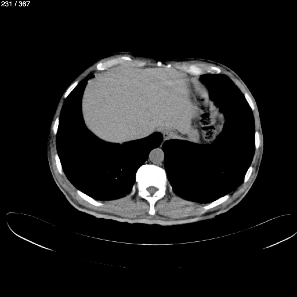
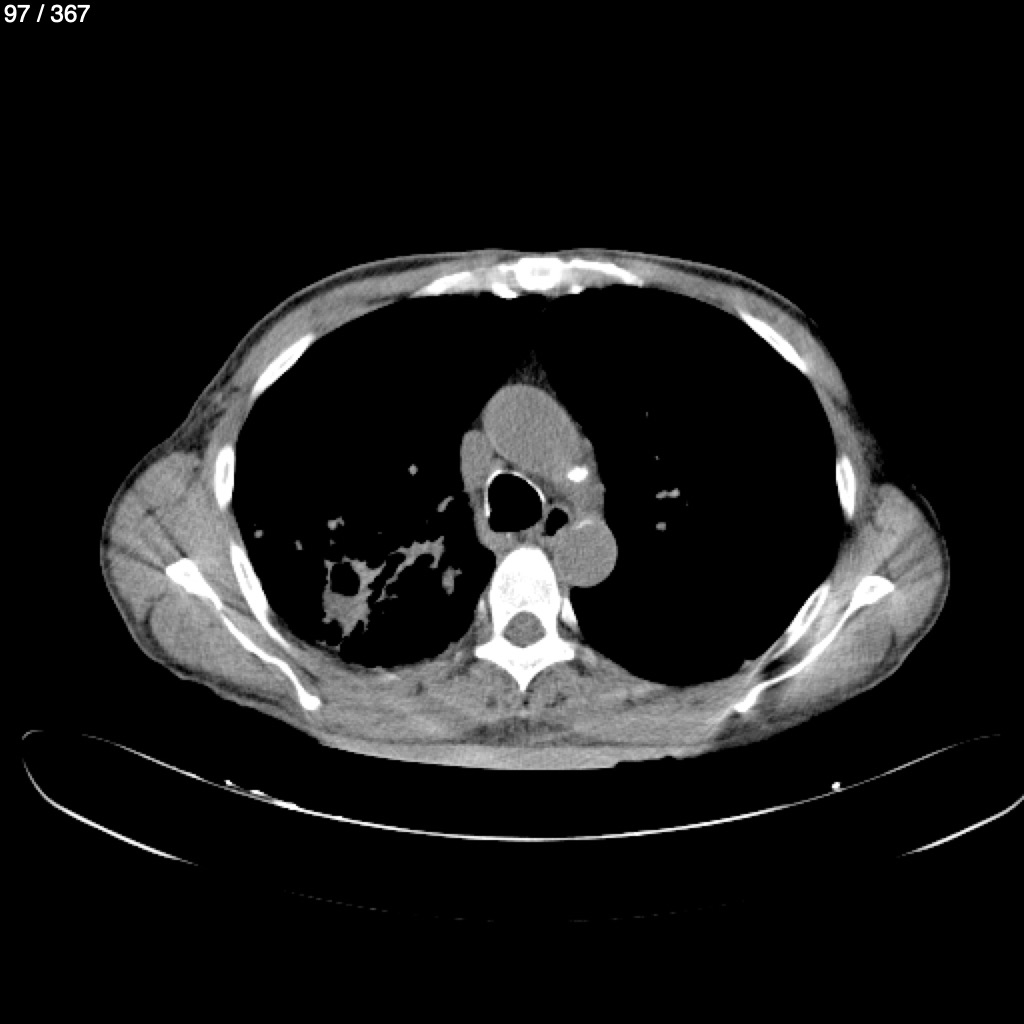
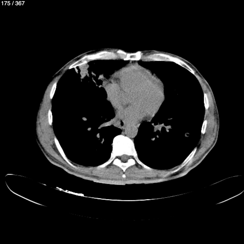
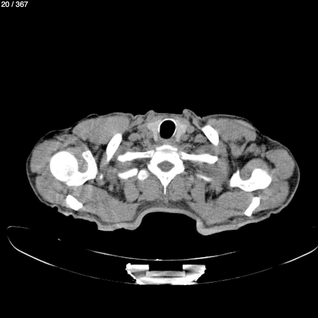
