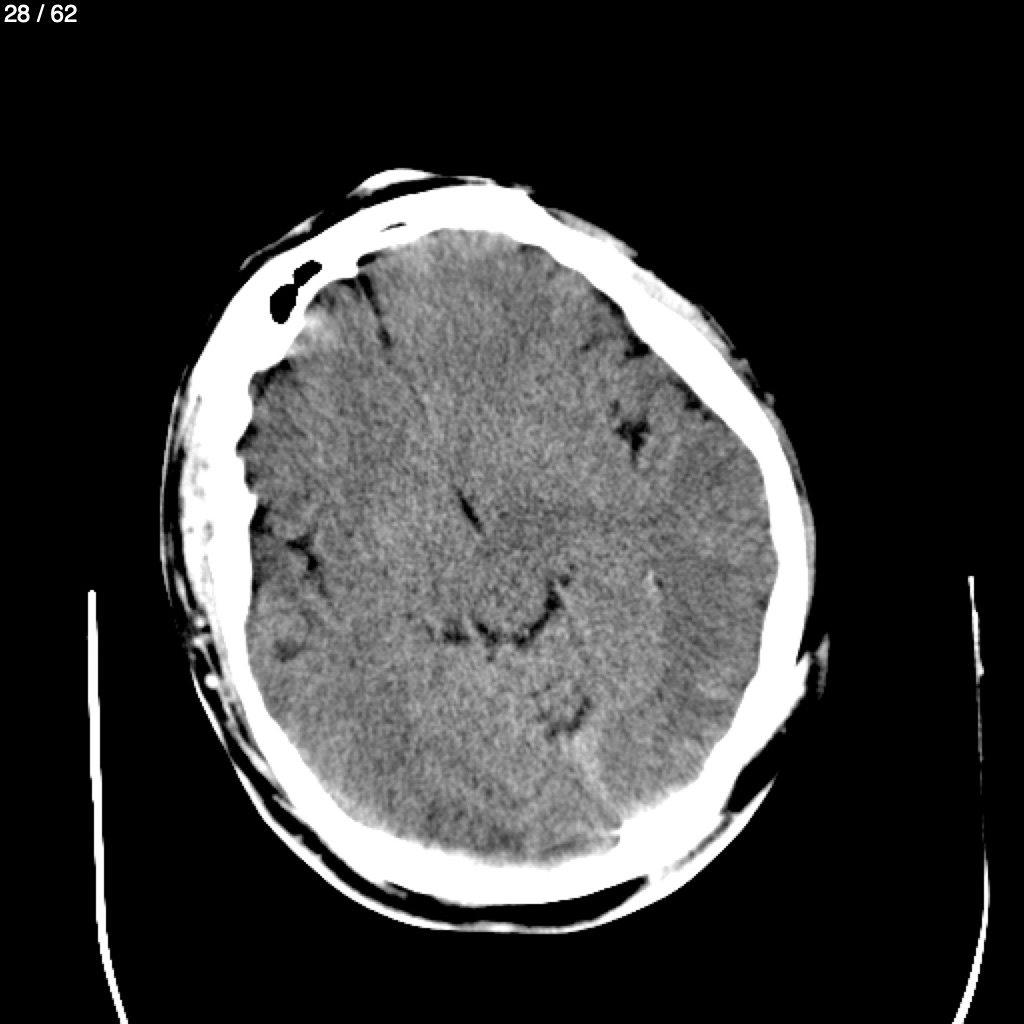
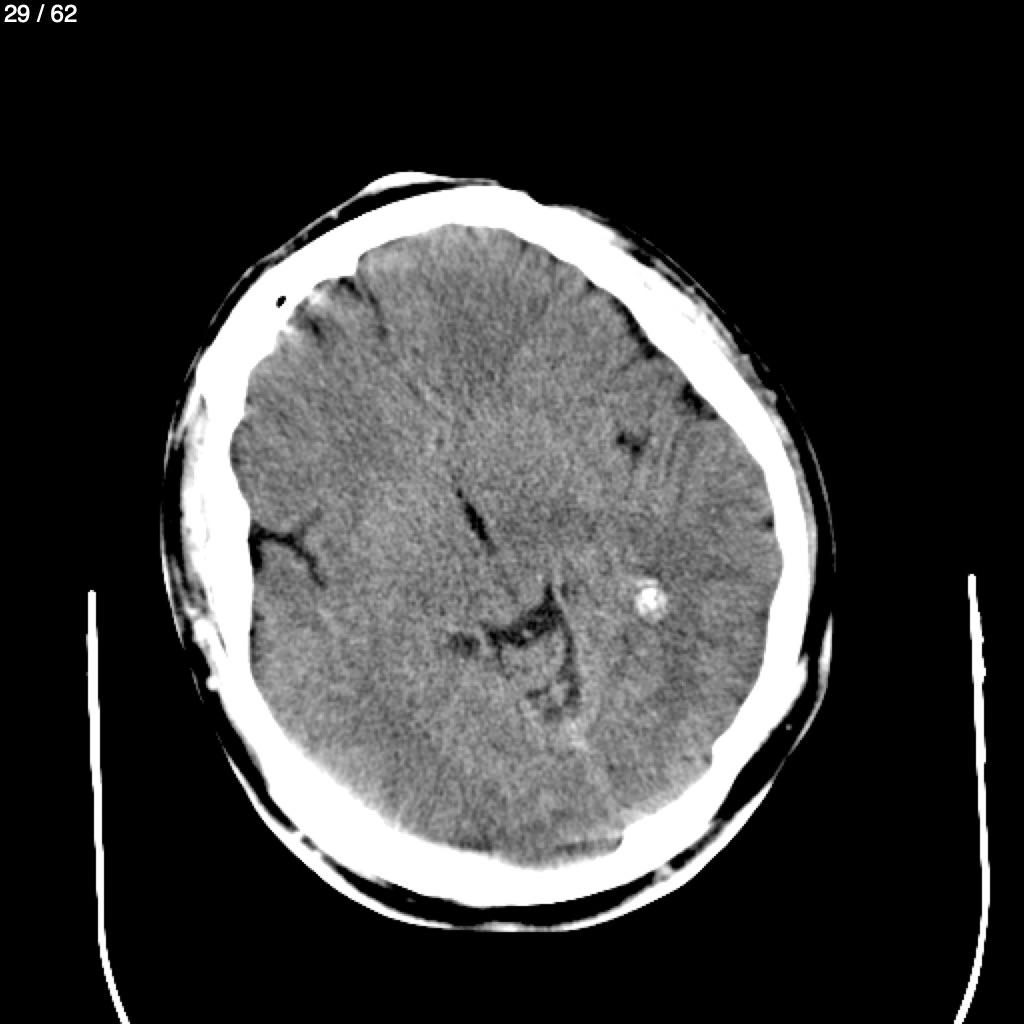
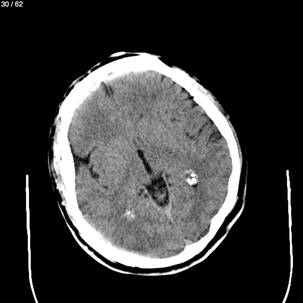
