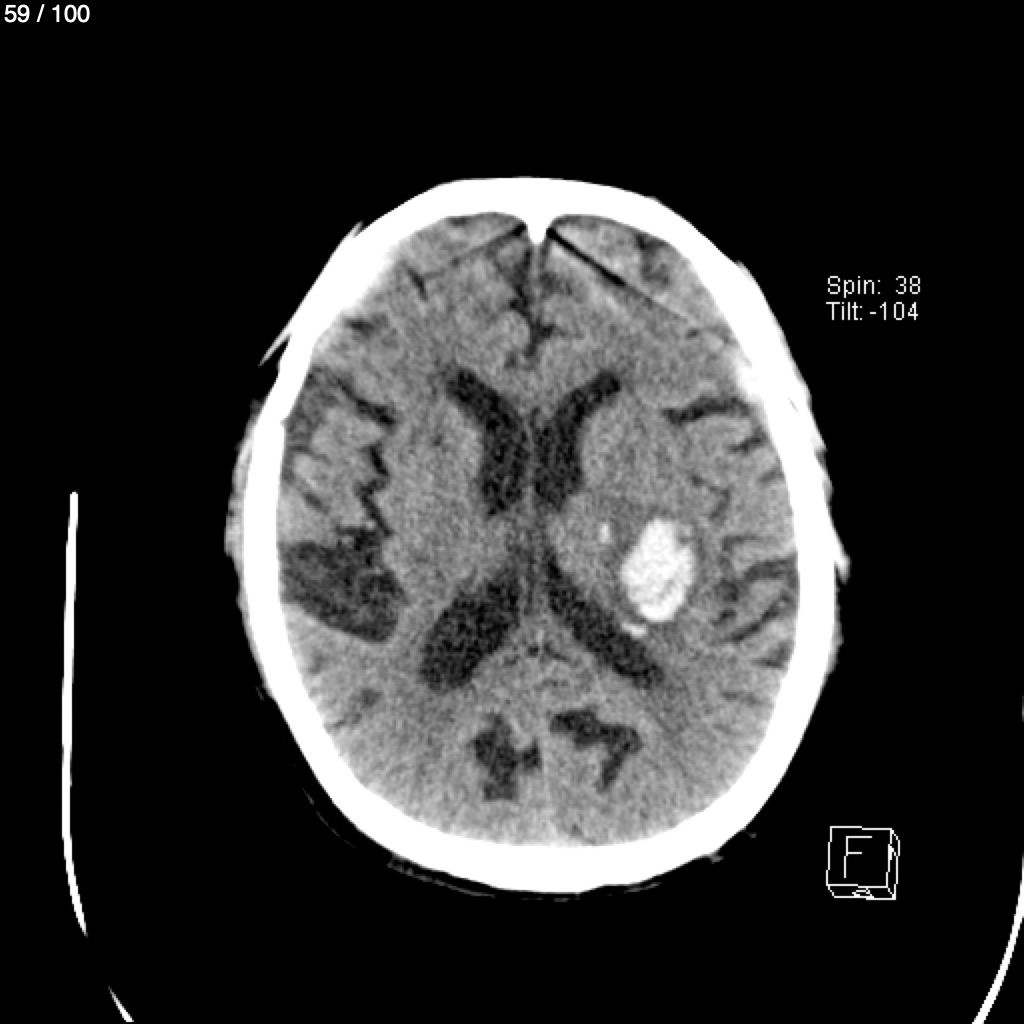
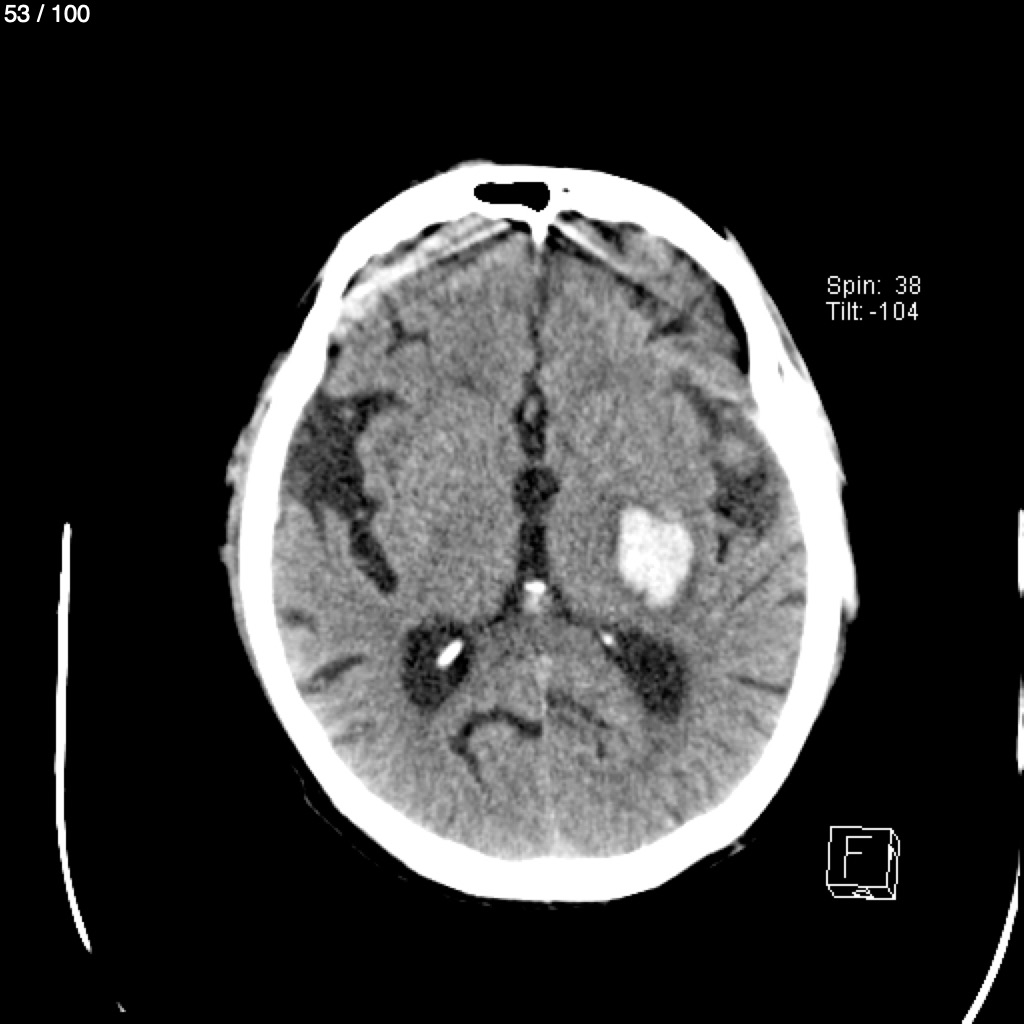
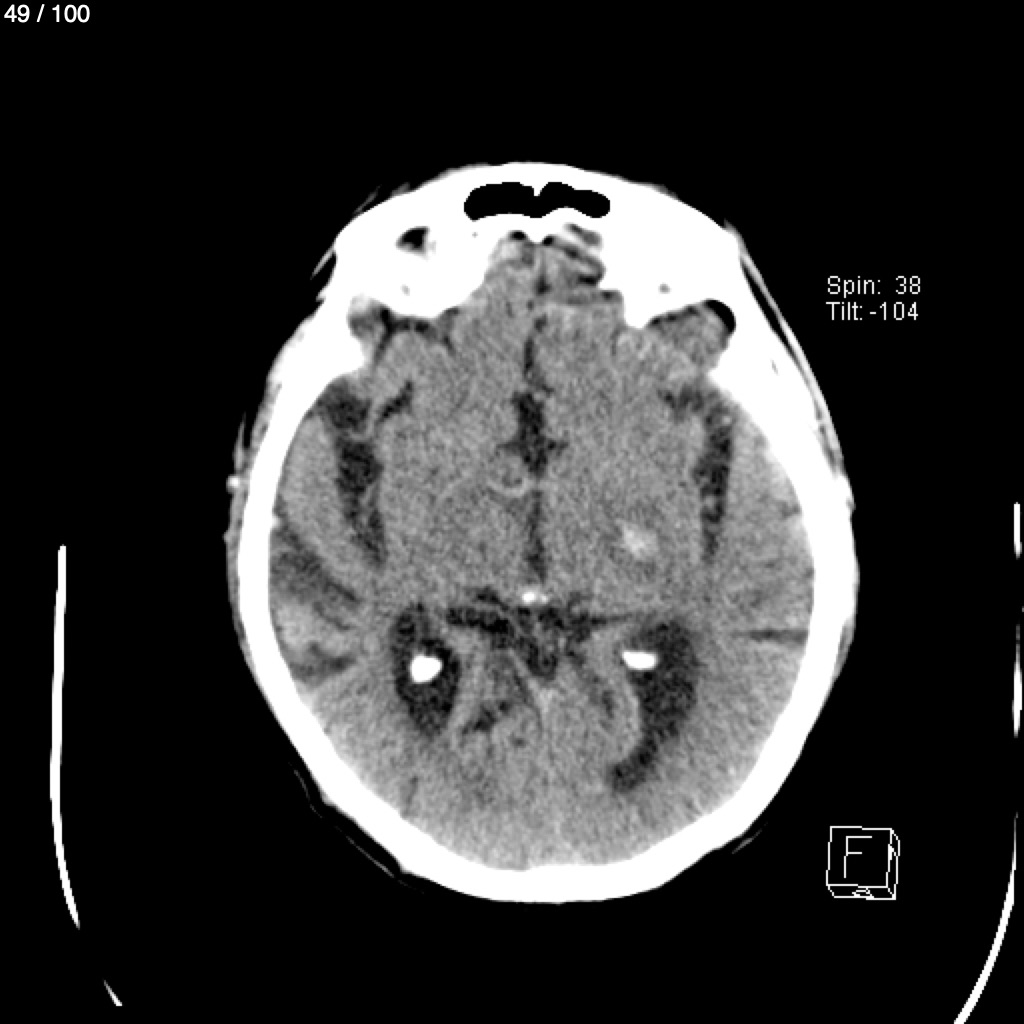
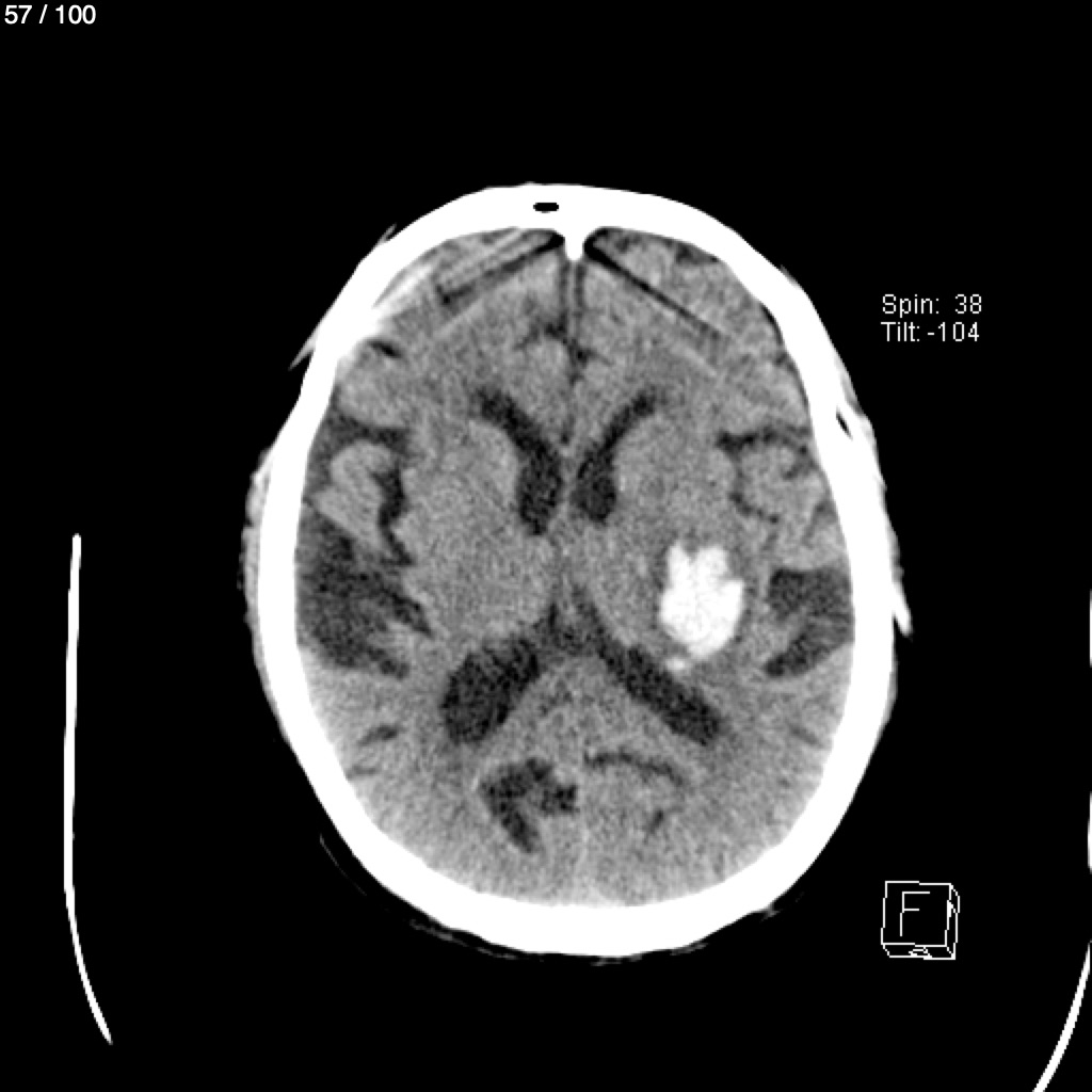