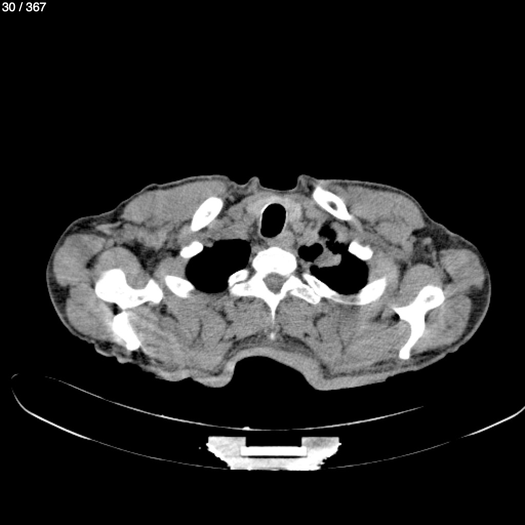
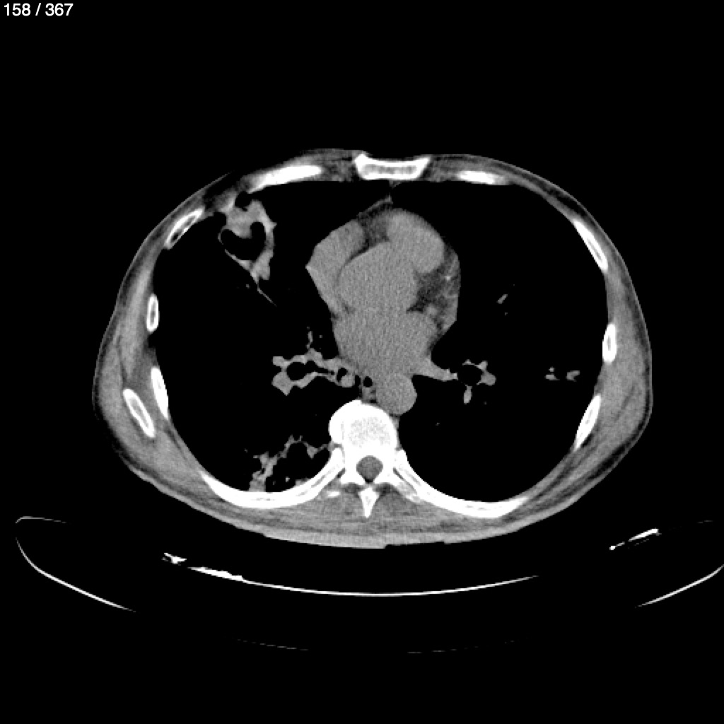
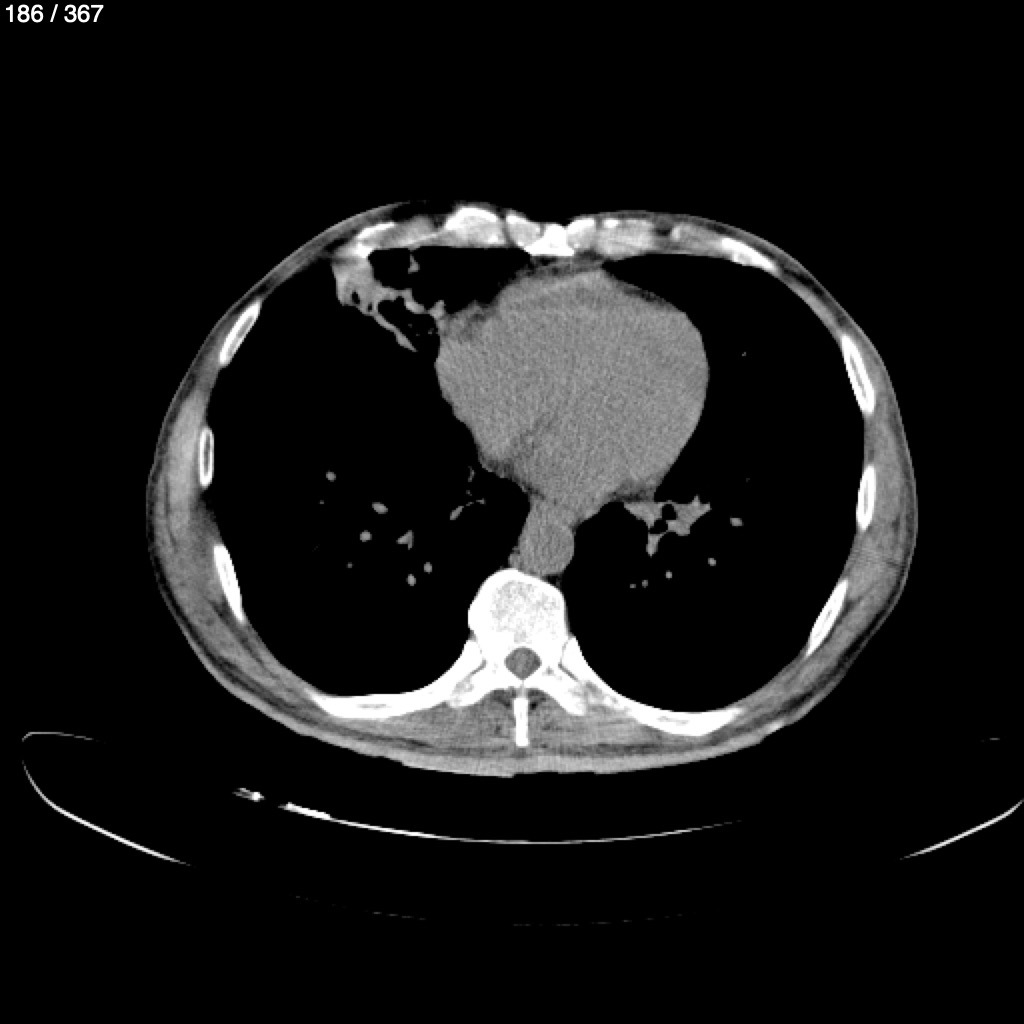
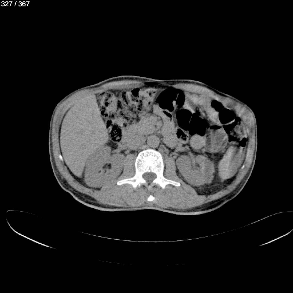