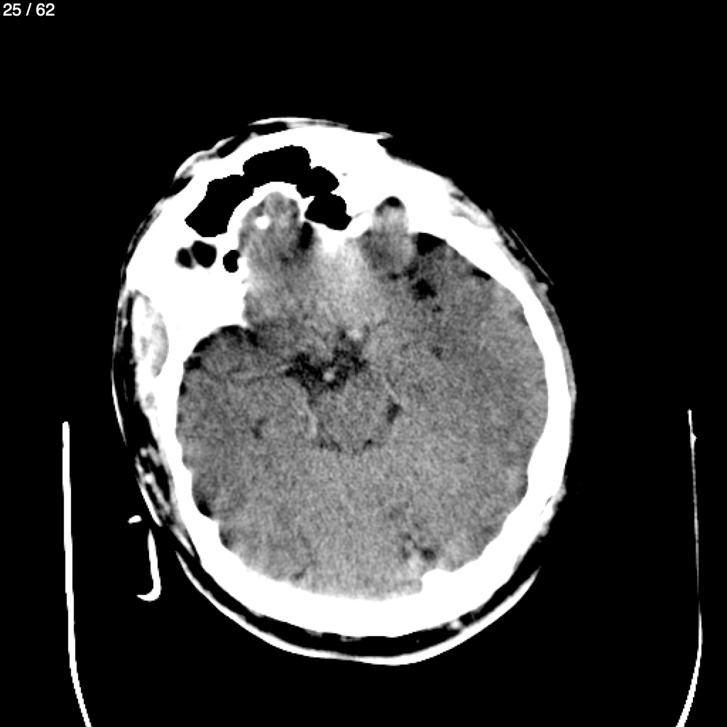
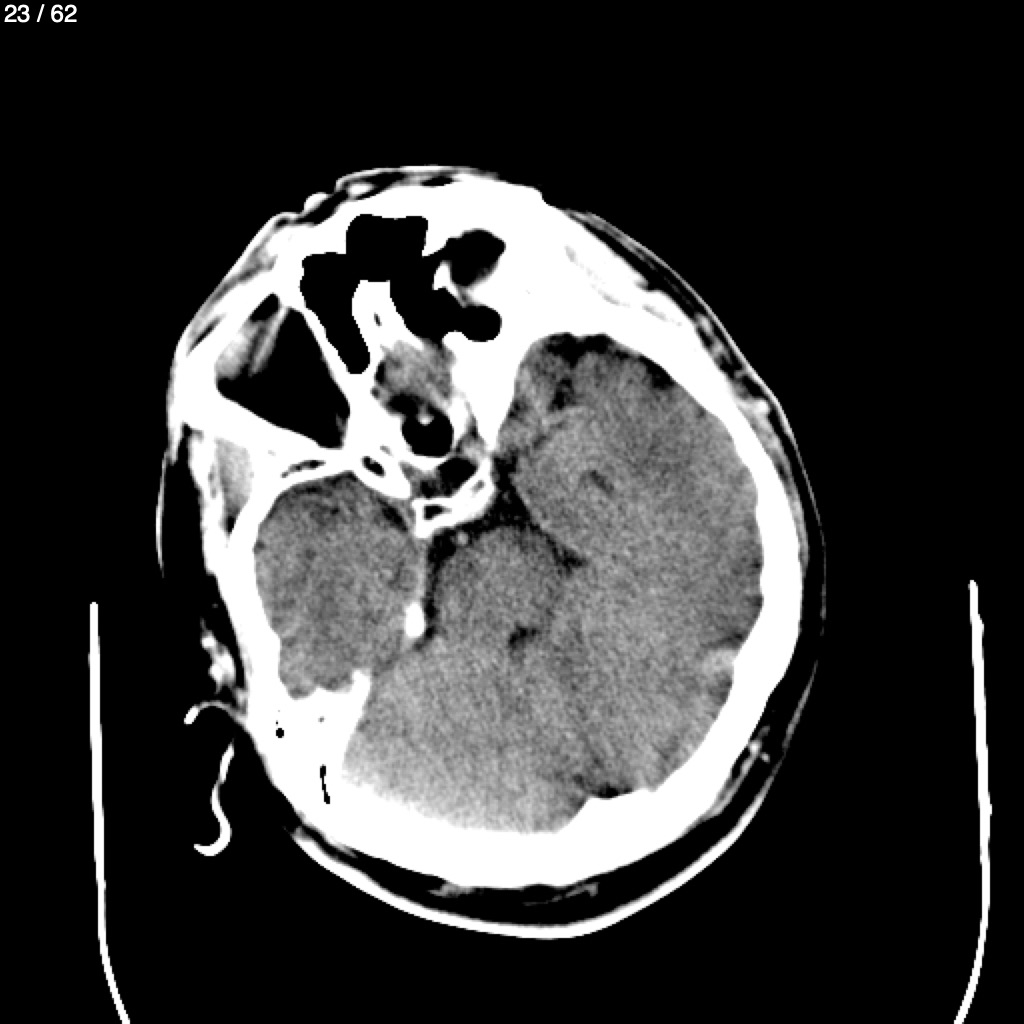
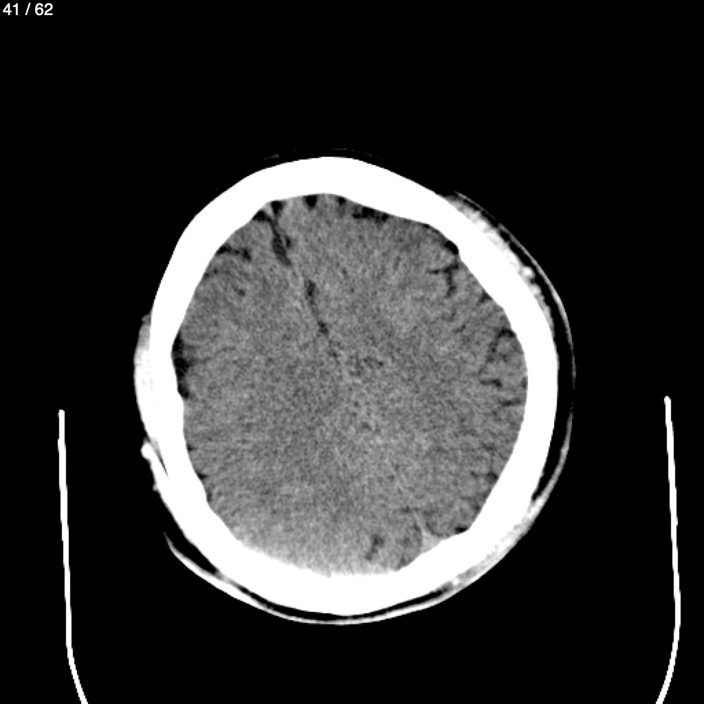
