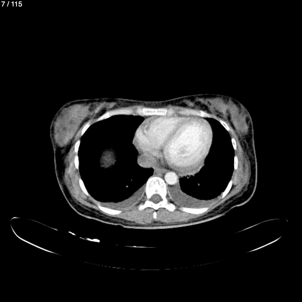
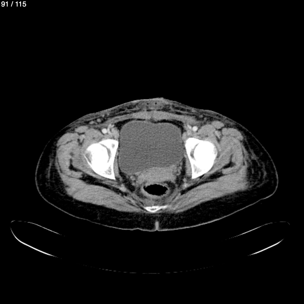
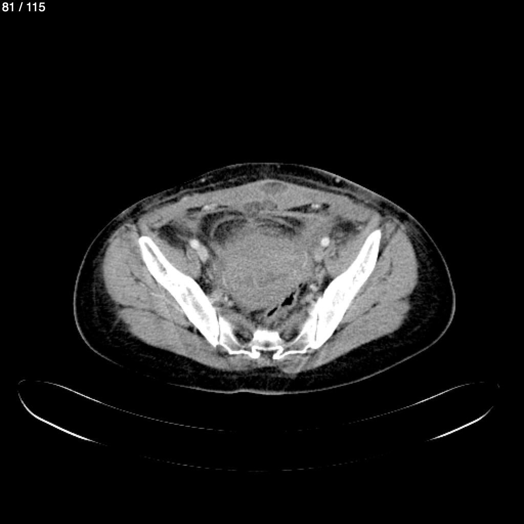
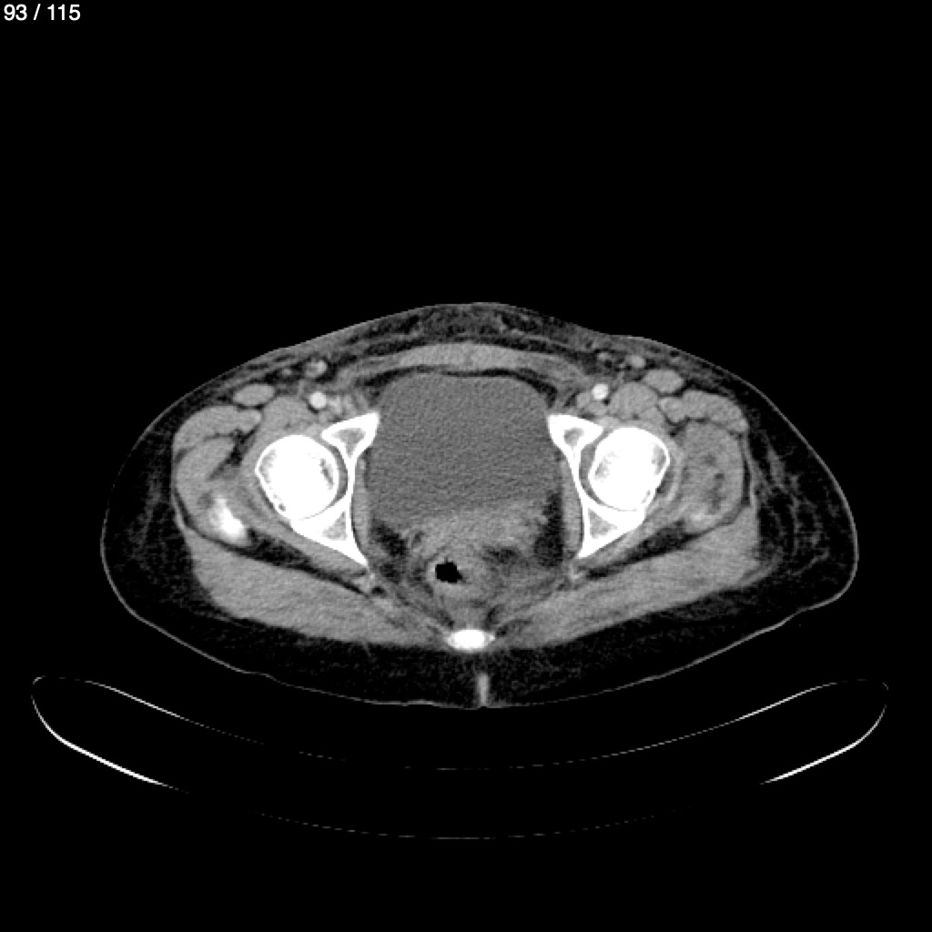
Home M​a​r​t​h​a​ ​C​r​i​s​t​i​n​a​ ​R​a​m​i​r​e​z​ ​C​a​s​t​r​o​ ​-​ ​A​b​d​o​m​e​n​ ​A​b​d​o​m​e​n​_​S​y​c​ ​(​A​d​u​l​t​o​)