HUIXTLA
ESCUINTLA
AKISHINO
AKISHINO2 USG
ESPECIALIDADES
Home
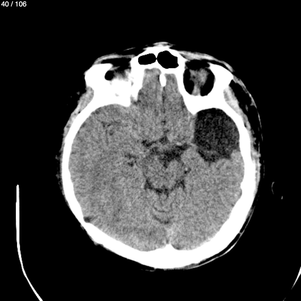
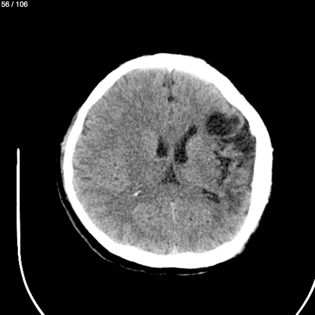
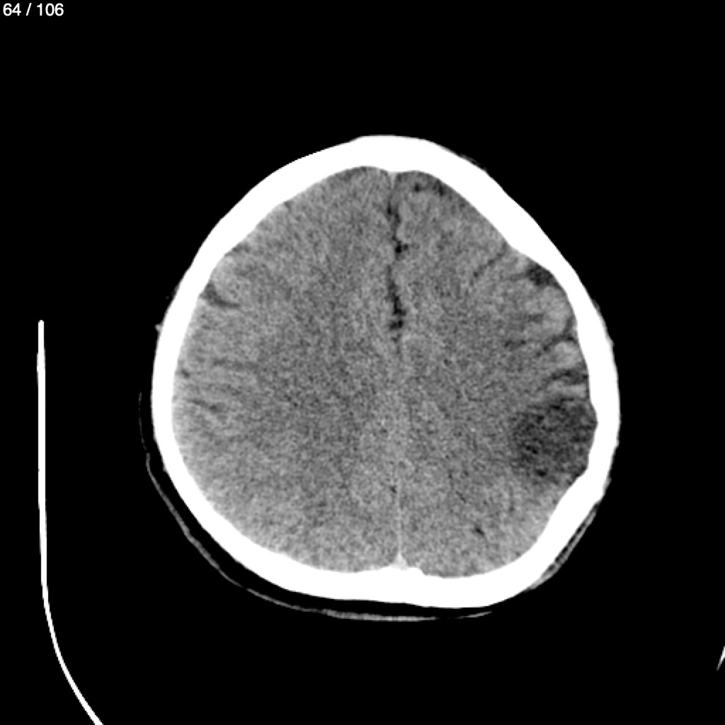
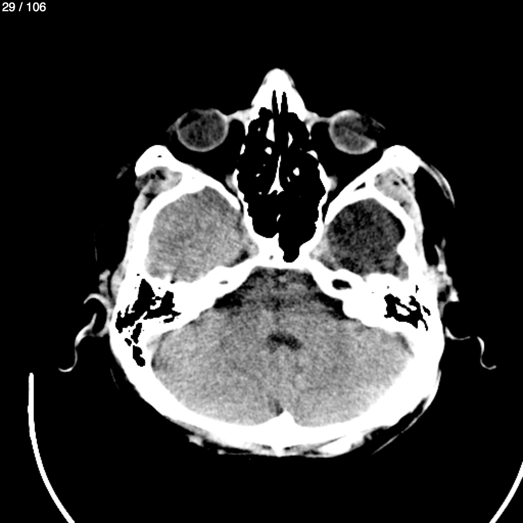
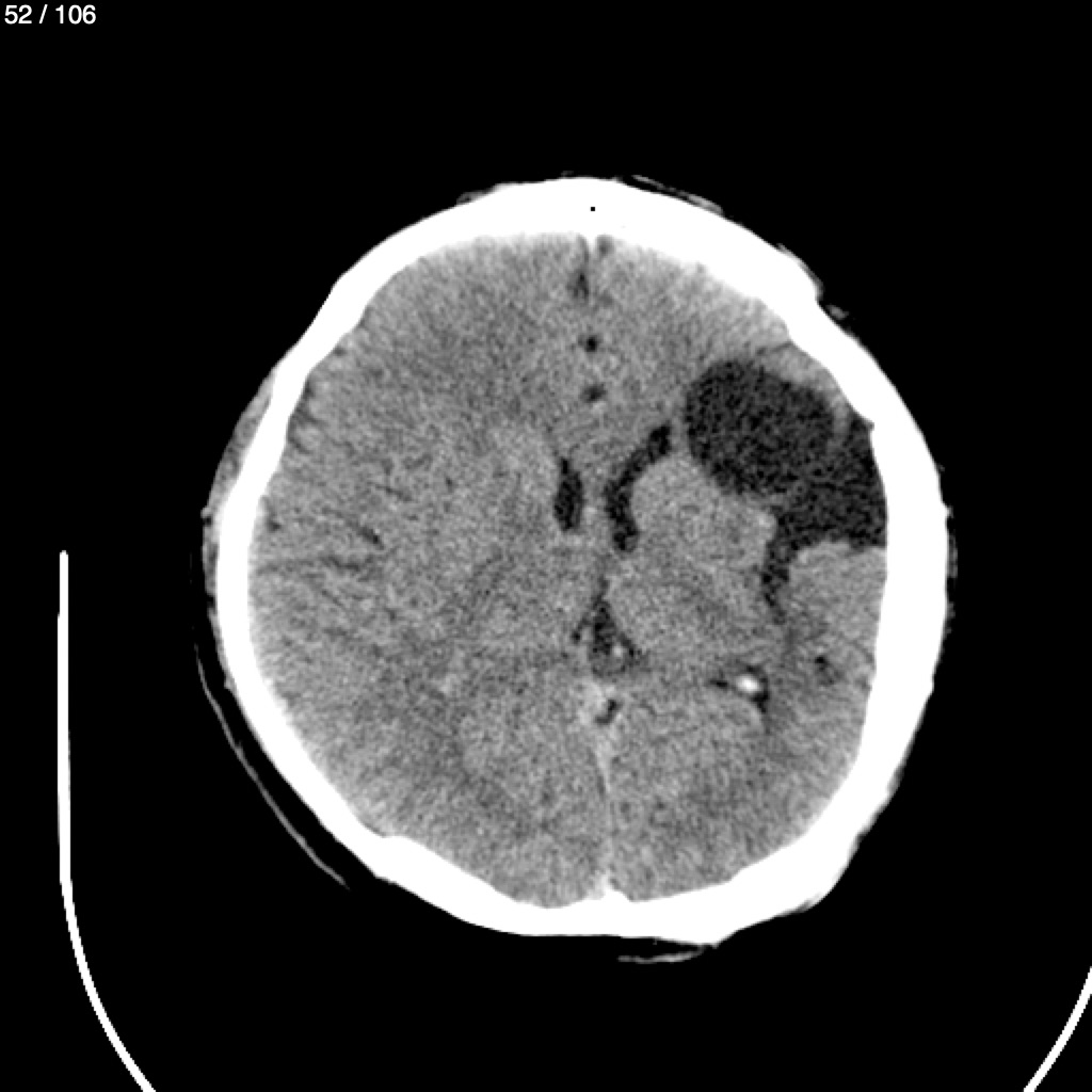
