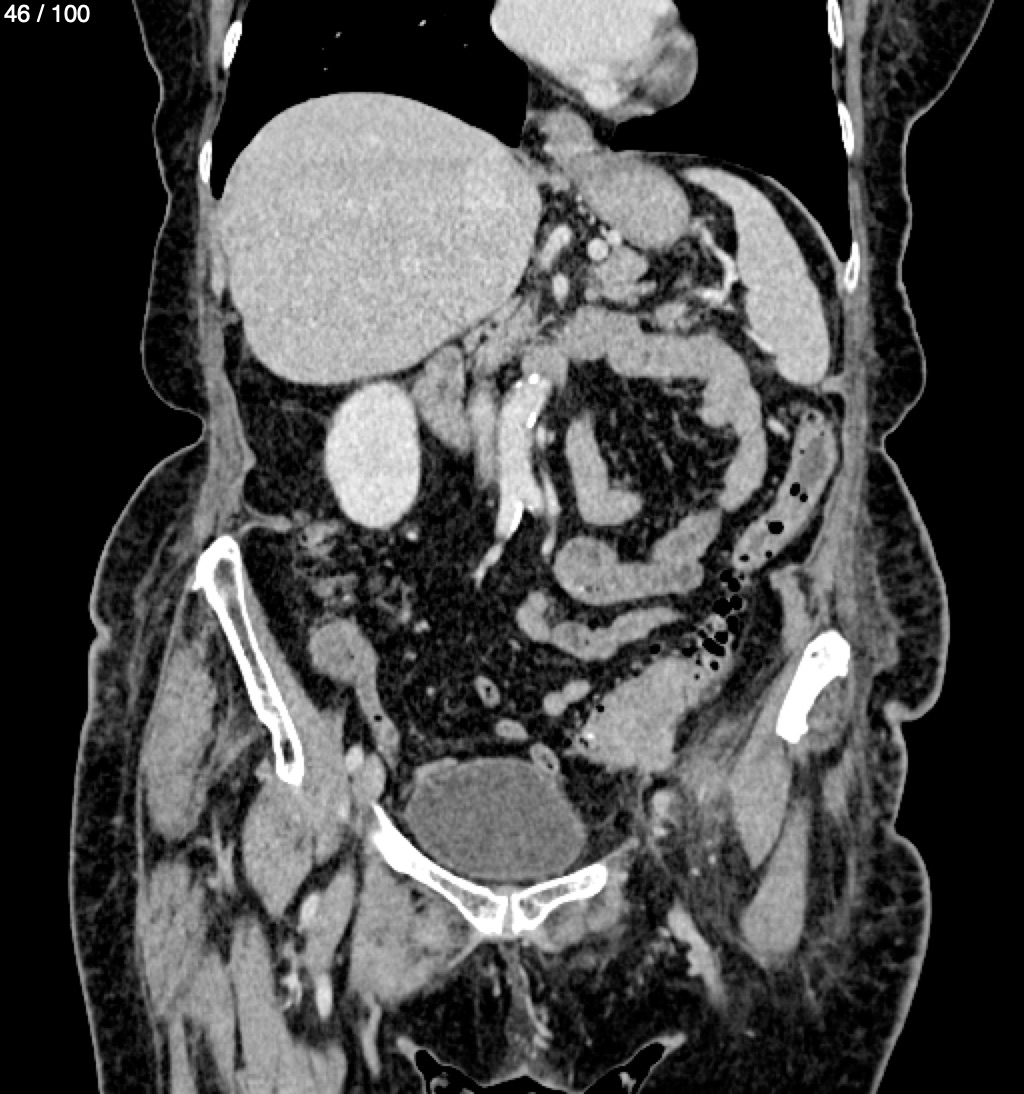
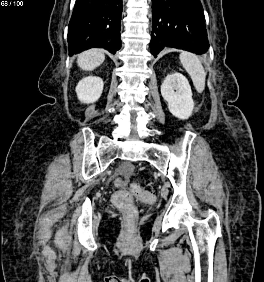
