HUIXTLA
ESCUINTLA
AKISHINO
AKISHINO2 USG
ESPECIALIDADES
Home
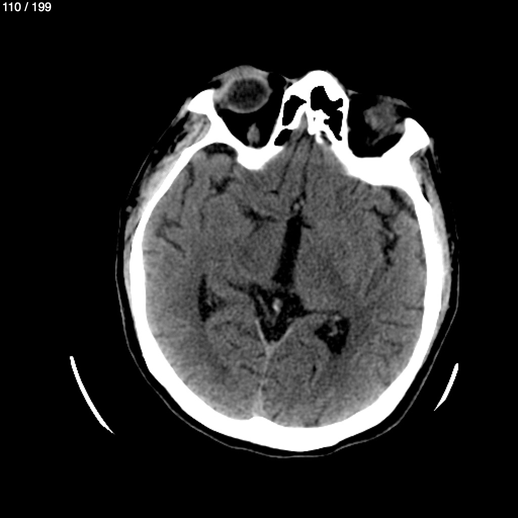
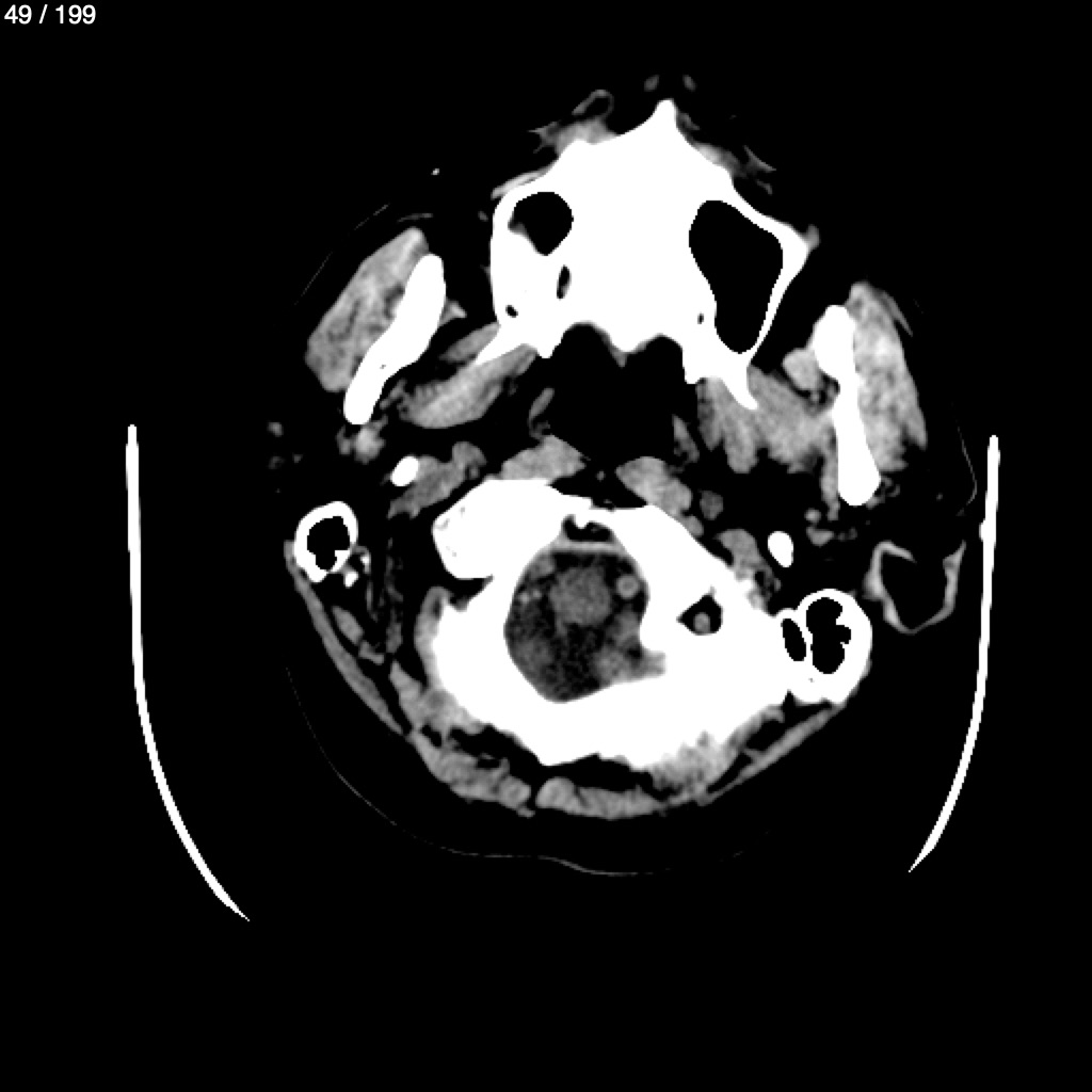
