HUIXTLA
ESCUINTLA
AKISHINO
AKISHINO2 USG
ESPECIALIDADES
Home
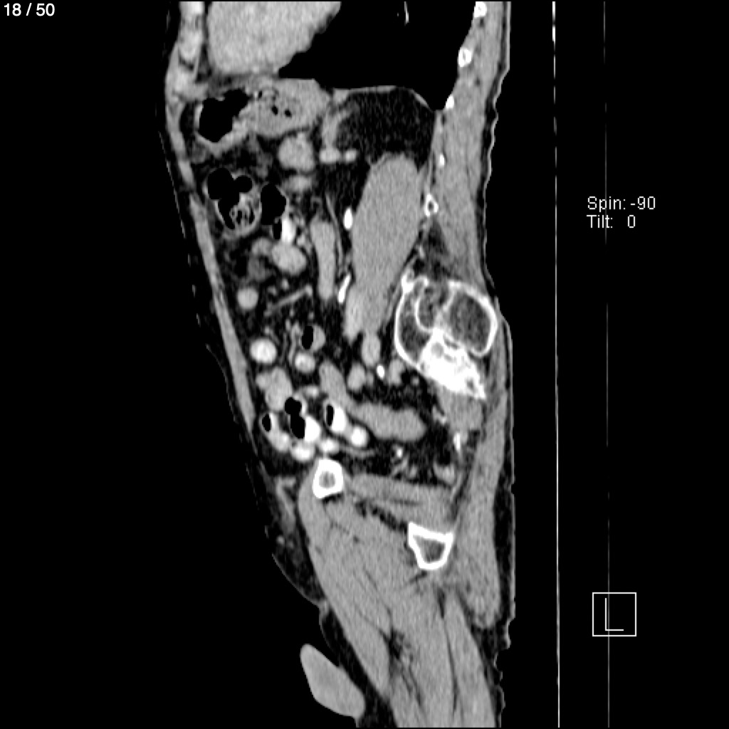
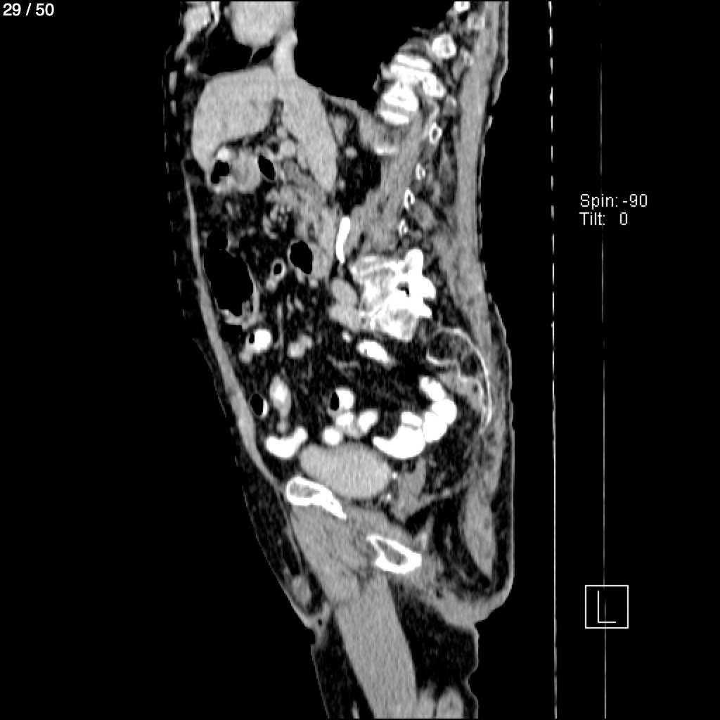
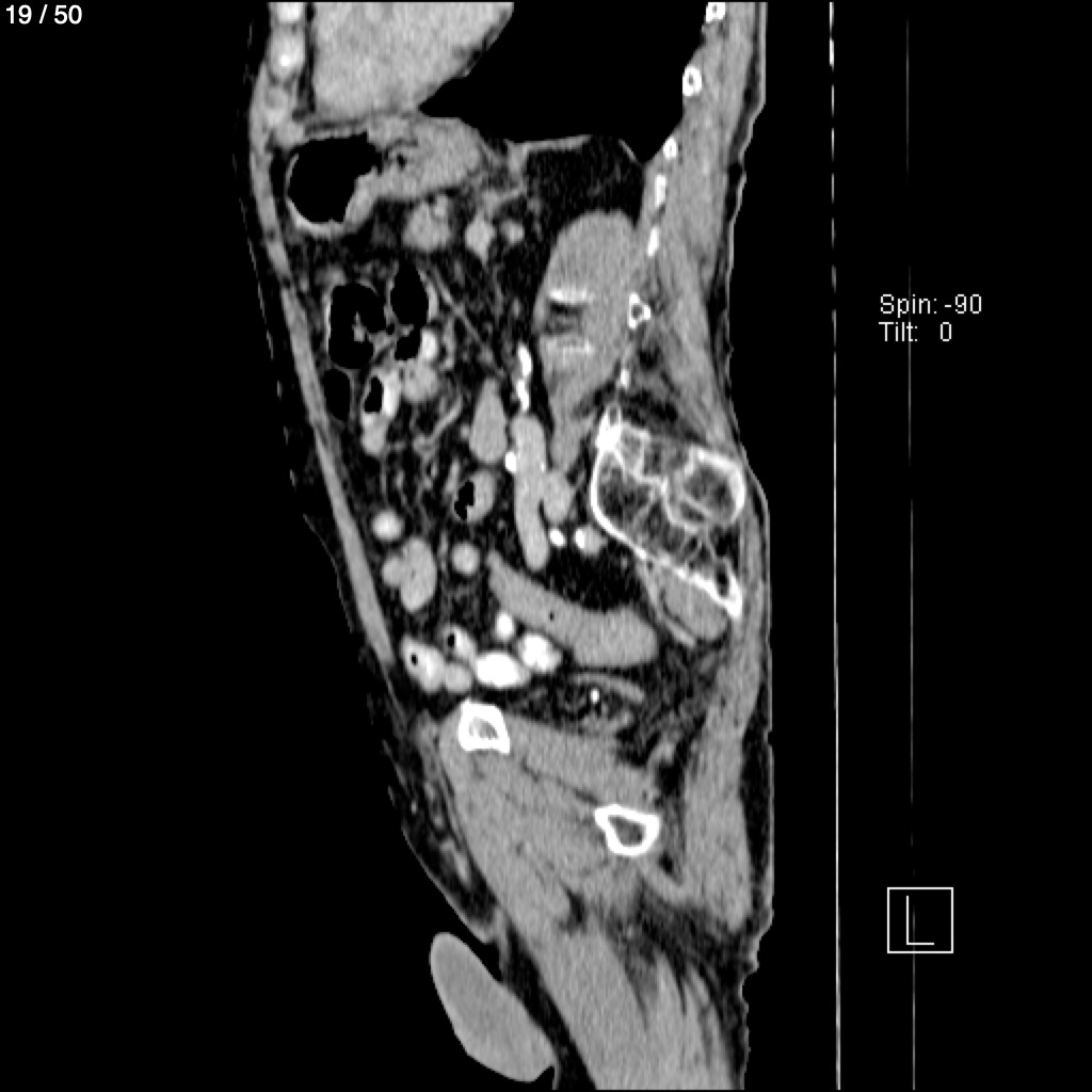