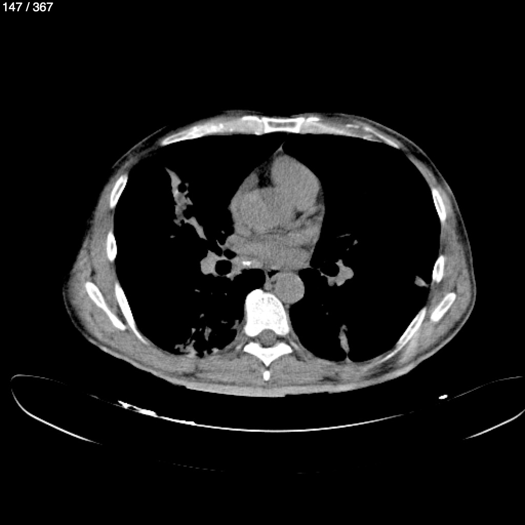
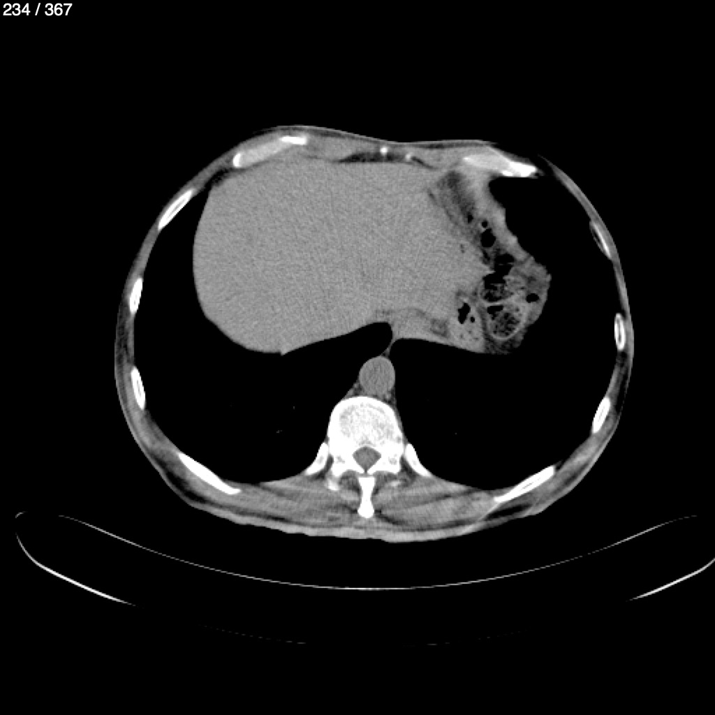
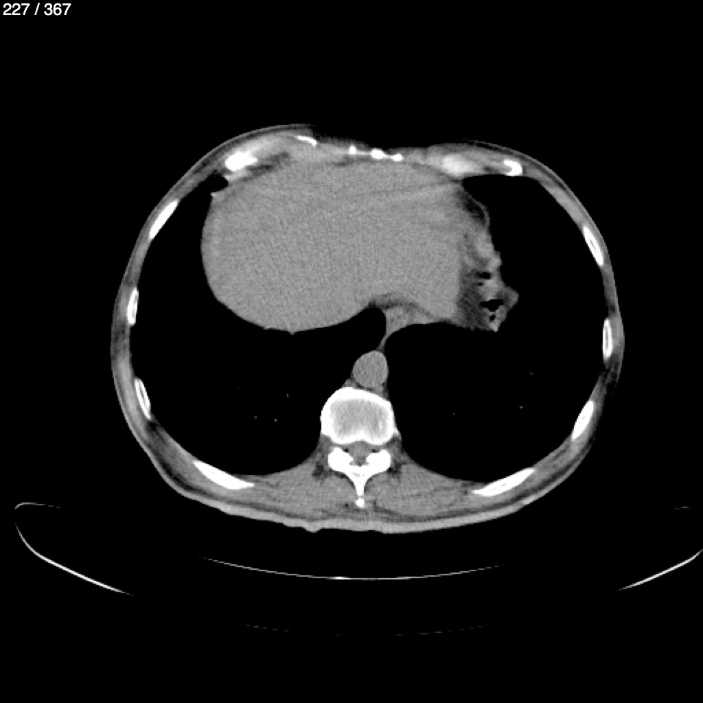
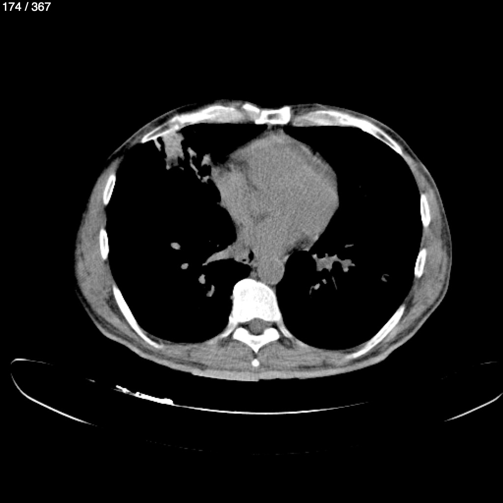