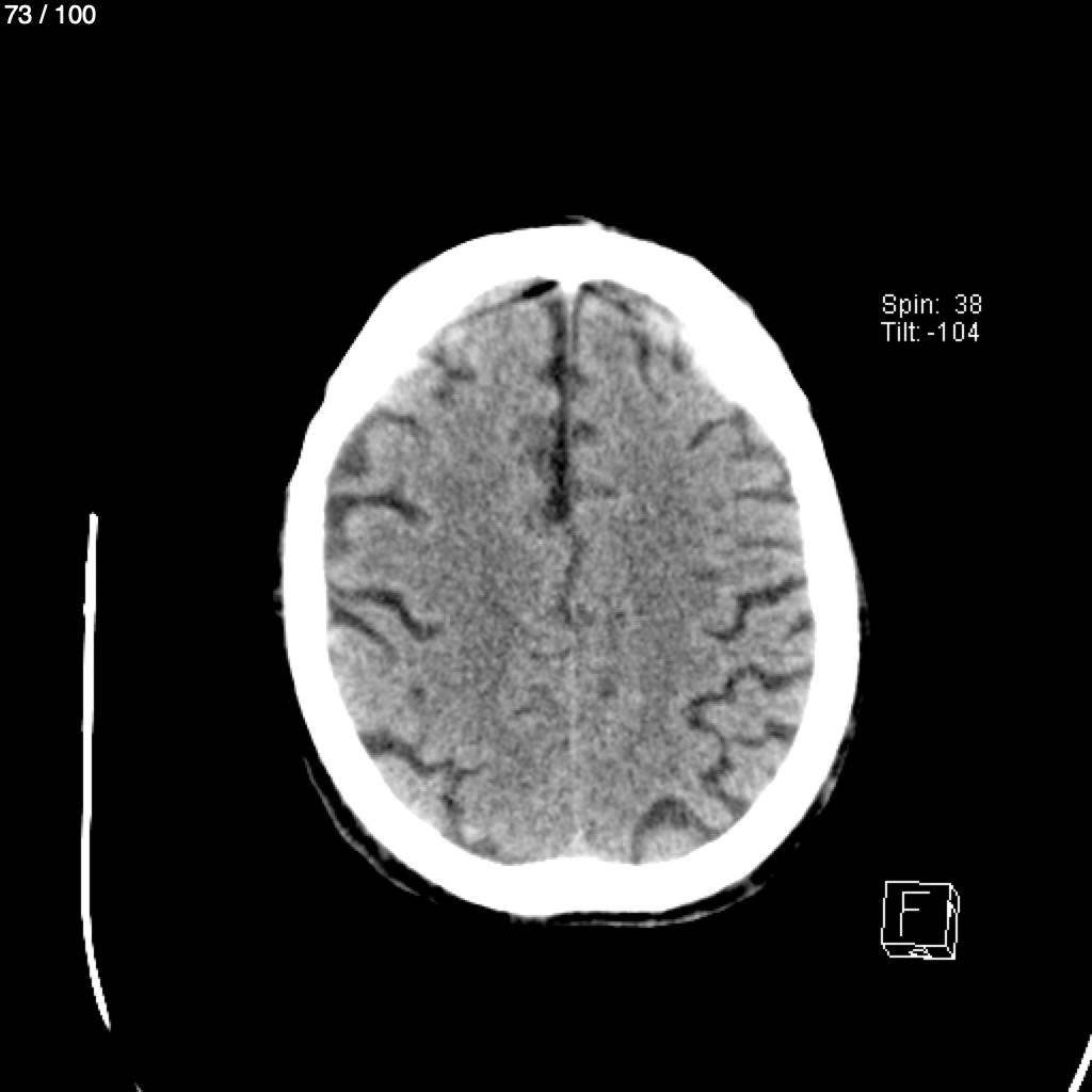
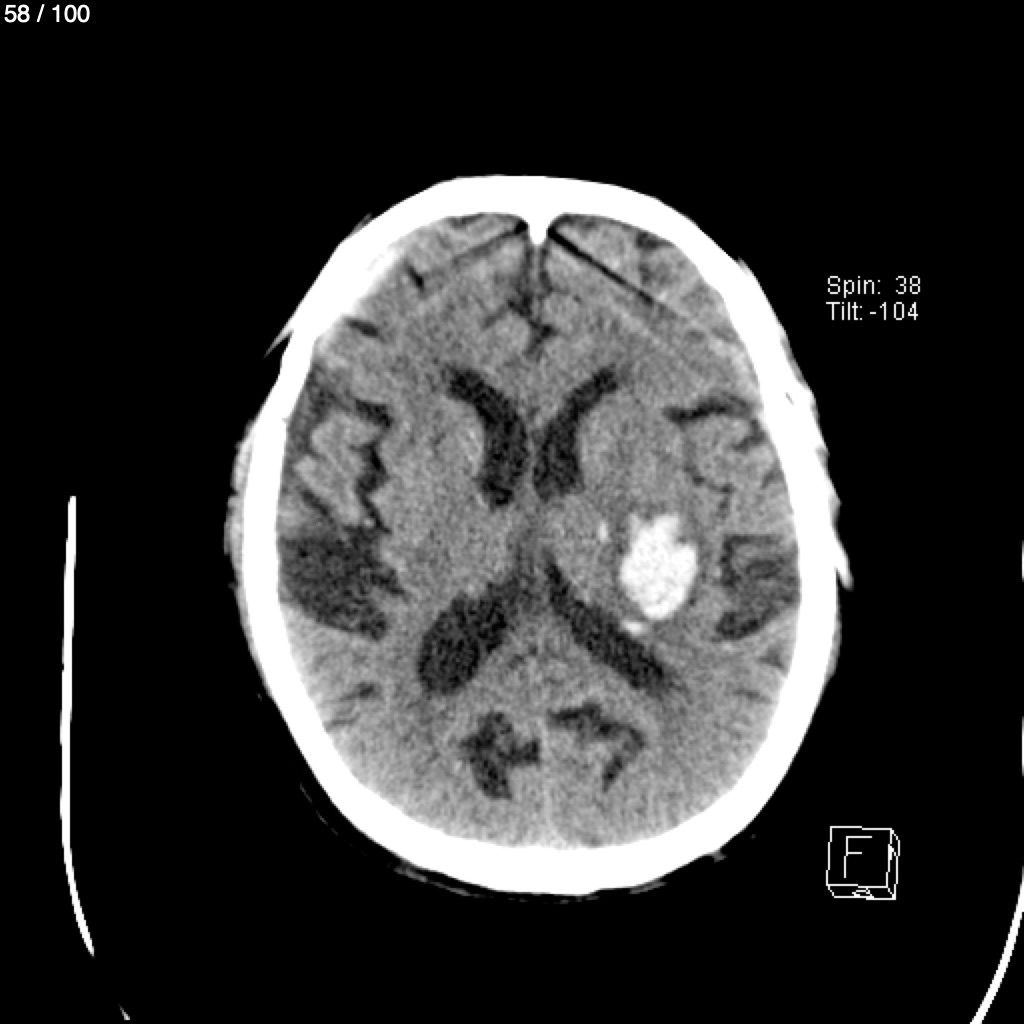
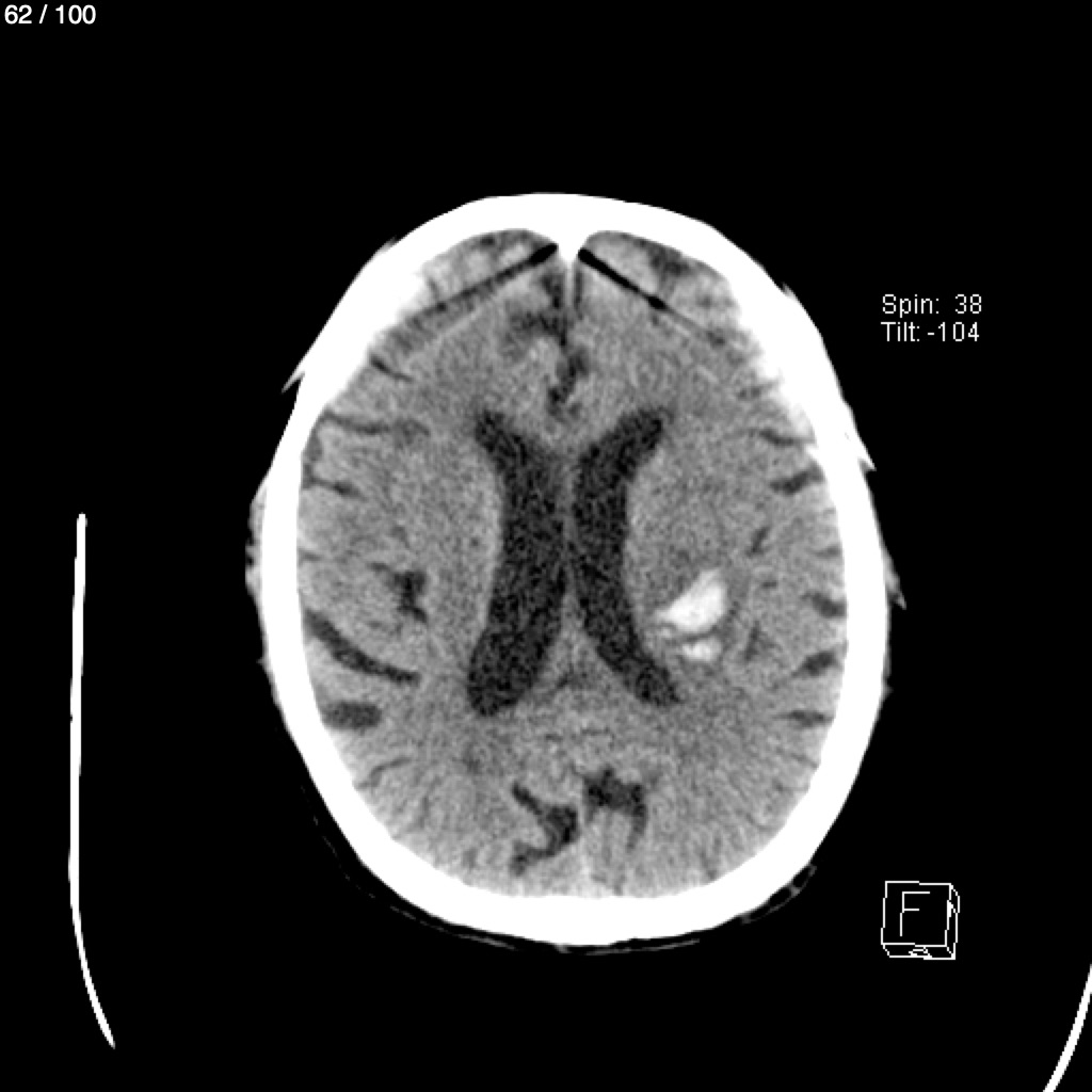
