HUIXTLA
ESCUINTLA
AKISHINO
AKISHINO2 USG
ESPECIALIDADES
Home
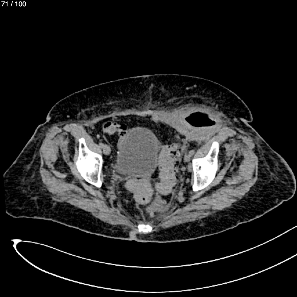
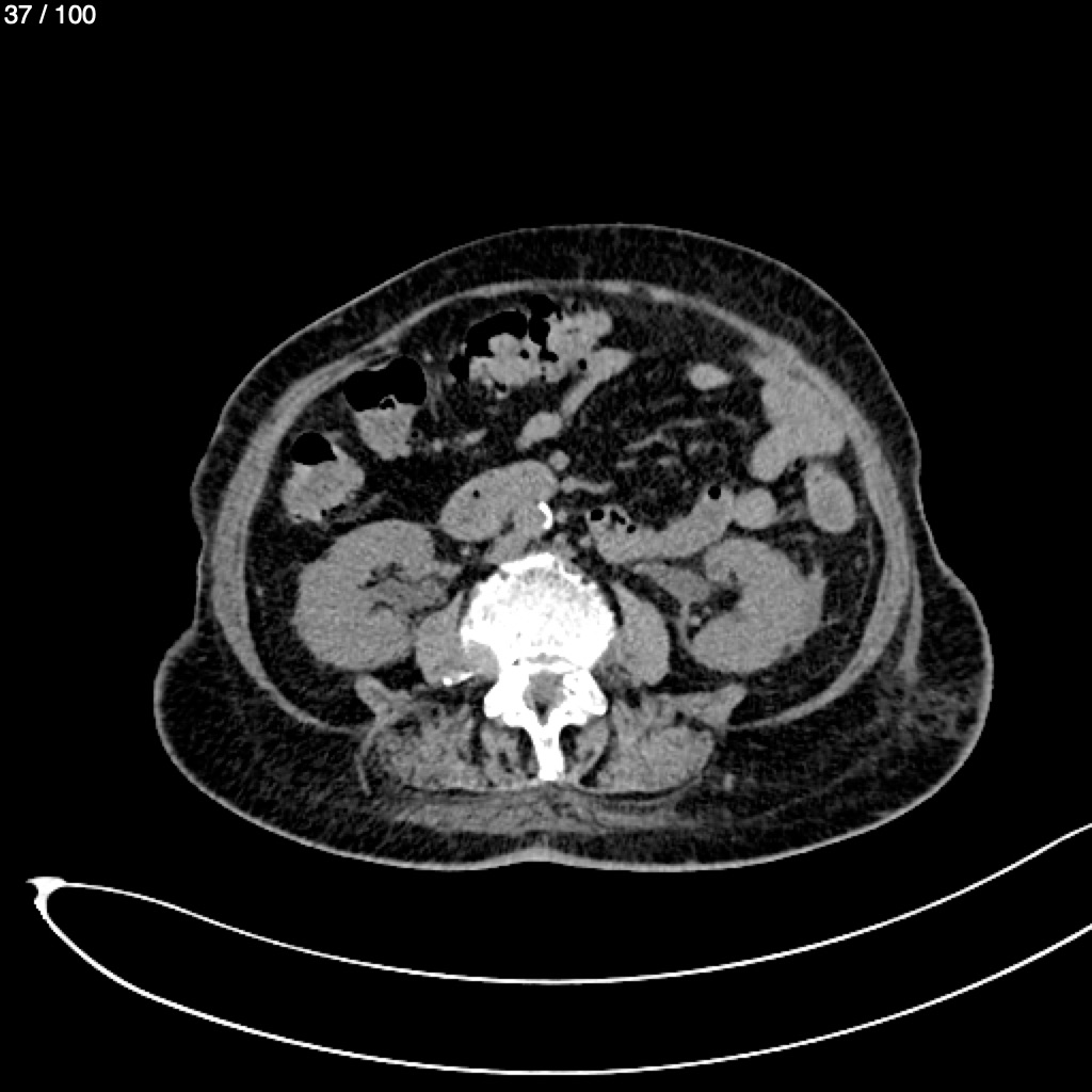
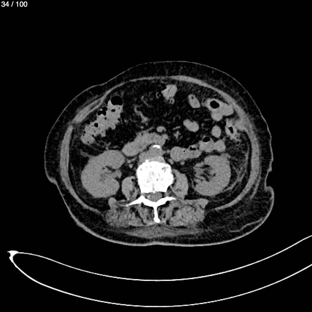
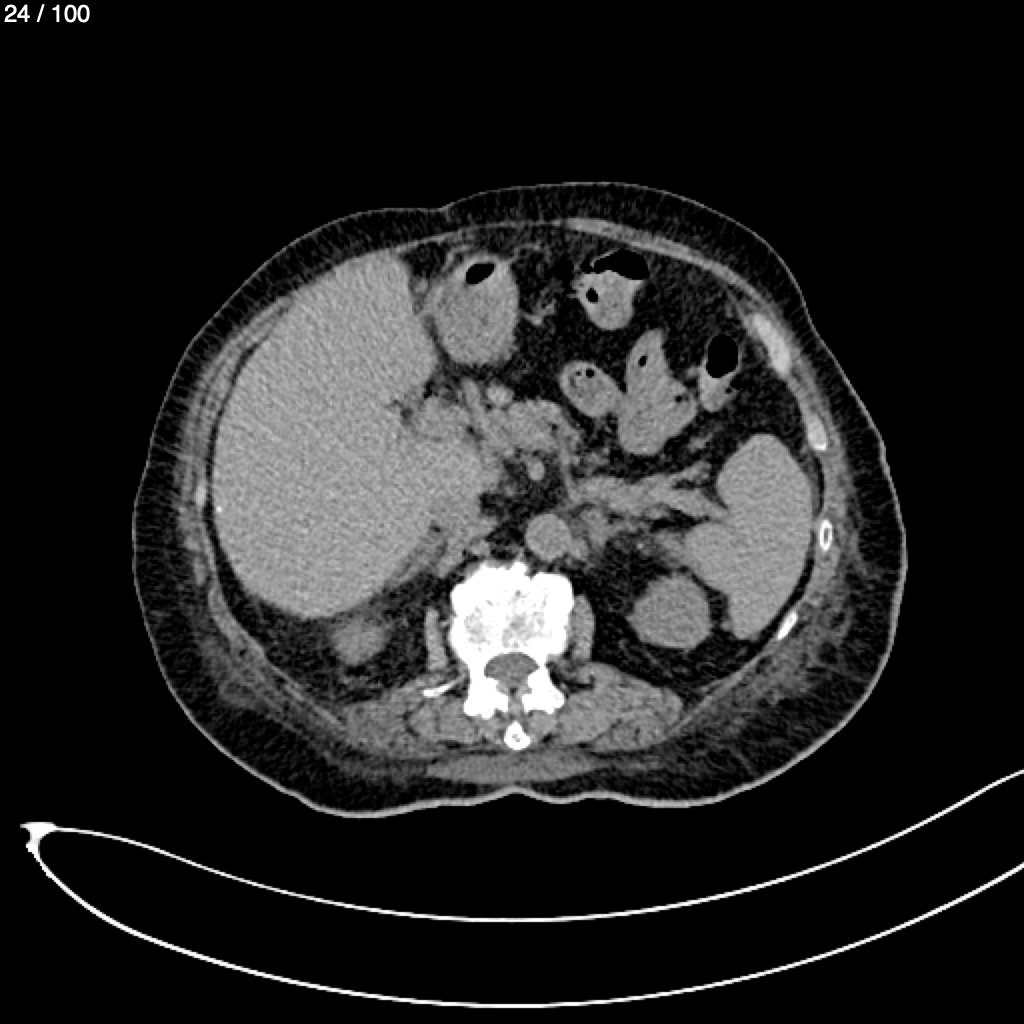
