HUIXTLA
ESCUINTLA
AKISHINO
AKISHINO2 USG
ESPECIALIDADES
Home
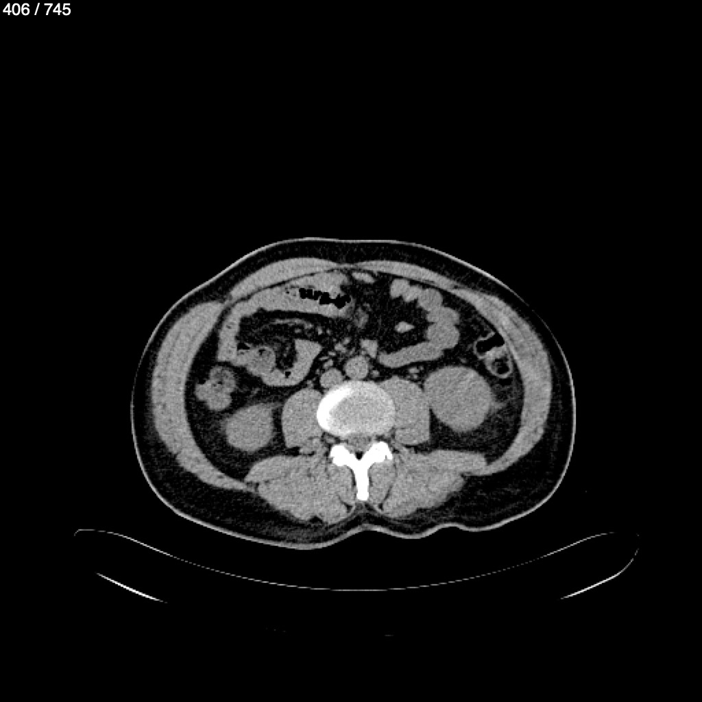
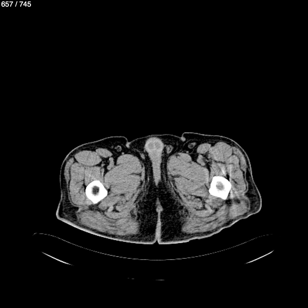
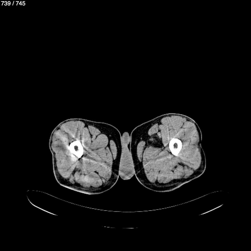