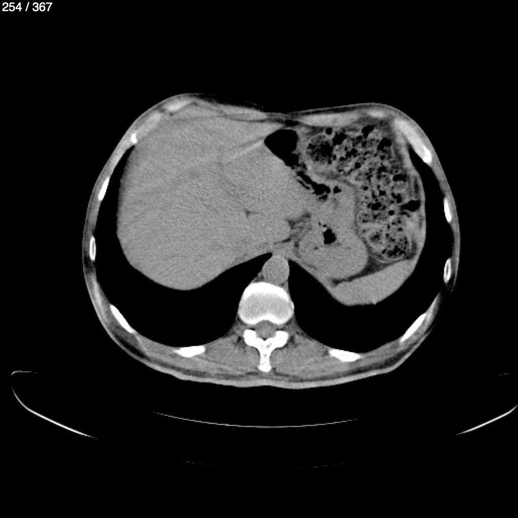
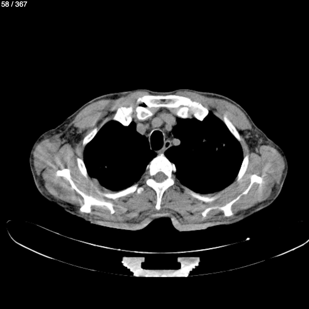
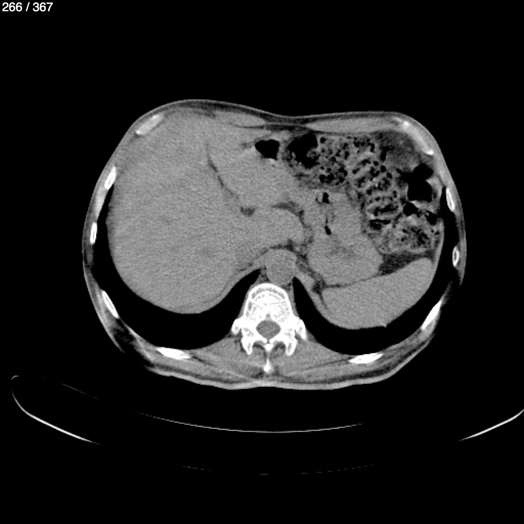
