HUIXTLA
ESCUINTLA
AKISHINO
AKISHINO2 USG
ESPECIALIDADES
Home
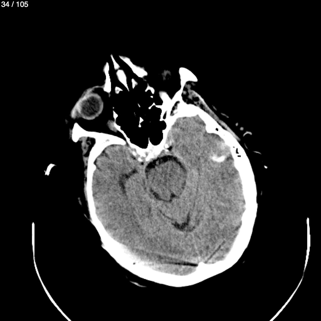
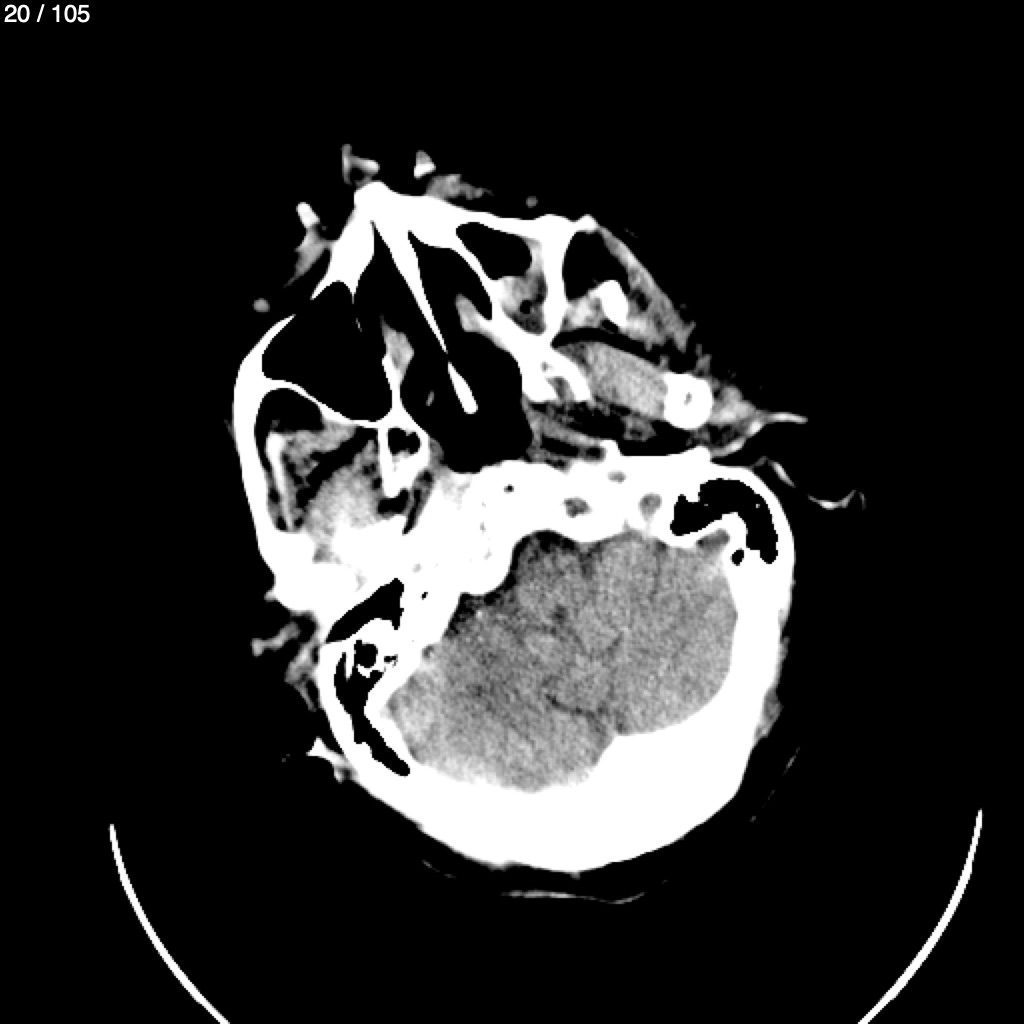
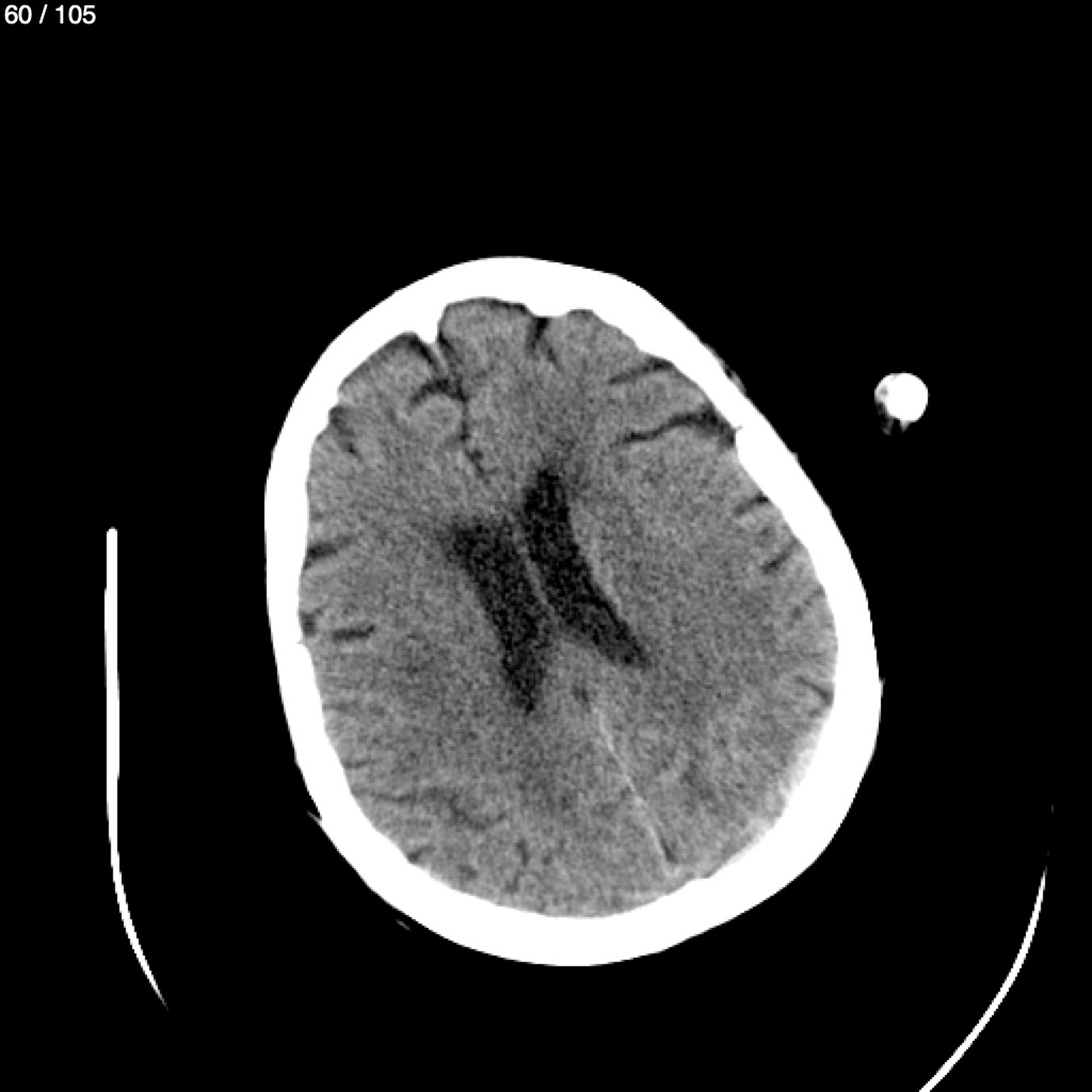
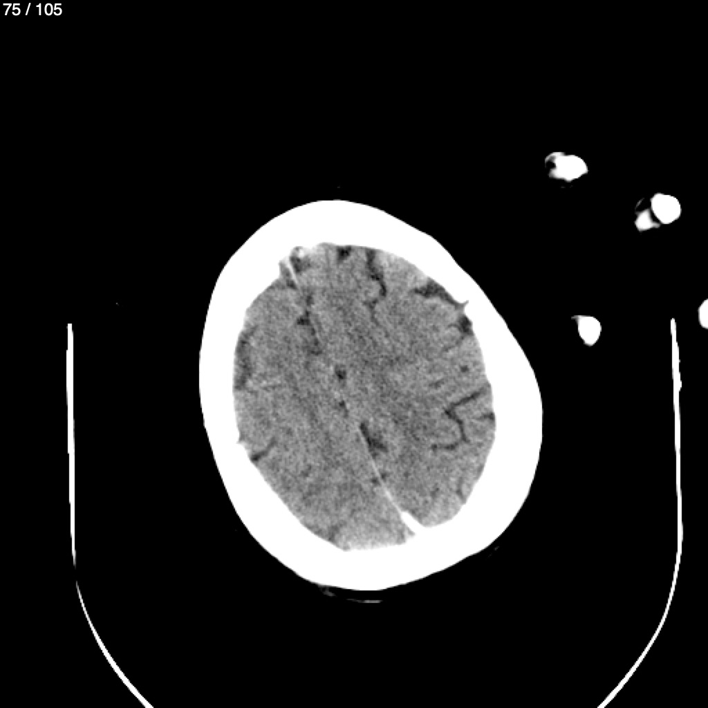