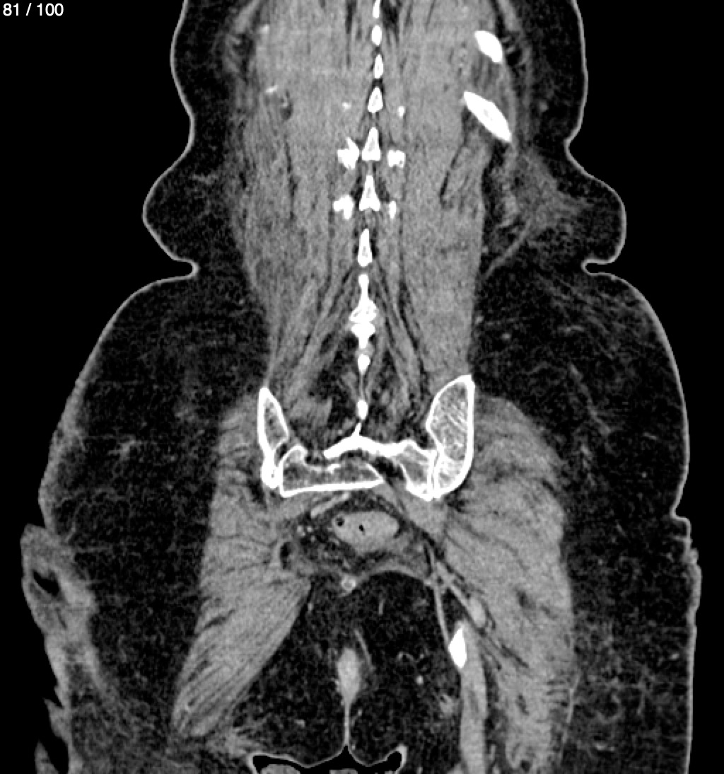
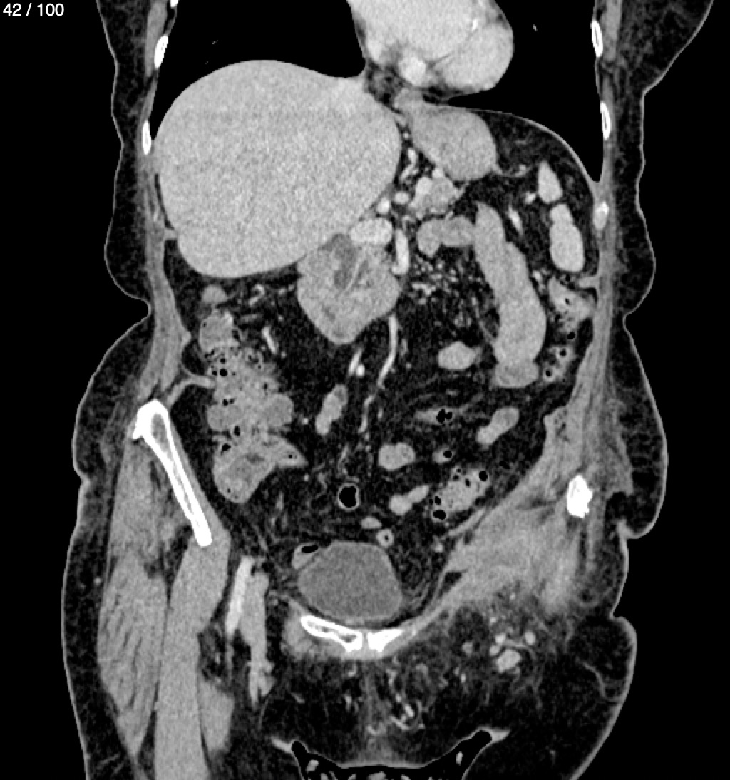