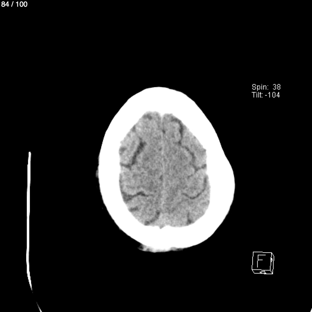
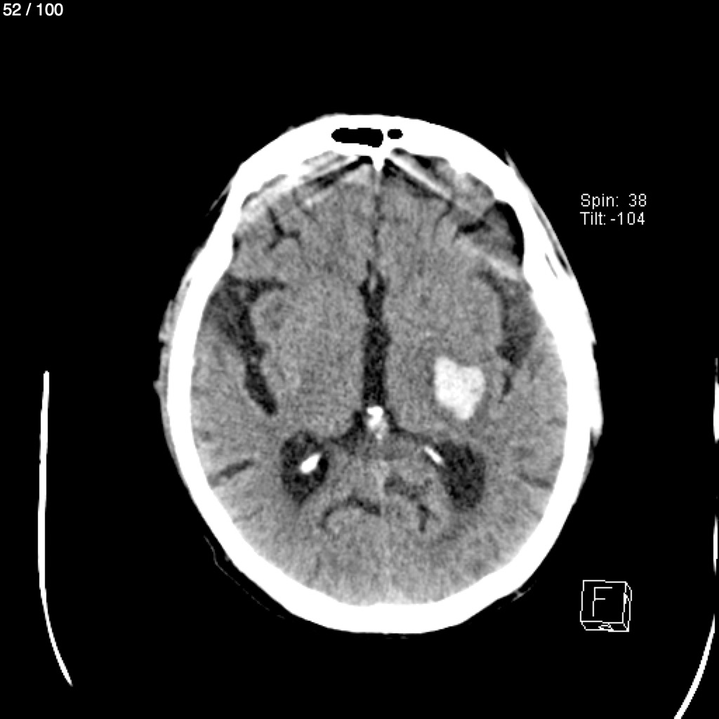
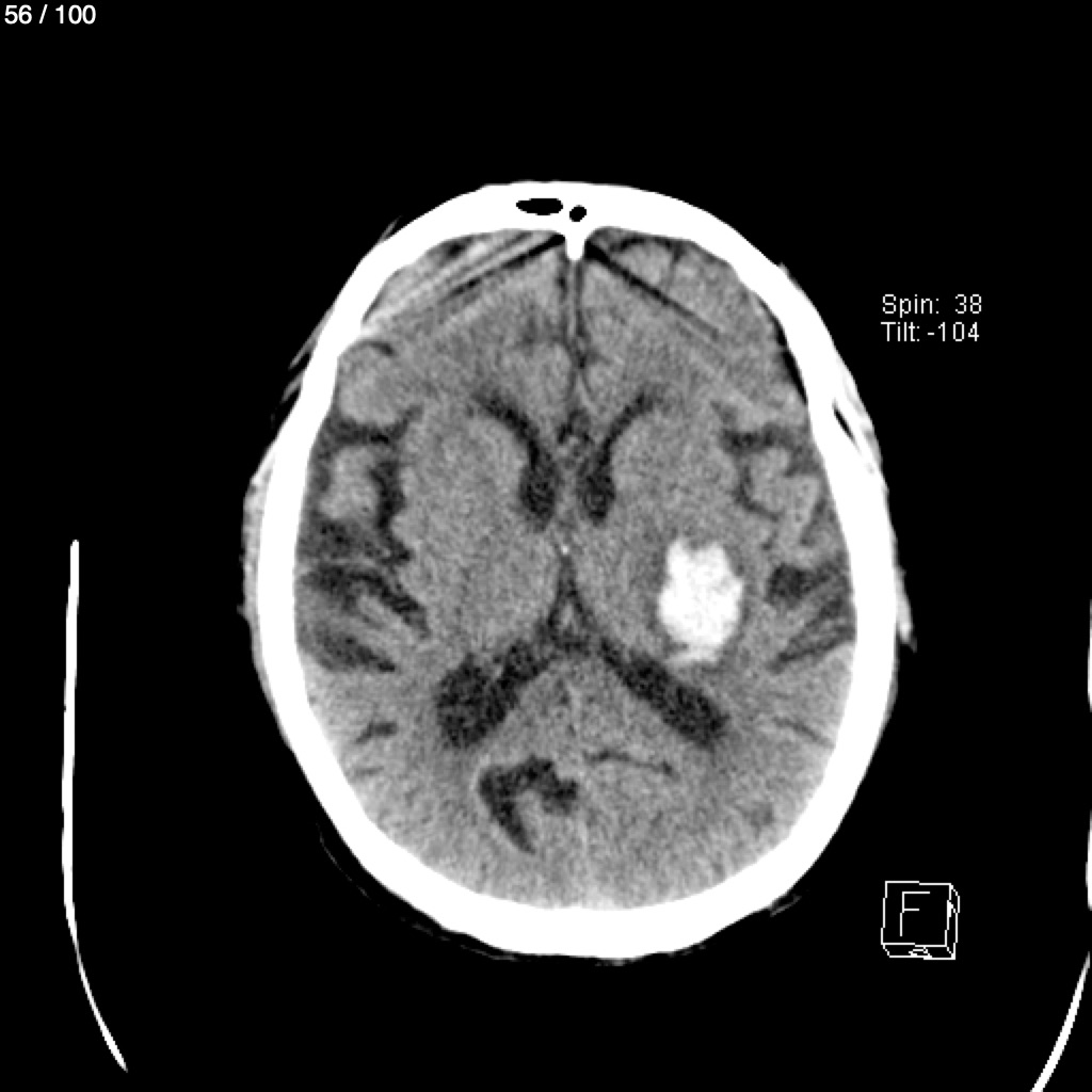
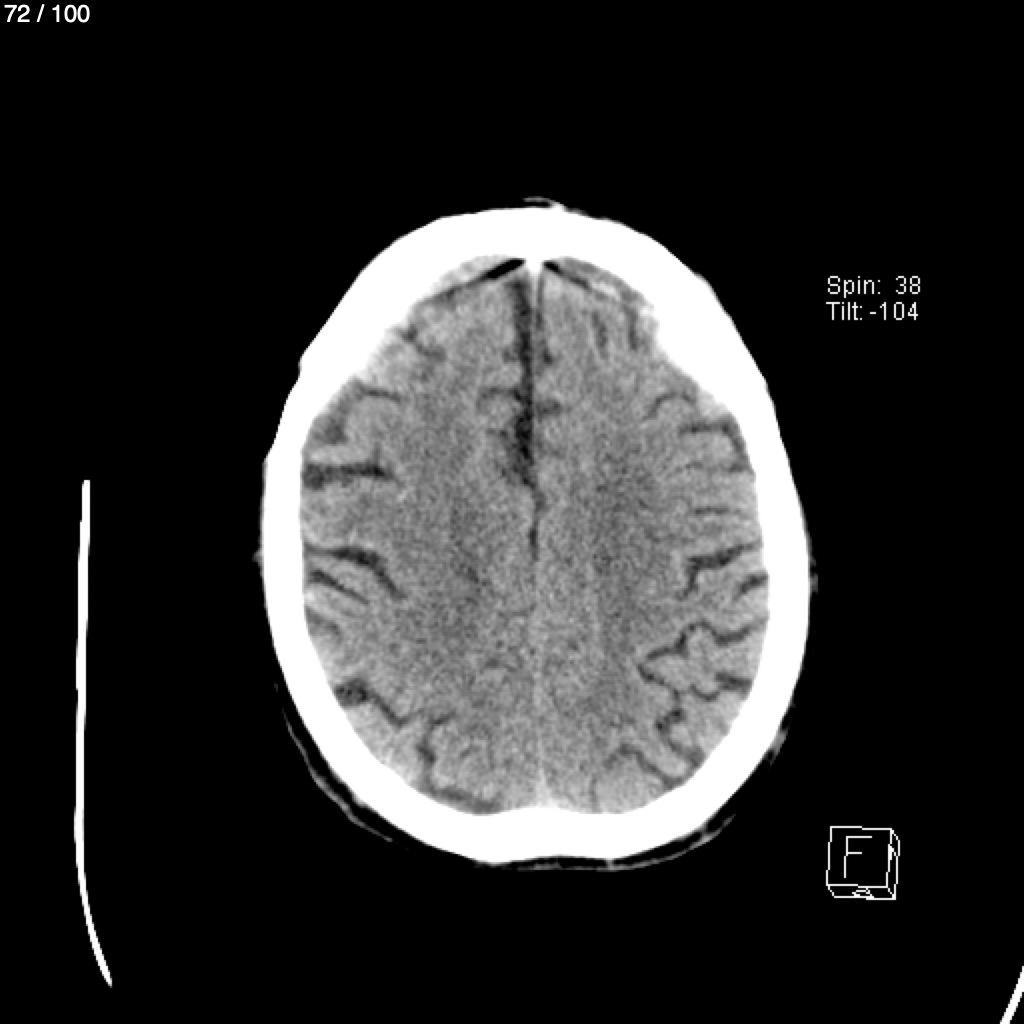
