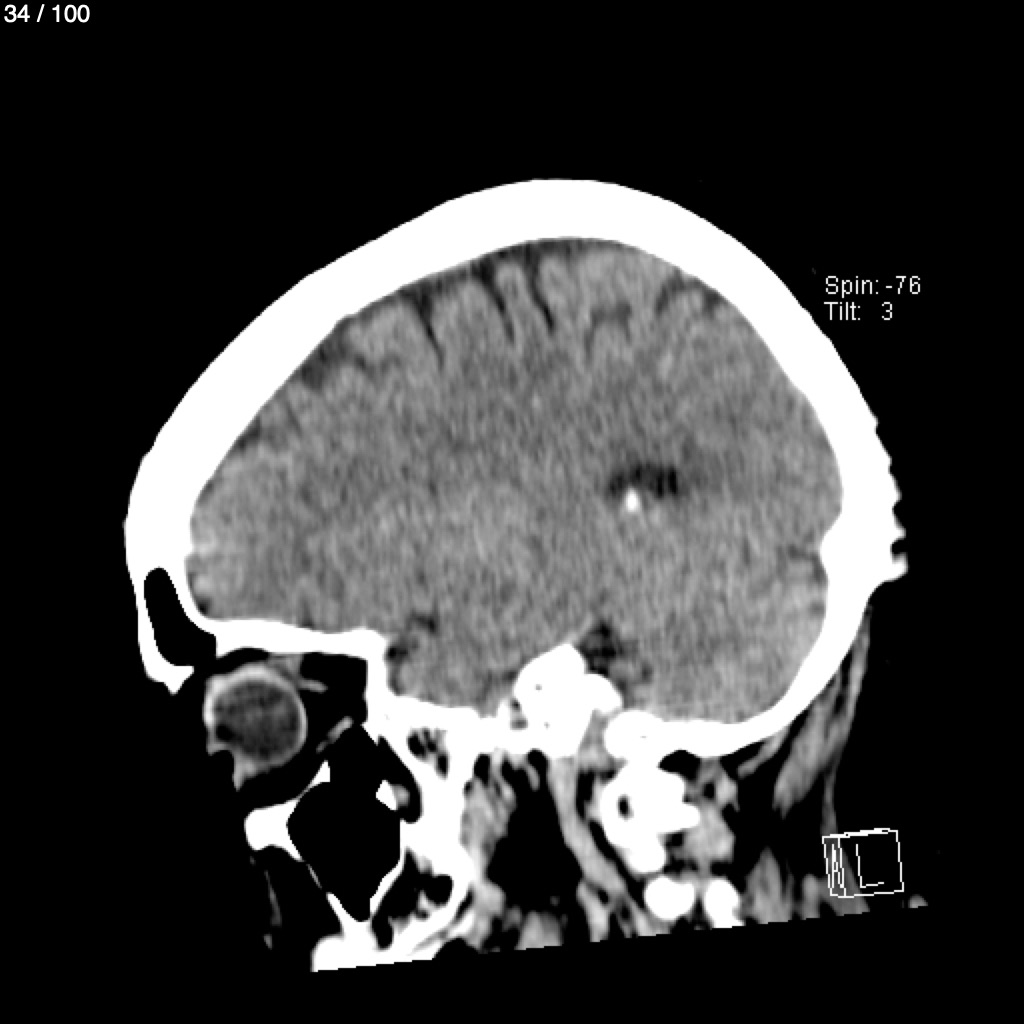
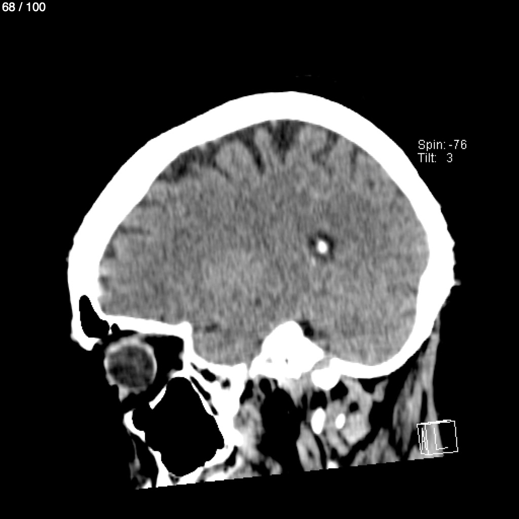
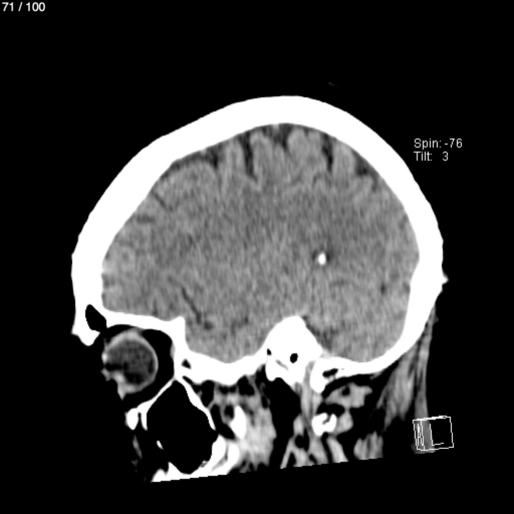
Home U​r​s​u​l​a​ ​R​a​m​o​s​ ​V​e​n​t​u​r​a​ ​-​ ​C​a​b​e​z​a​ ​C​r​a​n​e​o​_​S​y​c​ ​(​A​d​u​l​t​o​)