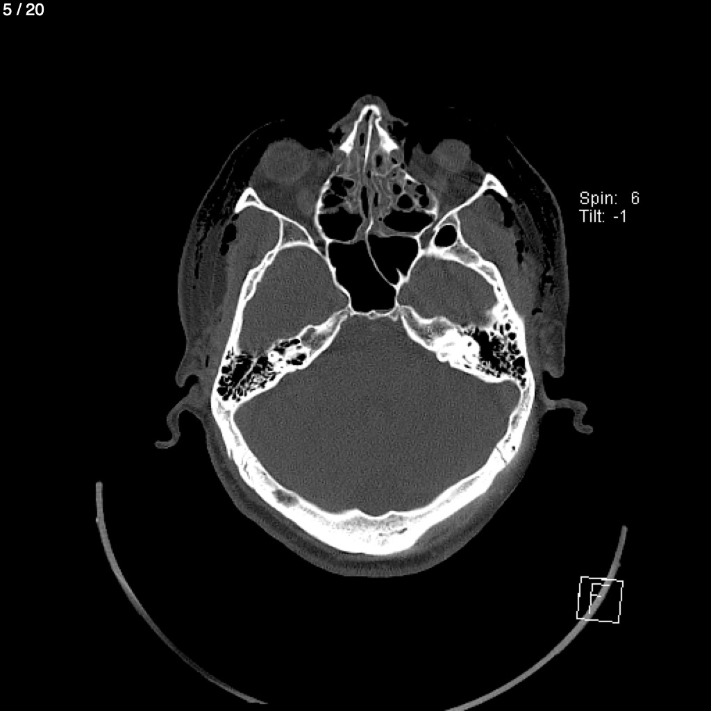
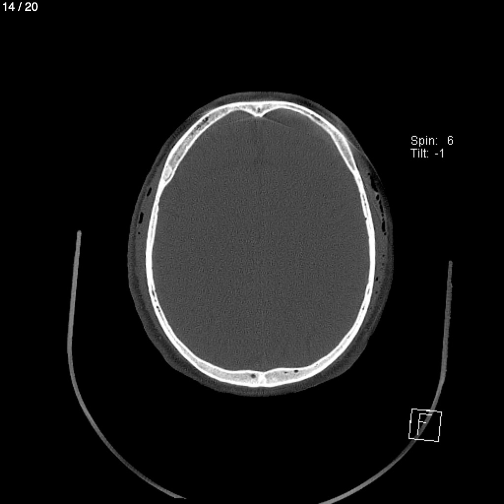
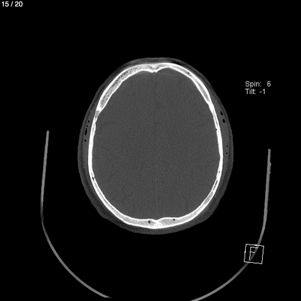
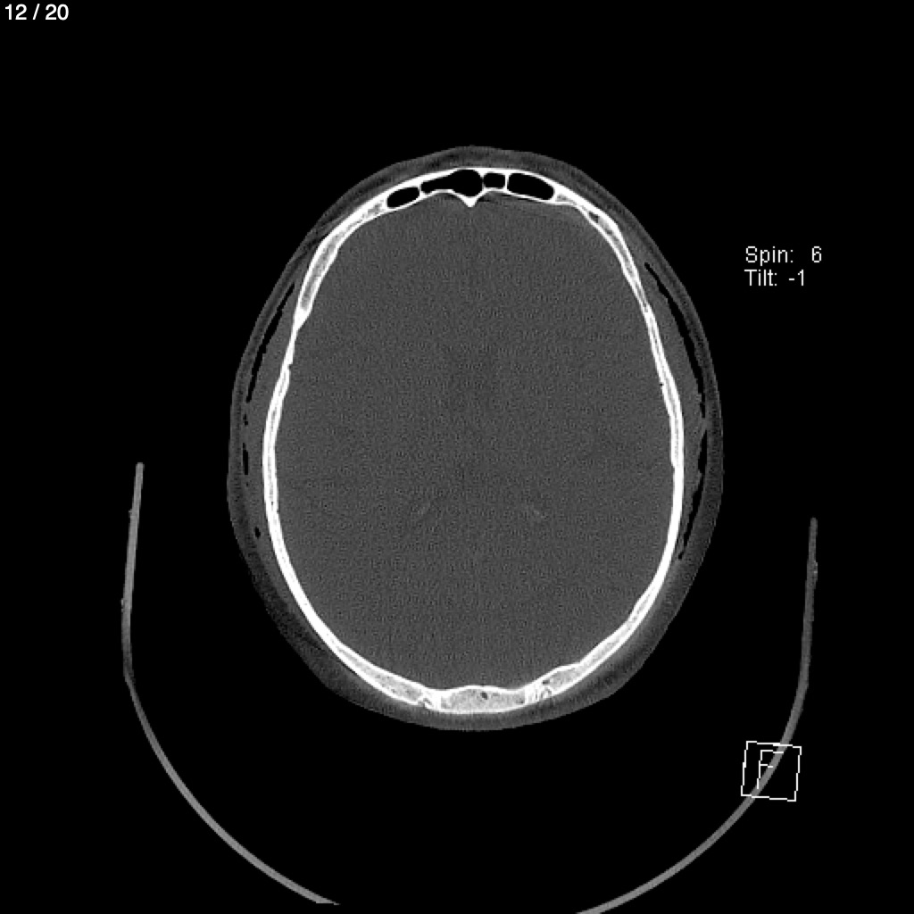
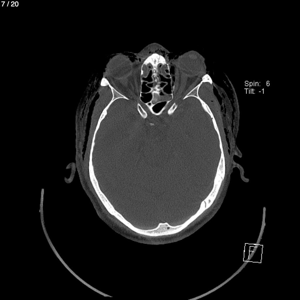
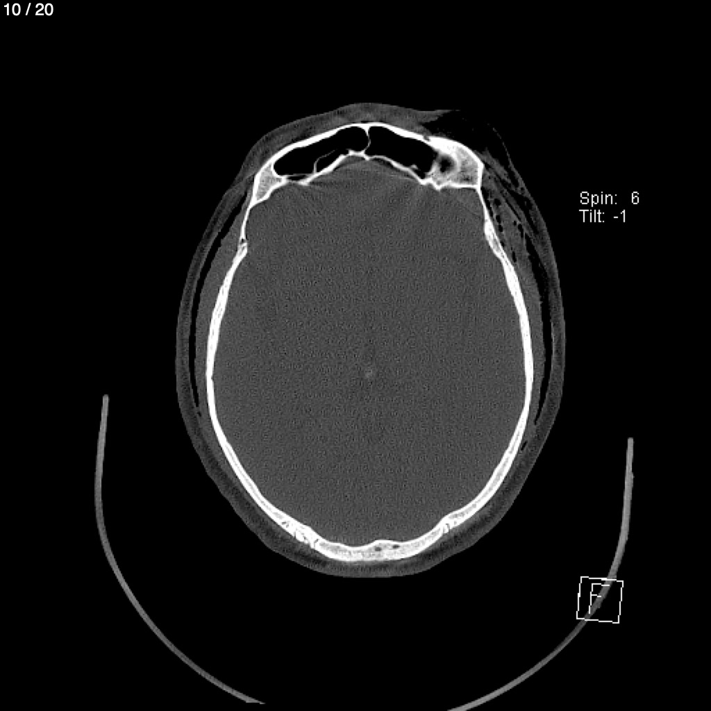
