HUIXTLA
ESCUINTLA
AKISHINO
AKISHINO2 USG
ESPECIALIDADES
Home
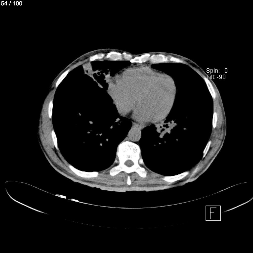
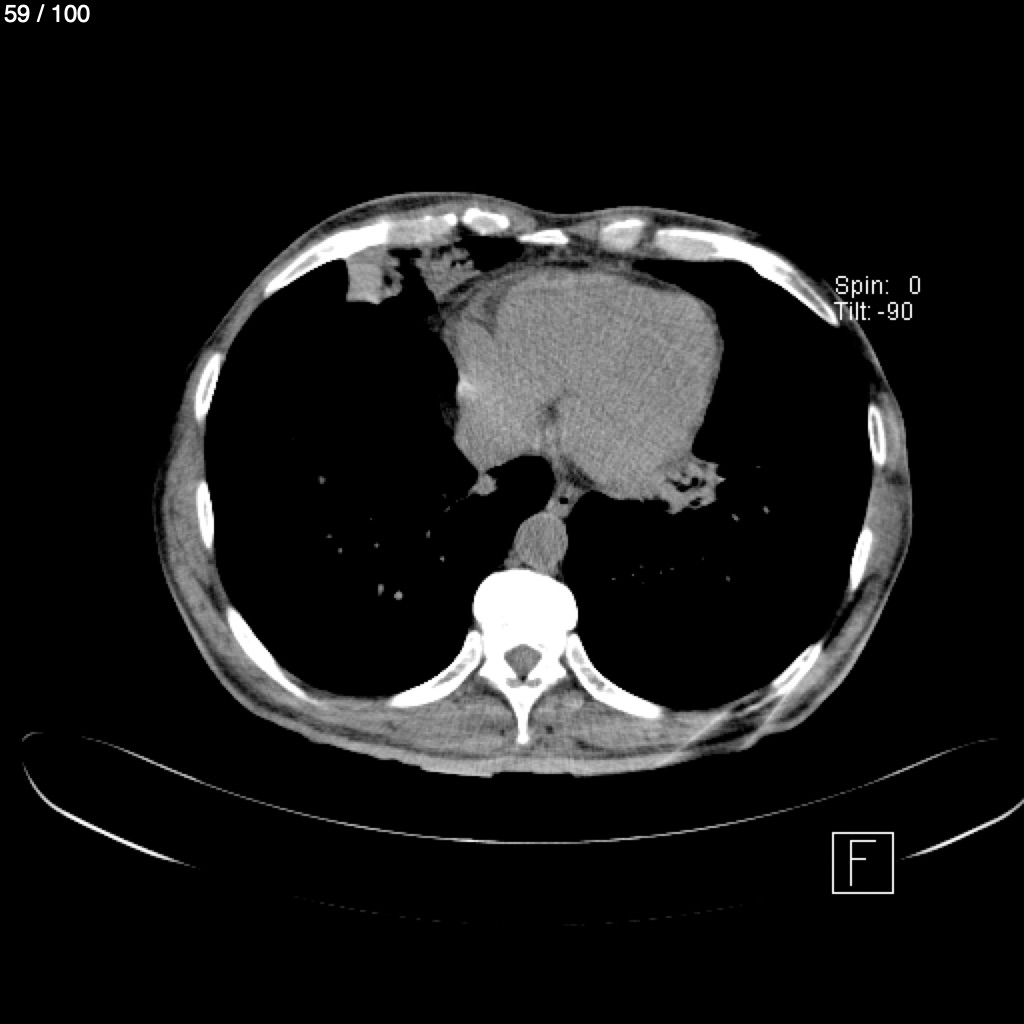