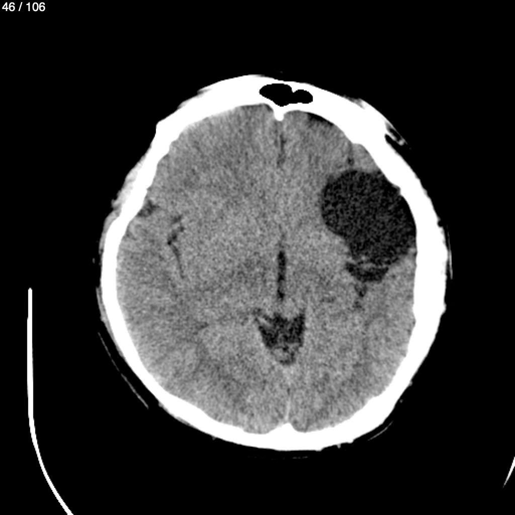
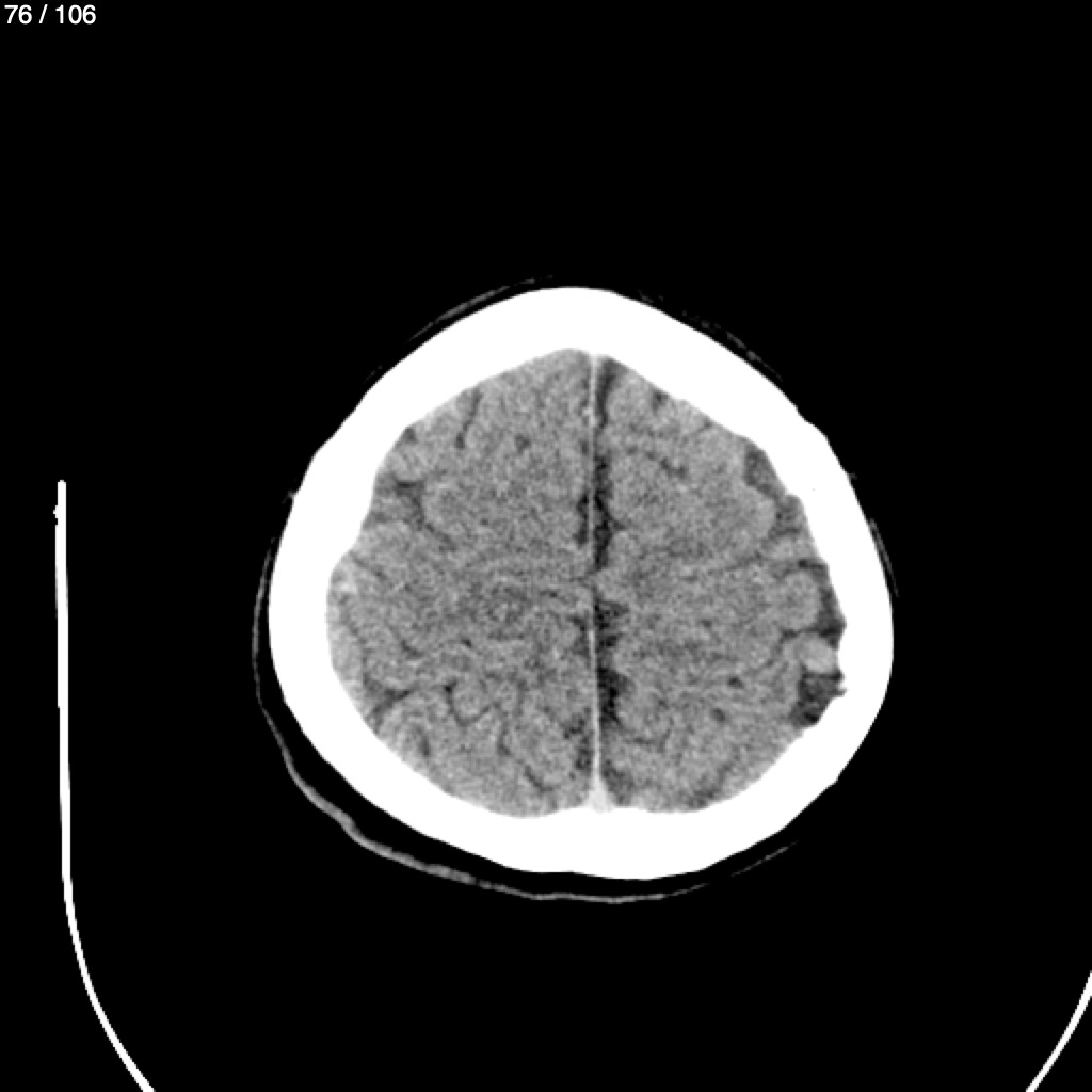
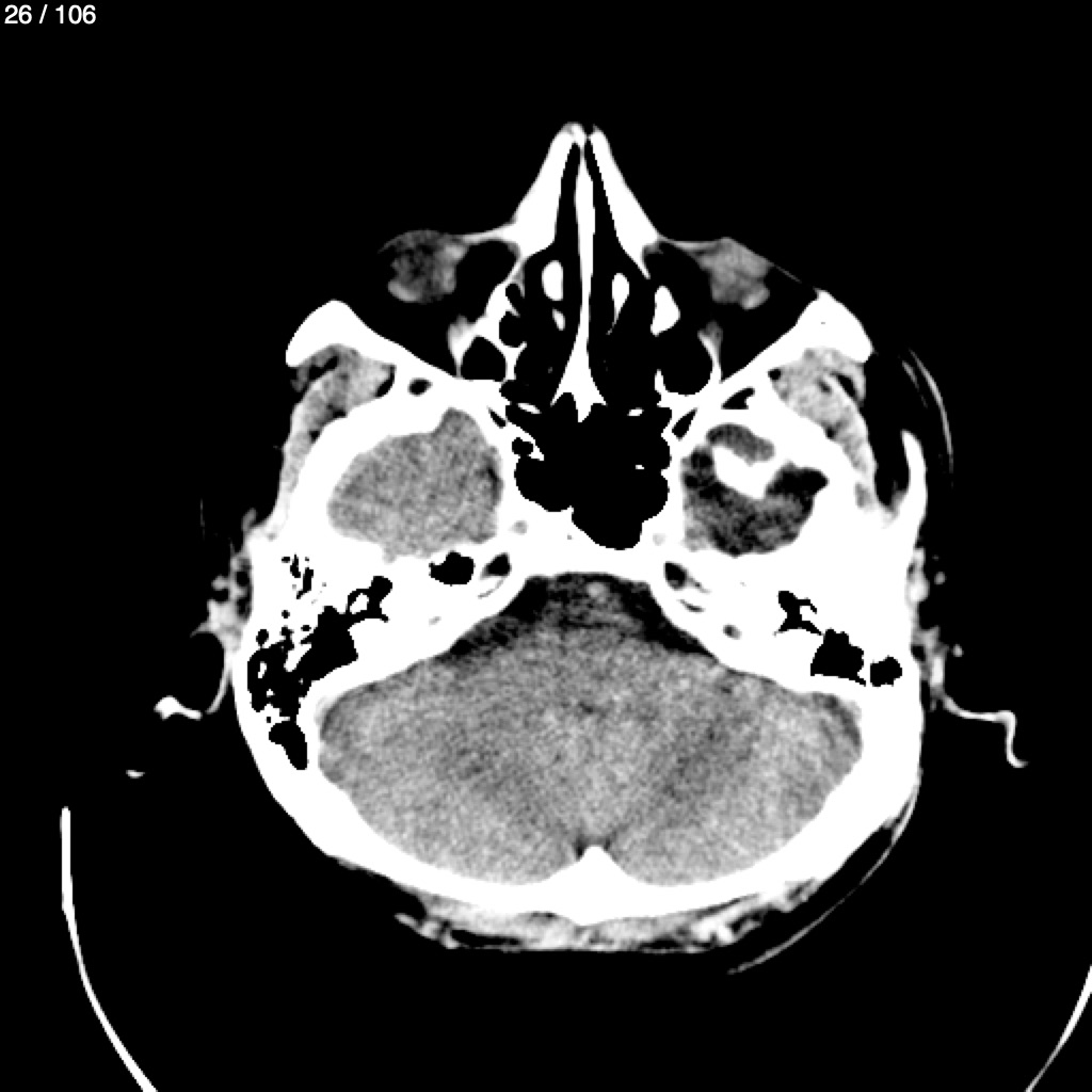