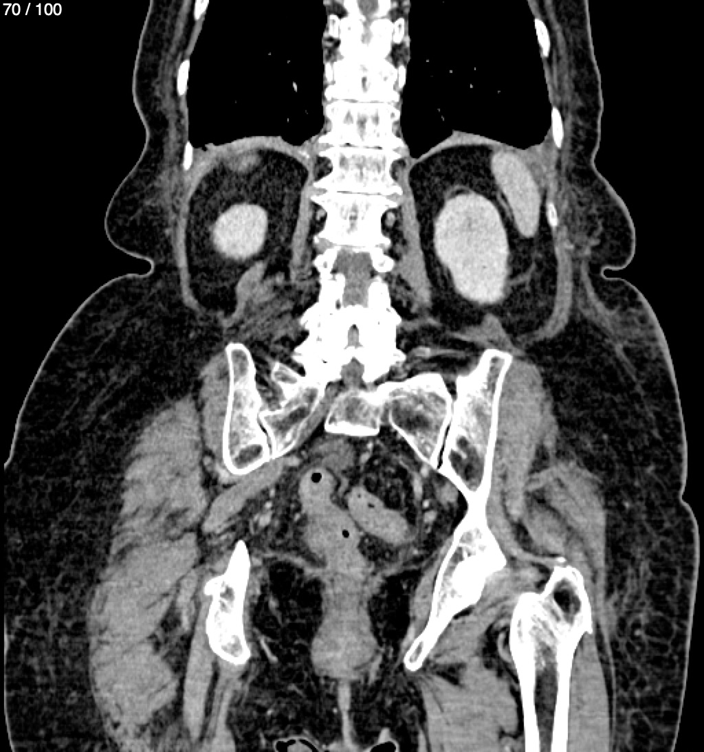
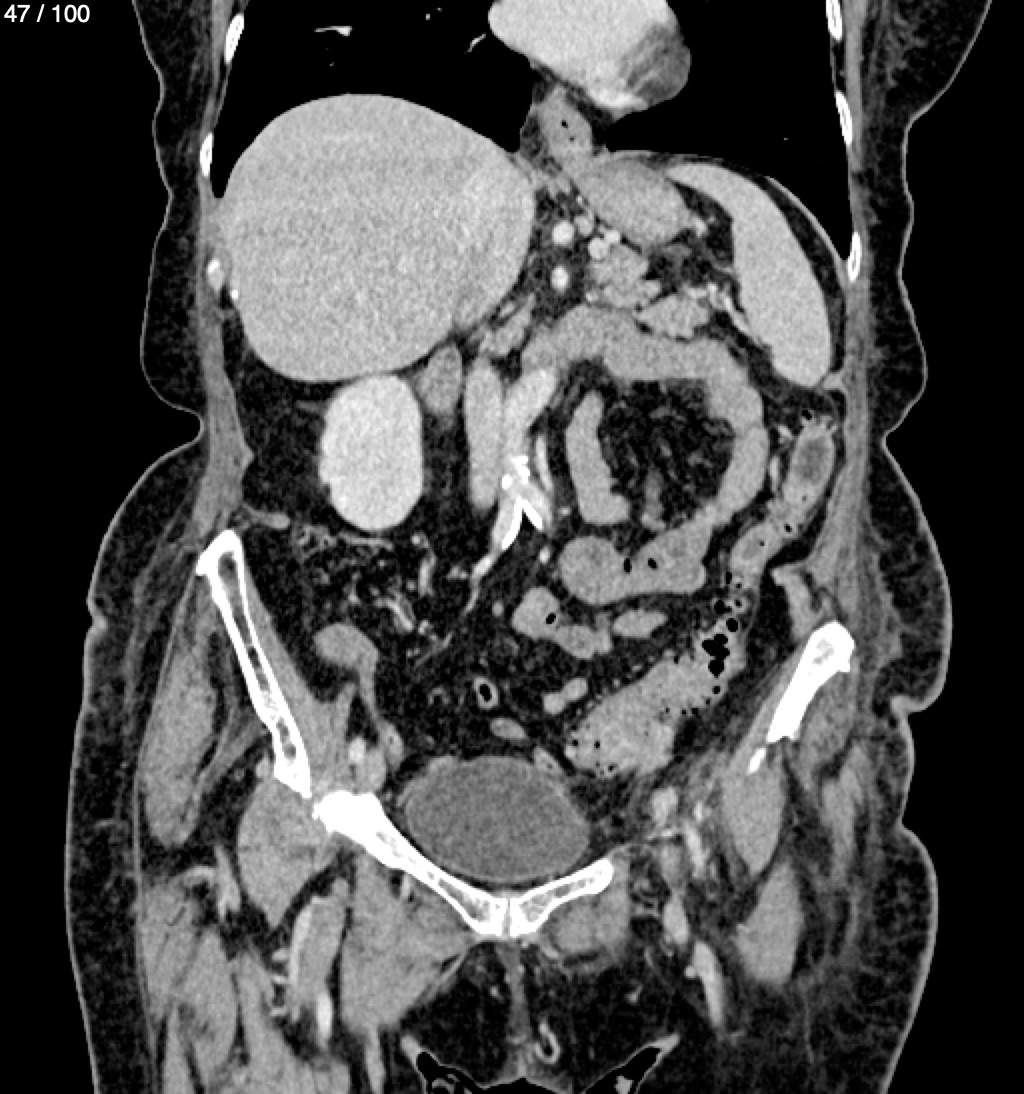
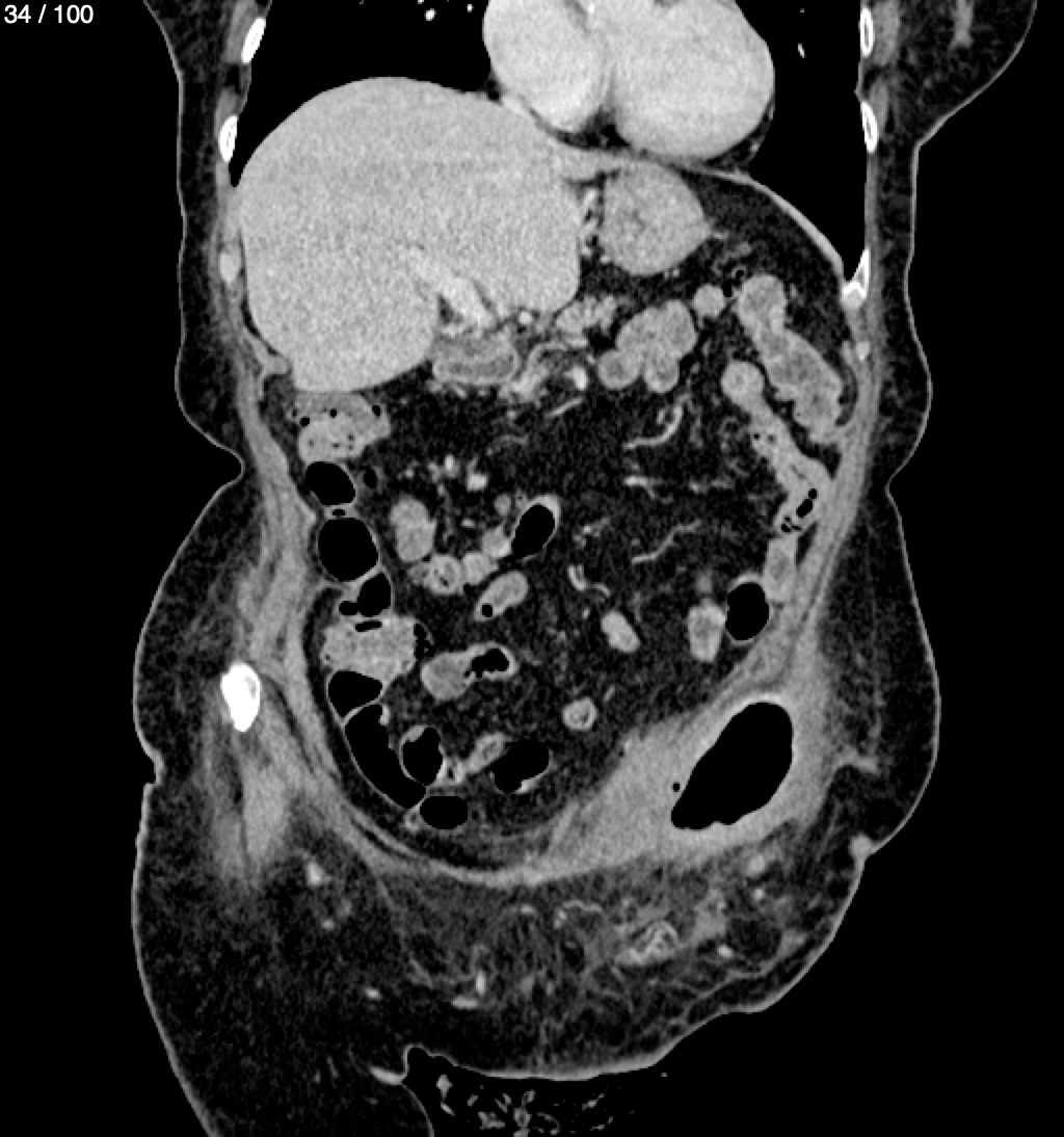