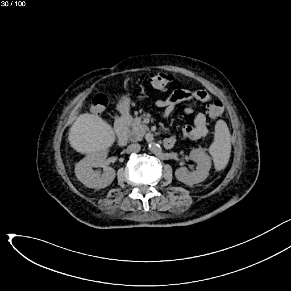
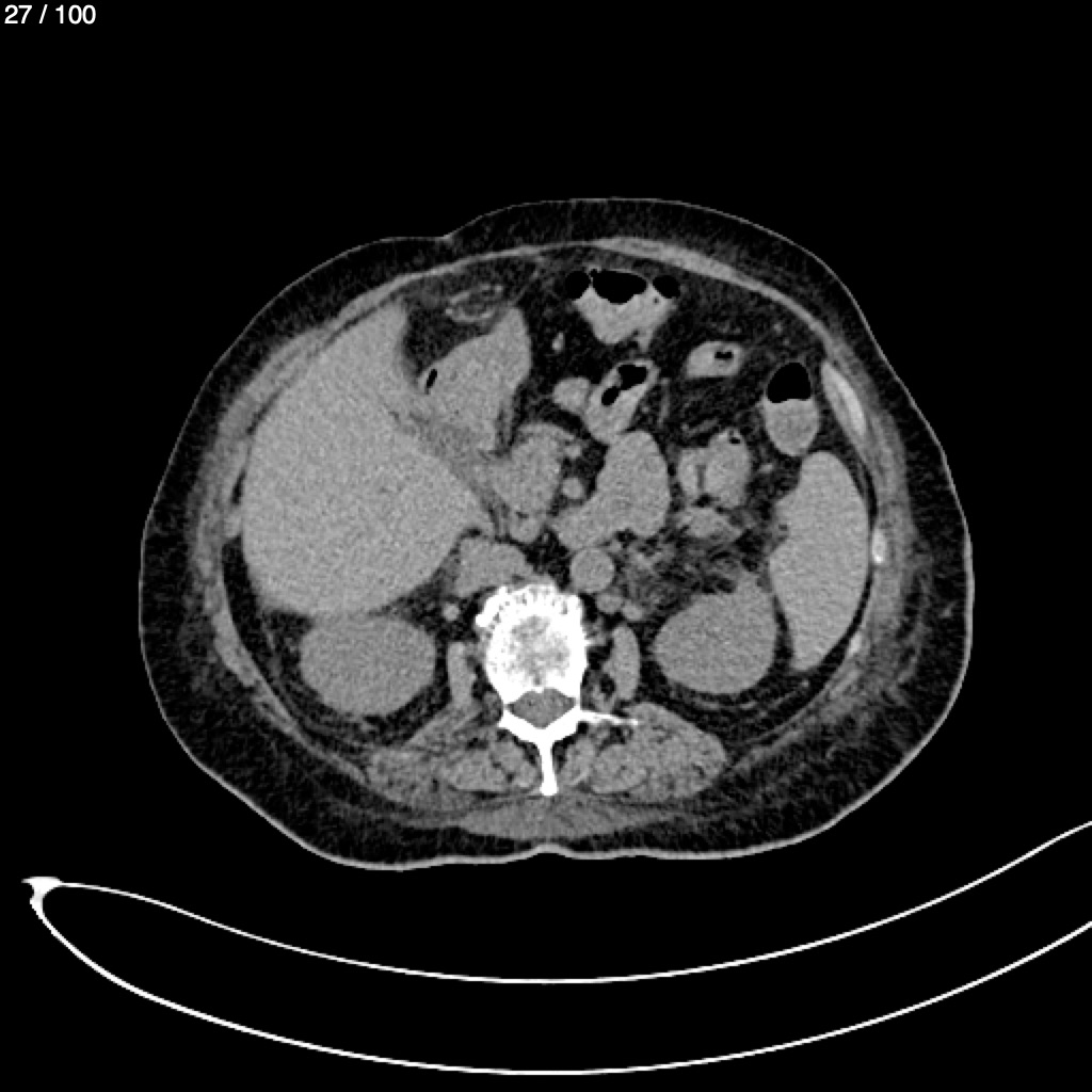
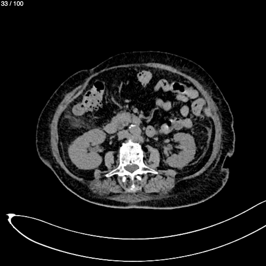