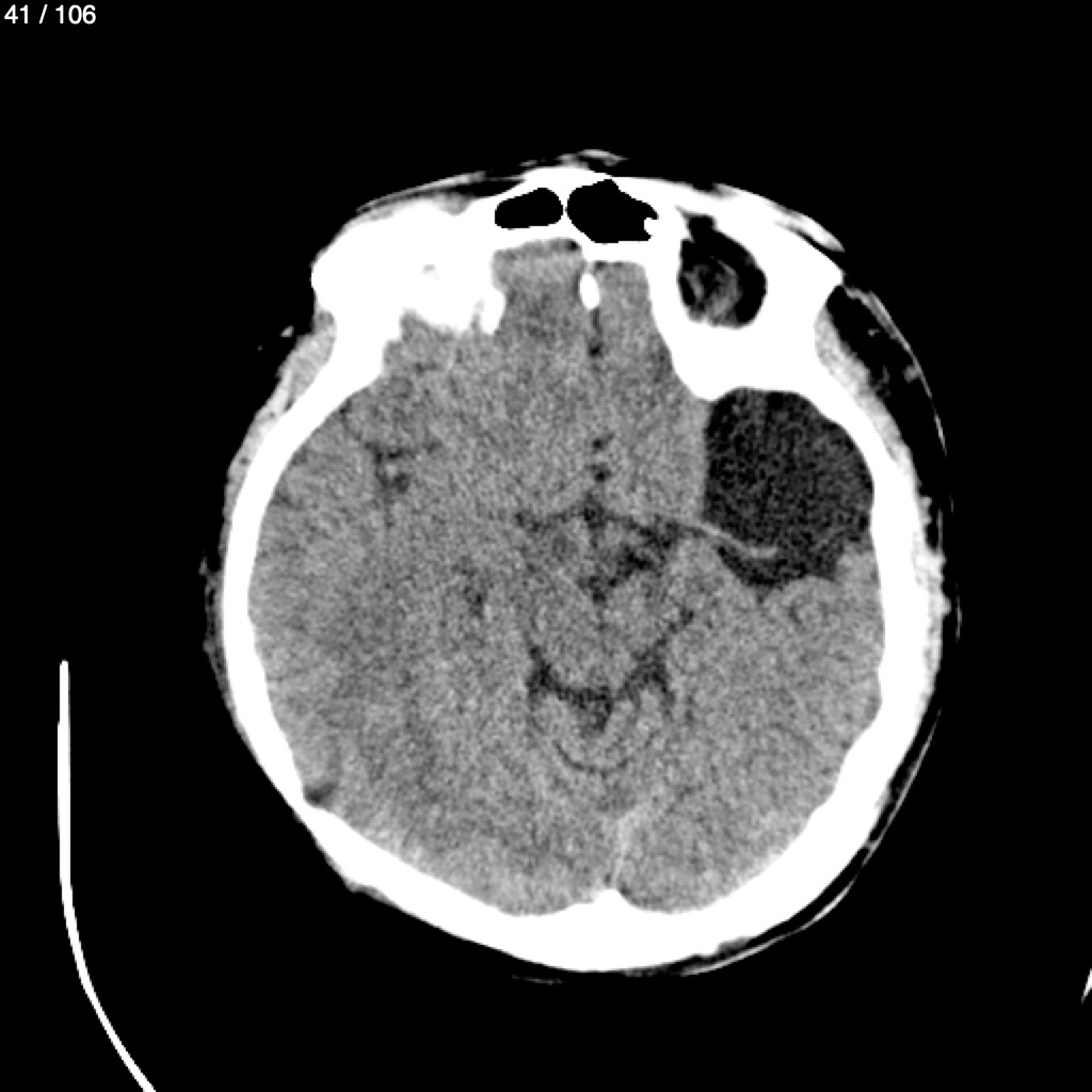
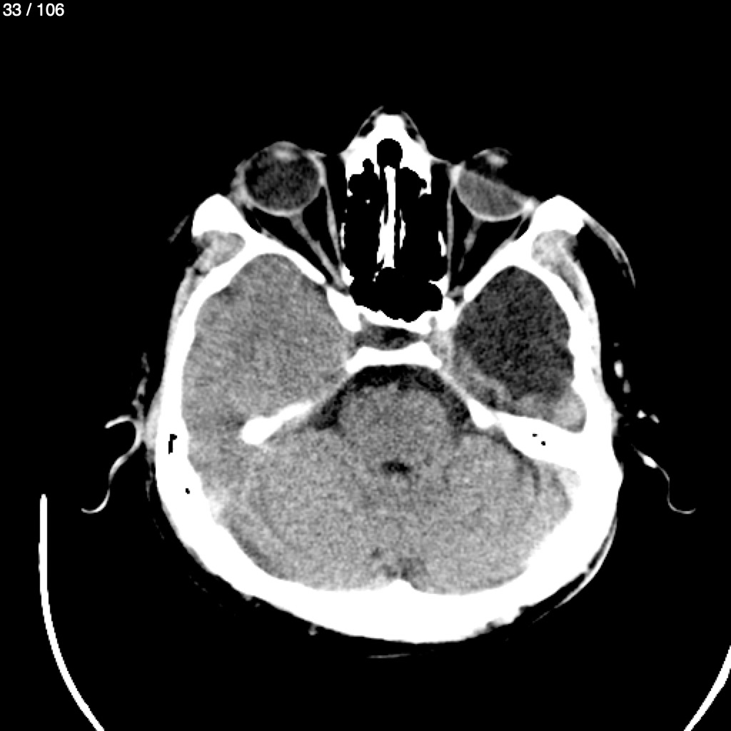
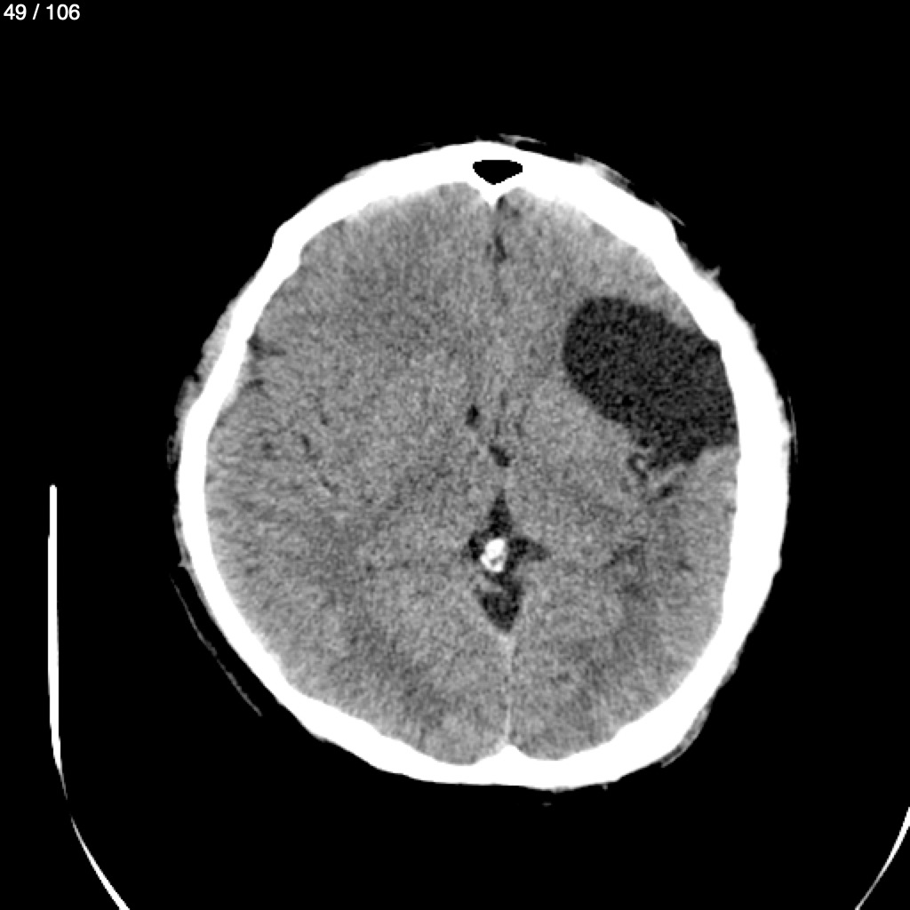
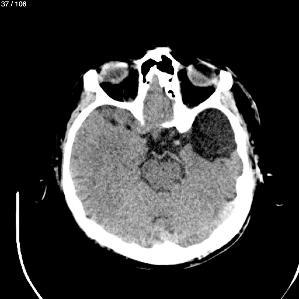