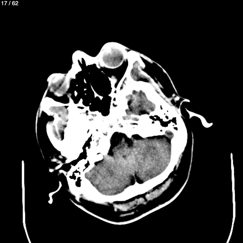
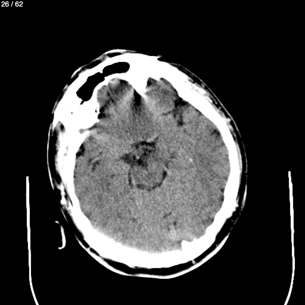
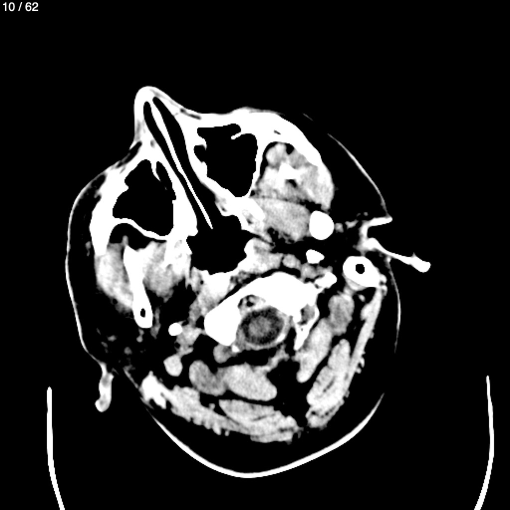