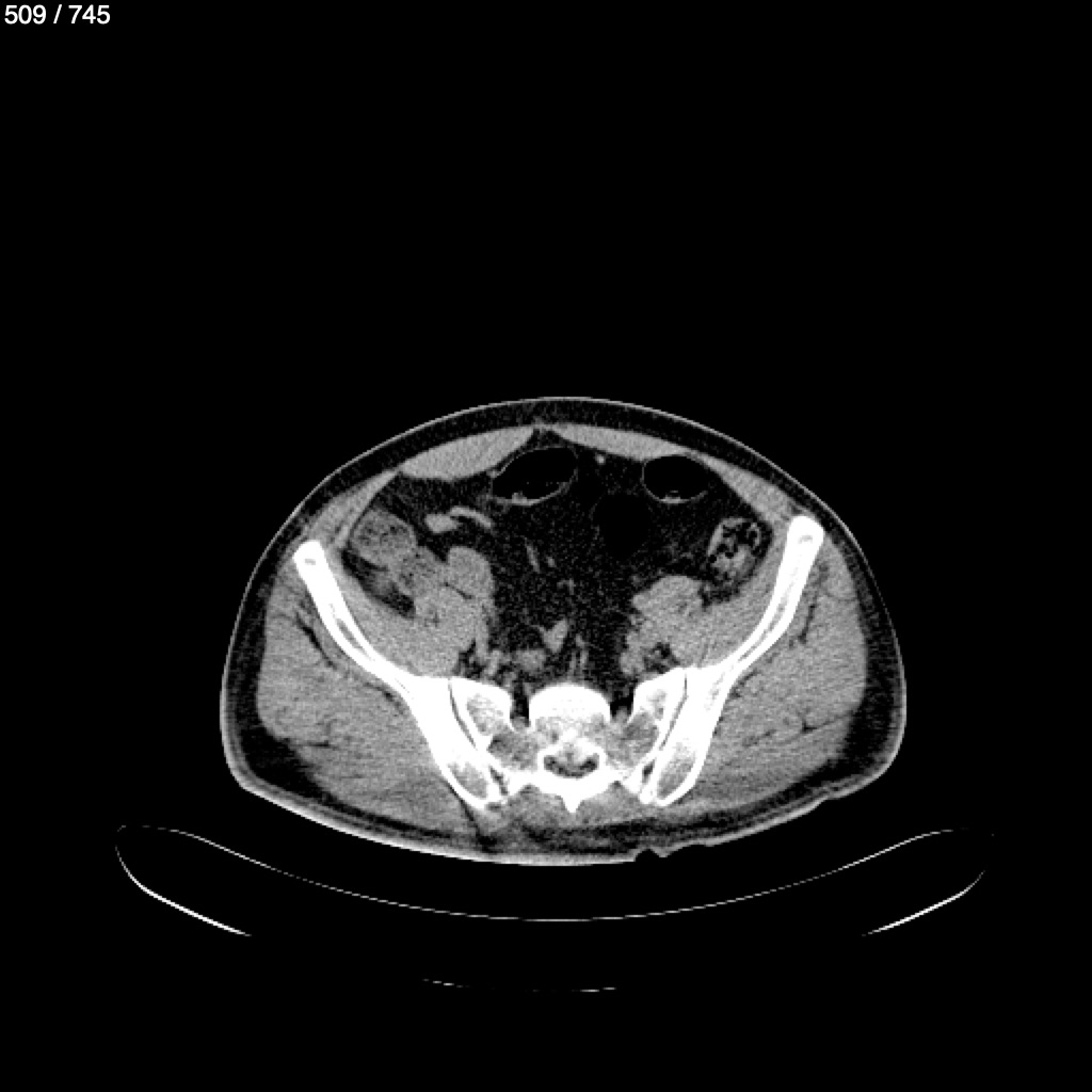
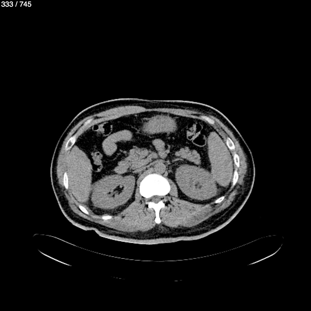
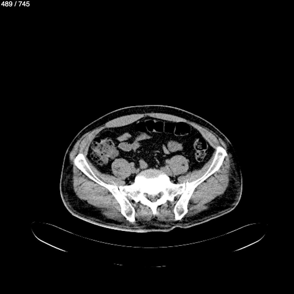
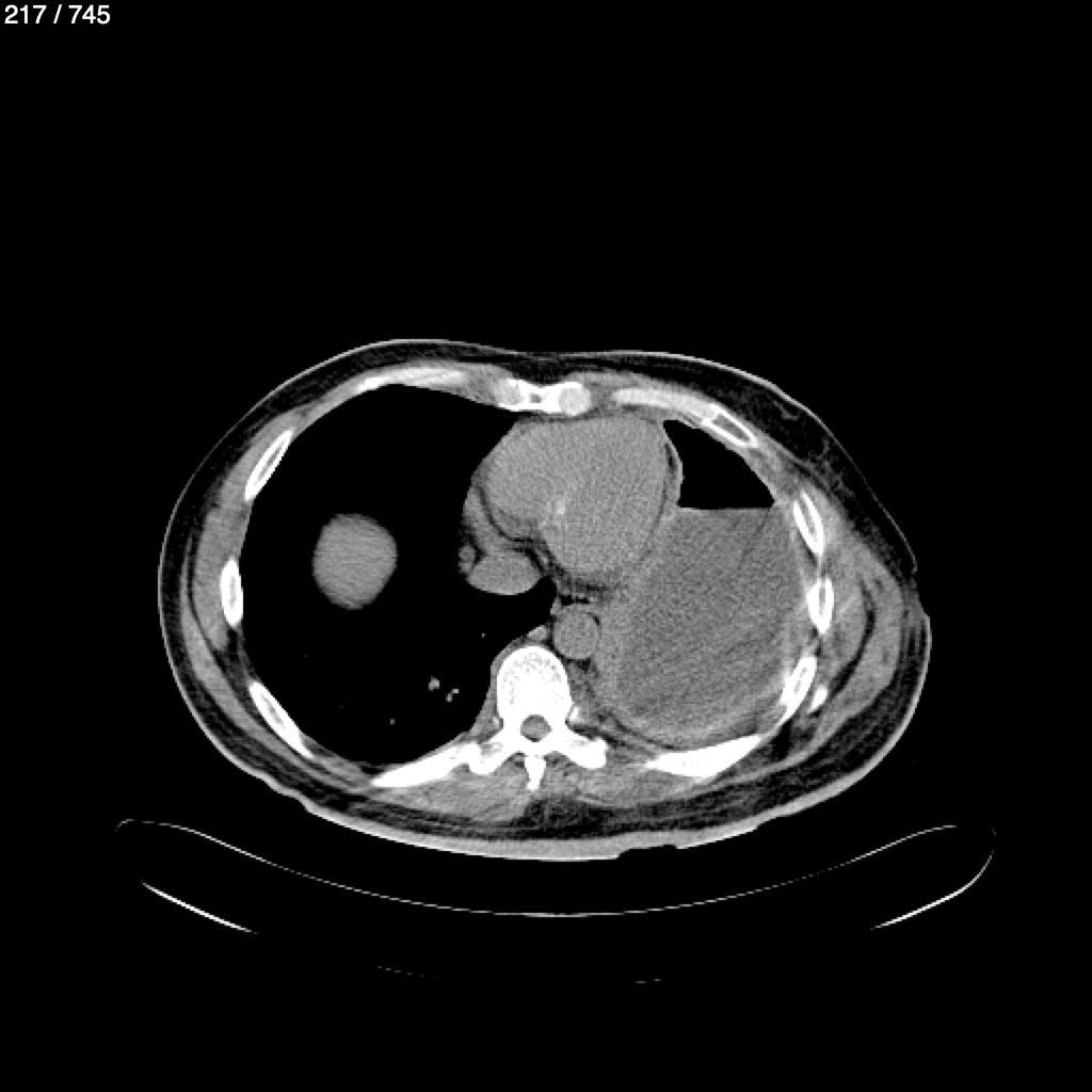
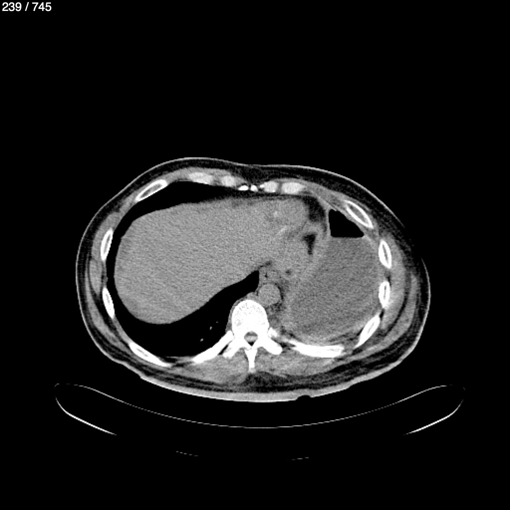