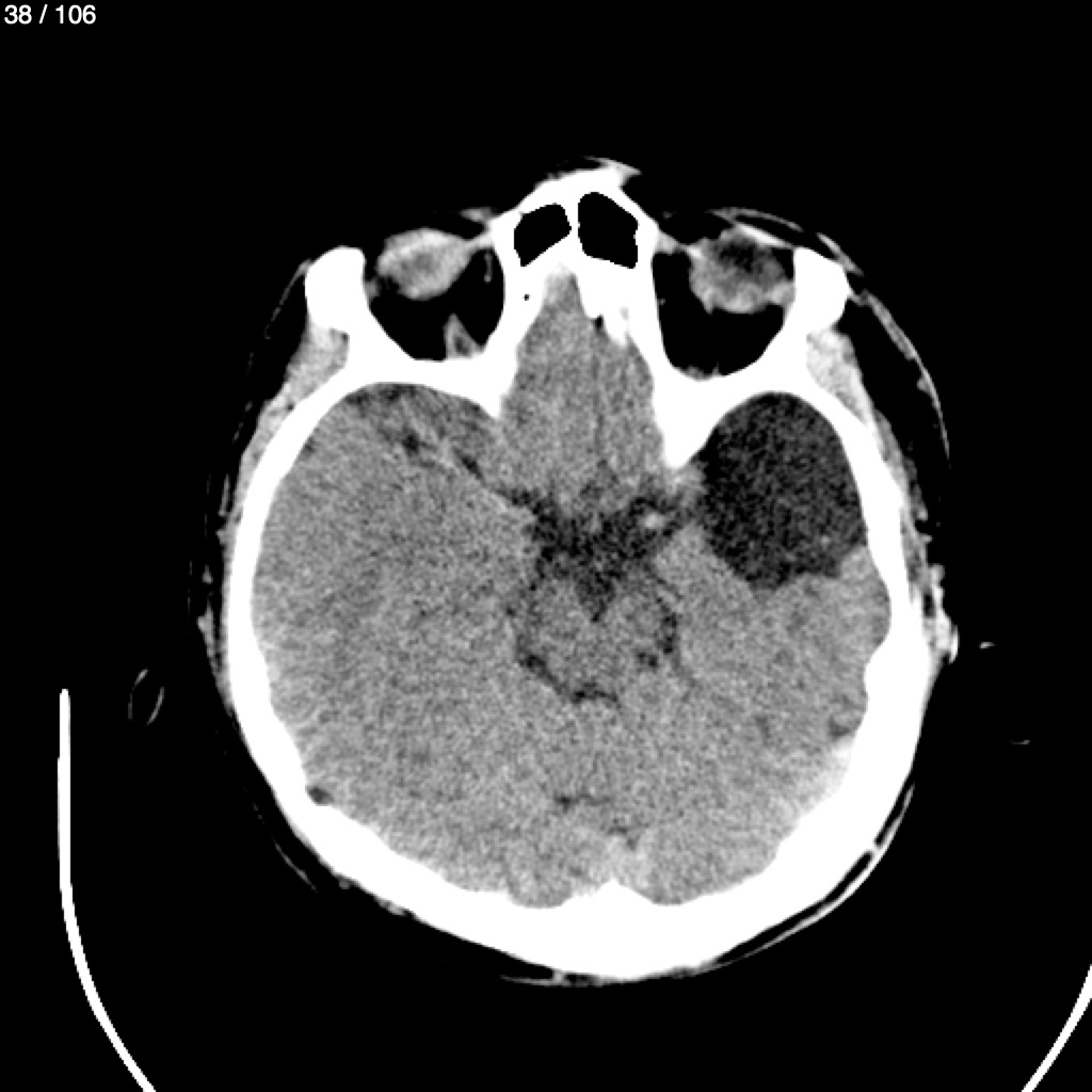
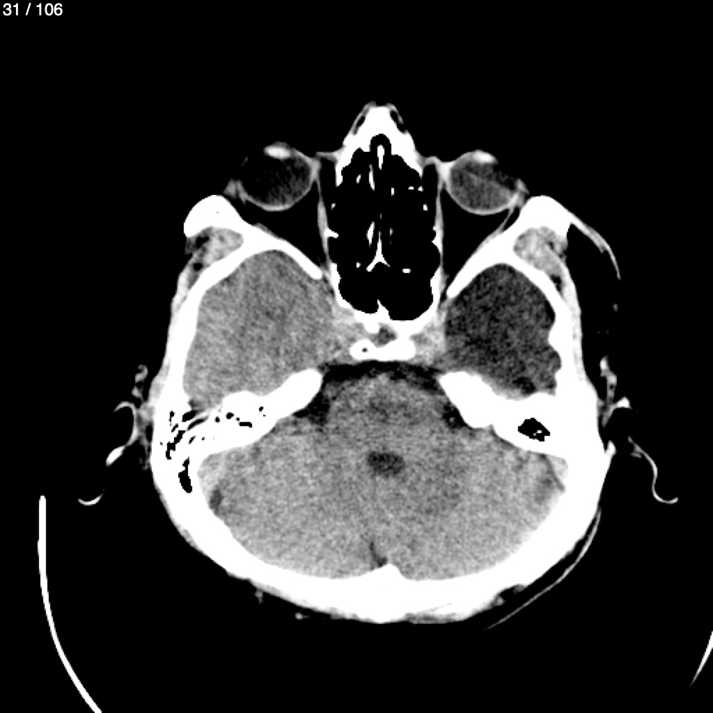
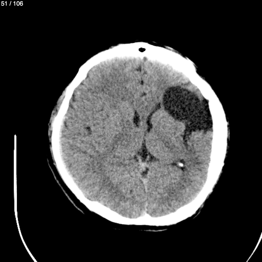