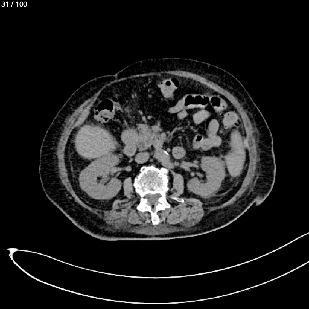
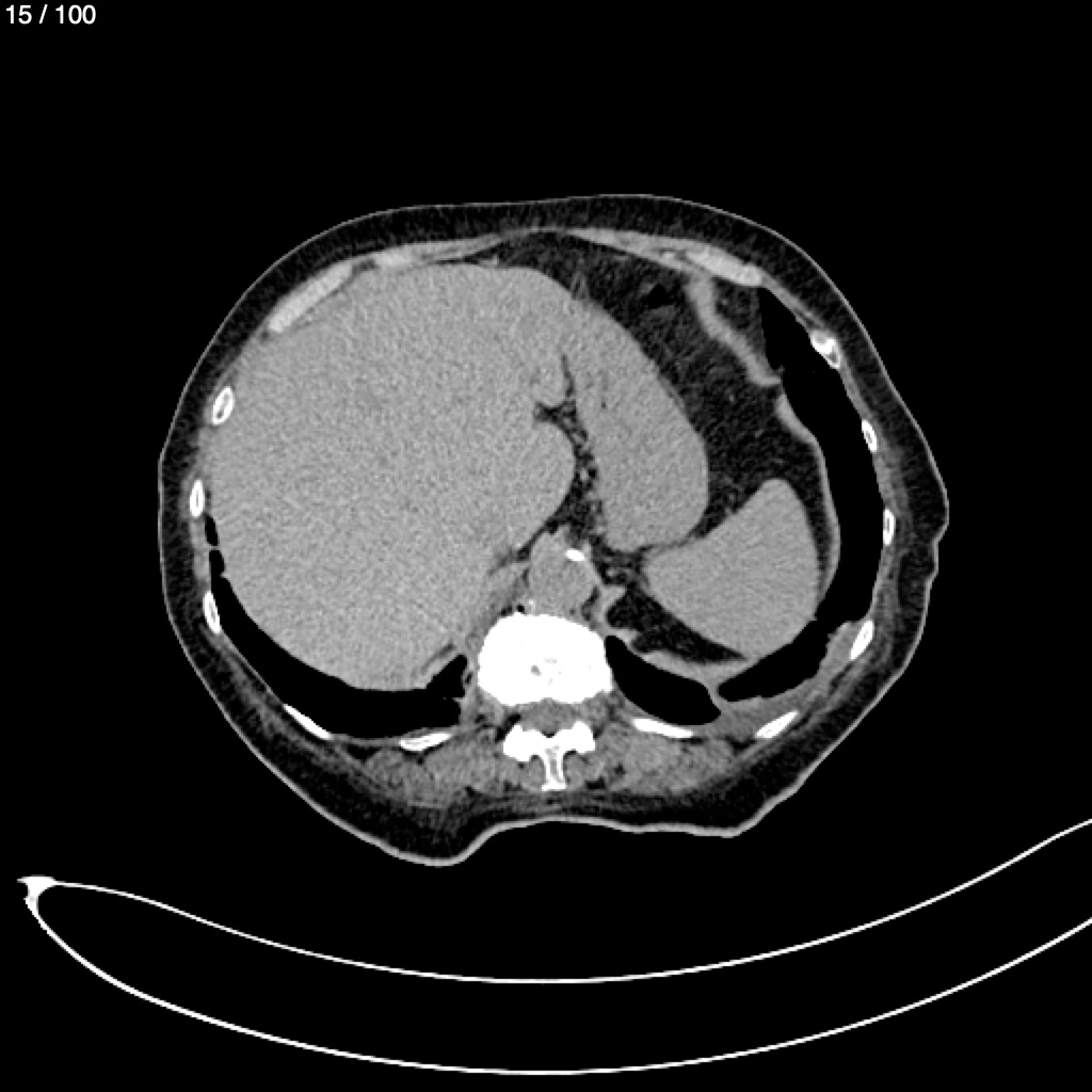
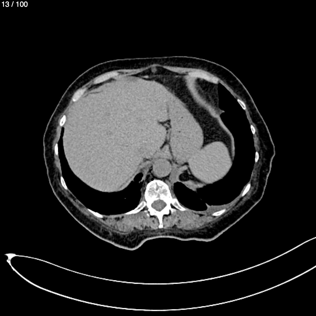