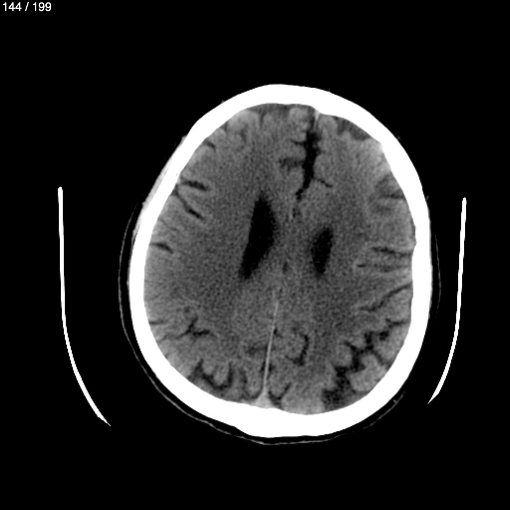
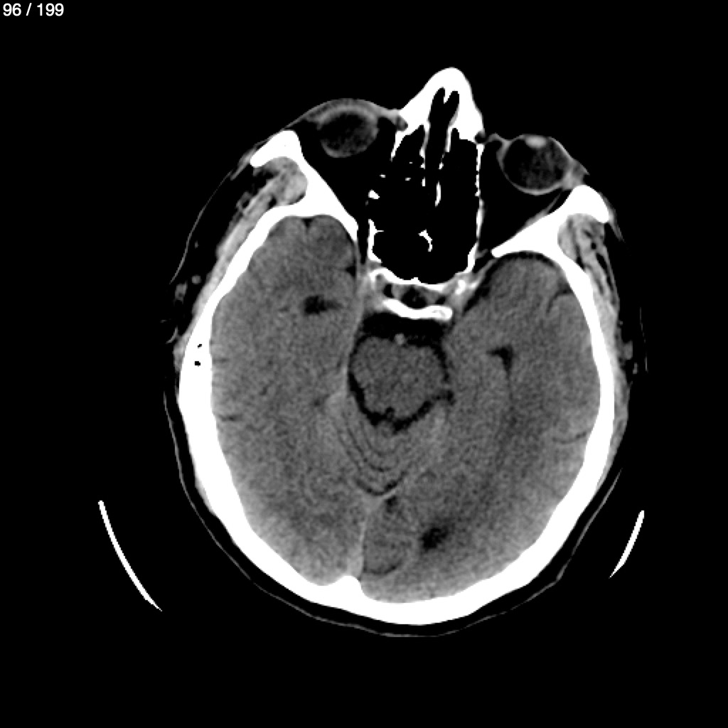
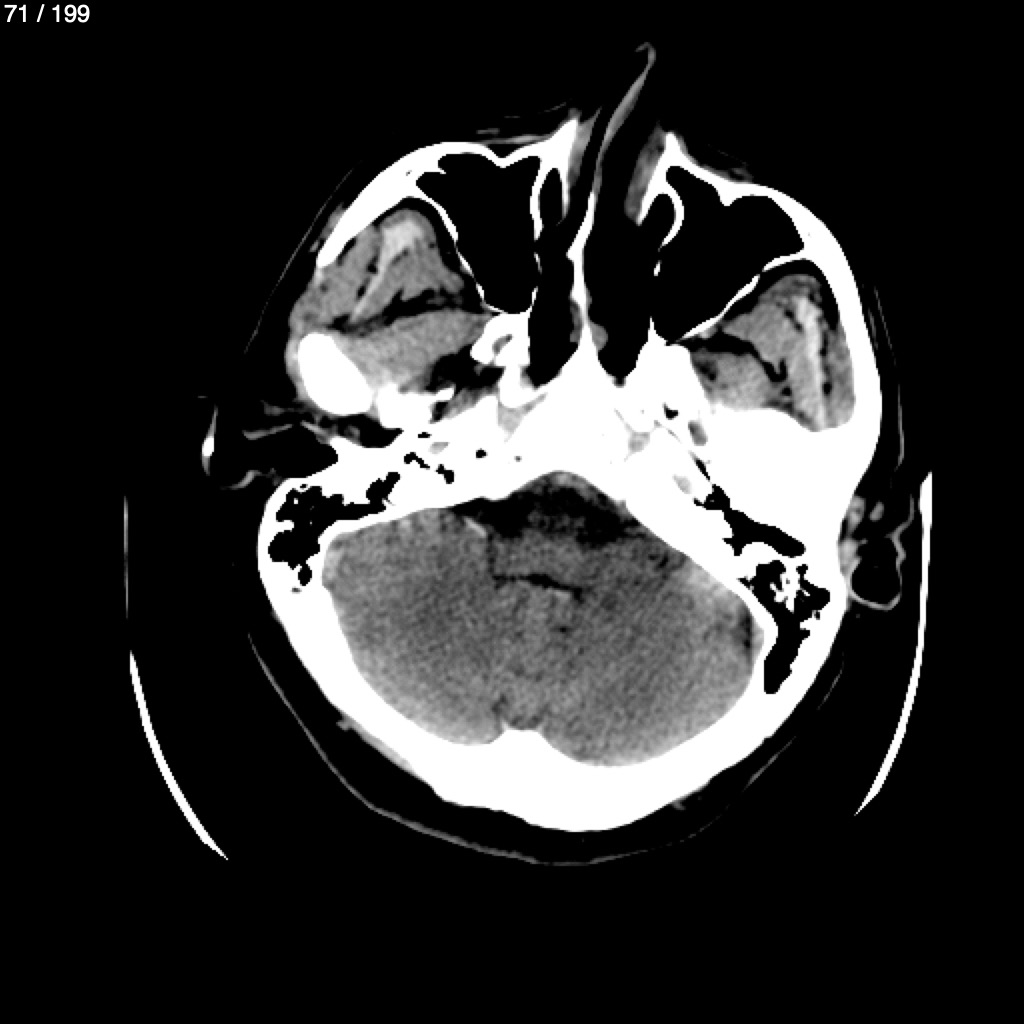
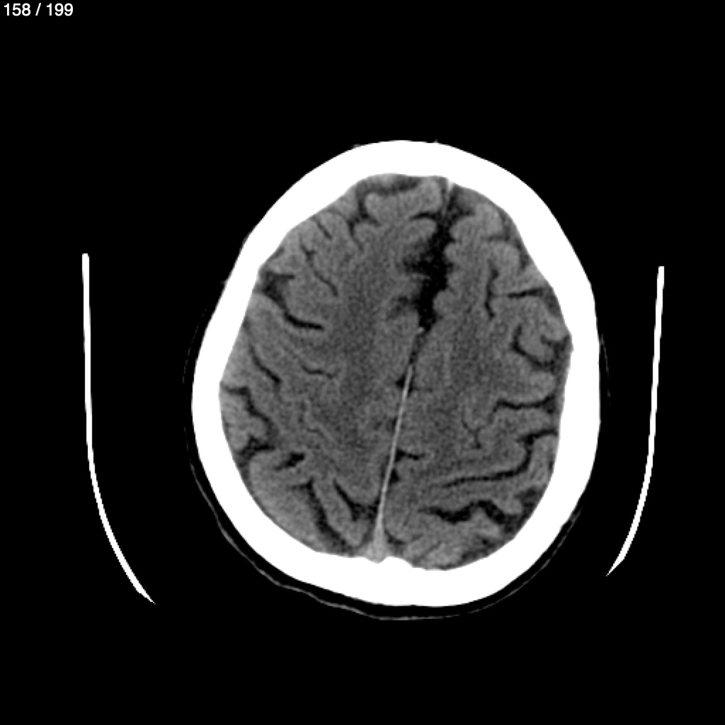