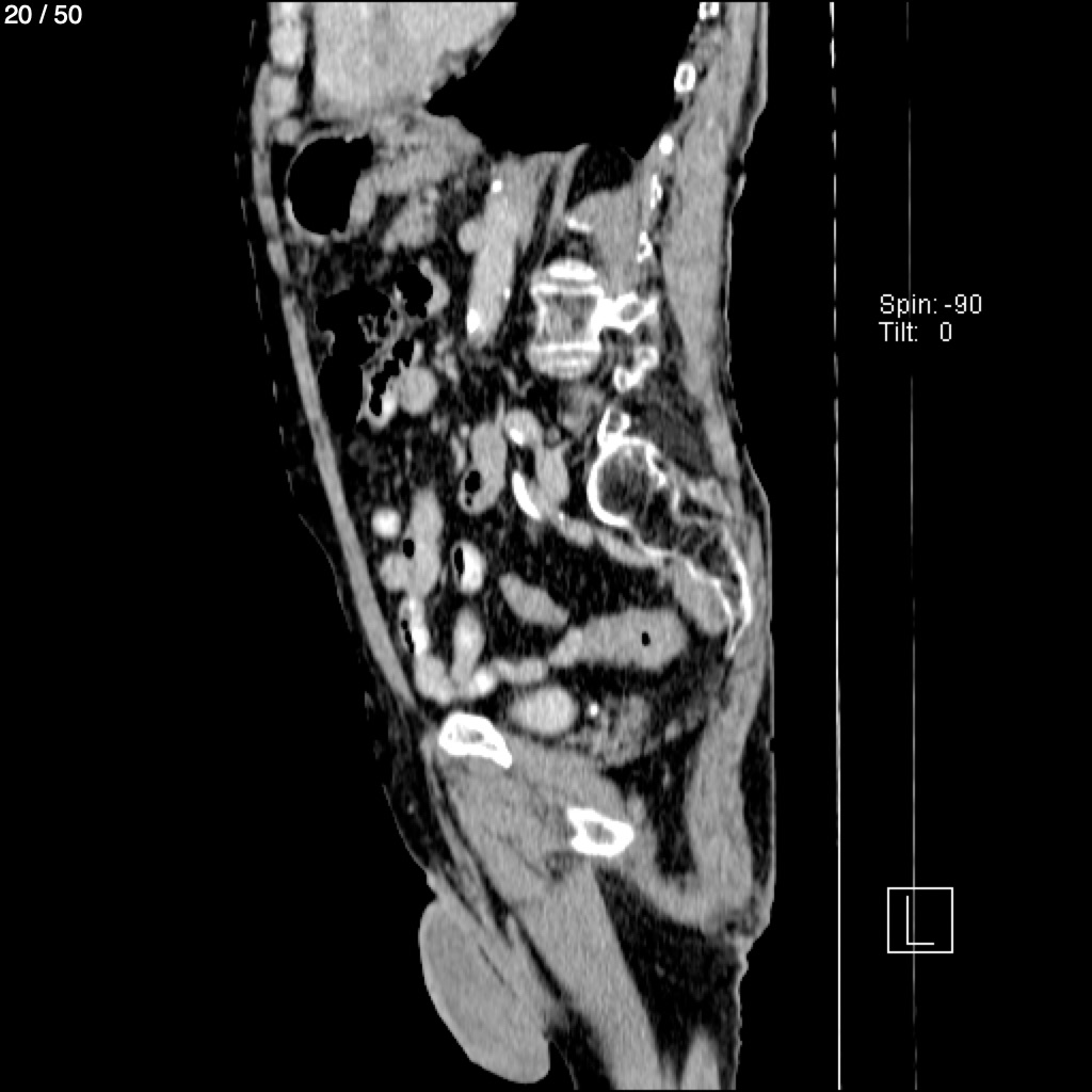
Armando Merida Mejia - Abdomen Toracoabdominasyclu (Adulto)
Previous Series
Next Series
Show as Sequence