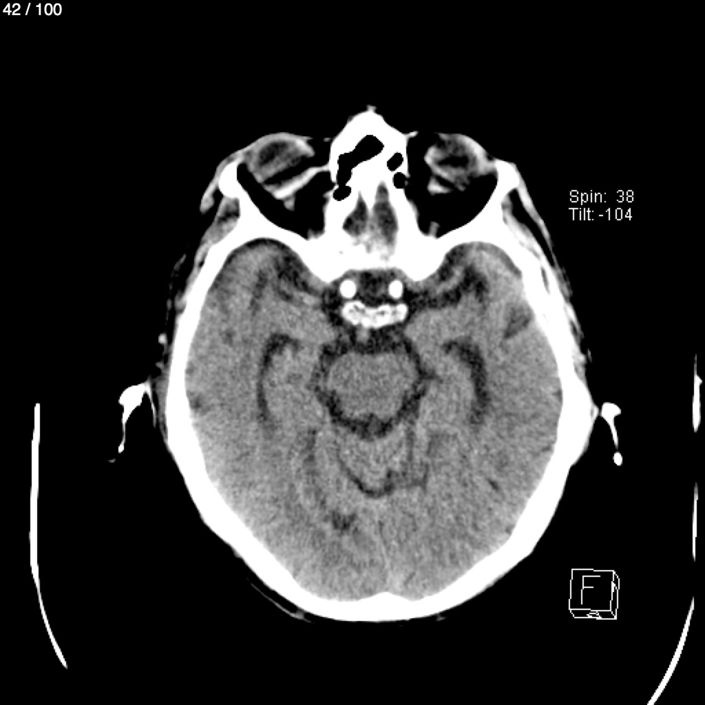
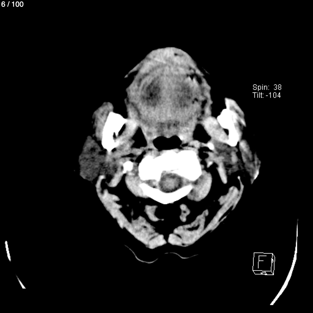
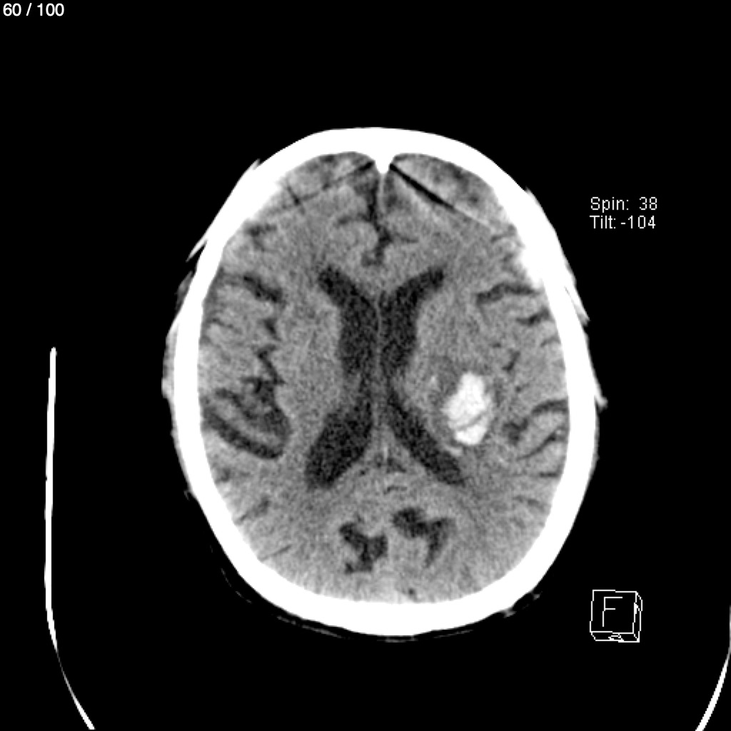
