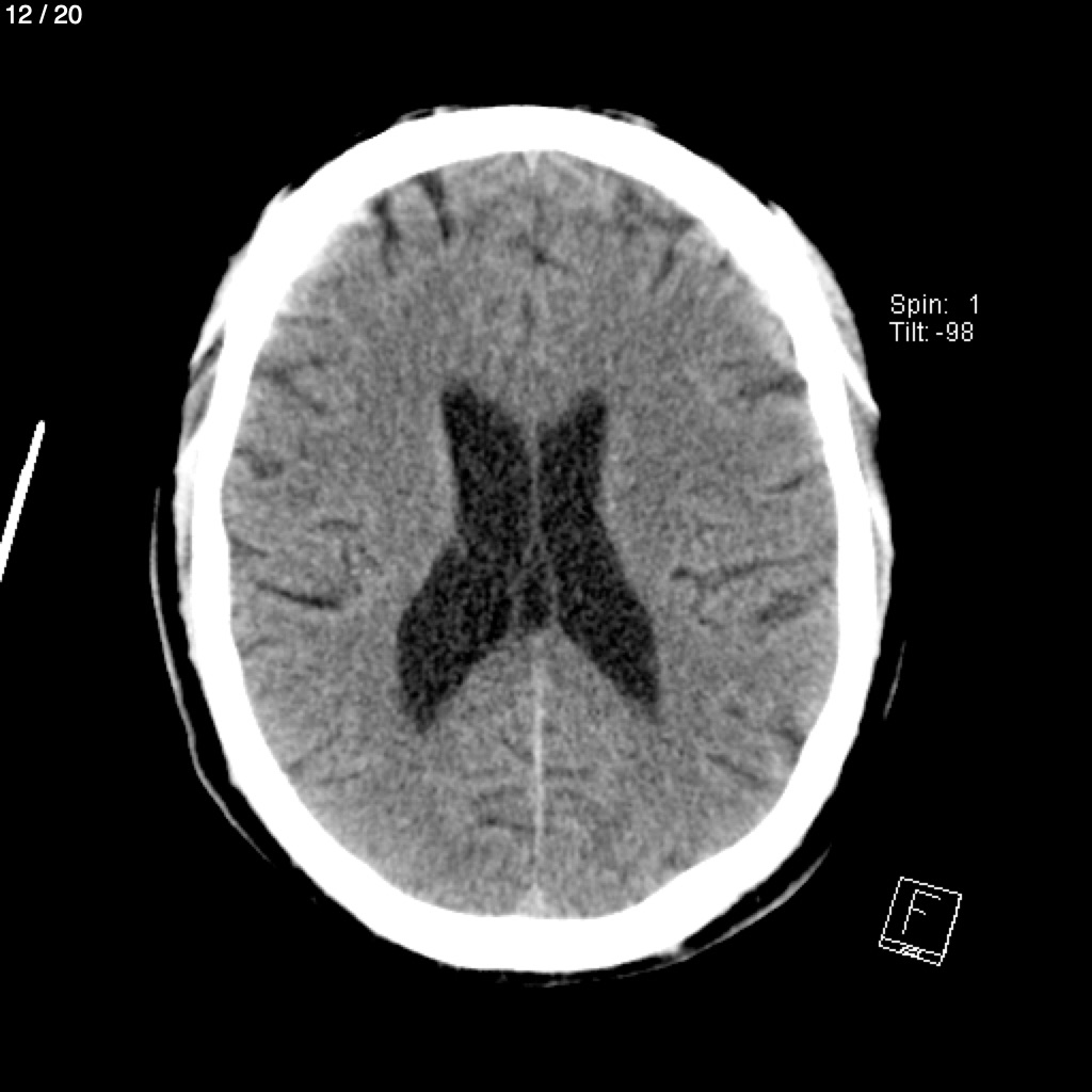
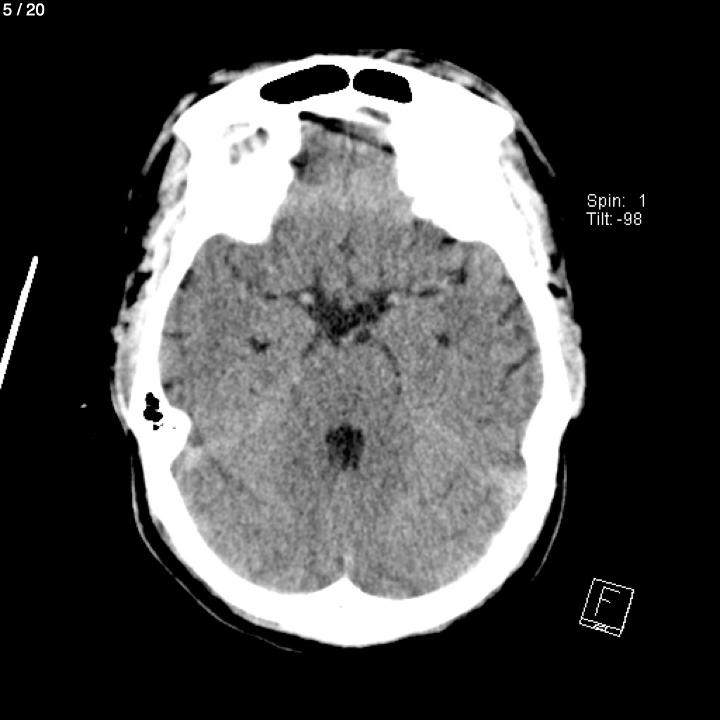
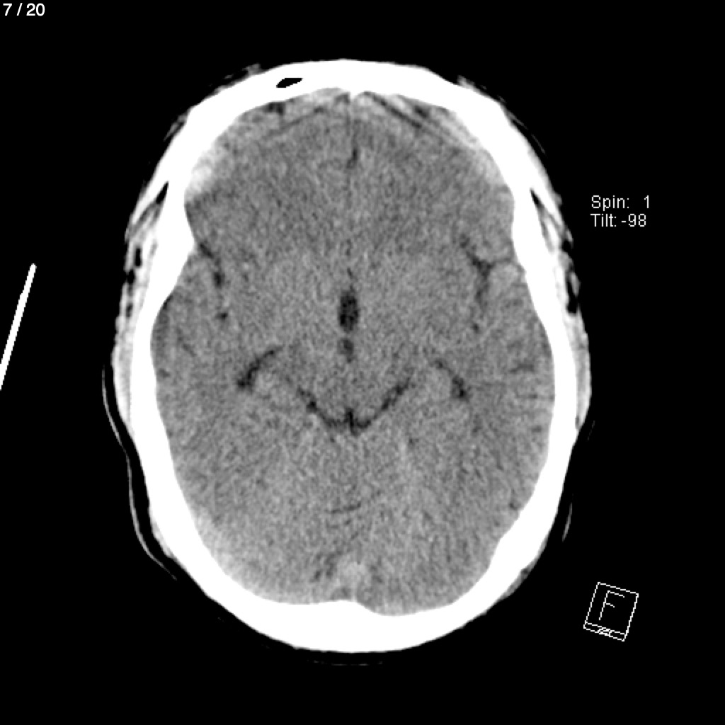
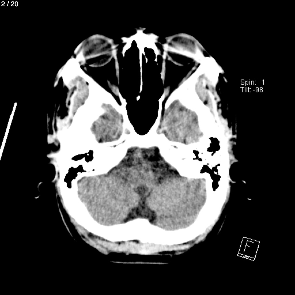
Home L​o​u​i​s​ ​Y​o​u​r​a​l​p​h​ ​-​ ​C​a​b​e​z​a​ ​S​i​m​p​l​e​_​C​r​a​n​e​o​ ​(​A​d​u​l​t​o​)