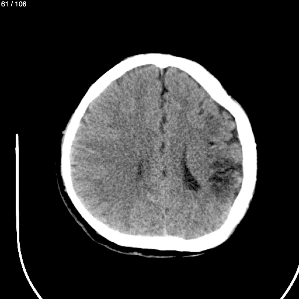
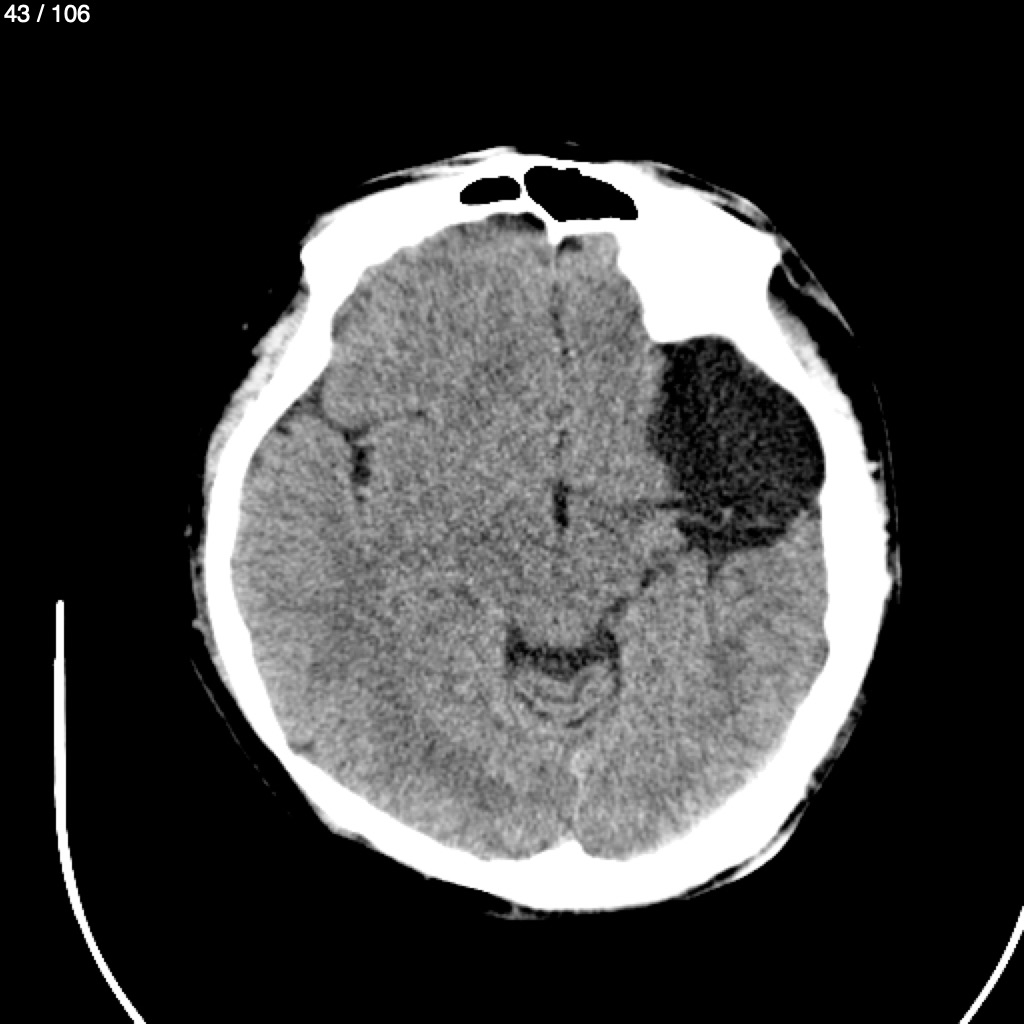
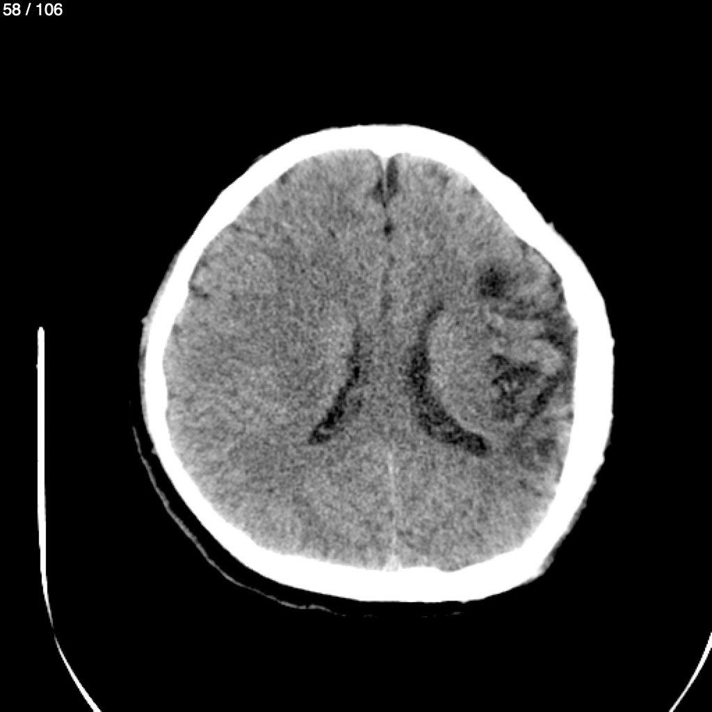