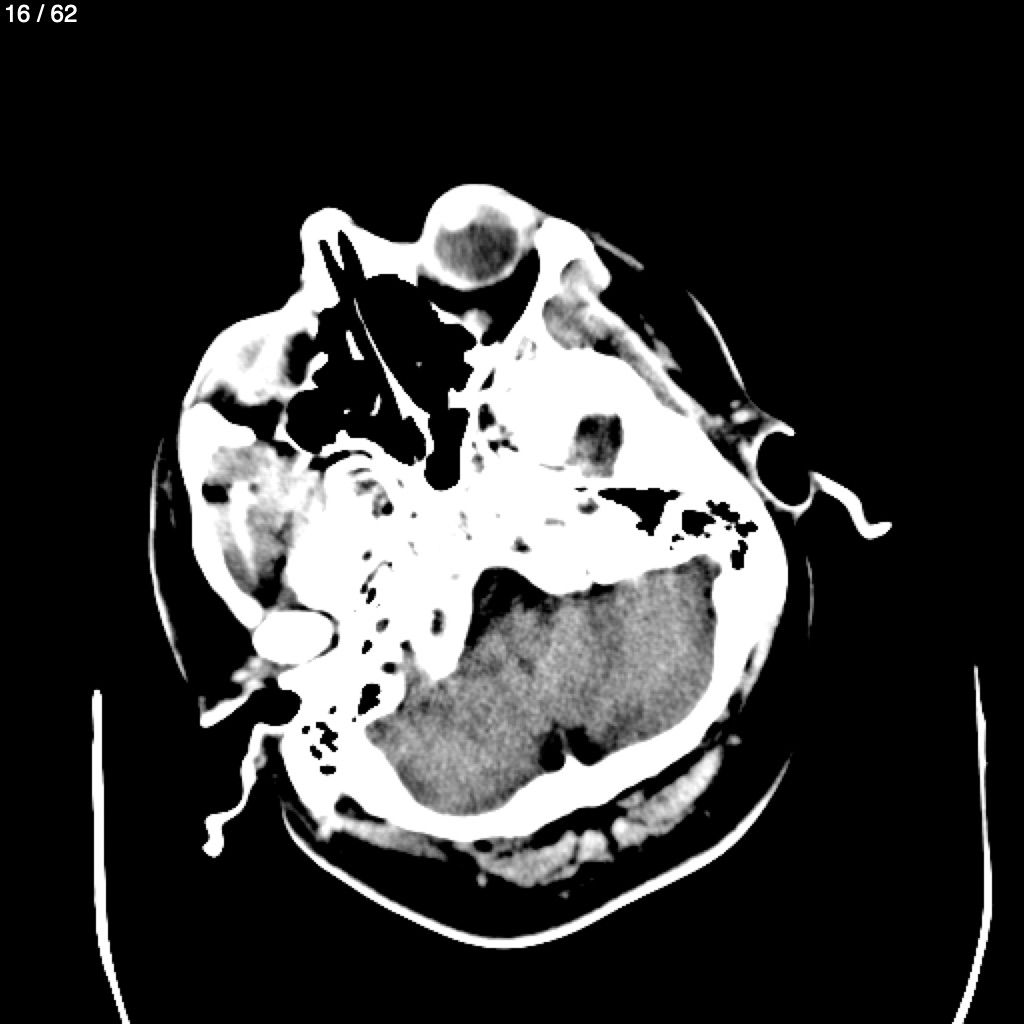
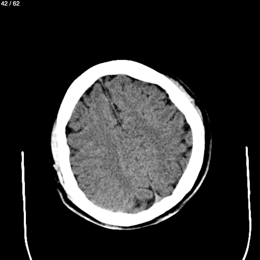