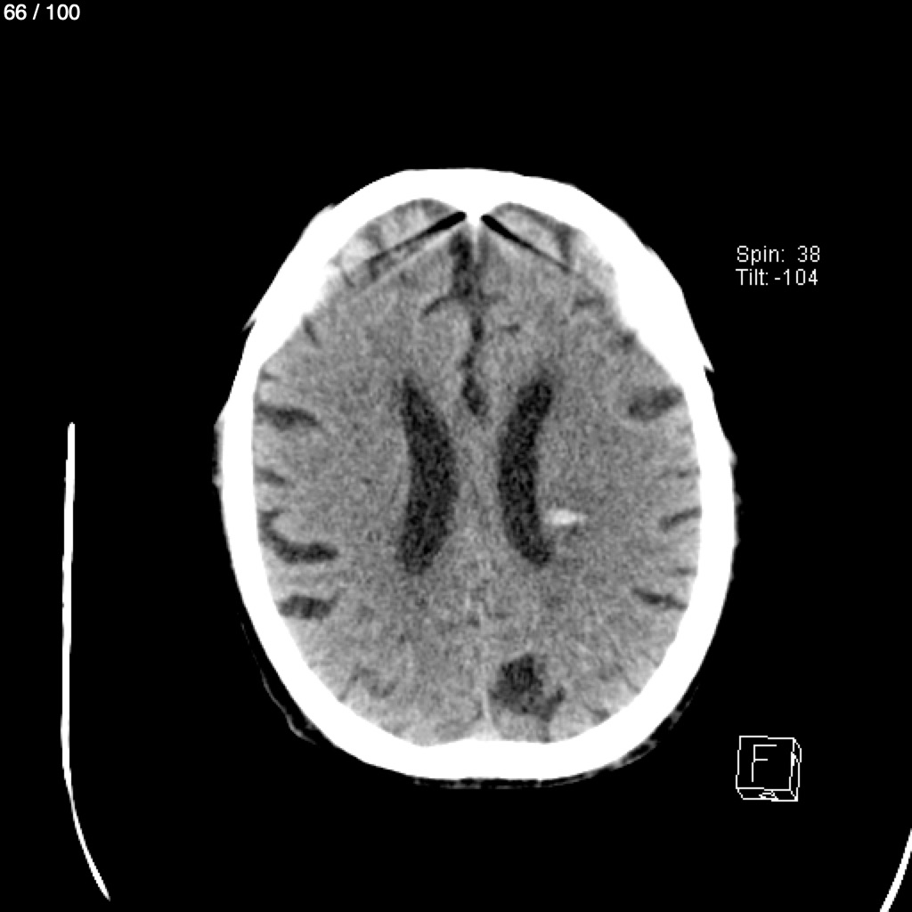
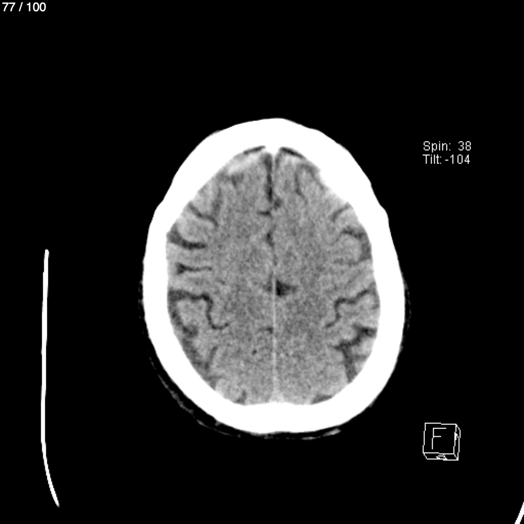
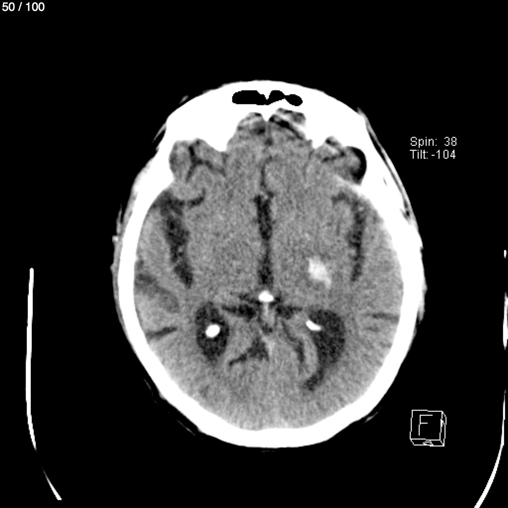
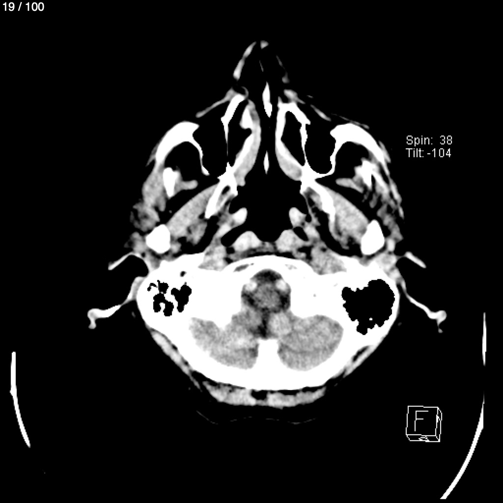