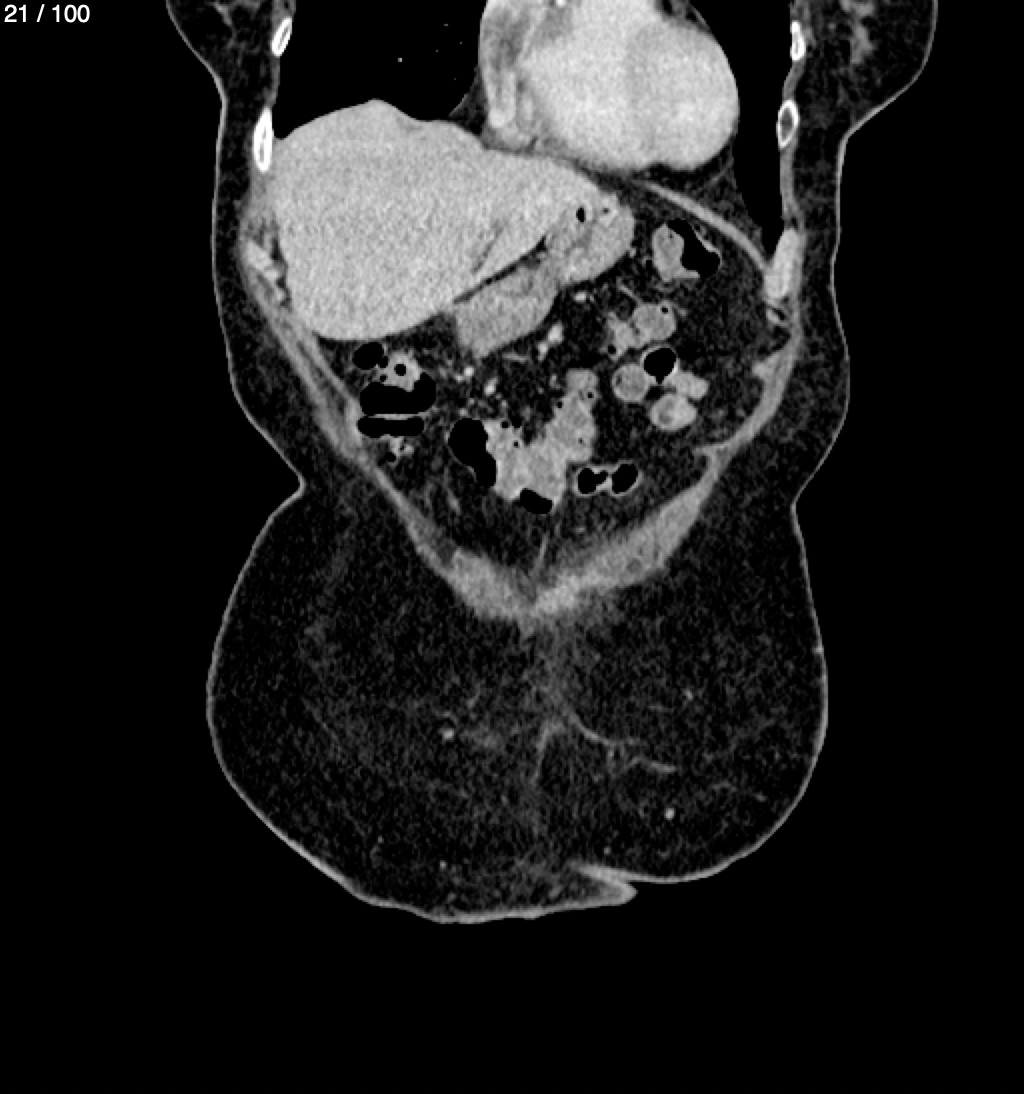
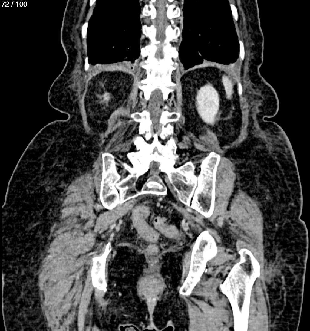