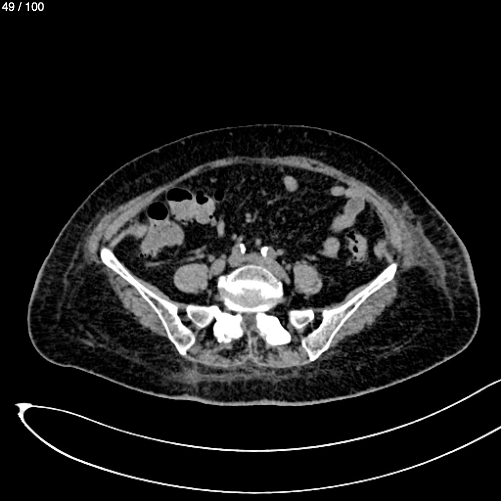
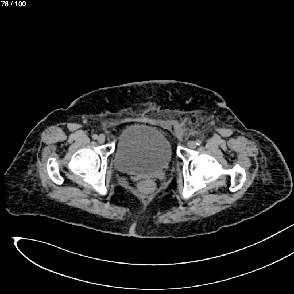
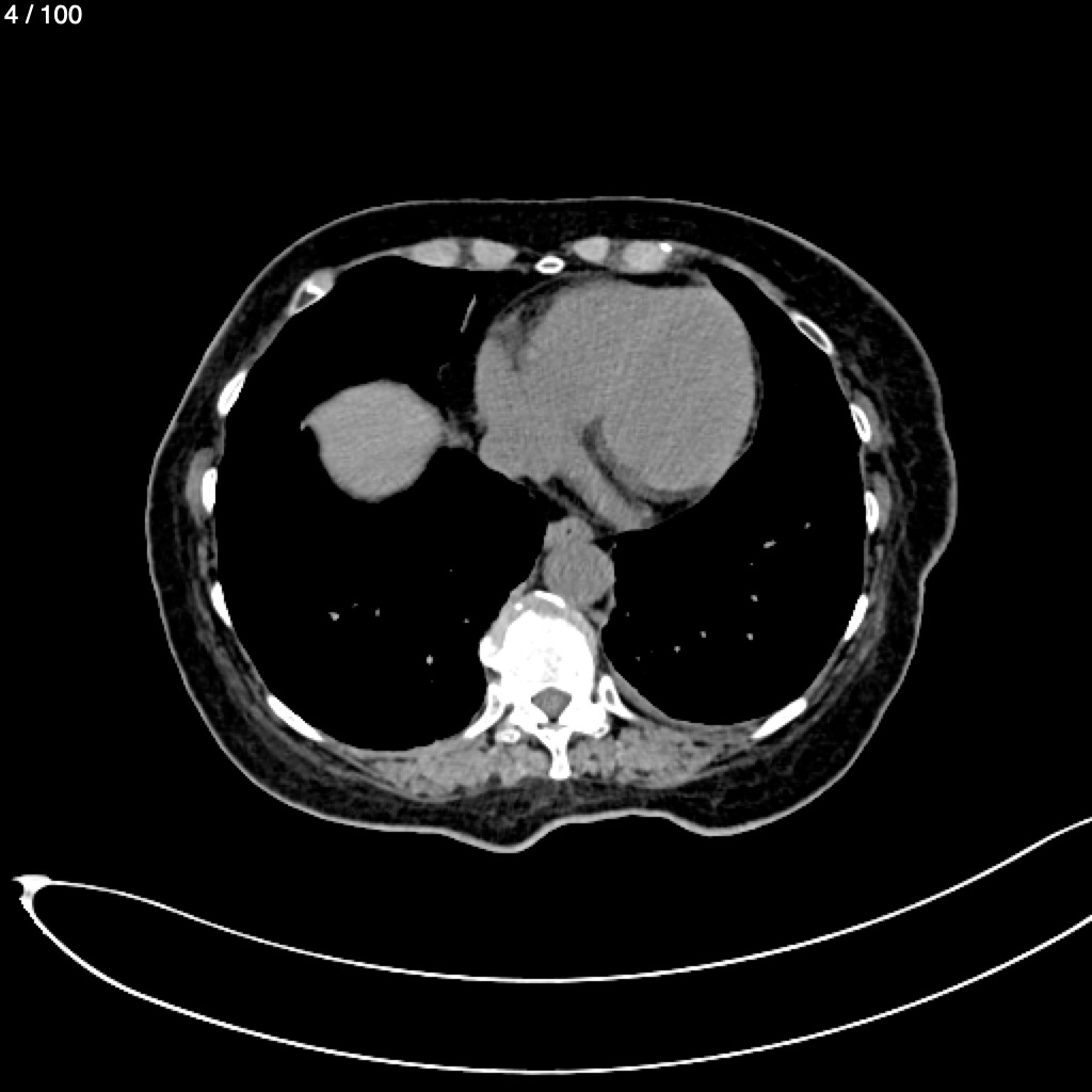