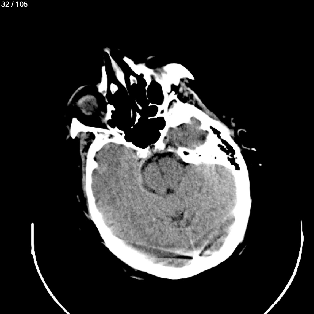
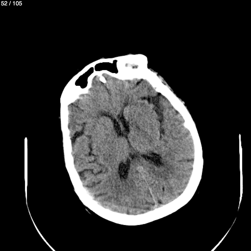
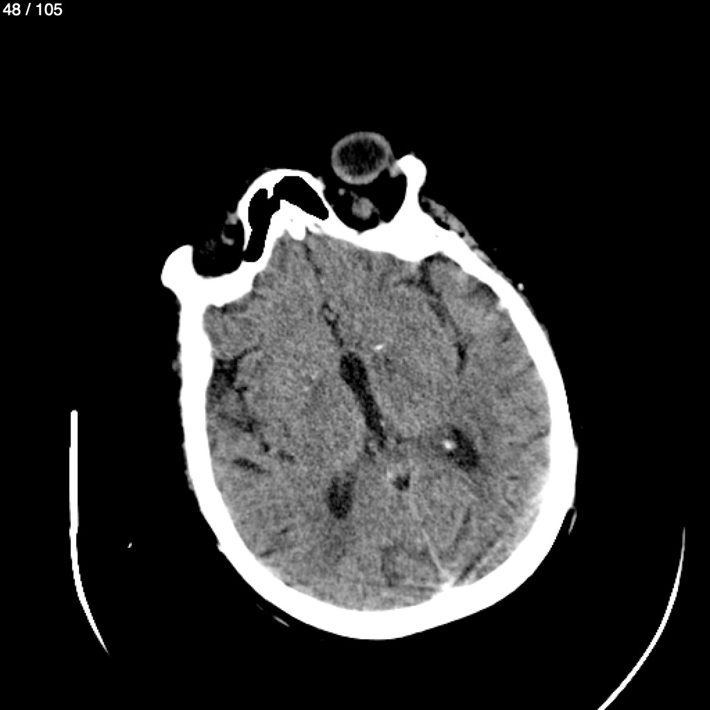