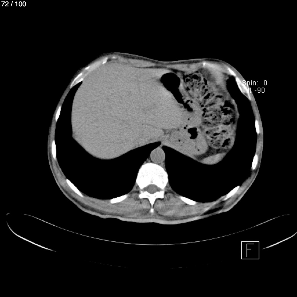
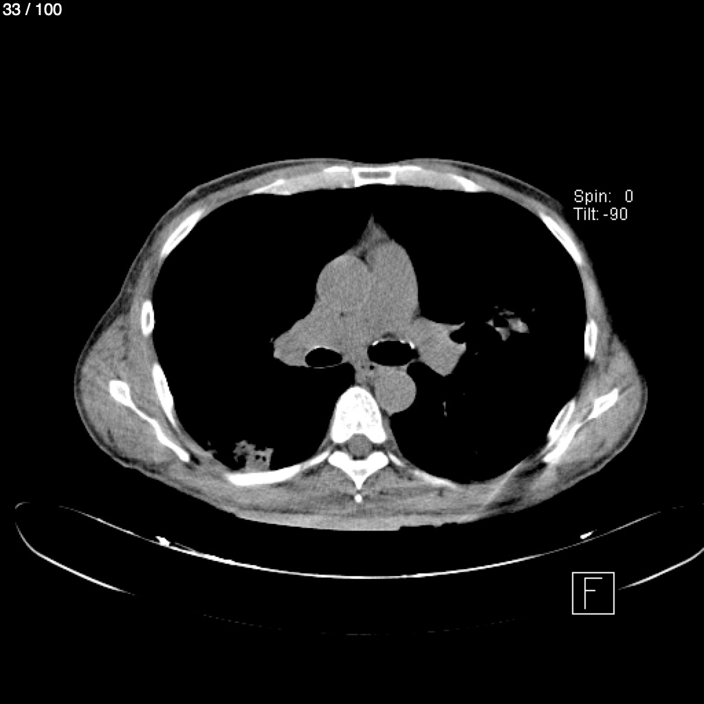
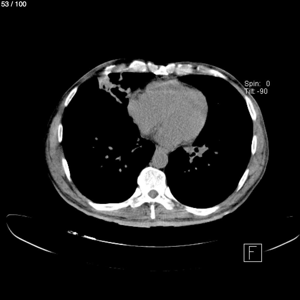
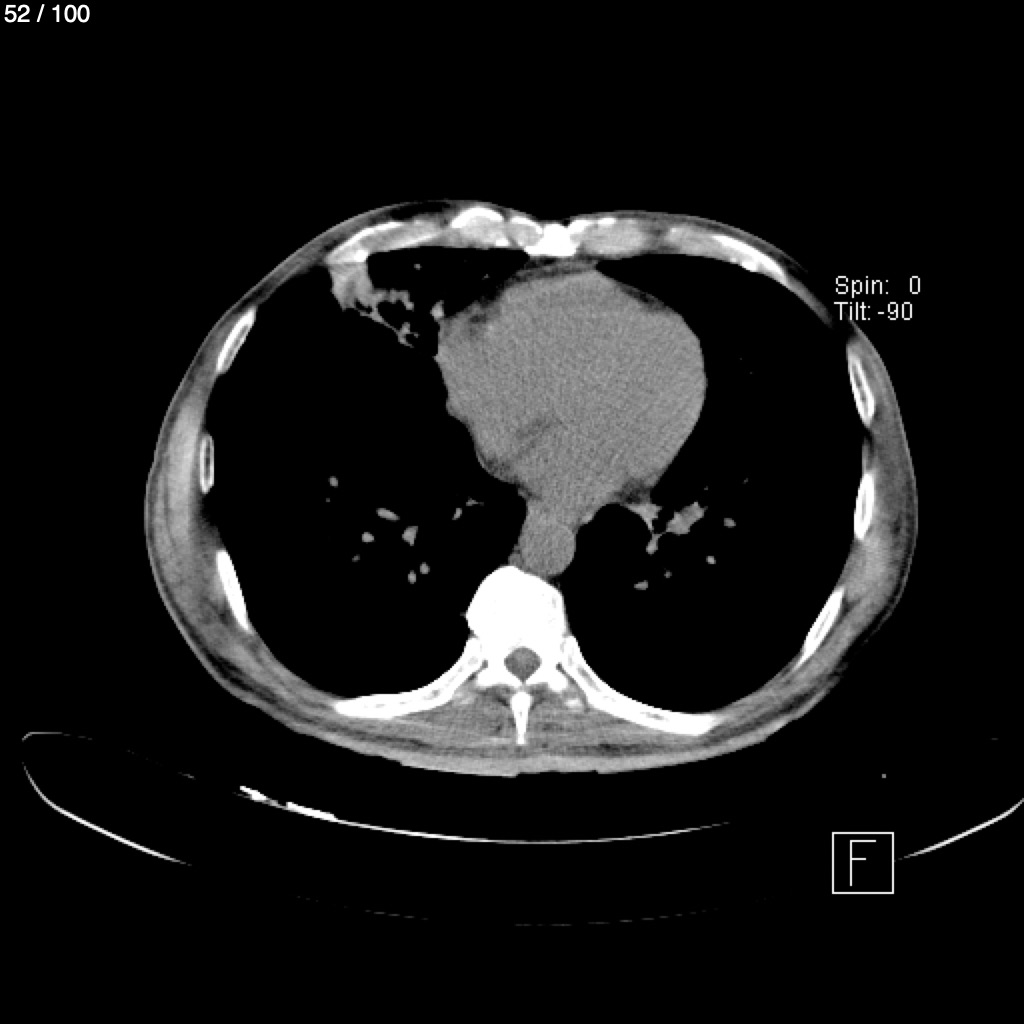
