HUIXTLA
ESCUINTLA
AKISHINO
AKISHINO2 USG
ESPECIALIDADES
Home
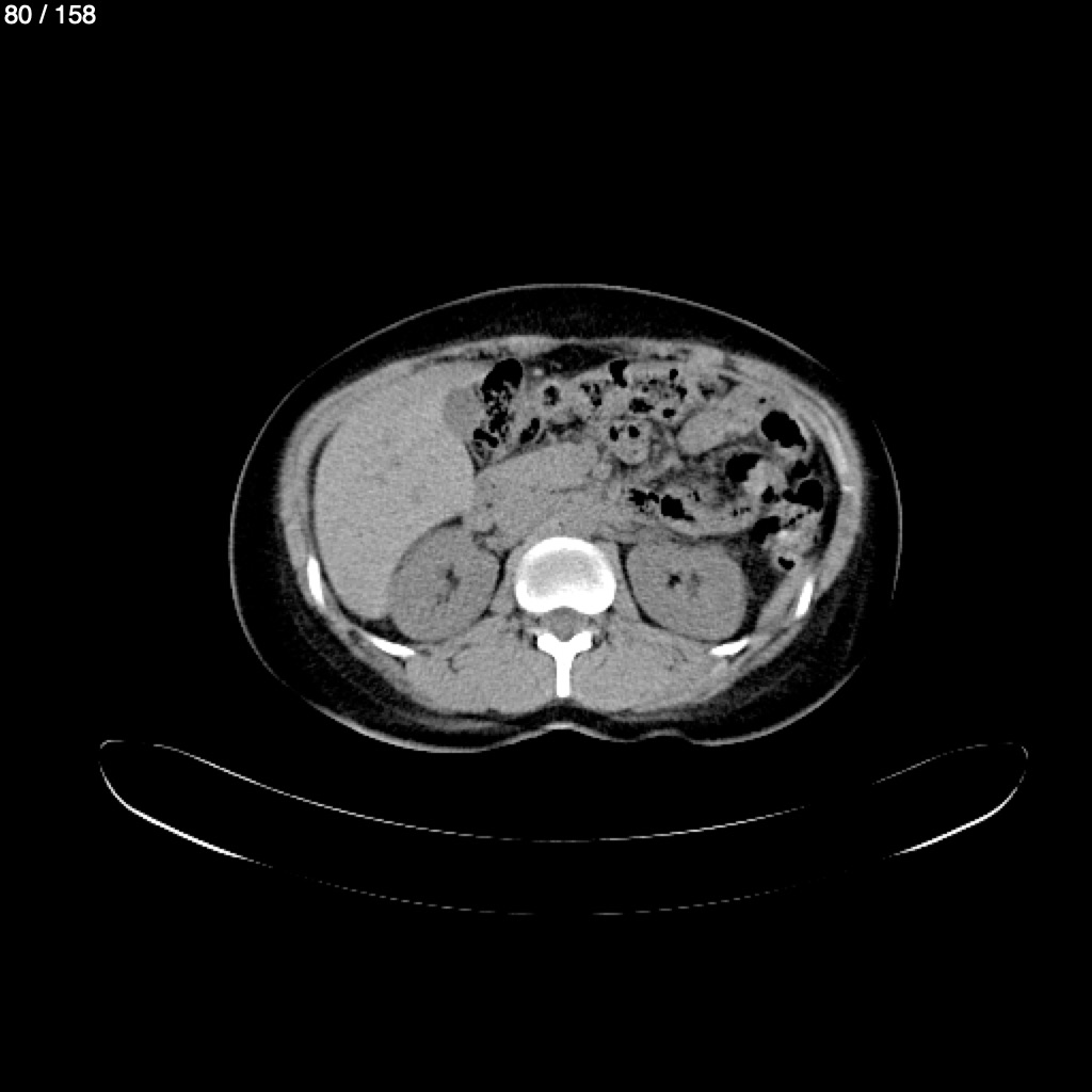
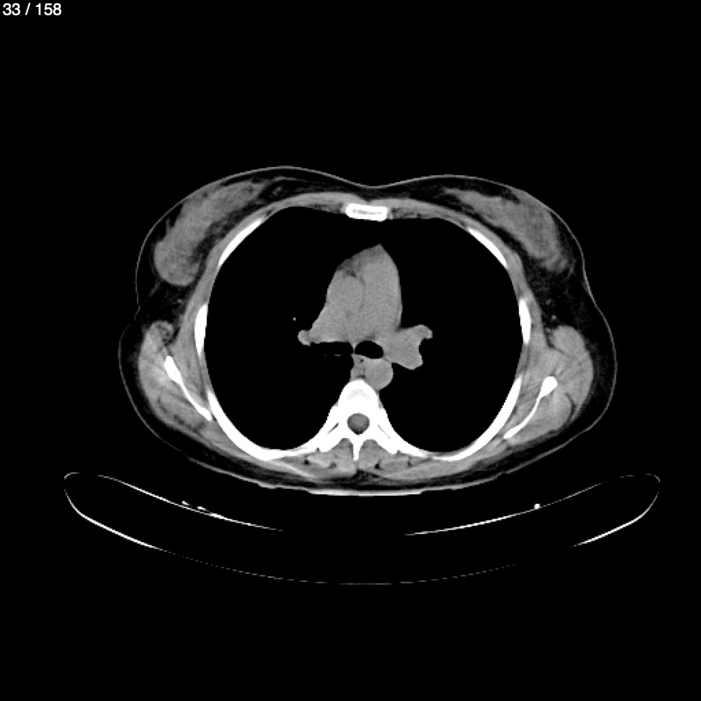
Suyapa Guadalupe Oseguera Martinez - Abdomen Toracoabdominasyclu (Adulto)
Next Series
Show as Sequence