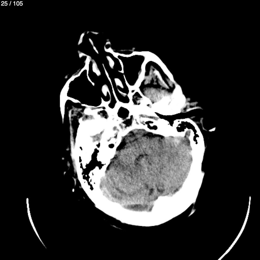
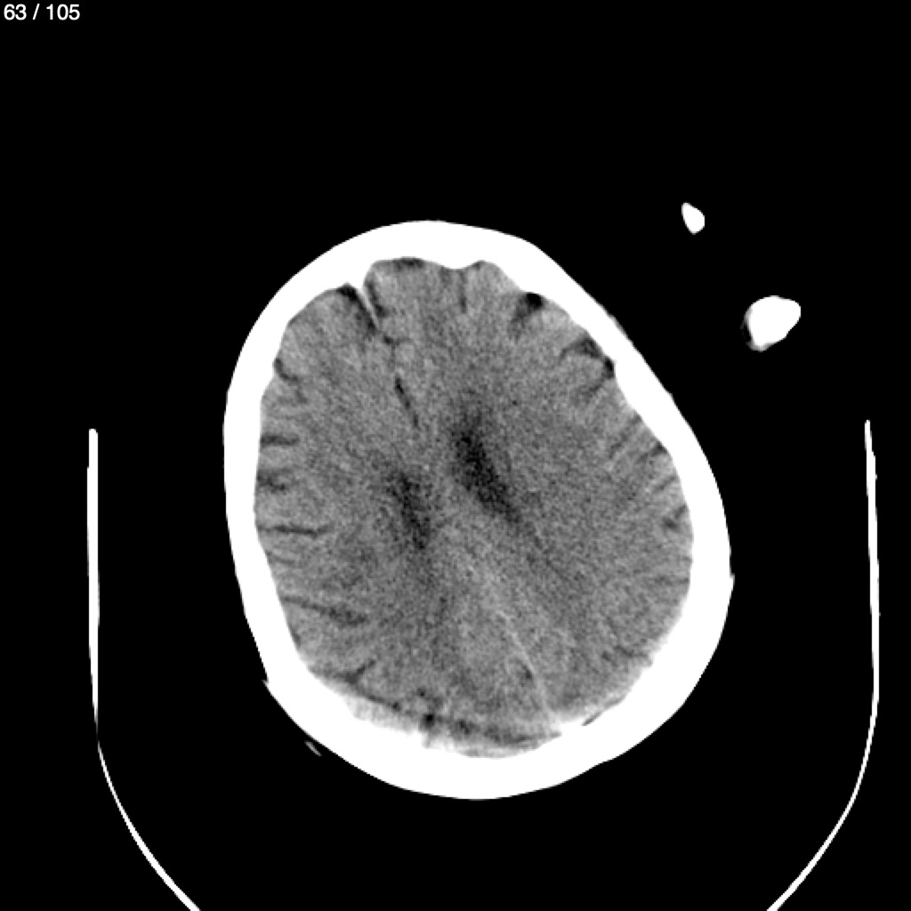
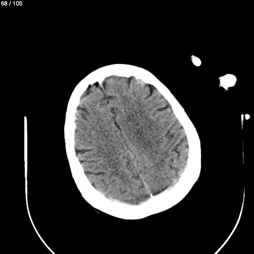