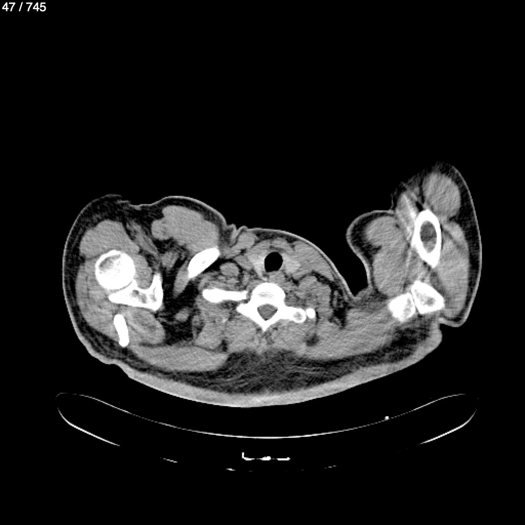
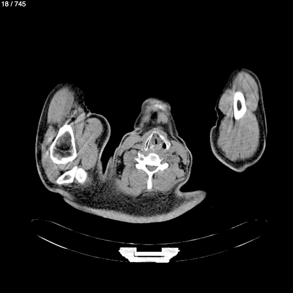
Arnoldo Solorzano Aguilar - Abdomen Toracoabdominasyclu (Adulto)
Previous Series
Next Series
Show as Sequence