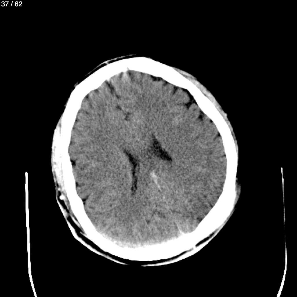
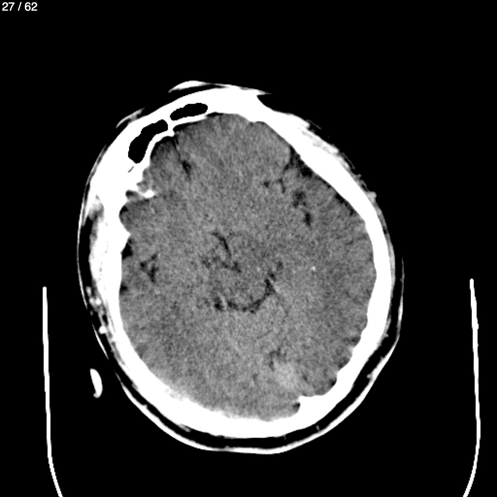
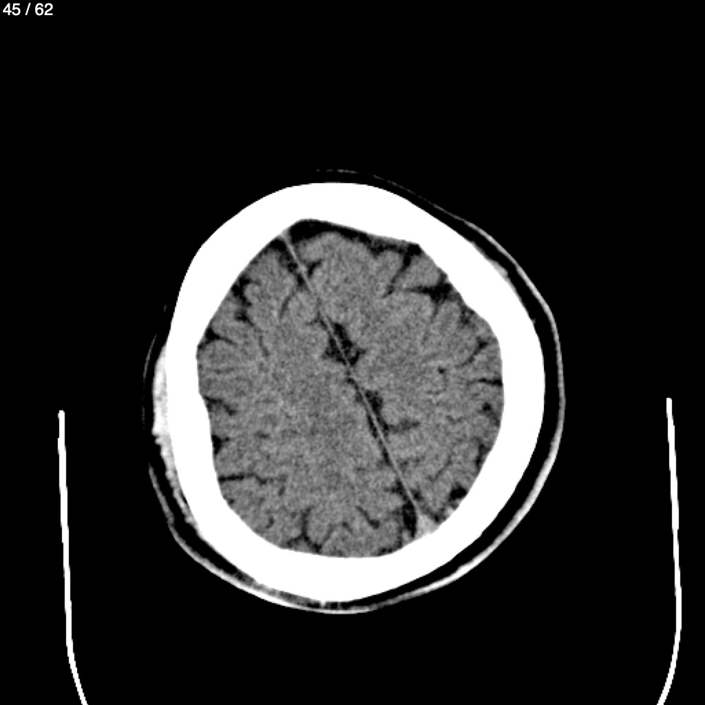
