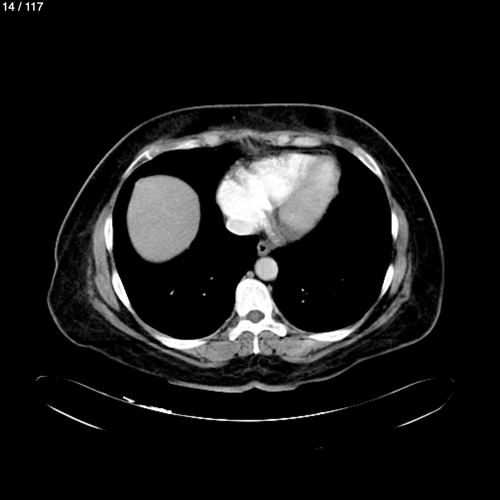
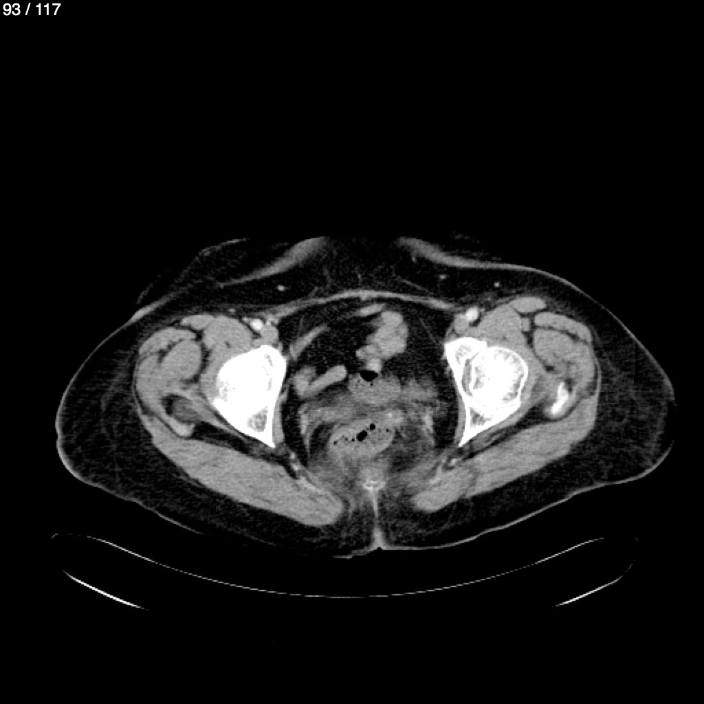
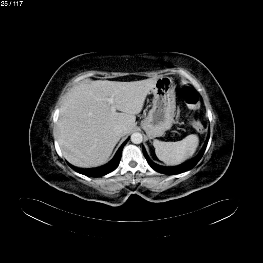
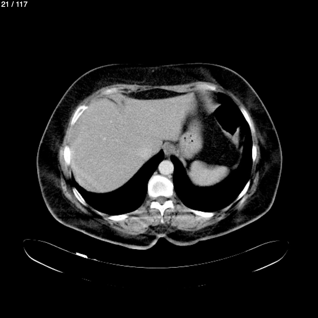
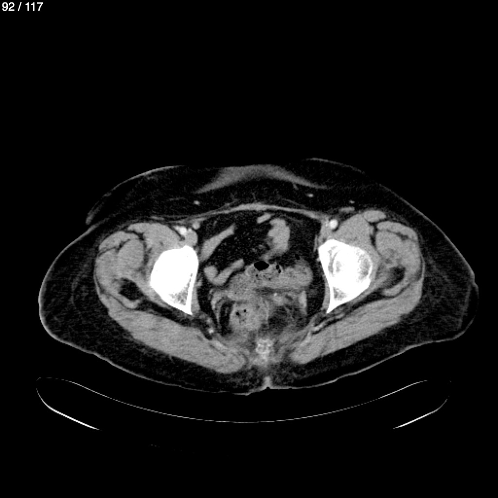
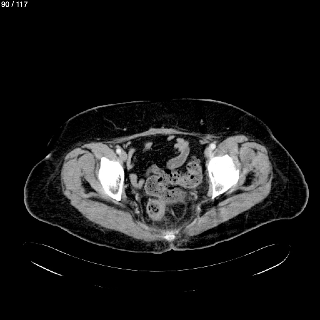
Home A​n​t​o​n​i​a​ ​C​a​s​t​r​o​ ​A​l​v​a​r​e​z​ ​-​ ​A​b​d​o​m​e​n​ ​A​b​d​o​m​e​n​_​S​y​c​ ​(​A​d​u​l​t​o​)