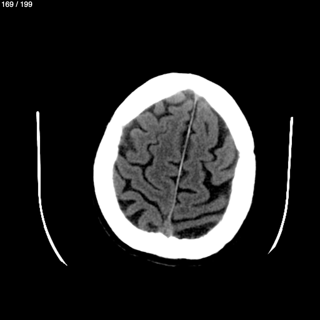
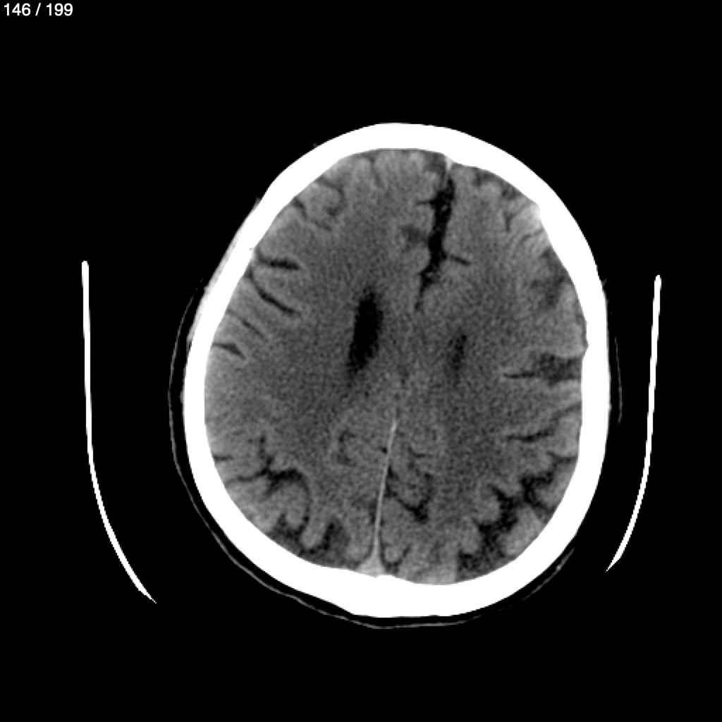
Mariano Alvarez Hernandez 73A - Unnamed
Show as Sequence