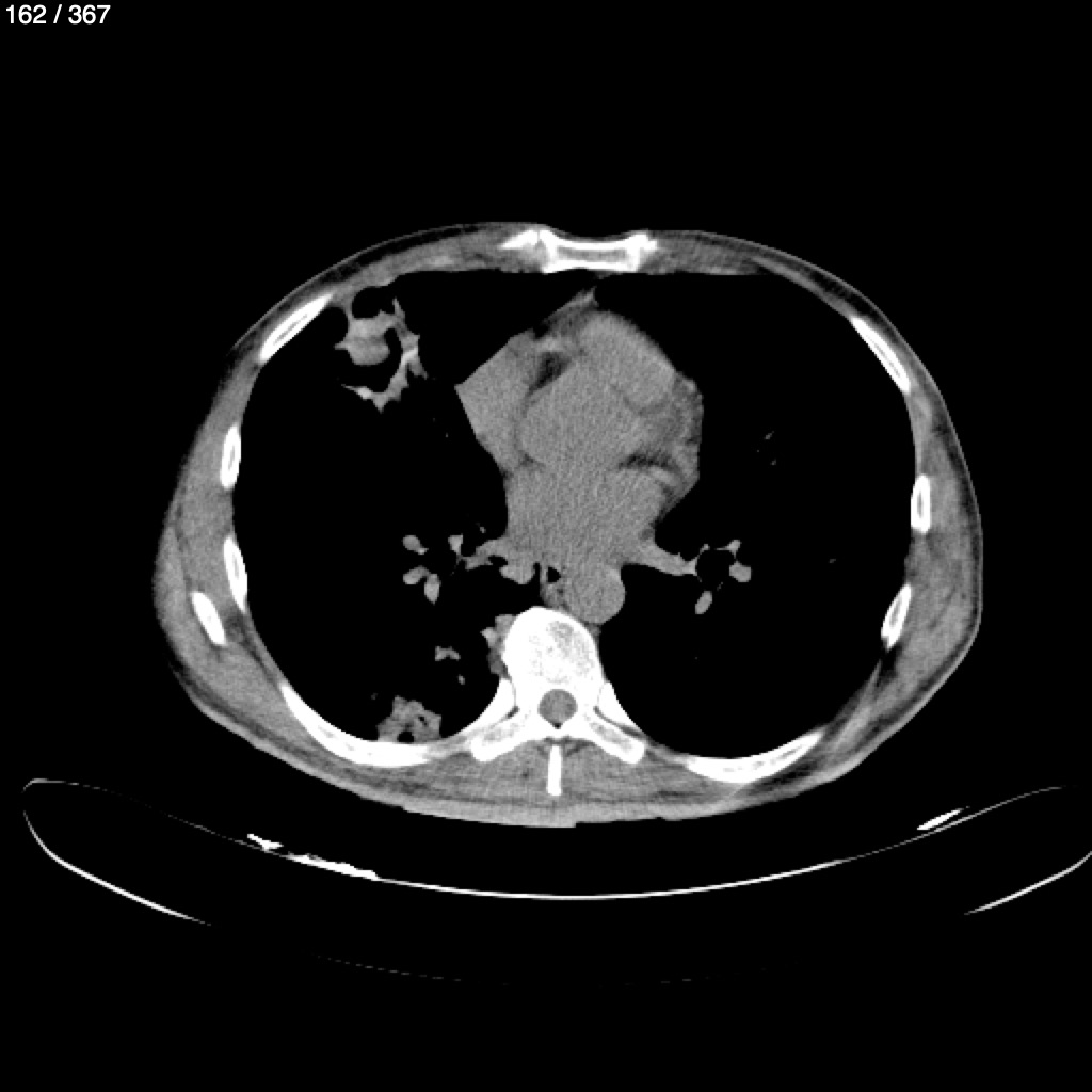
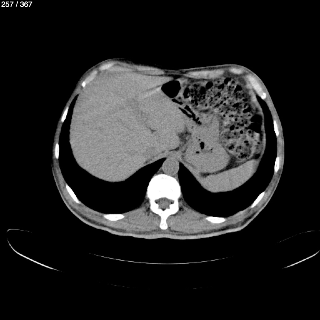
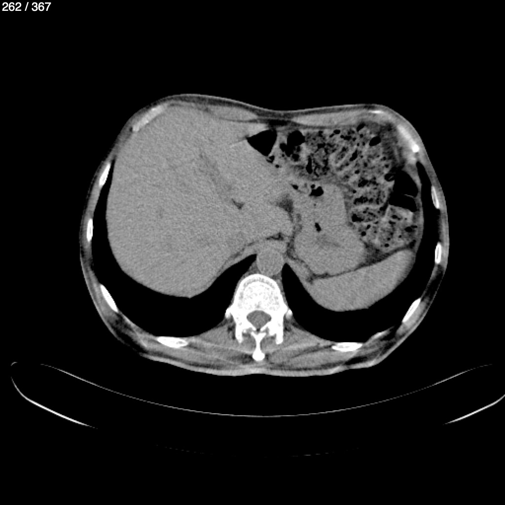
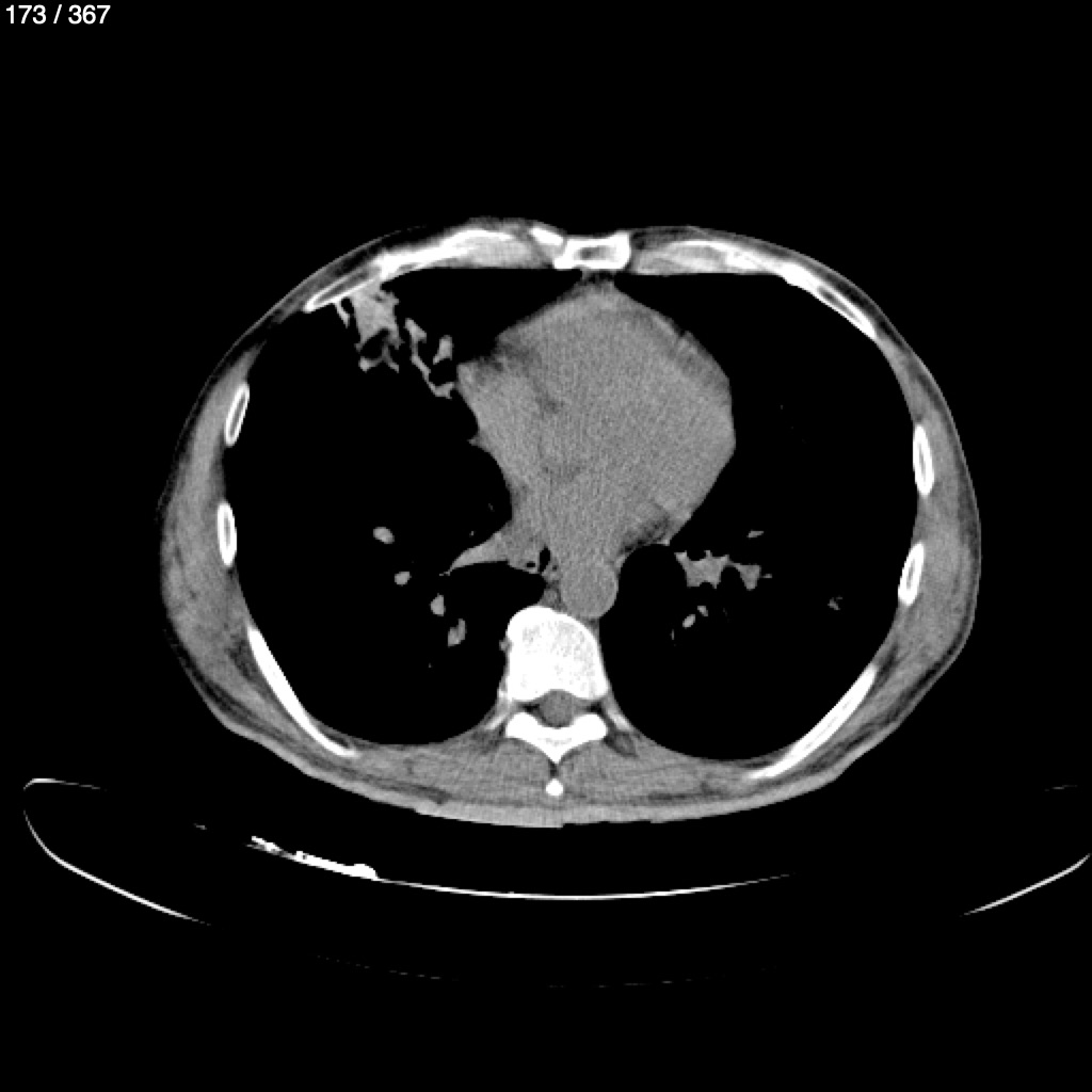