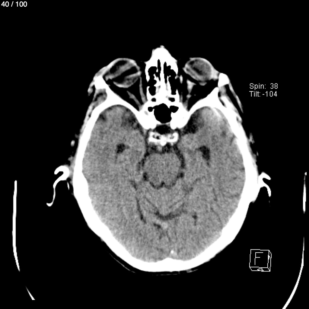
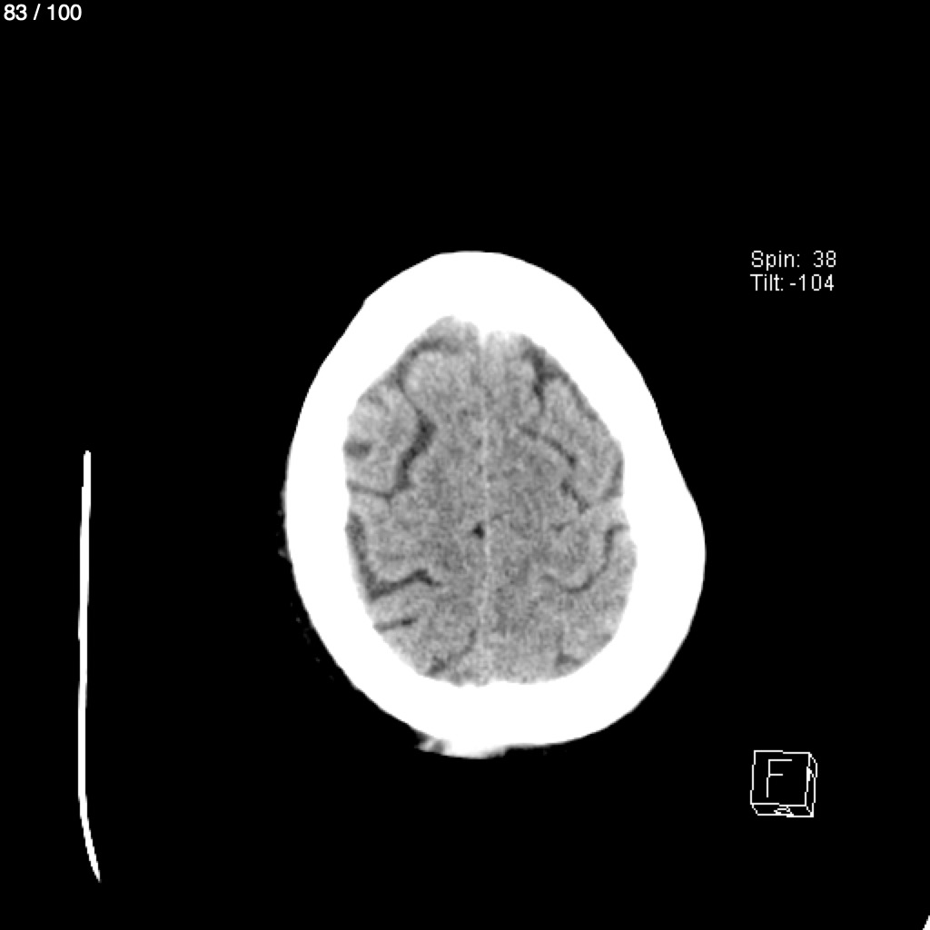
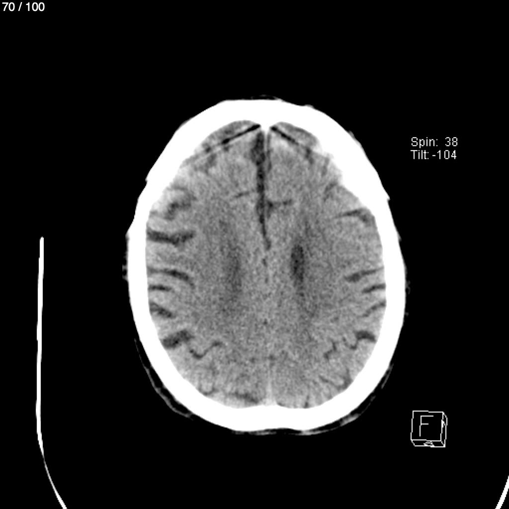
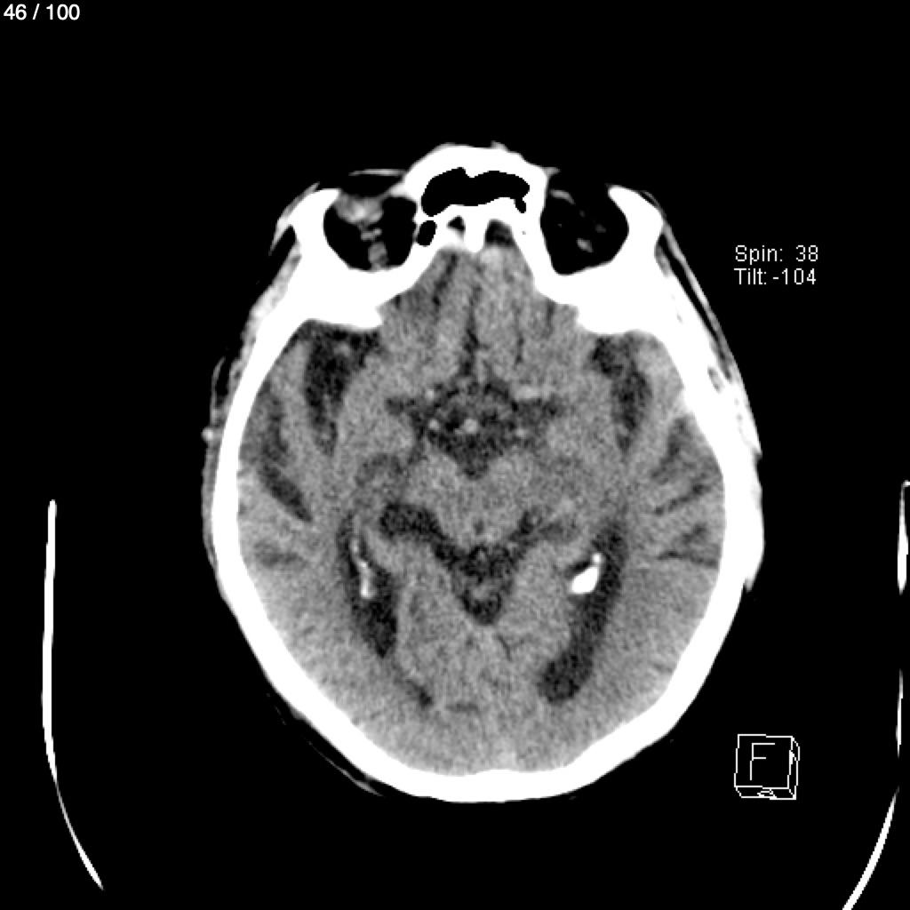