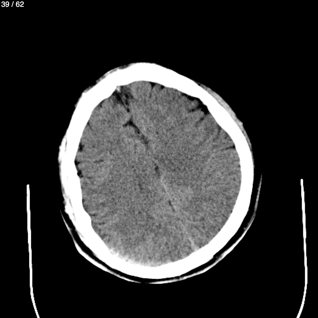
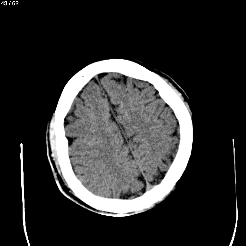
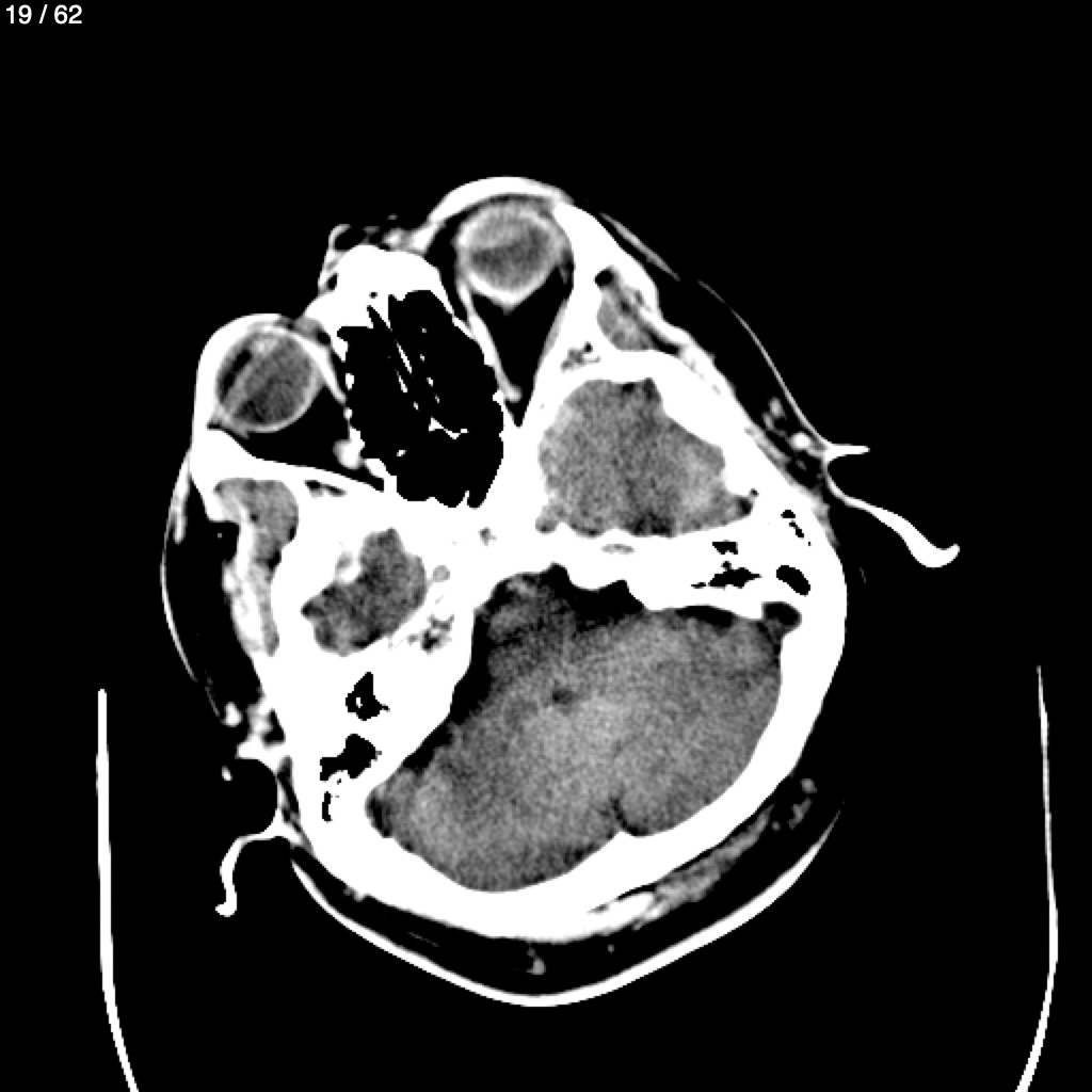