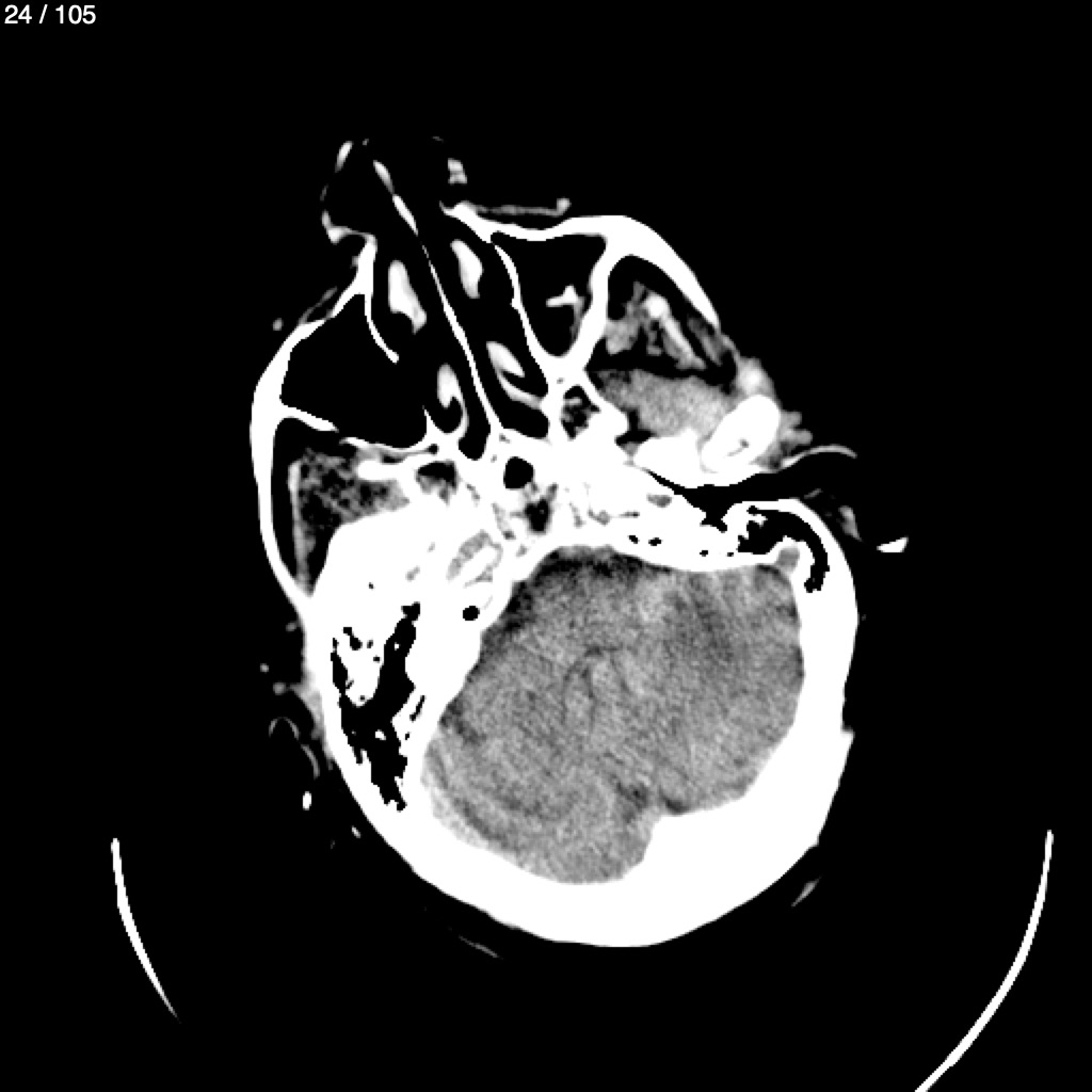
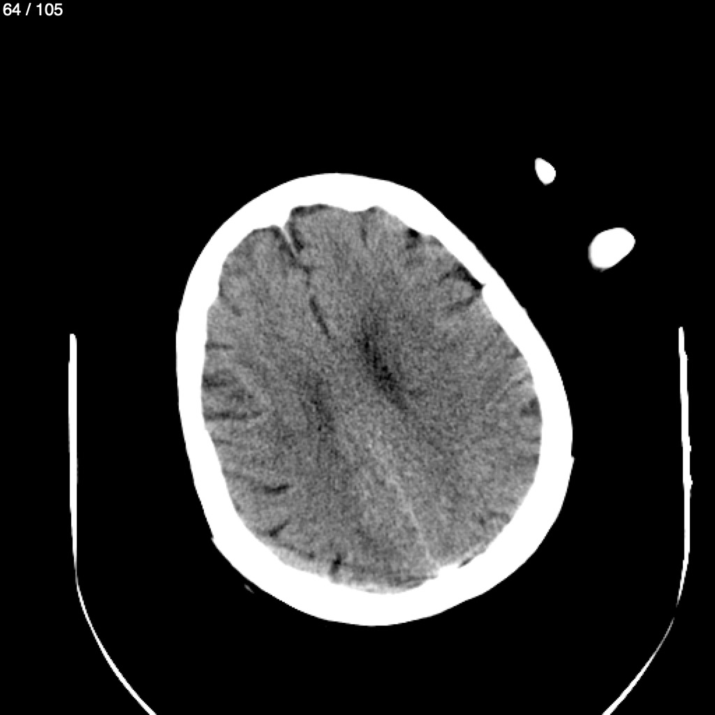
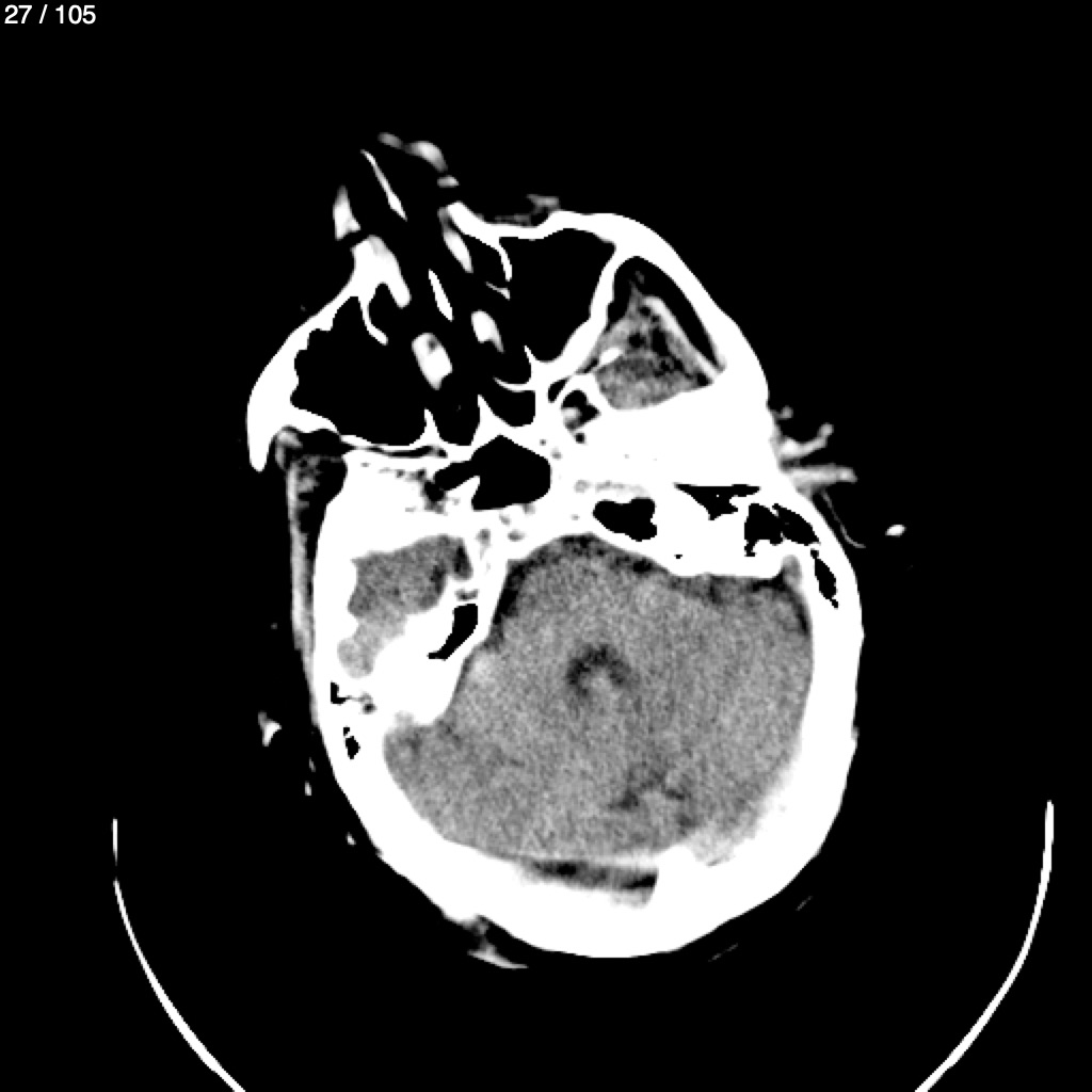