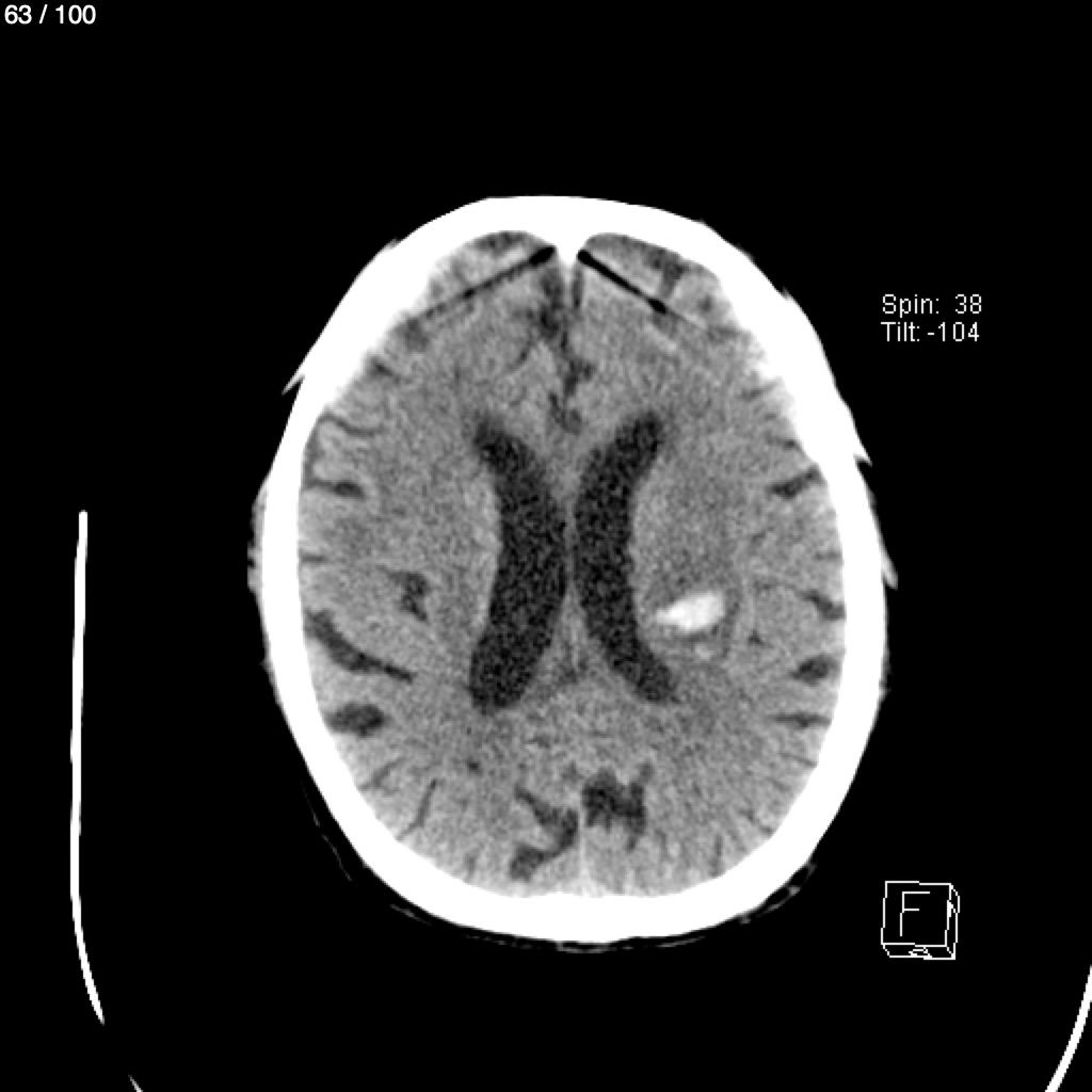
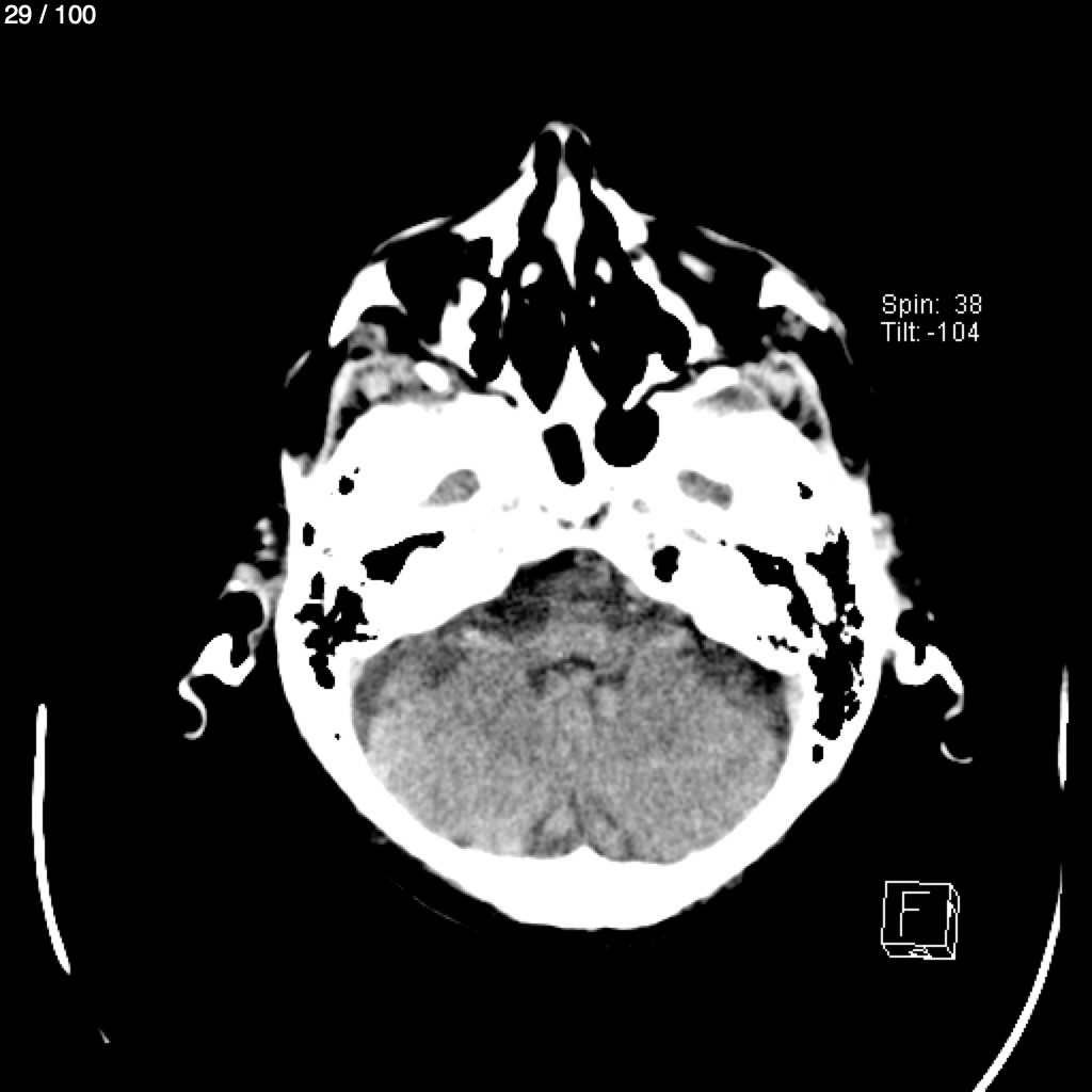
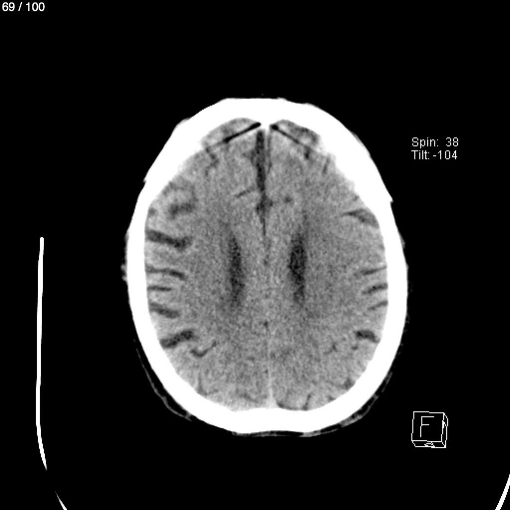