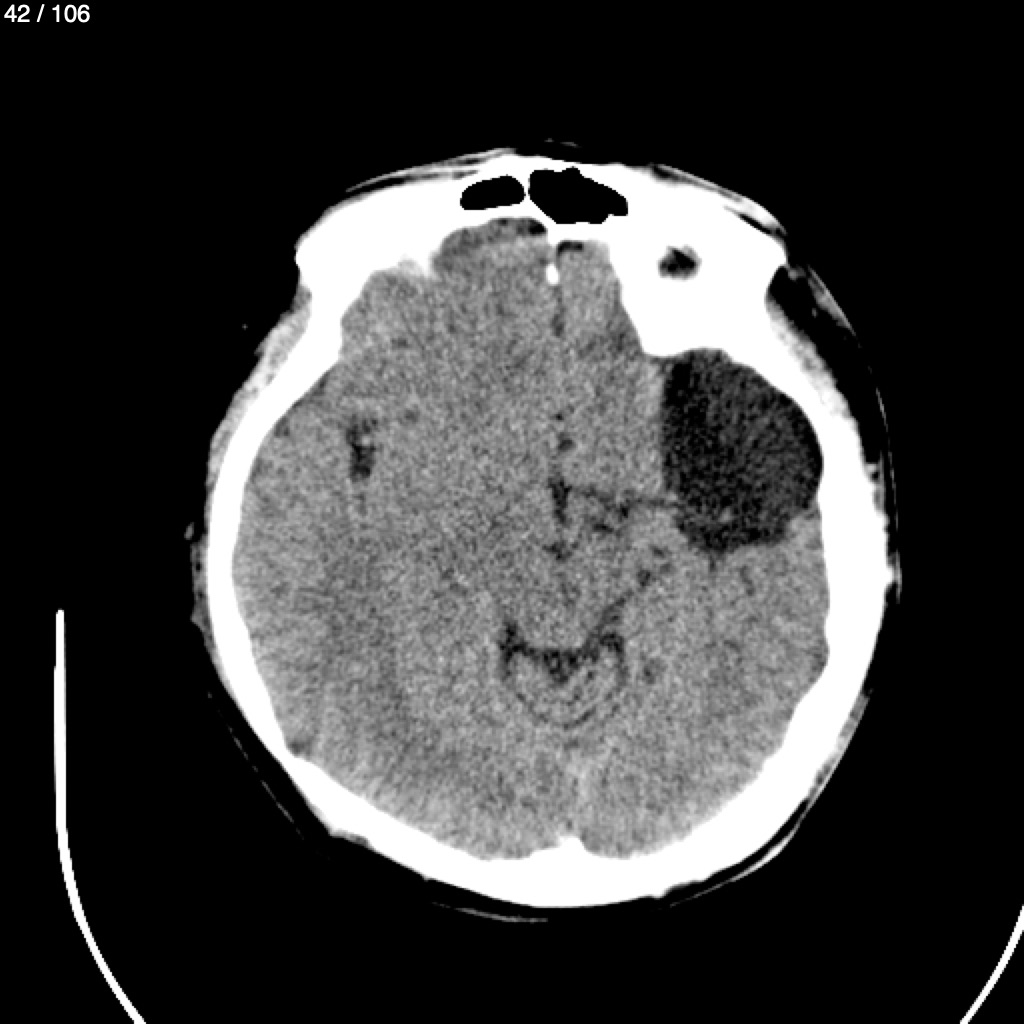
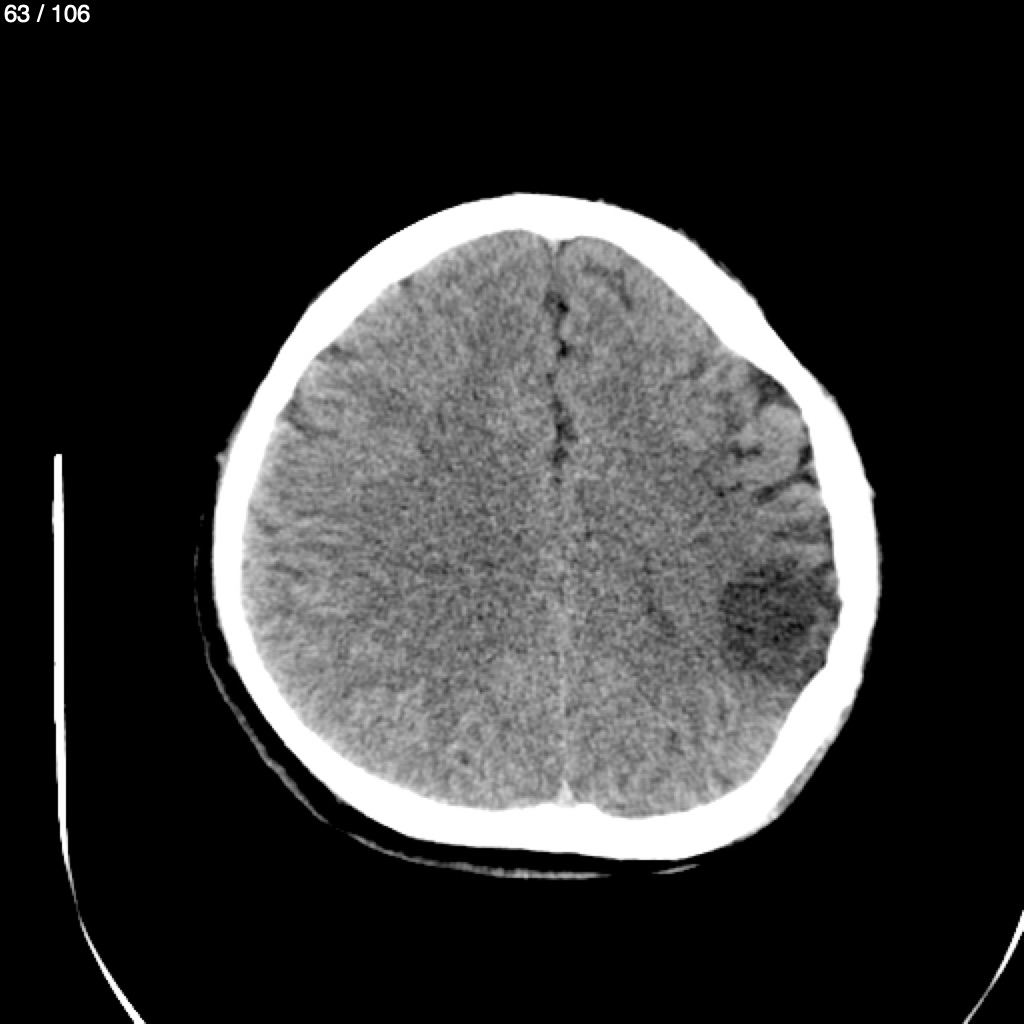
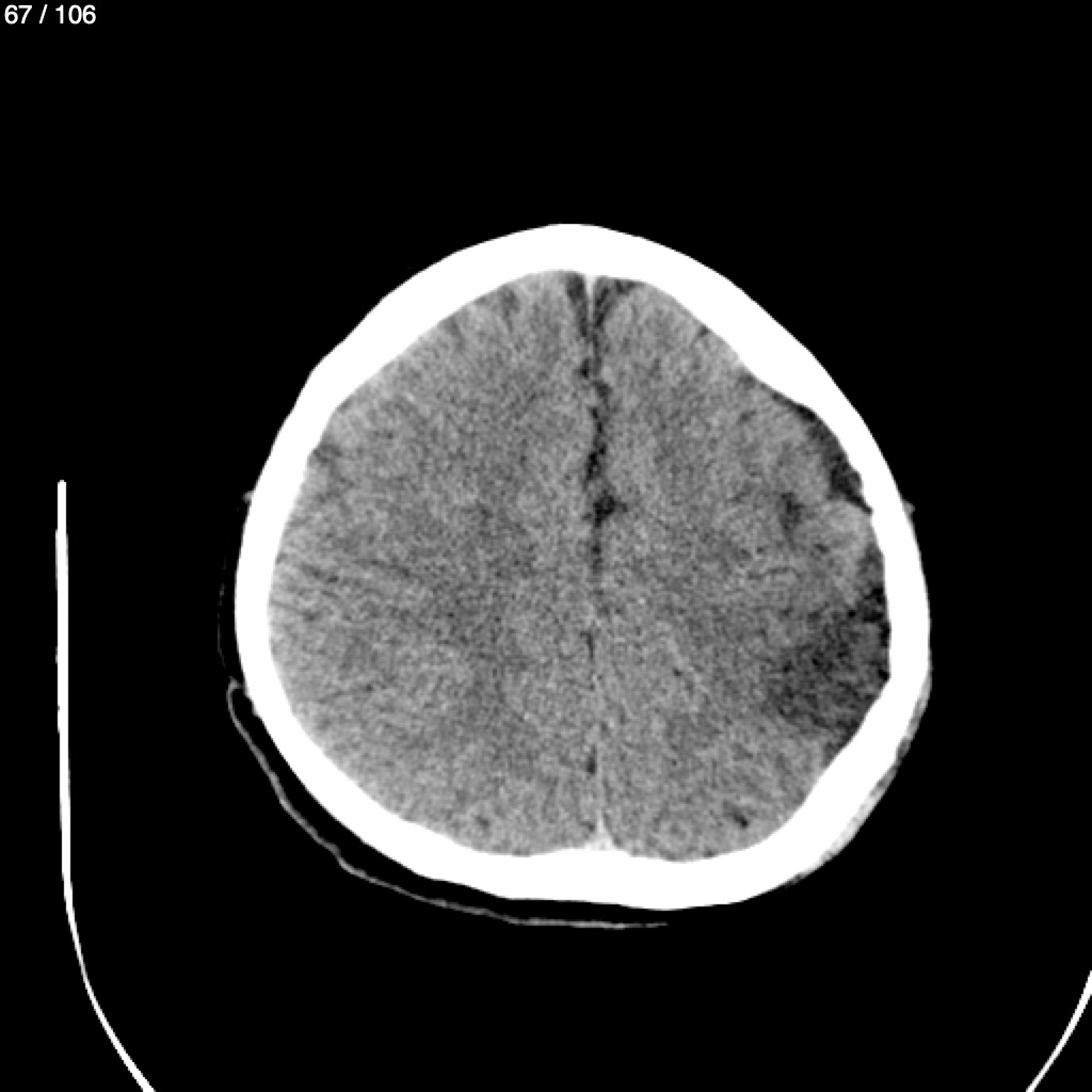
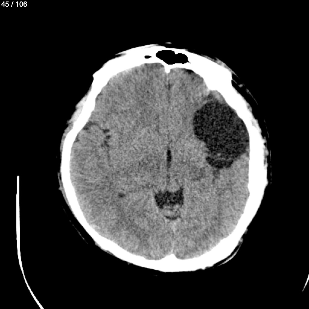