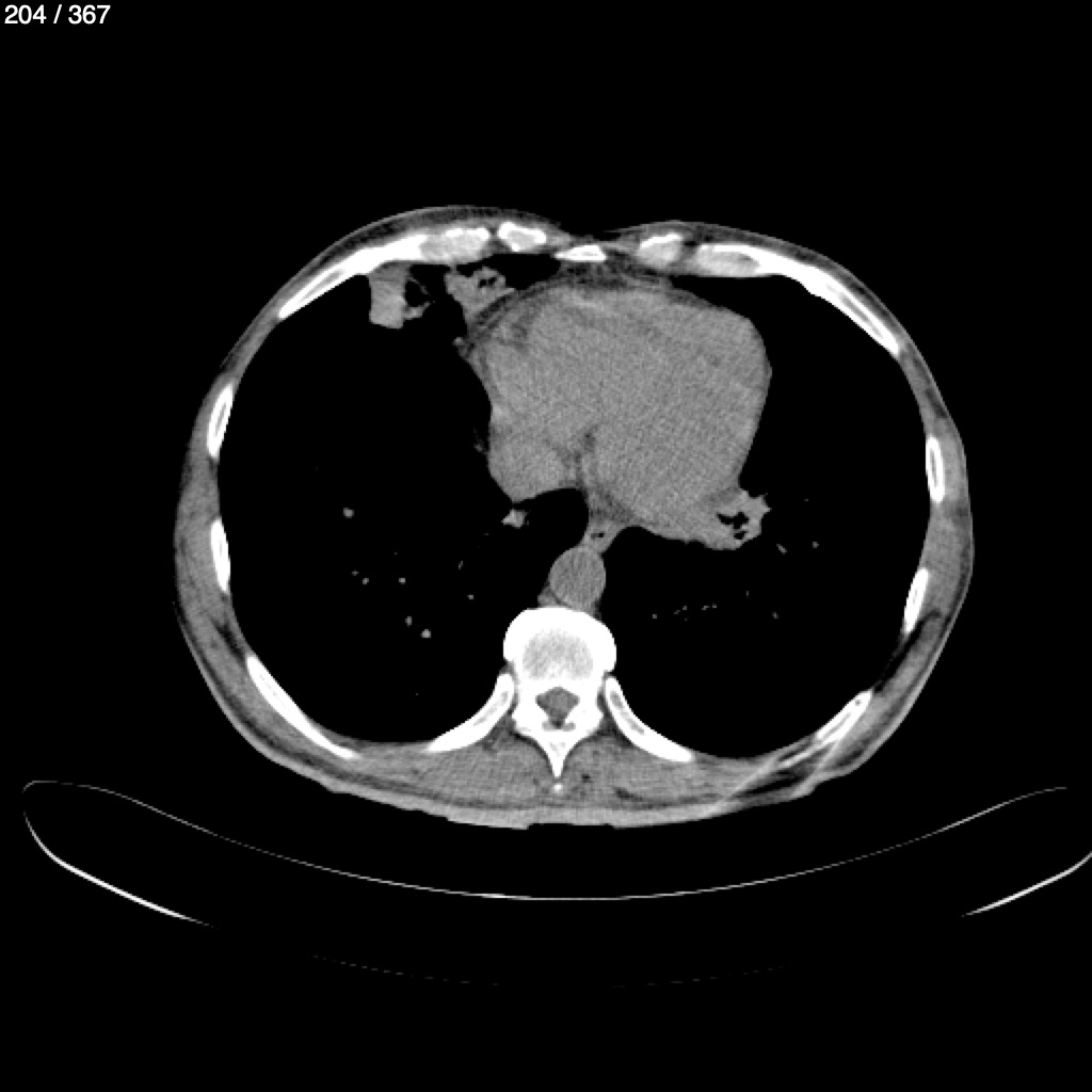
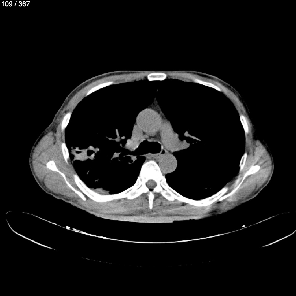
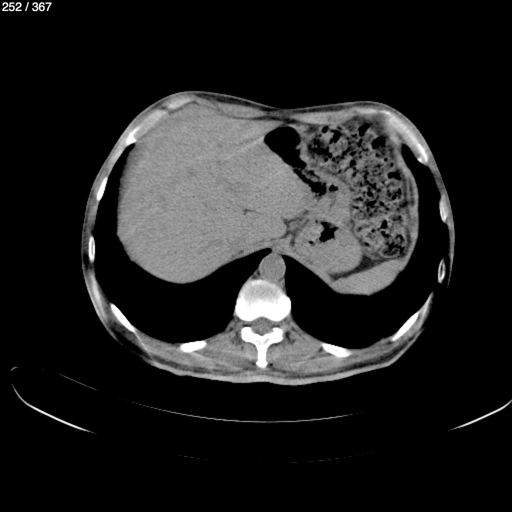
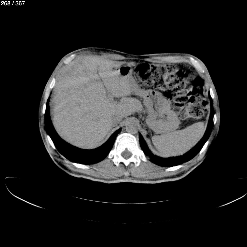
