HUIXTLA
ESCUINTLA
AKISHINO
AKISHINO2 USG
ESPECIALIDADES
Home
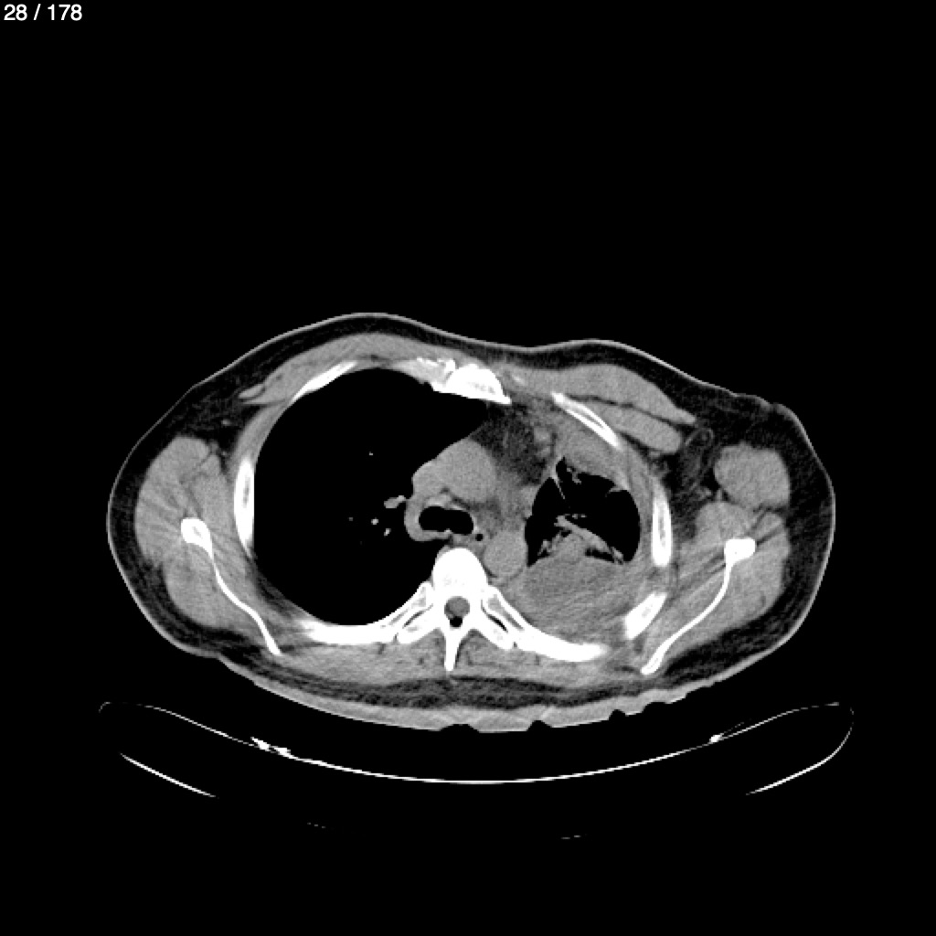
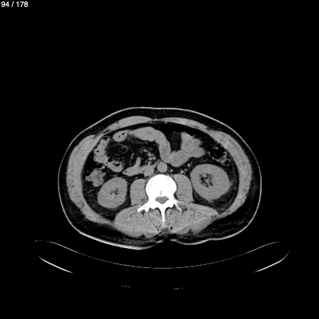
