HUIXTLA
ESCUINTLA
AKISHINO
AKISHINO2 USG
ESPECIALIDADES
Home
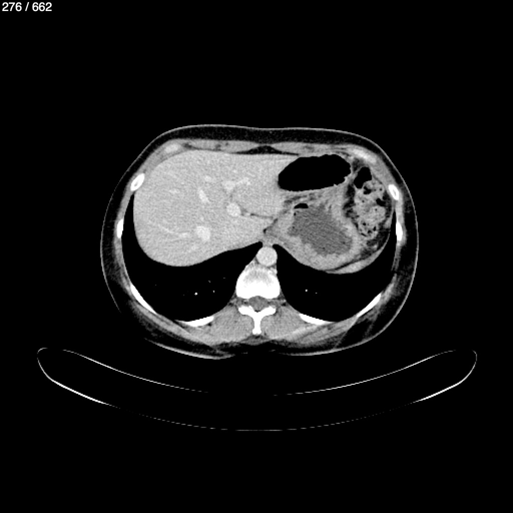
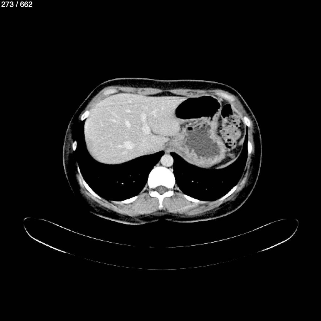
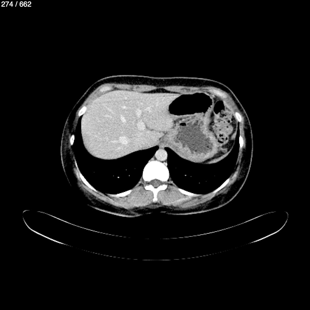
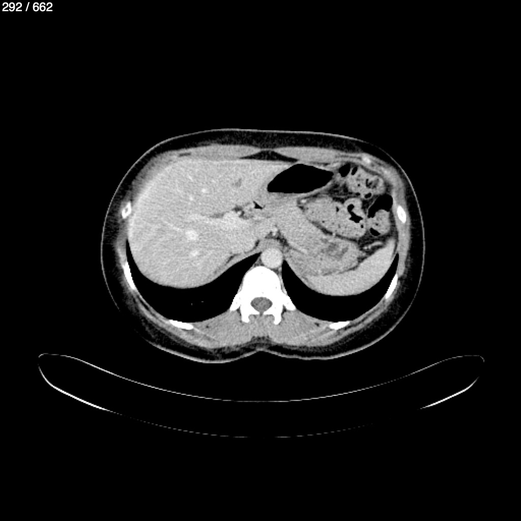
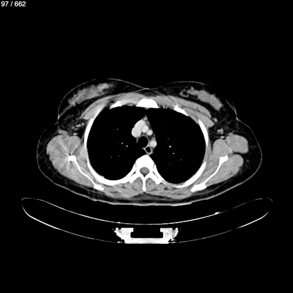
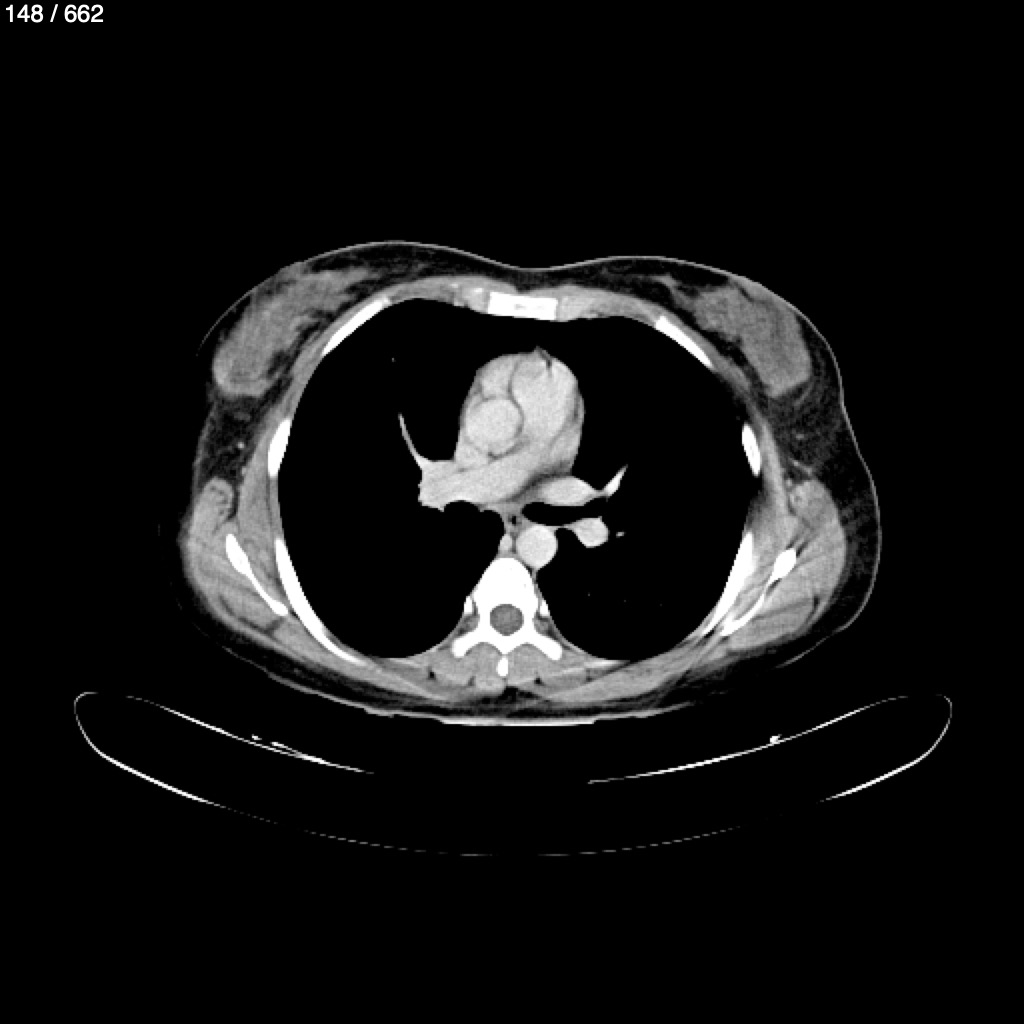
Suyapa Guadalupe Oseguera Martinez - Abdomen Toracoabdominasyclu (Adulto)
Previous Series
Next Series
Show as Sequence