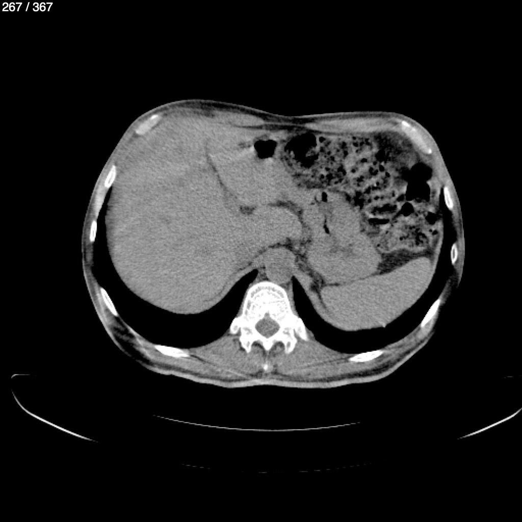
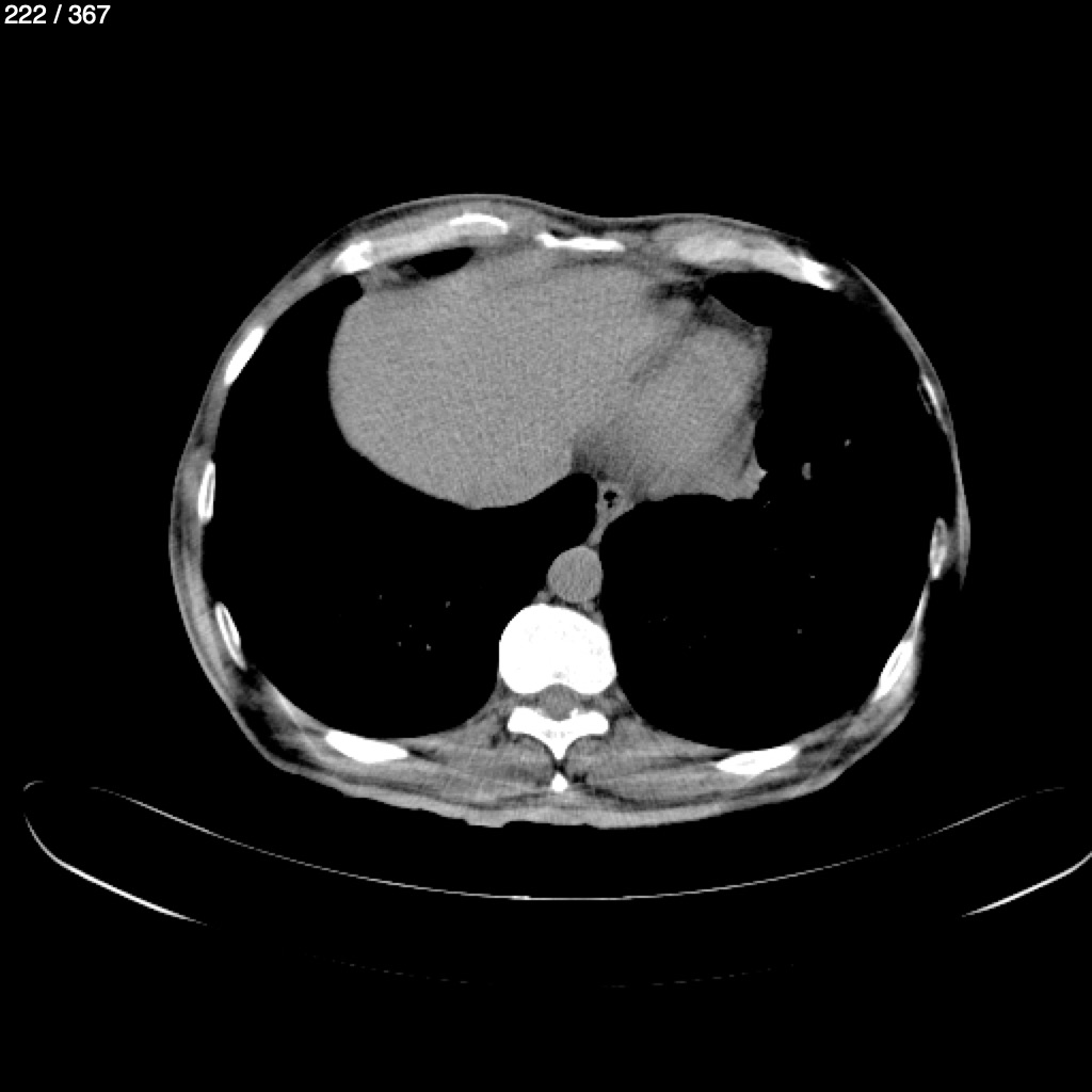
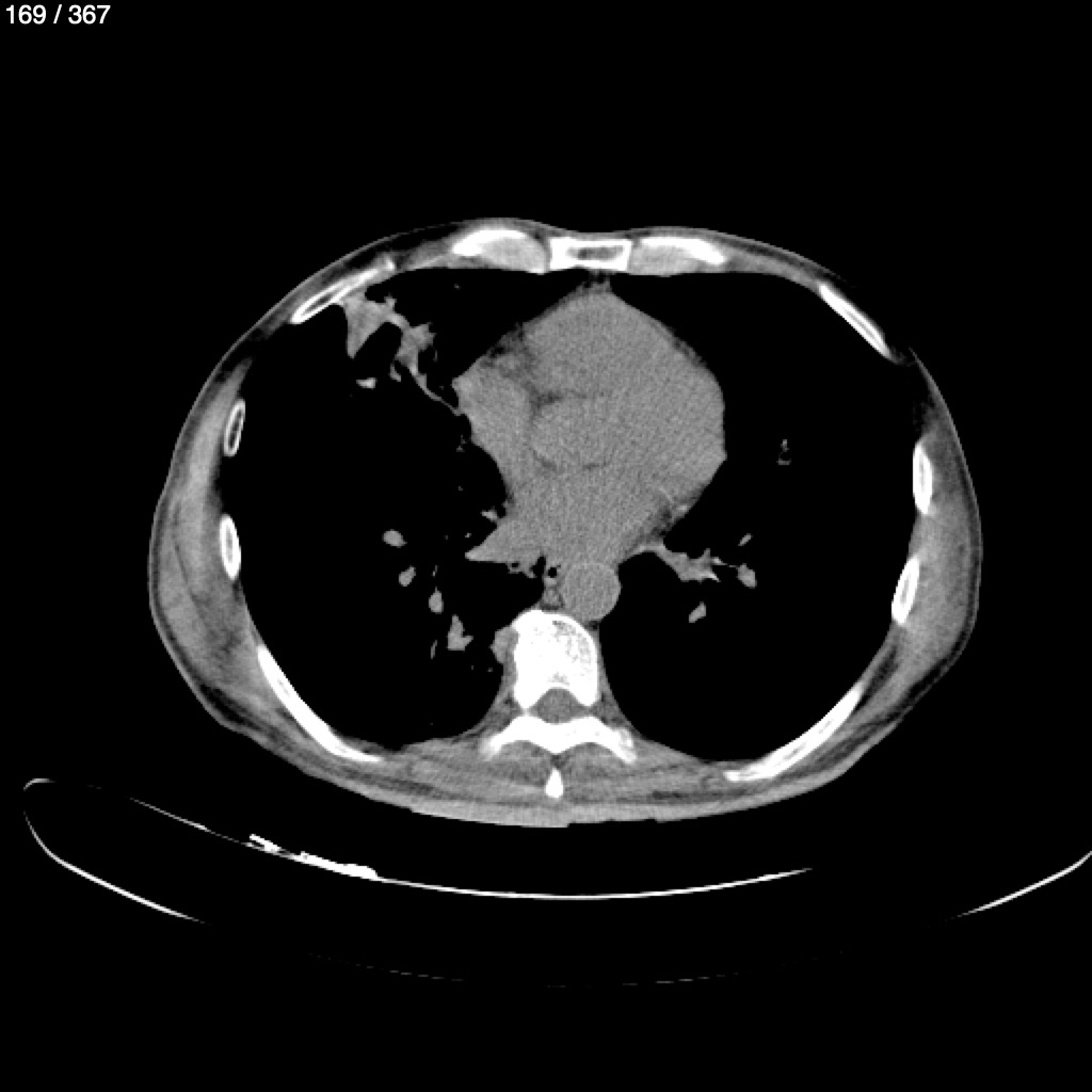
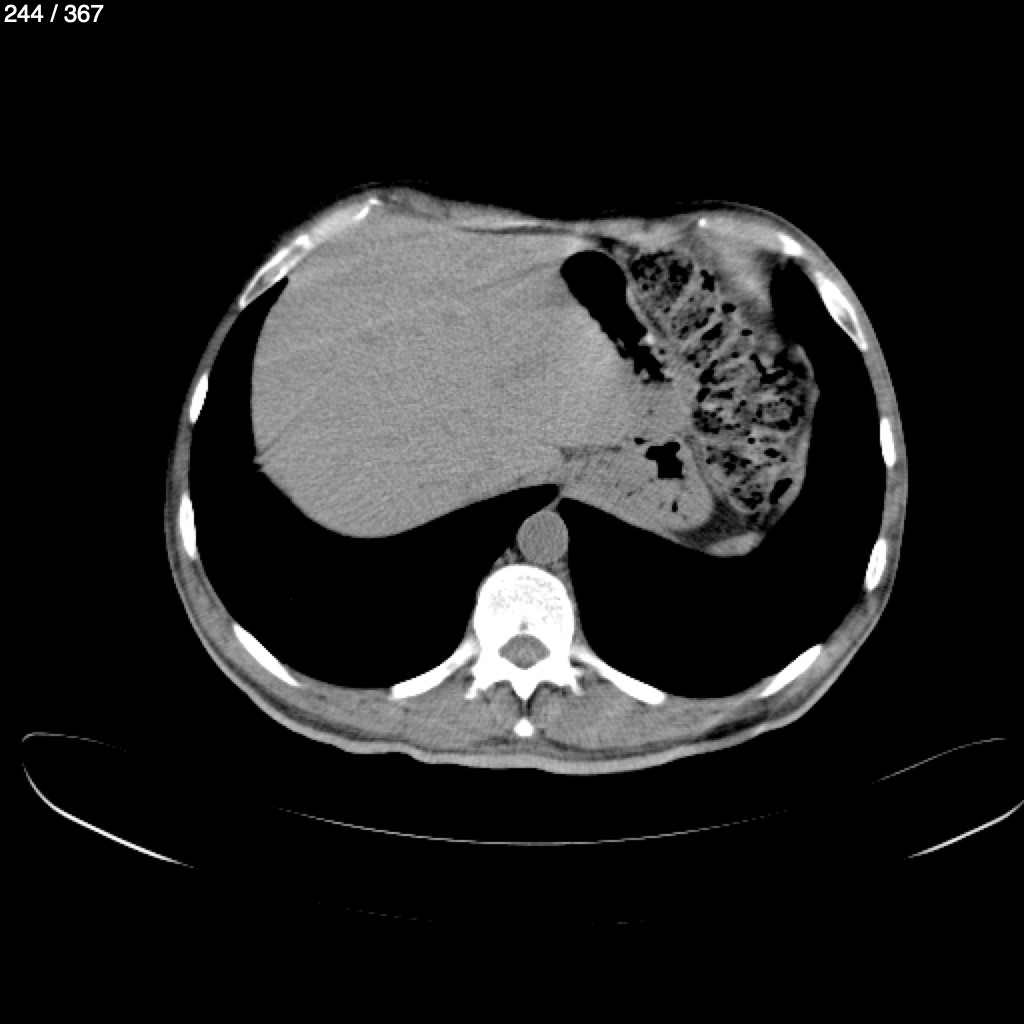