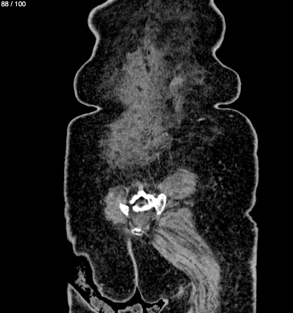
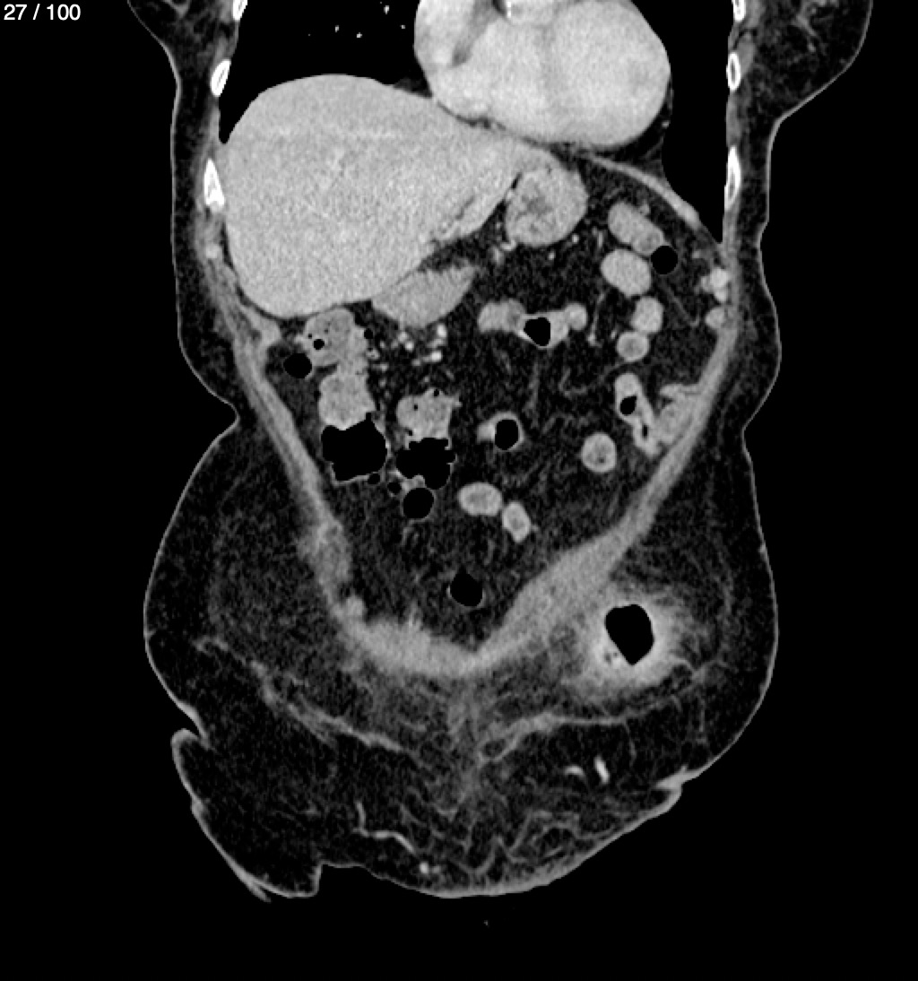
Salazar Trujillo Marina - Abdomen Bifasico(Adulto)
Previous Series
Next Series
Show as Sequence