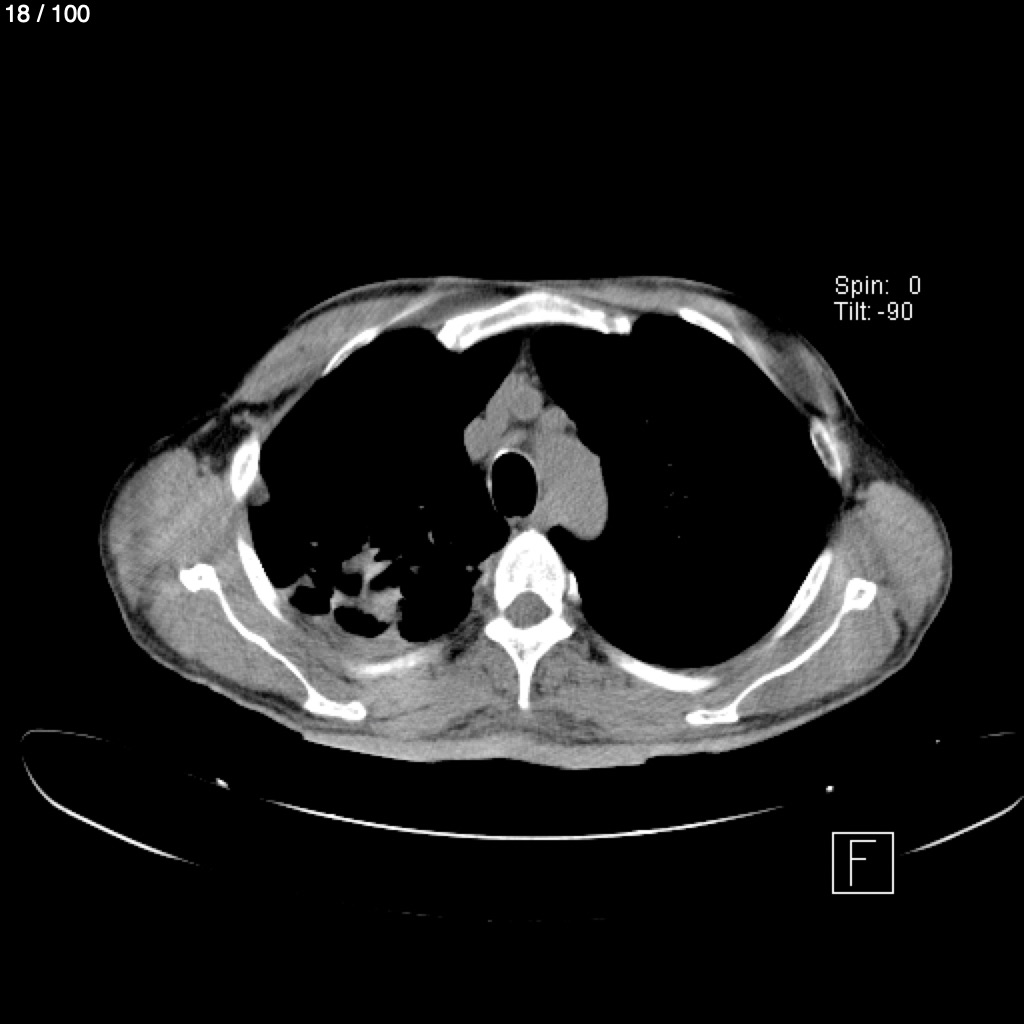
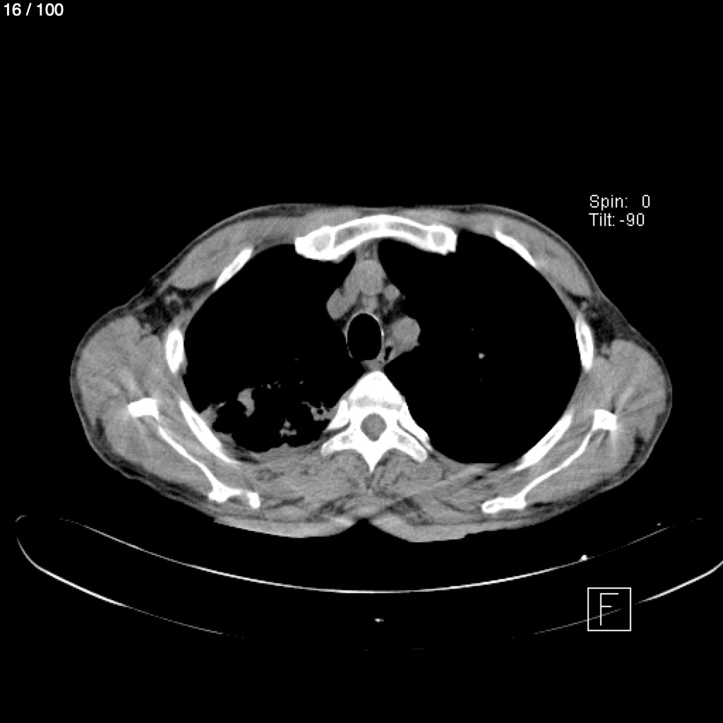
Juan Gabriel Moreno Guzman - Tórax Torax_Simple (Adulto)
Previous Series
Next Series
Show as Sequence