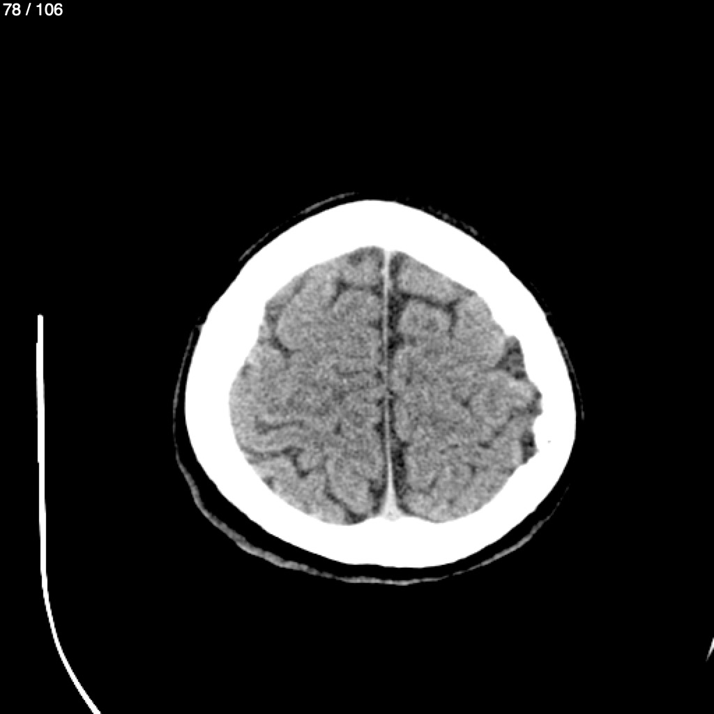
Juan Carlos Mendoza Villatoro - Cabeza Craneo_Syc (Adulto)
Next Series
Show as Sequence