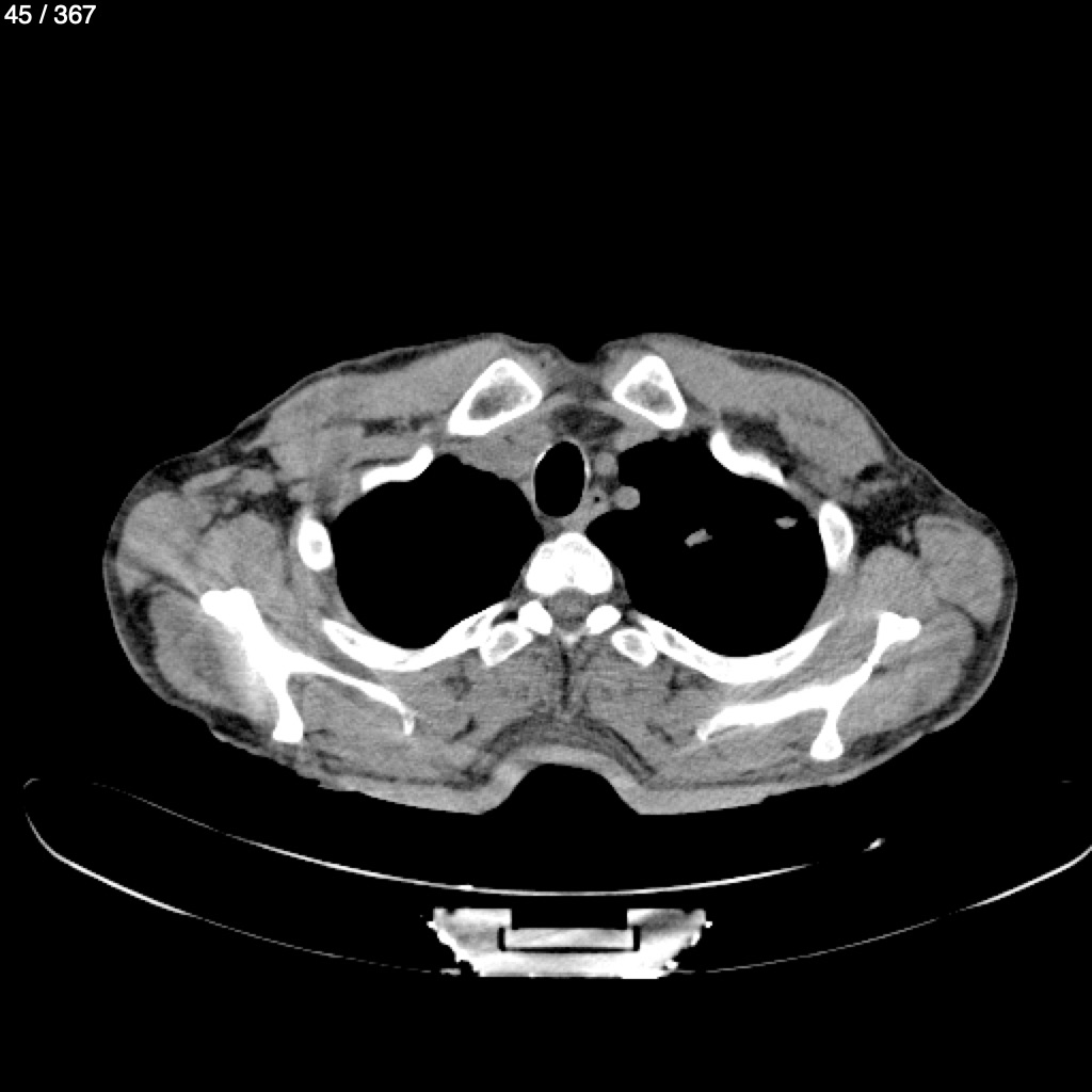
Home J​u​a​n​ ​G​a​b​r​i​e​l​ ​M​o​r​e​n​o​ ​G​u​z​m​a​n​ ​-​ ​T​ó​r​a​x​ ​T​o​r​a​x​_​S​i​m​p​l​e​ ​(​A​d​u​l​t​o​)