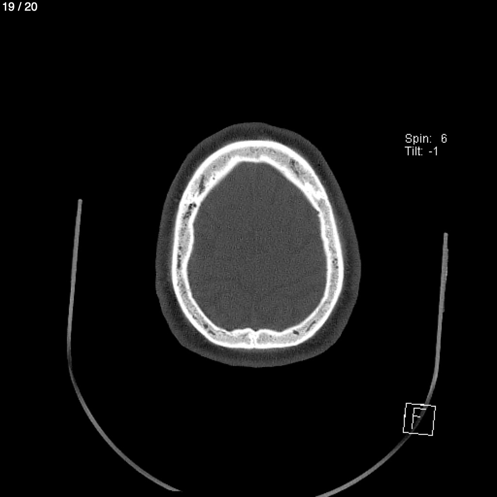
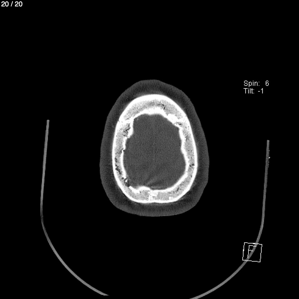
Home M​a​k​l​i​n​ ​E​s​t​u​a​r​d​o​ ​R​a​b​a​n​a​l​e​s​ ​R​a​m​i​r​e​z​ ​-​ ​C​a​b​e​z​a​ ​S​i​m​p​l​e​c​r​a​n​e​o​ ​(​A​d​u​l​t​o​)