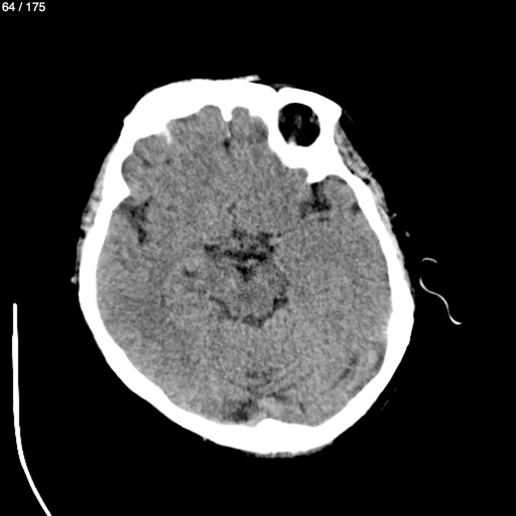
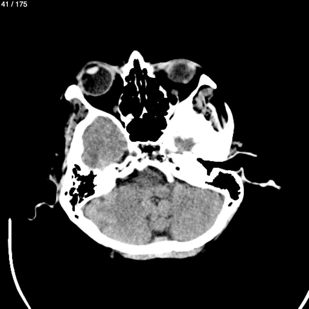
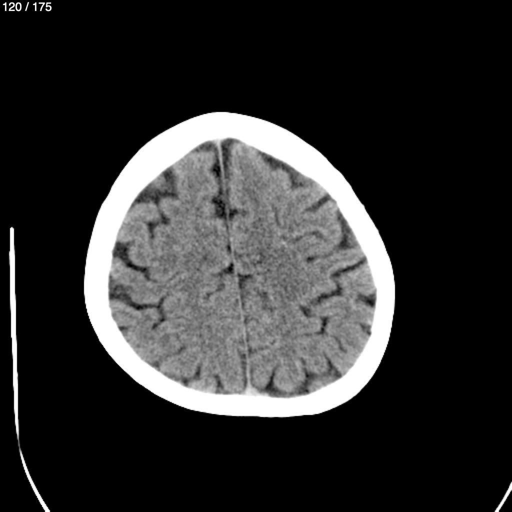
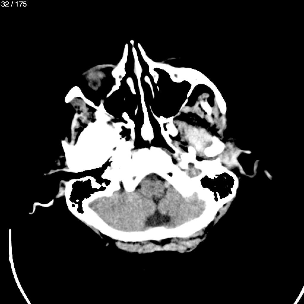
Home A​r​a​c​e​l​i​ ​H​e​r​n​a​n​d​e​z​ ​M​a​r​t​i​n​e​z​ ​-​ ​C​a​b​e​z​a​ ​S​i​m​p​l​e​_​C​r​a​n​e​o​ ​(​A​d​u​l​t​o​)