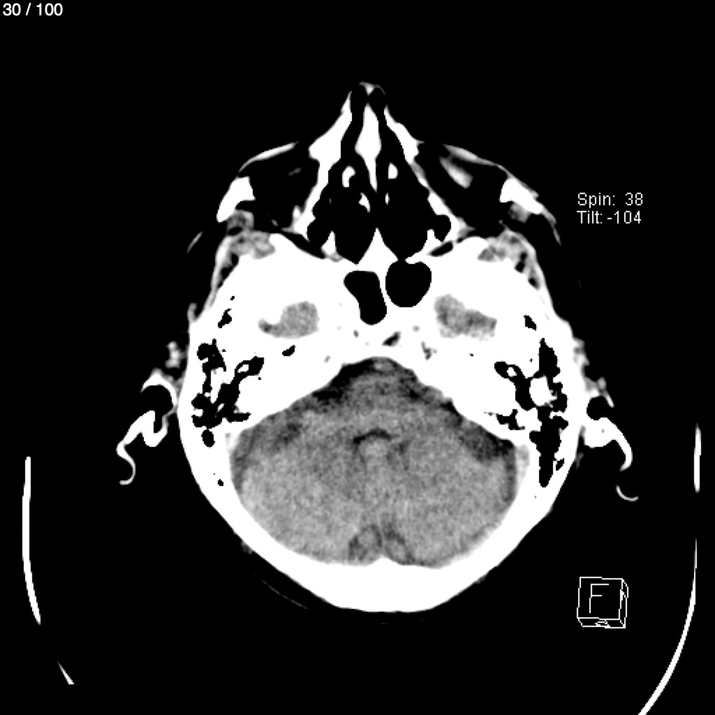
Home R​u​f​i​n​o​ ​ ​G​a​l​v​e​z​ ​E​s​c​o​b​a​r​ ​-​ ​C​a​b​e​z​a​ ​S​i​m​p​l​e​_​C​r​a​n​e​o​ ​(​A​d​u​l​t​o​)