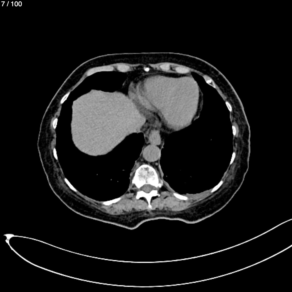
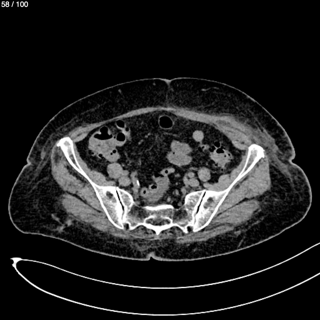
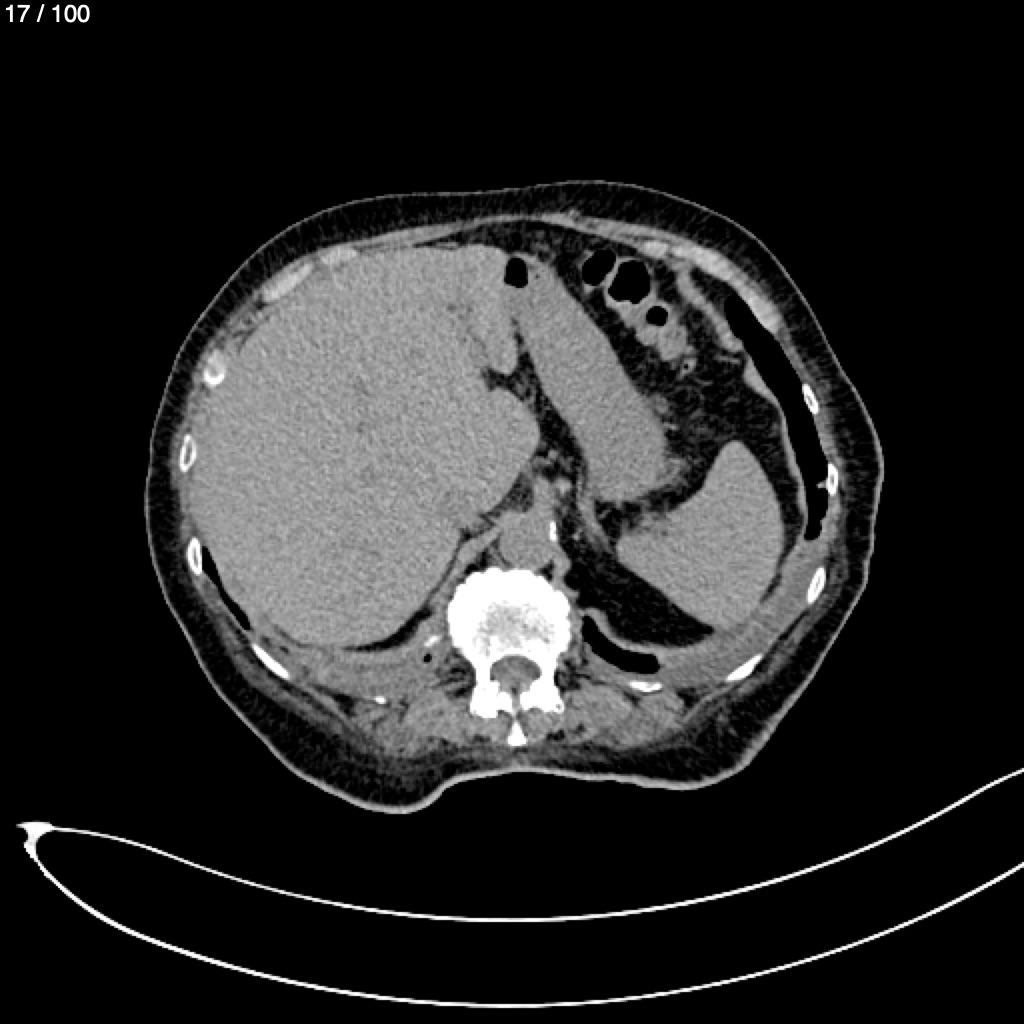
