HUIXTLA
ESCUINTLA
AKISHINO
AKISHINO2 USG
ESPECIALIDADES
Home
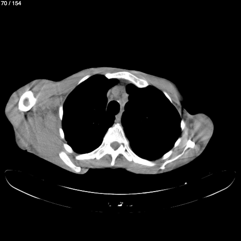
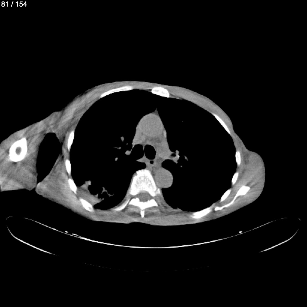
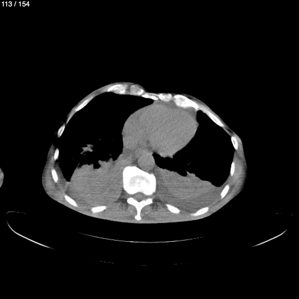
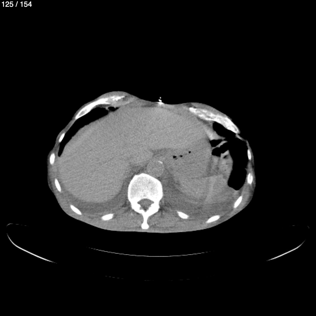
