HUIXTLA
ESCUINTLA
AKISHINO
AKISHINO2 USG
ESPECIALIDADES
Home
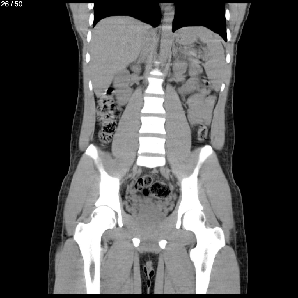
Leonardo Citalan Mejia 16A - Unnamed
Previous Series
Next Series
Show as Sequence