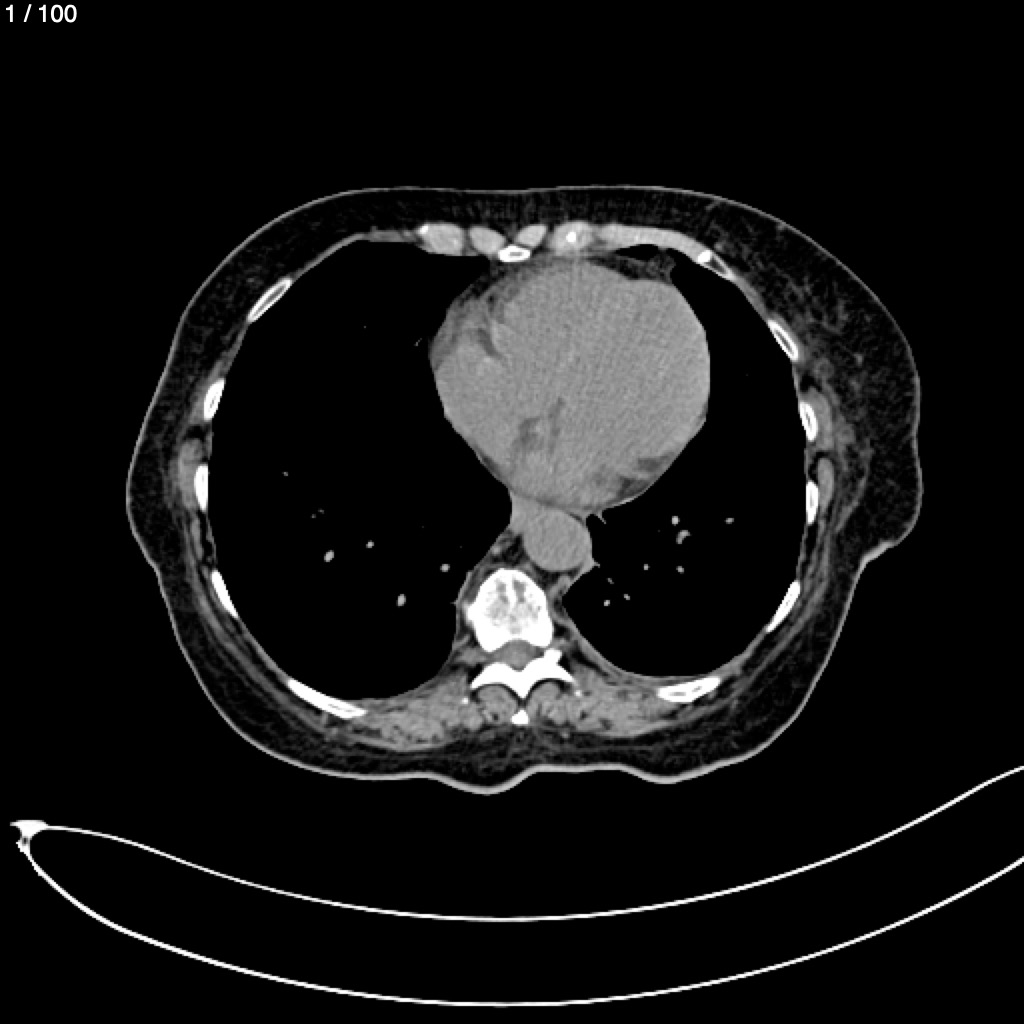
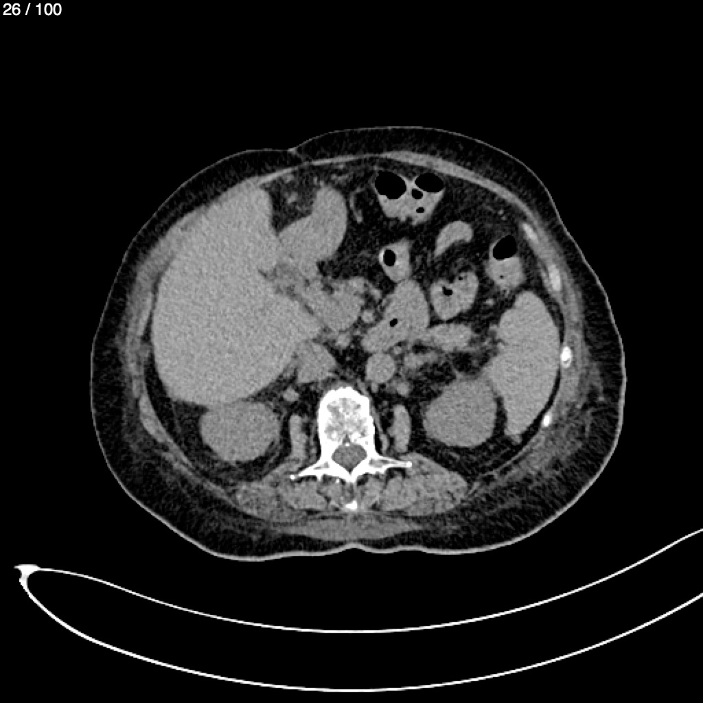
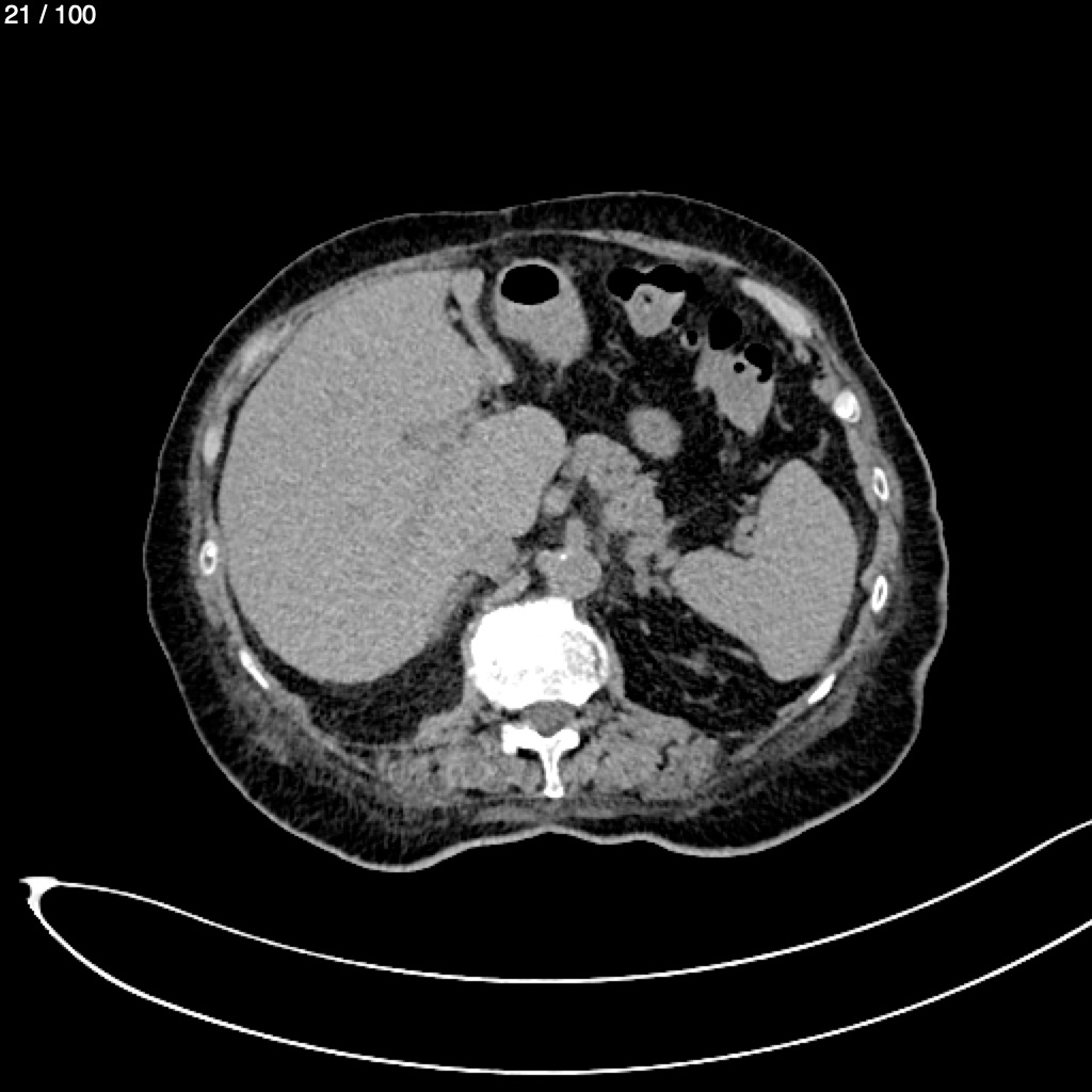