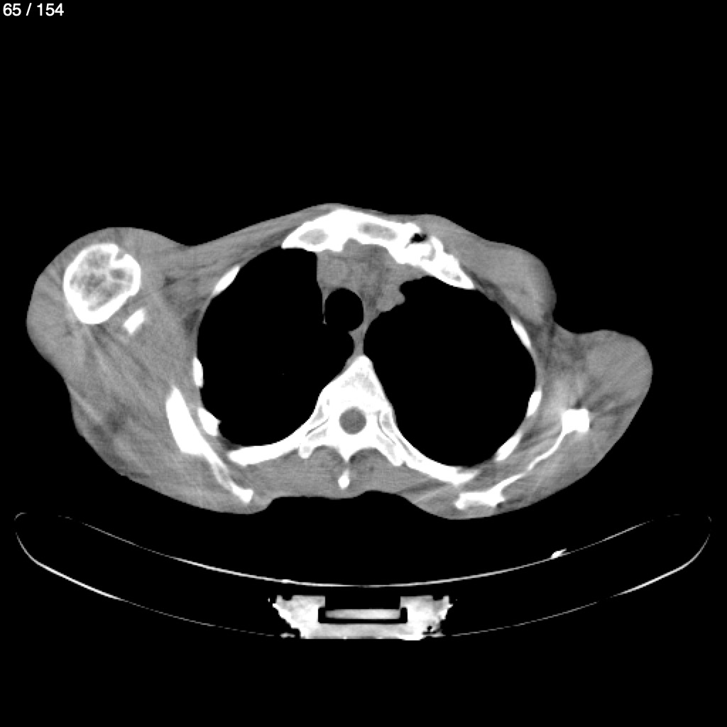
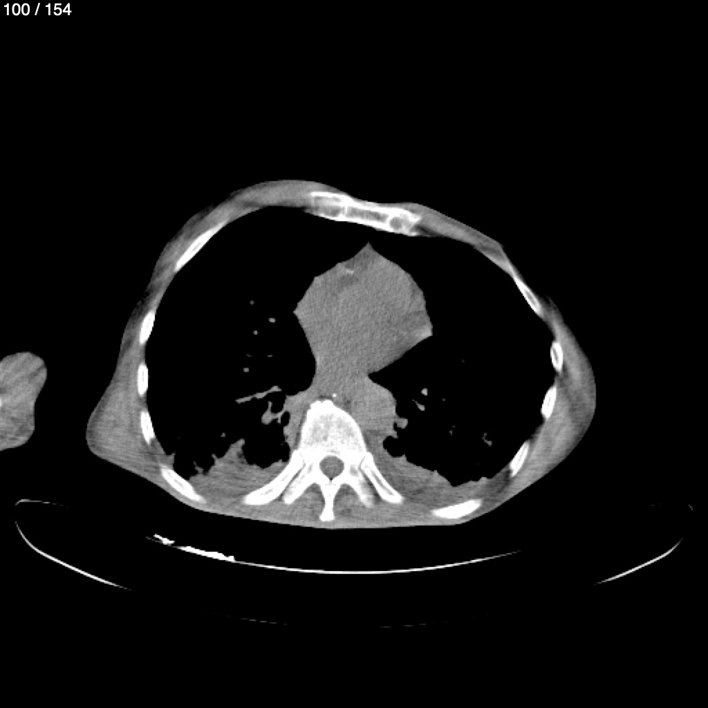
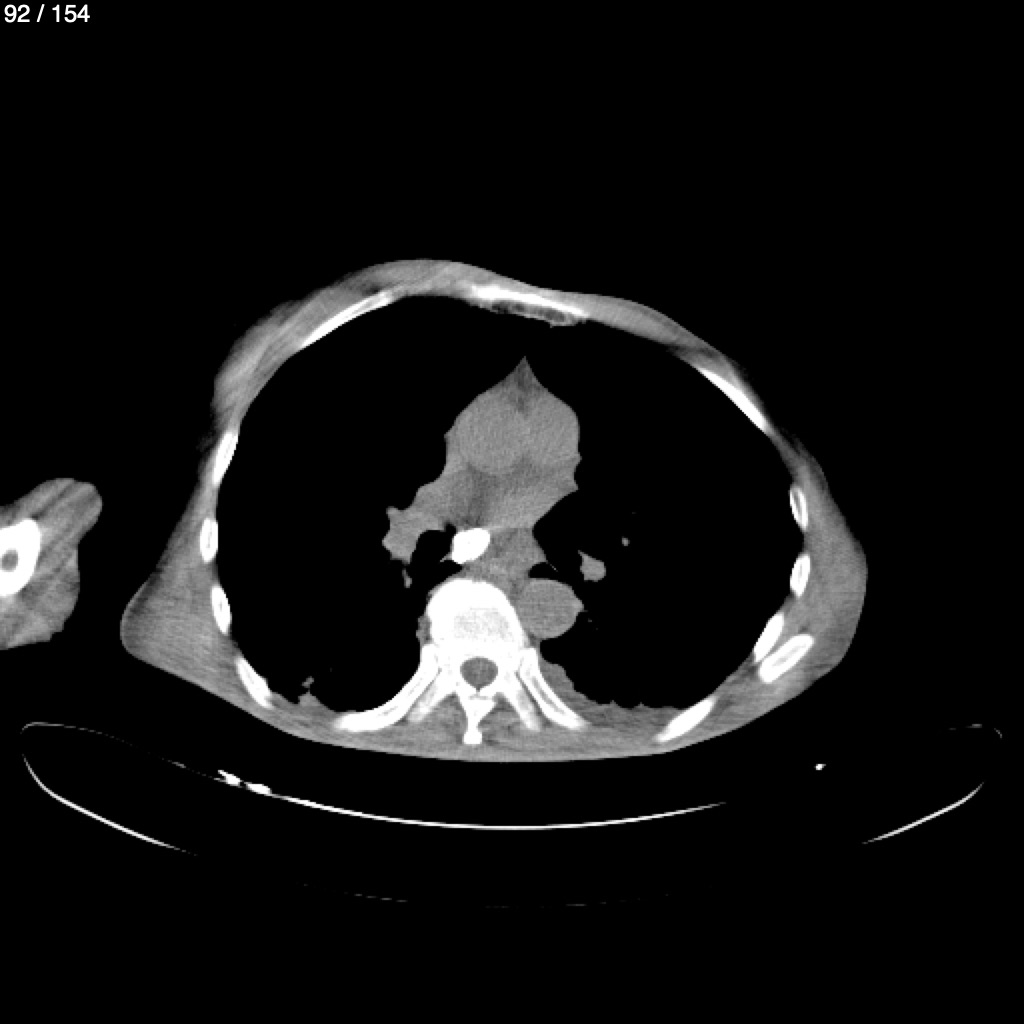
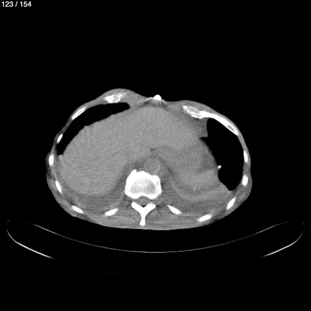
Francisco Javier Merida Mayorga - Tórax Torax_Syc (Adulto)
Next Series
Show as Sequence