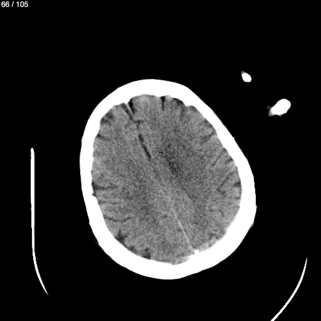
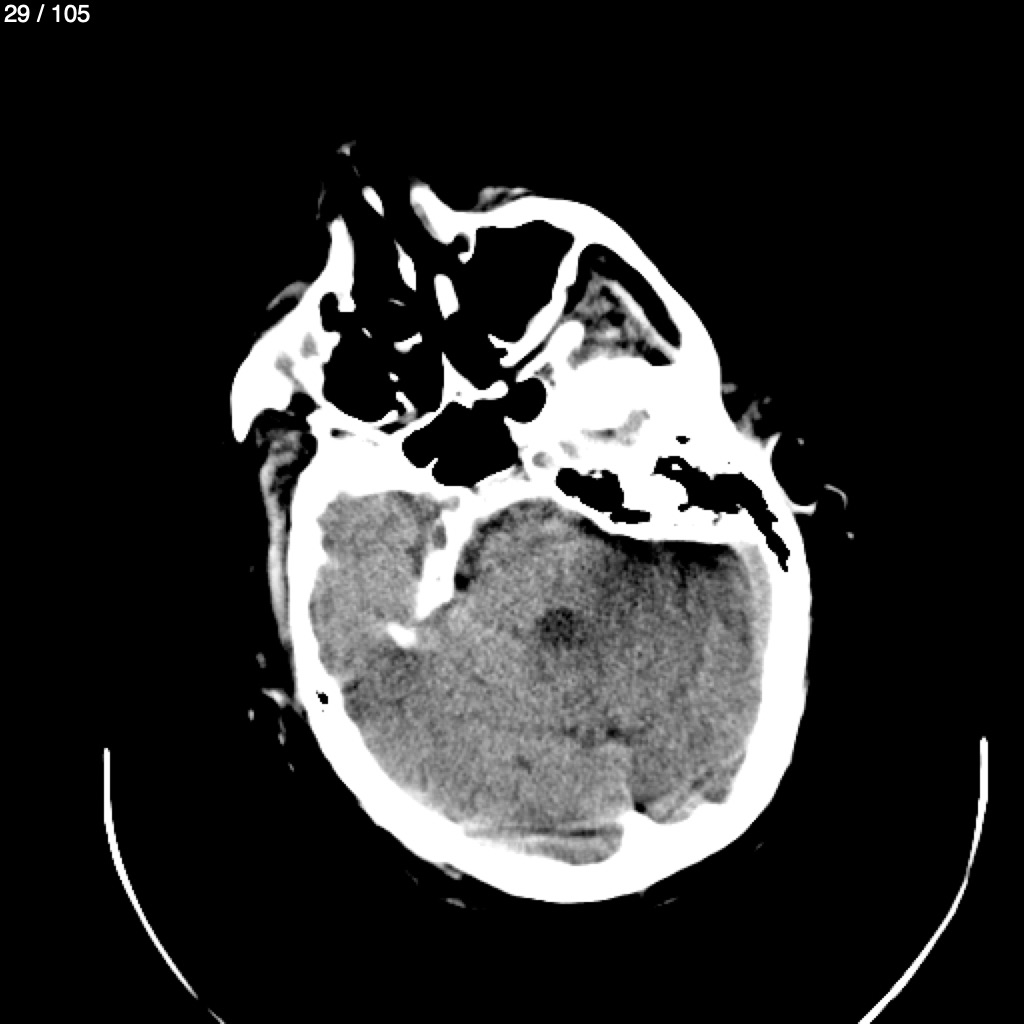
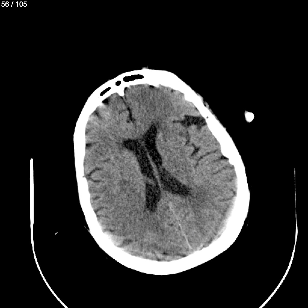
Evangelina Gonzalez Reyes - Cabeza Simple_Craneo (Adulto)
Next Series
Show as Sequence