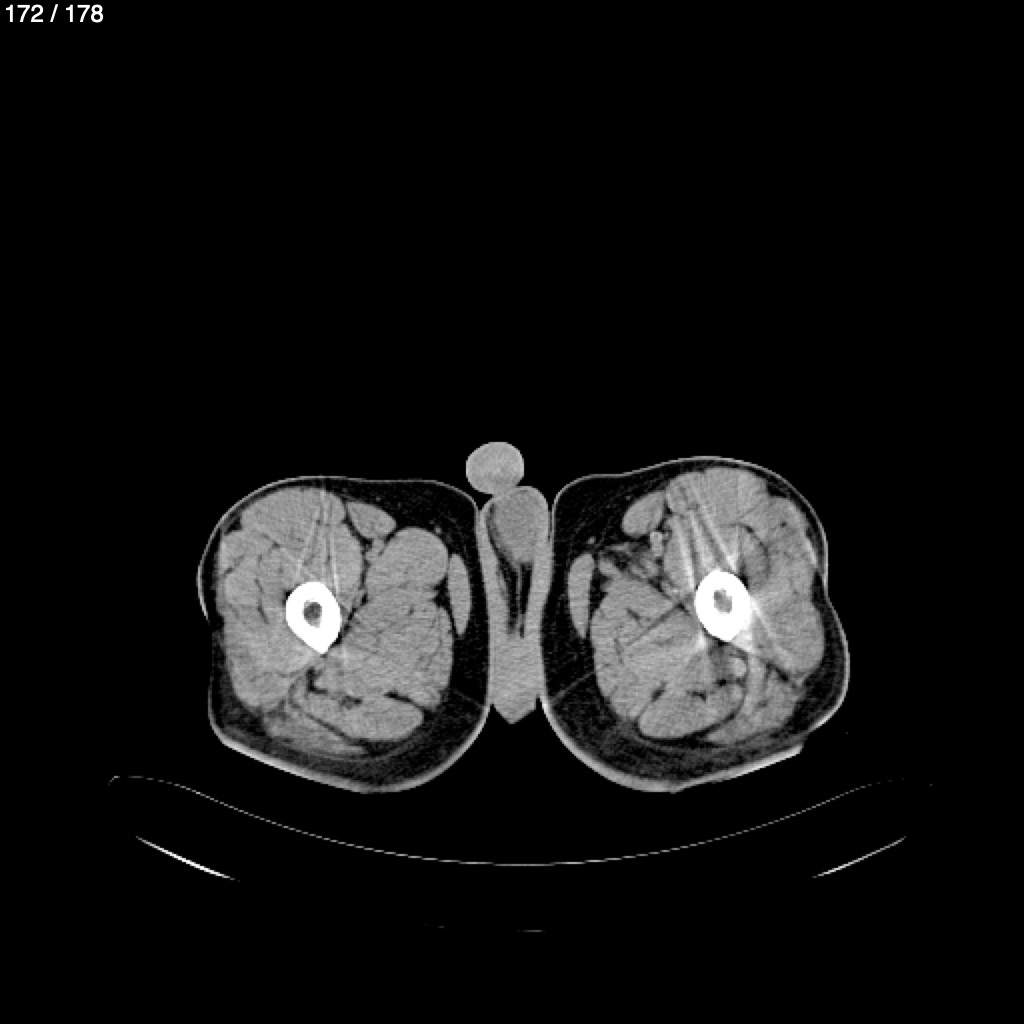
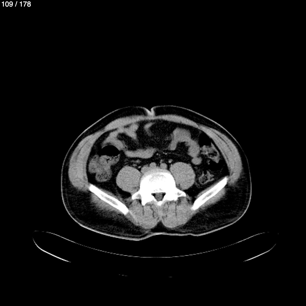
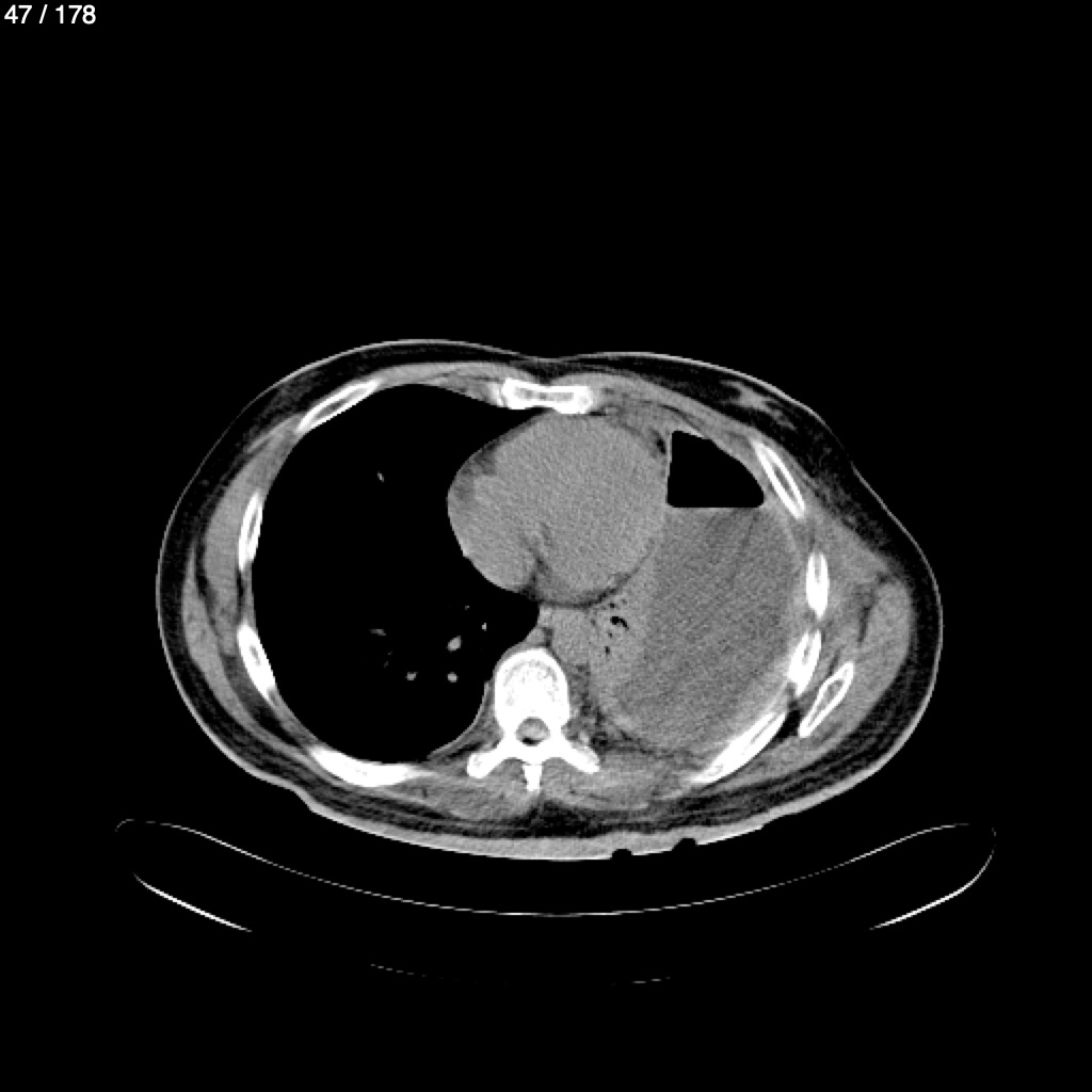
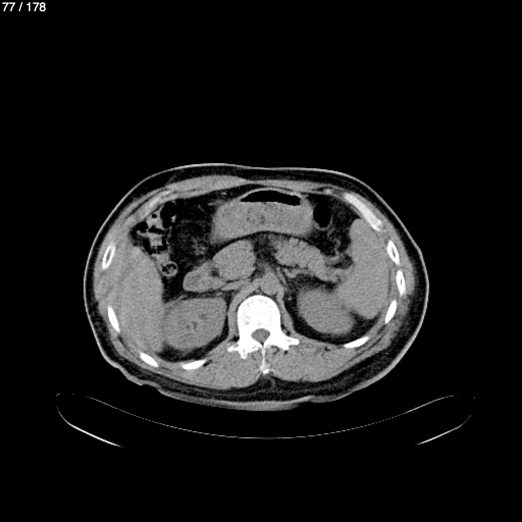
Arnoldo Solorzano Aguilar - Abdomen Toracoabdominasyclu (Adulto)
Next Series
Show as Sequence