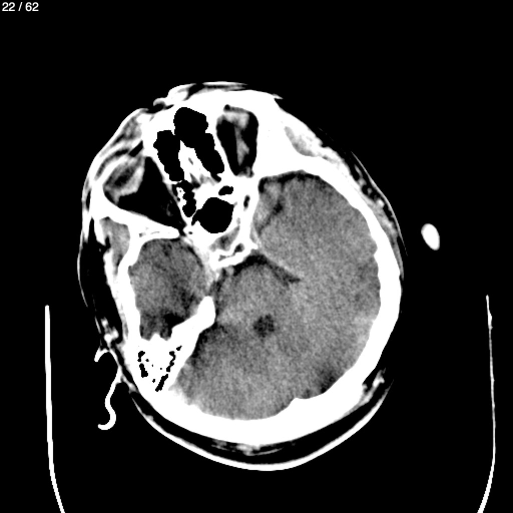
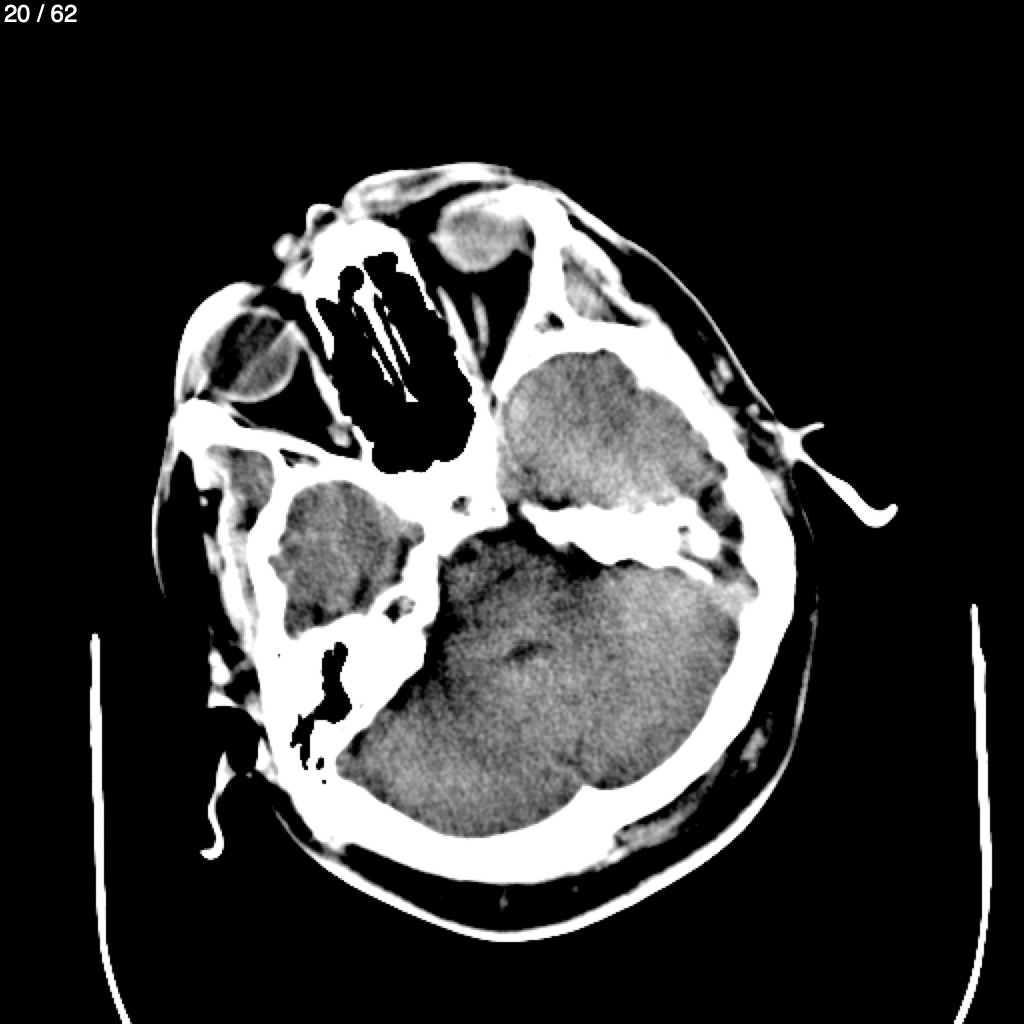
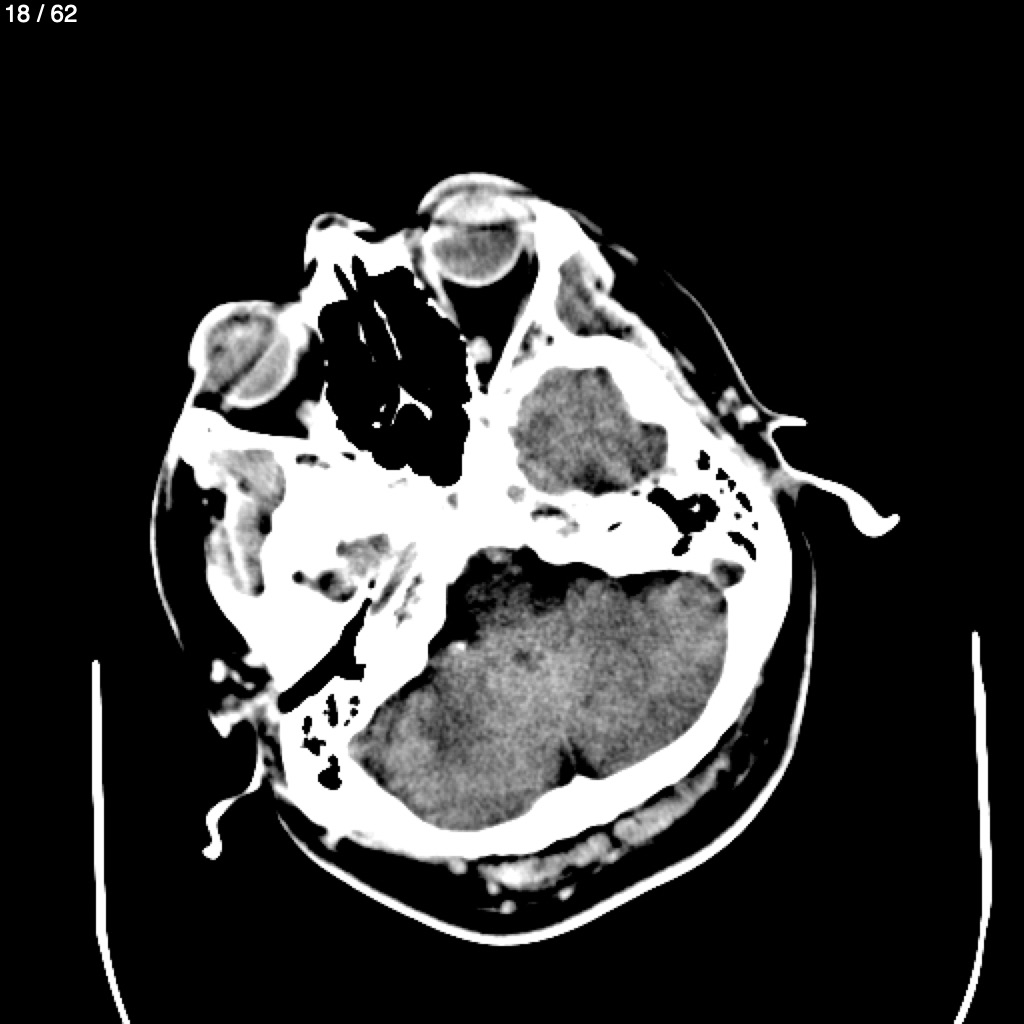
Home A​r​m​a​n​d​o​ ​J​a​v​i​e​r​ ​L​o​p​e​z​ ​A​l​f​a​r​o​ ​-​ ​C​a​b​e​z​a​ ​S​i​m​p​l​e​_​C​r​a​n​e​o​ ​(​A​d​u​l​t​o​)