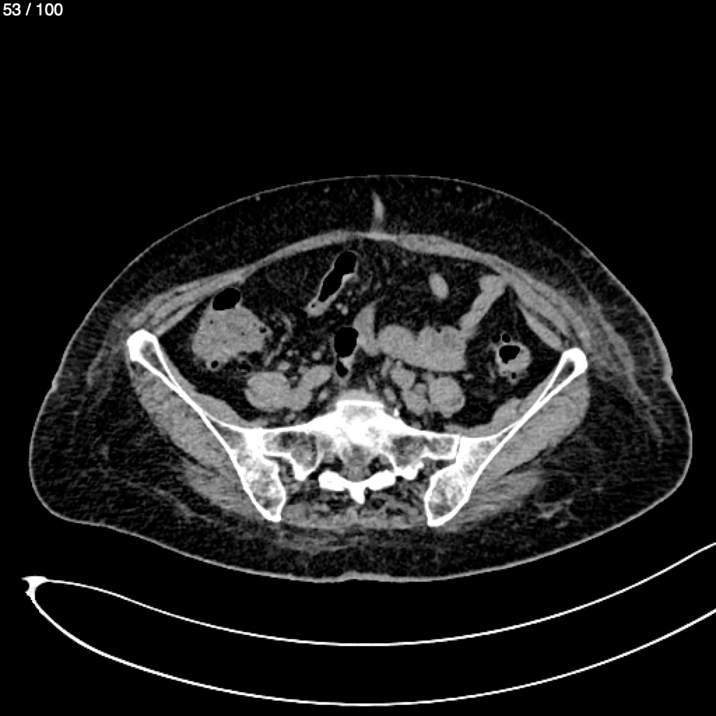
Salazar Trujillo Marina - Abdomen Bifasico(Adulto)
Next Series
Show as Sequence