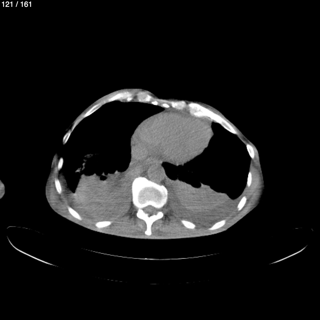
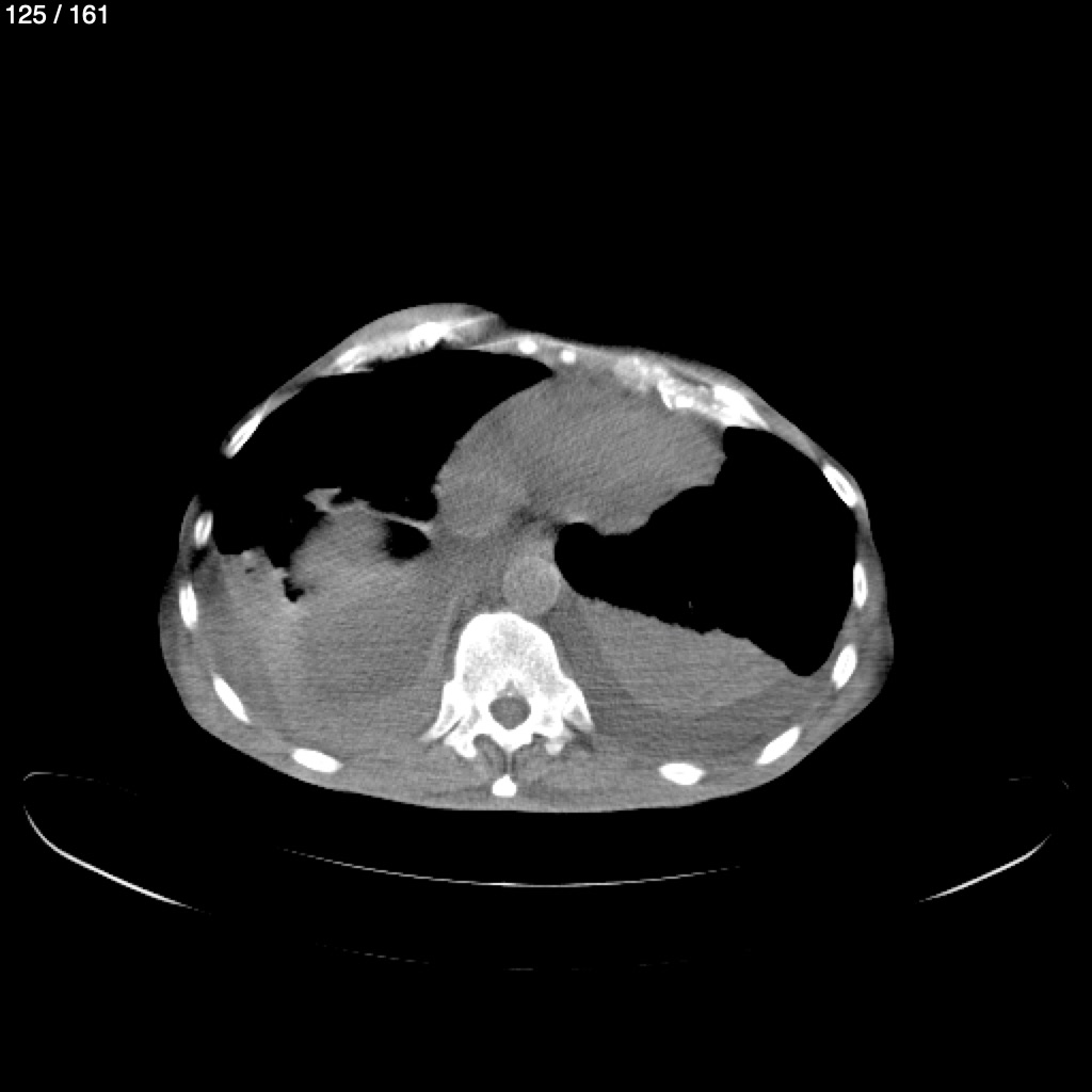
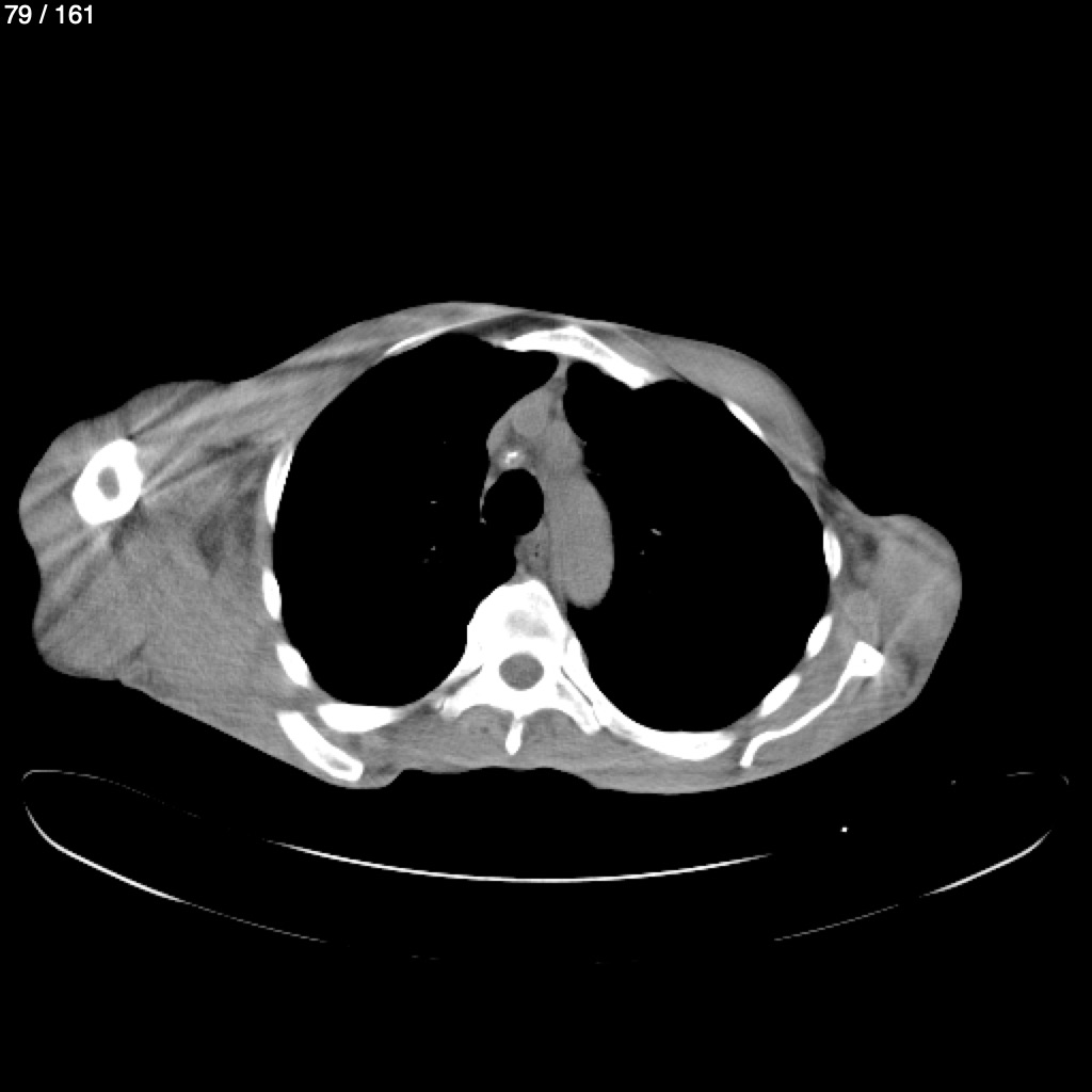
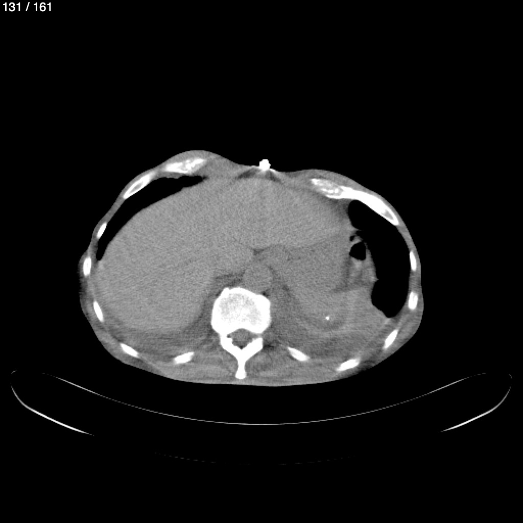
Home F​r​a​n​c​i​s​c​o​ ​J​a​v​i​e​r​ ​M​e​r​i​d​a​ ​M​a​y​o​r​g​a​ ​-​ ​T​ó​r​a​x​ ​T​o​r​a​x​_​S​y​c​ ​(​A​d​u​l​t​o​)